|
Dr Bui Binh Tho
Pathologie radiologique des tumeurs du pancreas ( a suivre ) :
Les
tumeurs et pseudo-tumeurs rares du pancreas :
Les tumeurs et pseudotumeurs rare du pancreas sont des
tumeurs n'a pas en place de classification a origine
de quatre tissus principale du pancreas ( epithelium
acineux, îlots endocrines, tissu conjonctifs et canaux) ni
des adenocarcinomas , ni des adenomucineux , sereux , ni des
metastase ; ils sont tres rare et n'ont pas toujour de facilement de determine . Les granulomatoses (tuberculose et sarcoïdose) et
les pseudo-tumeurs inflammatoires peuvent se presenter un
aspect de tumeur et “pseudo-tumoral” rare du pancreas :
-
Kyste hydatique
:
Les lesions de kyste hydatique seul du pancreas sont
tres rare . Il se presente souvent dans une hydatidose
generale diffuse . Clinique est
douleur épigastrique chronique,
parfois une
masse
épigastrique
se presenter,
ictère rétentionnel .. . Image radiologique de
kyste hydatique du pancreas est une masse macrokystique
intrapancreatique a bord nette , lisse aechogene sur
echographie avascularisation , a hypodense a la TDM et hypersignal
au IRM
ponderee sur T2 . Examen serologique hydatique laboratoire
est toujour positive . Par la difference de
morphologie lesionnelle des kystes hydatiques , Gharbi
a classifier cela en
5 type de kyste , de I -V
(
classification de Gharbi
1981**) et a 2003 WHO - IWGE ** avait en association une
classification correspondante sur la viabilite du kyste
| |
 |
|
La
classification de Gharbi
Type I: Collection liquidienne
pure
Type II: Collection avec
décollement total ou parcellaire des membranes
Type III: Collection multivésiculaire
avec présence de vésicules filles endocavitaires
(aspect “en nid d’abeille”)
Type IV: Lésion focale solide
pseudo-tumorale
Type V: Kyste à paroi calcifiée |
|
| |
|
|
|
|
| |
. |
|
|
|
| |
|
|
|
|
| |
 |
|
 |
|
| |
Classification morphologique de kyste hydatique de
Garbi . Il y avait cinq type de kyste hydatite de I
a V |
|
A
2003
WHO - IWGE ** avait en association une
classification correspondante sur la viabilite du
kyste hydatite . A droite type I , III et IV sont a
phase viabilite active . Type II de Garbie est de
phase transitionel et type V en place au phase
monisation calcifie inactive . |
|
| |
 |
|
 |
|
| |
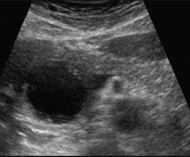
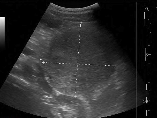
Image
echographique percutane abdominale d'une kyste
hydatique active type I du pancreas avec
aspect lesionnel de nodule ovalaire aechogene a
