|
Gs Bui Binh Tho
Image radiologique normale du pancreas (
Radioanatomie du pancreas )
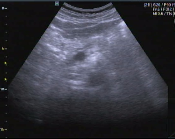
Image echographique
normale du pancreas
:
Normalement echogene du pancreas est
egale ou un peu de superieure echogene du foie , sa
echogen varie avec degree de l'infiltration graisseuse
et encroit avec age . Les bords du pancreas sont regulie , lisse et bien differencie sur
plan ajacents . Sur le coupe transverse , il ressemble un
crochet avec la tete , le corps et le queue . Le canal
de Wirsung normalement < 3mm peut en voyant sur deux tier
des patients et sur echographie il est aechogene ,. Au
niveau de l'ishme ses paroi apparaitre en fine line comme un
rail , au
niveau de la tete il est resemble comme une section
tranverse circulaire . La taille du canal Wirsung peut
augement avec age de 3mm il peut atteidre 6mm . :Le canal
Sntorini et ses canaux secondaire ne peut etre visible a
etat normale .
| |
 |
|
 |
|
| |
Sur le coupe sagital de la
ligne median de l'abdomen a travers le foie gauche ,
le pancreas se situe a inferieure du foie gauche , avant le
tronc coeliaque , sa echogen est legerement a
superieure celle du foie |
|
Image du panreas en coupe transversale .
Sa taille est variable mais normalement : la
tete 25-30mm, l'ishme 20-25mm et le queue
20 -25mm , sa echogene est homogene identique ou
un peu superieure que le foie |
|
| |
 |
|
 |
|
| |
Schema simple du pancreas en
forme de crochet . Il est comporte la tete
, l'ishme , le corps et la queue : sa taille normale
est tete 25mm ,le corps 20mm et la queue
20mm |
|
Le canal principale du pancreas peut en
visible seul a l'ishme , le corps et le queue .
Et a l'etat normale le canal Santorini et les
caneaux secondaire ne \sont pas visible |
|
| |
 |
|
 |
|
| Maladie en decubitus lateral
gauche , la voie trans -splenique seront utiliser
pour explorer la queue du pancreas . |
|
Le Doppler permet de etude des vaisseux
peri -splenique . Il est le plus utilise dans etude
pathologie tumorale |
Image TDM normale
du pancreas :
Sur les sequences normale ponderation sur T1 le pancreas est
isodense avec des muscles de l'bdomen.Chez les sujets jeunes
les contour du pancreas sont plus regulier , lisse et
devient lobulation ,avec contour apparaitre plus lobule ,
moin lisse par l'age et avec le degree de l'infiltration
graisseuse . Sur les exposes TDM avec C+ intraveineuse , le
pancreas devient hyperdense et tenps de rehaussement maximum
est de 40 -45s apres le debut de l'injection du produit de
contrast . Le canal pancreatique principale avait une
calibre progresssivement croisant de l;a queue vers la tete
et les canaux pancreatiques secondaire et canal Santorini
sont mal ou n'a pas visible . Avec la technique
recontructional MinIP ( Minimum Intensity
Projection ) , le canal pancreastique apparait en forme
hypodense lineaire ,a bord regulier et lisse .
| |
 |
|
 |
|
| |
. Image radiologique TDM en
coupe axiale a travers le pancreas avec de contrast
baryte gastrique . Normalemant le pancreas
avait une densite egale les muscles paravertebrales .
