|
Dr Bui Binh Tho
Traumatisme du pancreas :
Lesion traumatique du pancreas est rare ,il se presence de
1-13% des traumatismes abdominales avec morbilite et mortalite
tres eleves . On retrouve souvant au cours les accidents de
motorcycle publique ... , chez l'enfant
la lesion traumatique du pancreas presence souvant apres la
chute de bicyclette et l'impact du guidon direct dans
l'abdomen ce la entraine une fracture du corps du
pancreas.
Clinique
souvant est douleur abdominal , fievre et elevation de
globule blanche neutrophile , amylasemie et lipasemie
serique ( 80%).Le
pronostic des traumatismes pancréatiques est directement lie
à l'atteinte du canal pancreatique principal,ce qui
conditionne la mortalité et le risque de complications. Une
rupture du canal de Wirsung non diagnostiquee et non traitee
entrainer le plus souvent à la complications
secondaires (fistule pancreatique, pseudokystes, abces
profond) . Dans 2014 AAST (
American
Association for the Surgery of Trauma )
avait
une classification lesionnelle des traumatisme du pancreas
dans cinq grade de 1-5 , et au point de vue radiologique CT
Wong et Al avait une classification gradation sur CT :
| |
 |
|
 |
|
| |
|
|
|
|
Aspect radiologique des traumatisme du pancreas :
-
Les signe direct de traumatisme du panct\reas :
Aspect élargi volumineuse et hétérogène du
pancréas a hypodense sur TDM ,
, la présence d’un
epanchement liquidien peripancréatique ou
de collections periglandulaires ,
un hématome intra ou peripancreatique , un
defect focal ou global de réhaussement de la glande , et
plus rarement c,est image d’une fracture transectionelle
du pancréas
-
Les signe indirect de traumatism du pancreas : une
infiltration de la graisse peripancreatique ,
epanchement liquidienne espace pancreatico-splenique
veine ,epaissisement facia prerenal de Gerota ,
epanchement espace peripancrea- retroperitoneale ,
association des traumas les autres organes
Technique echographie percutane du pancreas est la
technique de premier de l'intention dans le diagnostic des
traumatisme du pancreas , mais les techniques radiologiques
TDM , IRM , sont des techniques de choix pour diagnostic des
lesions traumatique et de laceration ou transsection du
pancreas . L’interruption
du canal de Wirsung associee à la fracture du pancreas est
moins de voyable au TDM. Les ruptures
canalaires du pancreas se retrouve seul par la réalisation du technique
cholangiopancréato-IRM ou la CPRE . Par cela on peut en
recherchera une extravation du canal pancreastique
communication avec la collection liquidienne
péripancréatique
| |
 |
|
 |
|
| |
Signe
direct frequemment d'une traumatisme du pancreas est
aspect enlargement volumineuse a hypoechogene , non
homogene du pancreas . Image echographique au
dessus est image echo- percutane de l'abdomen en
coupe verticale et transversale epigastrique a
travers le pancreas . |
|
Aspect enlargement a
hypoechogenecite , non homogene du corps d'une
traumatisme du pancreas , la lesion est volumineuse
a longitudinal du corps pancreas , epanchement
liquidienne peripancreatique peut en s'obsreve sur
la coupe transverse . Image echographique
percutane de l'abdomen .a travers le pancreas |
|
| |
 |
|
Les signes directs de traumatisme du panct\reas
est aspect élargi ,hétérogène
a hypoechogene du
pancréas et la présence d’un
épanchement liquidien péripancréatique aechogene
ou image d’une fracture transectionel
du pancréas peut en s'obvserver |
|
| |
Zone de contusion est souvent
avascularisation a Doppler ,cela peut en
differentiel avec les autres tumeurs solides ou des
adeno-carcinomas de hypervascularise . Image
echographique - Doppler d'une traumatisme du
pancreas |
|
|
|
| |
|
|
|
|
| |
 |
|
Classification de gradation AAST des
traumatismes du pancreas:
- Grade I :
Hématome mineur ou lacération superficielle sans
lésion canalaire
-
Grade II :
Hématome
ou lacération majeure sans lésion canalaire ou
sans perte tissulaire
-
Grade III :Transsection
distale ou lésion traumatique du parenchyme avec
lésion canalaire
-
Grade IV :
Transsection proximale ou lésion traumatique
parenchymateuse avec atteinte de l’ampoule de
Vater
-
Grade V :
Destruction massive de la tête du pancréas
|
|
| |
|
|
|
|
| |
 |
|
 |
|
| |
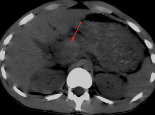
Image radiologique TDM
d'une traumatisne du pancreas avec aspect
lesionnel d'elargi volumineuse heterogene et a
hypodense de la tete du pancreas ( fleche rouge ) .