paroi lisse , bord nette regulier , situe au tete du
pancreas . |
|
En differencie avec aspect
lesionnel d'echographie d'une pseudokyste du
pancreas aechogene a limite nette regulier et n'a
pas de la paroie . cone de hyper ascoustique
posterique en vue nette |
|
| |
|
|
|
|
| |
Image
echographique d'une kyste hydatique du pancreas
aechogene active de type I de Gharbi . Sa paroi
et image de cone de hyper acoustique posterieure
se voyaient tres nette |
|
Aspect lesionnel ovalaire aechogene a
paroie nette , lisse regulier d'une kyste hydatite
corporeale-caudal du pancreas . Image echographique
percutane coupe horizontal longitudinale a travers
du pancreas |
|
| |
|
|
|
|
| |
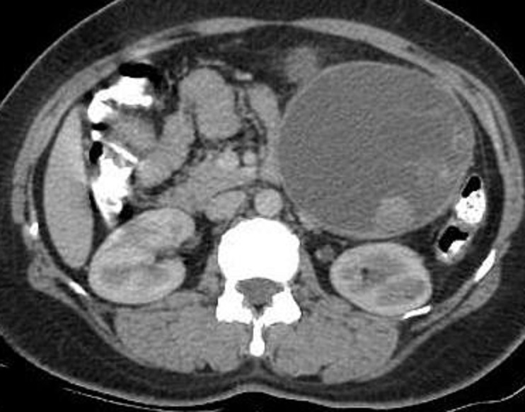
Image
radiologique TDM d'une kyste hydatique active
isthmique du pancreas type I pure avec
aspect lesionnel de masse hypodense de contenue
liquidienne homogene a paroi lisse , regulier situe
au corp du pancreas |
|
Aspect lesionnel de
formation kystique ovalaire homogene hypodense avec
paroie nette , lisse , regulier d'une kyste
hydatique active de type I de Gharbi . Image
radiologique TDM avec contrast intraveineuse coupe
axiale . Signe de rehaussement de sa paroi peut en
s'observe |
|
| |
 |
|
 |
|
| |
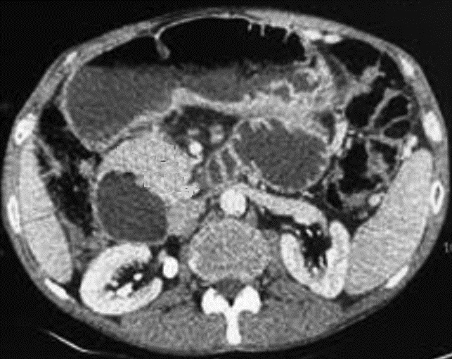
Aspect
lesionnel une grand kyste hydatique l du pancreas a
phase transitional de type II de Gharbi . Sa paroi
et les septal se en voyant tres nette apres
injection de contrast a phase veineuse ( signe de
rehaussement ) . Image radiologique TDM plus C+
phase veineuse , coupe axiale . |
|
Image radiologique IRM ponderee sur
T2 d'une kyste hydatique active de type I de Gharbi
avec aspect lesionnel d'une formation kystique
arrondie tres hypersignal a bord nette , lisse et
regulier situe au corp du pancreas . Sa contenue est
de collection liquidienne pure , cela se donne une
image de tres hyperintense sur la coupe IRM
ponderee T2 |
|
| |
|
|
|
|
-
Tuberculose pancréatique
La tuberculose du pancreas est tres rare et
diagnostic
difficile
.
Le tableau clinique est souvent polymorphe : anorexie,
amaigrissement, douleurs abdominales, fievre, plus
rarement masse abdominale et ictere obstructif .
L’image radiologique retrouve une masse pancreatique
solide tissulaire, heterogene, hypodense a la TDM, pouvant
contenir des zones de necrose ou des calcifications
intralésionnelles. Les formes kystiques sont possibles.
Localisations cephaliques sont les plus frequentes. Les
adenomegalies peripancreatiques, parfois volumineuses et