Sa bord est lisse , et regulier , se situe
entre vertebre dorsal D12 a vertebre lombaire L3 |
|
Par l'age ou par le degre de l'infiltration
graisseuse , le pancreas avait une densite en
croisant
eleve , sa bord devient lobulee ,
epaissisement , moins lisse et irregulier . Image au
dessus est
TDM en coupe axiale a trasvers le pancreas
|
|
| |
 |
|
 |
|
| |
De 40 -45s apres le debut de
injection de contrast intraveineuse la parenchyme du
pancreas se rehausse et apparait hyperdensite . Aspect
multi lobulaire de l'ishme et du queue du pancreas
est tres nette a ce temps . Image au dessus est TDM du pancreas
avec contrast intraveineuse en coupe axiale |
|
Sur image recontructional 3D
mode MinIP ( Minimum Intensity Projection )
le canal pancreastique peut en visible en forme lineaire
a hypodensite . Duodenum et canal choledoque
sont en vue |
|
| |
|
|
|
|
| |
Image IRM normale
du pancreas
: L'aspect IRM du pancreas depend du degre de
l'infiltration graisseuse du parenchyme de pancreas
.. Sur les sequences ponderee T1 avec saturation de
graisse le pancreas prene
un signal igentique ou legerement inferieure a celui
du foie . Sur le pancreas a infiltration graisseuse
, il apparait hypersignal . Dans les coupe
ponderee T2 le signal du pancreas est identique a
celui du foie . L'infiltration geraisseuse du
pancreas se trtaduit par un diminution du singal T2
( hyposignal ) |
|
| |
Injection de sel chelate de gadolinium
exite une rehaussement homogene du signal
parenchymateuse |
|
| |
La cholangio-Wirsungo-IRM c.est
l'exament de la premier de l'intension pour explore
des canaux pancreatique avant meme que des
techniques ERCP ou echoendoscopie . Sur T2 les
canaux se presente de fortement hypersignal hydrique
. Le canal principale est toujour en voyant , sa
calibre est moins de 3mm de diametre avec paroi regulier . Le
canal de Santorini est en visualise non frequemment
. Le canal choledoque apparait bien limite en forme
de tube ronde de hypersignal hydrique T2 |
|
| |
|
|
| |
 |
|
 |
|
| |
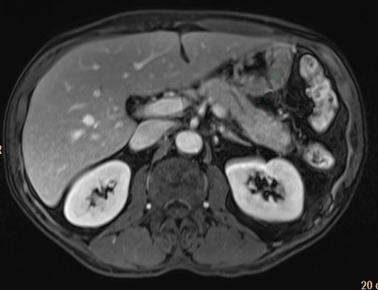
Sur coupe axiale IRM
ponderee T1 le pancreas se present sous forme une
crochet avant aort et le tronc coeliaque , a bord lisse ,
regulier avec signal isointense que le foie . |
|
Image IRM du pancreas normale , coupe
axiale ponderee sur T2 , le pancreas est hypointense
et identique que le foie |
|
| |
 |
|
Sur les coupes IRM avec injection de
chelate de gadolinium le pancreas est rehaussement
homogene hyperintense . La rehaussement est visible
en meme temps avec les autre organe . Avec la recontructional
rapide en 3D on peut realise une veritable de
angiographie IRM au temps arteriel ou temp portal ce qui
peut remplace arteriographie des vaisseaux
pancreatiques |
|
| |
|
|
|
|
| |
 |
|
 |
|
| |
Image radiologique normal du
canal de Wirsung . Canal de Santorini se en voyait
fine au dessus du tier inferieure du canal de
Wirsung . . La vesicule biliaire , voie biliaire
principale est en visible tres nette .. Image des
canaux pancreatiques la vesicule biliaire et des
voies biliaires receillir par technique CPRM |
|
Image radiologique cholangio-
pancreatico par resonant magnetique ( CPRM ) du canal
pancreatiqur et des vois biliaire . La vesicule
biliaire etre en visible tres nette |
|
| |
Apres injection de
Secretine **, la voie pancreatique et voie biliaire
avait une dilatation legerement du diametre et la dilatation maximale
etre entre 2 , 3 minute au debut de l'injection .
Image CPRM des canaux principales du pancreas et des
voies biliaires etre reconstructional en 3D .
Cette technique etre utilise
de diagnostique des lesions stenoses sclerosants ou des
infiltrants irreagularite du canal pancreatique |
|
 |
|
** La
secretine est une hormone secrete par la muquese duodenale ,
ce qui stimule la secretion exocrine bicarbonatee du
pancreas et augemente le tonus du sphinter d'Oldie . La dose
est de 1UI/kg en IV ( Secrelux R )
Gs Bui Binh Tho
Page :
1
/
2
/
3
/
4
/
5
/
6
/7/
8/
9
/
10
/11/
12 /
13 /
A
suivre
<<
PREVIOUS
<<
>> NEXT >>
,
|
|