Coupe axiale TDM non contrast intraveineuse |
|
Traumatisme de la tete du pancreas avec
hematome hyperdensite legere intra-pancreatique ( fleche )
. La tete et le corps du pancreas est volumineuse a
hypodensite et non homogene Image radiologique TDM en coupe axiale |
|
| |
 |
|
 |
|
| |
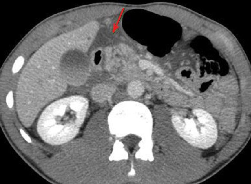
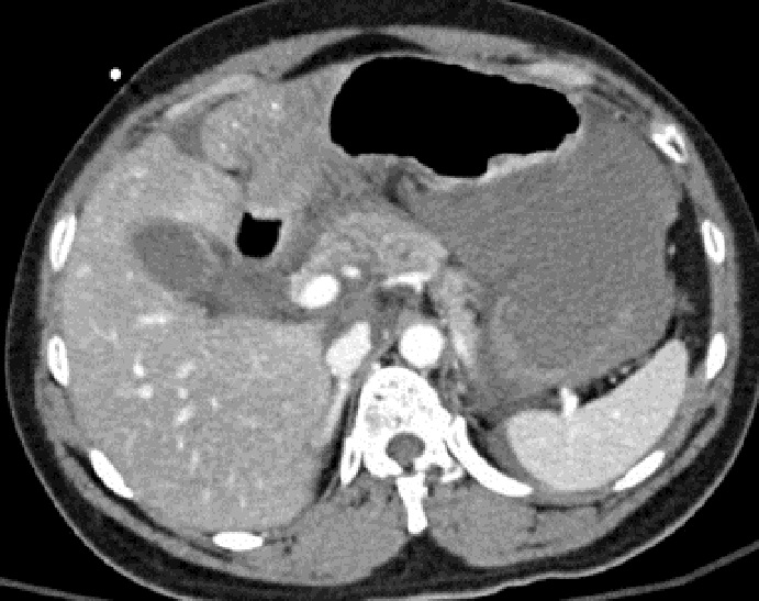
Image radiologique TDM de
contusion de la tete du pancreas avec de
elargir , heterogene a hypodense du pancreas avec un
epanchement liquidien peri-pre pancreatique ( fleche
rouge }. Coupe axiale TDM |
|
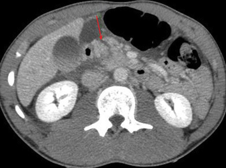
Un autre cas de trauma important du
pancreas avec image de transection totale de la tete
du pancreas . Epanchement peri , pre-pancreatique
peut en s'observer encore . Image radiologique
TDM du pancreas , coupe axiale |
|
| |
 |
|
 |
|
| |
Aspect
radiologique d'une laceration du bord posterieure du
corp pancreas . Le pancreas est elargir heterogen et hyperdensite ,
epanchement peri et post pancreatique peut en s
'observer . Image radiologique TDM en coupe axiale . |
|
Image radiologique cholangio-Wirsungo IRM
d'une traumatisme du corp pancreas avec aspect
lesionel de rupture du canal pancreatic principale(
fleche rouge) |
|
| |
 |
|
 |
|
| |
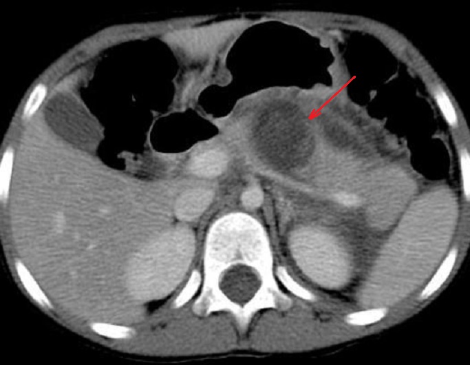
Image de contusion du corp
pancreas avec aspect de elargie volumineuse hypodense
, heterogen d'une part du corp pancreas ( fleche
rouge ) . Image TDM plus C+ en coupe axiale , phase
veineuse . |
|
Image de contusion du corp pancreas avec
aspect lesionnel de transection a distal du corp
pancreas avec epanchement pre-pancreatique peut se retrouve . Image radiologique TDM du pancreas ,
coupe axiale |
|
| |
 |
|
 |
|
| |
Image radiologique IRM
d'une trauma du pancreas avec aspect elargissement a
hypersignal heterogene du corp pancreas . Image IRM
pondere T2 coupe axiale . |
|
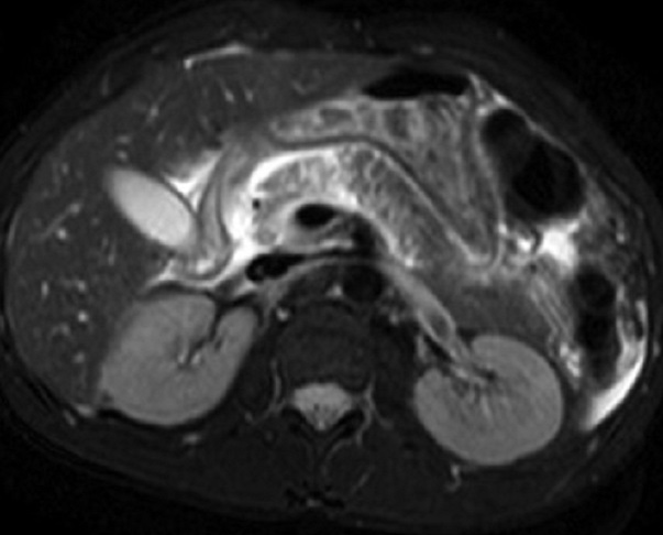
Image radiologique IRM d'une
transection a distal du corp pancreas avec aspect de
epanchement peri-pancreatique se retrouve sur cette
coupe . Coupe coronal IRM de l'abdomen |
|
| |
|
|
|
|
| |
|
|
|
|
Fin
Dr Bui Binh Tho
Page :
1
/
2
/
3
/
4
/
5
/
6
/7/
8/
9
/
10
/11/
12/
13/
<<
PREVIOUS
<<
RESUME >>
,
|
|