necrotiques sont important pour le diagnostic.
| |
 |
|
 |
|
| |
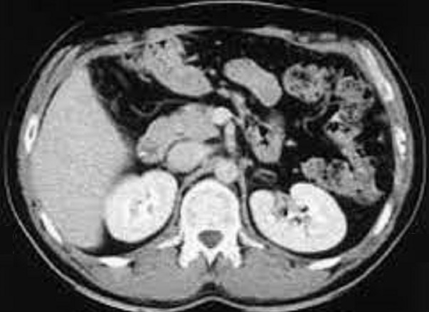
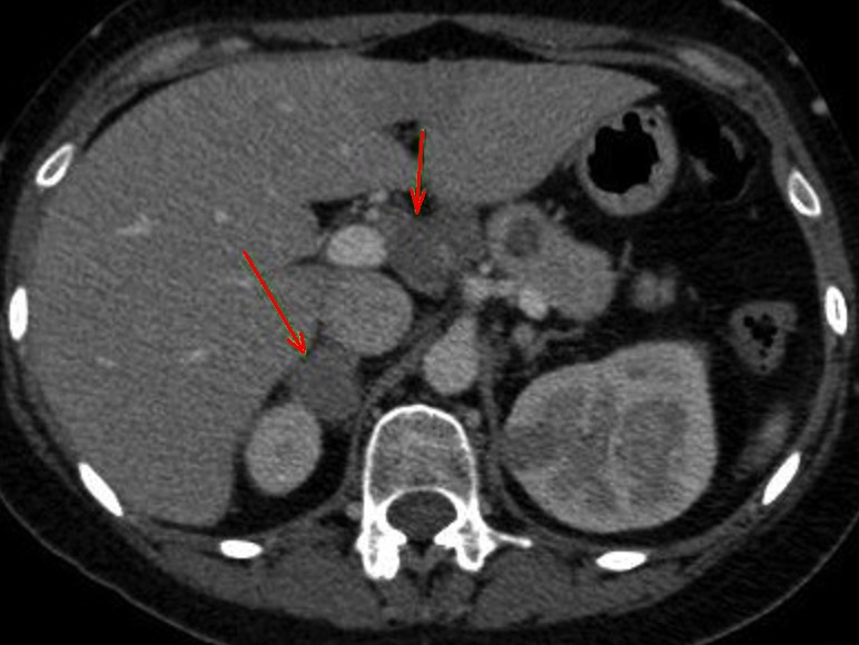
Image radiologique TDM
d'une tuberculose de la tete du pancreas avec aspect
lesionnel de masse hypodensite , heterogene a bord
irregulier avec de zone de necosant en formation
kystique hypodensite . Presence de calcification
peut en s'observe . Image TDM plus de contrast
intraveineuse , coupe axiale |
|
Aspect lesionnel TDM d'une
tuberculose de la tete et du corps du pancreas de
forme de nodule a hypodense , non homogene avec des
calcifications intralesionnels et zone de necrose
situe au
tete du pancreas peut en s'obverver Image radiologique
TDM en coupe axiale |
|
| |
 |
|
 |
|
| |
Aspect radiologique TDM d'une
tuberculose du corps pancreas avec allure de masse
volumineuse , hypodense , heterogene a bord
irreguliee . Quelque calcification intra-lesionnel
peut en s'obverve . Image radiologique TDM en coupe
axiale a travers pancreas |
|
Aspect volumineuse d'une
masse heterogene ,a hypodense sur TDM d'une
tuberculose cephalique du pancreas . On peut en
s'observe de zone de necrosant intralesionnelle de
la tubercuilose . Image radiologique TDM en coupe
axiale |
|
| |
|
|
|
|
|
Le diagnostic differentiel se pose avec une
tumeur du pancreas, un lymphome, des metastases
ganglionnaires retroperitoneales ou un abces
compliquant une pancreatite . |
|
|
Le diagnostic de certitude realise par une ponction-biopsie
echoendoscopie et sur la regression des symptomes ,radiologique
après un traitement quadritherapie antituberculeuse |
|
-
Lymphome pancreatique
:
Il
y avait deux type de lymphome pancreatique : Lymphome
pancreatique primaire a origine de lymphome B non hodgkinien
,
se
represente moins de 0,5% des tumeurs pancreatiques .
Lymphome pancreatique secondaire est rare et correspond à
l’extension pancreatique a origine de adenopathies
retroperitoneales... Aspect radiologique est une masse
a hypodense, mal limitée, infiltrant de plus ou moins
diffuse a la glande pancreatique et faiblement rehaussee
apres injection de contraste intra veineuse .Le tableau
clinique avec les signes suivants doivent faire proposer
le diagnostic de tumeur lymphoïde :
association à une hépato-splénomégalie et à des
adenopathies sus et sous diaphragmatiques,
retroperitonéales ou sous le hile renal , l'absence
d'envahissement vasculaire , l'absence de metastases
hepatiques et
une élévation laboratoire des LDH
| |
 |
|
 |
|
| |
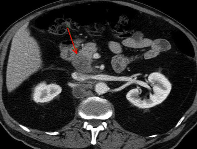
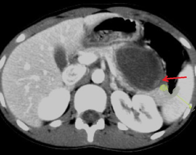
Image
radiologique TDM d'une lymphome pancreatique de la
tete du pancreas avec aspect lesionnel de forme
tumorale hypodense , homogene a mal limitee situe a
la tete du pancreas ( fleche rouge ) . Image TDM en
coupe axiale . |
|
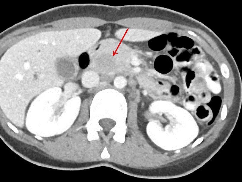
Aspect lesionel TDM une masse a hypodense
, homogene mal limitee situe du corps pancreas(
fleche rouge . Rehaussement legere du tumeur apres
injection de contrast intraveineuse . Image
radiologique TDM plus contrast intraveineuse , coupe
axiale . |
|
| |
 |
|
 |
|
| |
Meme cas en
coupe coronale |
|
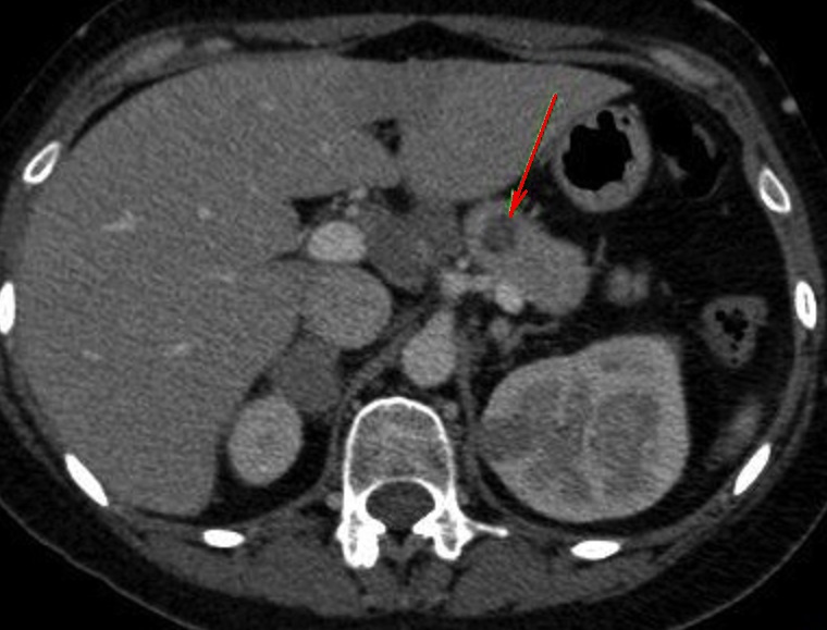
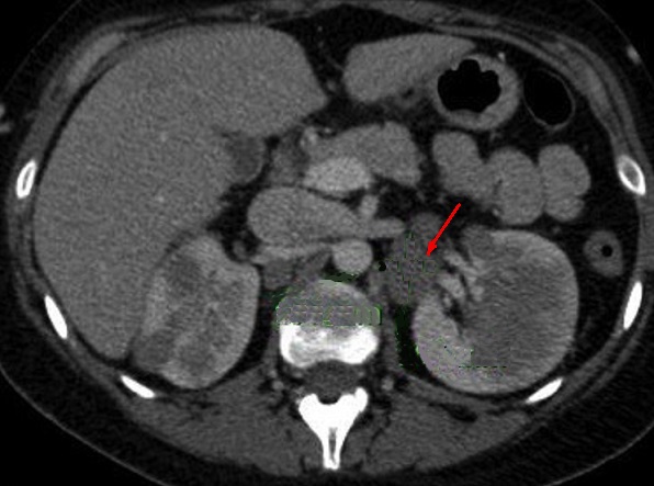
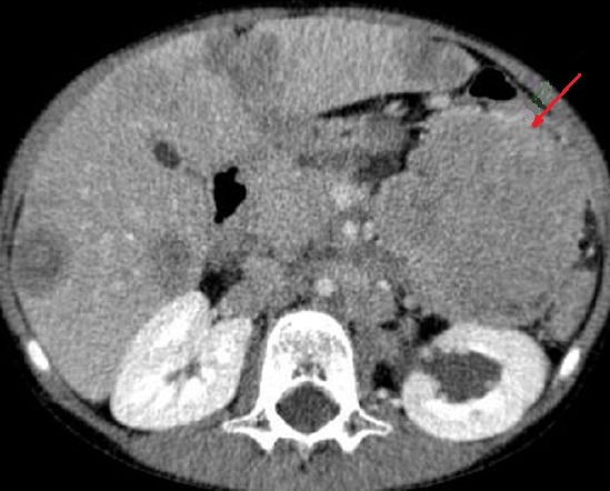
Image radiologique TDM d'une
lymphome pancreatique a aspect lesionnel en forme
nodulaire hypodense , homogene situe au queu du
pancreas ( fleche rouge ) . |
|
| |
 |
|
 |
|
| |
En association de lymphome de
la
queue du pancreas on peut retruuver image des
adenopathies aspect hypodense ovalaire situe sous diapragmatique (
fleche rouge ) . Image radiologique TDM en coupe
axilaire |
|
Des adenopahthies de tumeur lymphoide
peut situe sous ou perihilaire renale ( fleche
rouge ) . Une caracteristique des lymphomes
pancreatiques est l'absence de envahissement
vasculaire et l'absence de metastase hepatique |
|
| |
|
|
|
|
Diagnostic différentiel des formes focales avec
l’adénocarcinome.
Traitement de choix est la chimiothérapique avec
de bon
pronostic
-
-
Lymphangiome kystique
du pancreas :
Les lymphangiomes kystiques du pancréas sont des tumeurs
a origine par de blocage locale
embryologique du systeme lymphatique
, cela peut etre extra ou intrapancreatique , extremement rares
a incidences 1% des lymphoma de l'abdomen . Sa contenu
est sereux , sero-sanguineux ou chyleux . . Il peut etre diagnostique a tout age
, situe dans 2/3 des cas dans la region
corporeo-caudale et occupe volontiers les espaces
graisseux retroperitoneaux ou l’epiploon
pancréaticosplénique. La taille de la tumeur est
variable entre 2 et 20 cm . Sa decouverte est fortuite
ou devant une douleur abdominale chronique
aspécifique.
L’aspect
lesionnel est
d’un syndrome de masse kystique bien limite, uni ou
multiloculaire, encapsulee,a parois fines a echogen ou
hypoechogen sur echographie , hypodense homogene sur TDM
, hypointense a IRM de ponderation sur T1et hyperintense
de ponderetion sur T2 . Une
hemorragie intrakystique – visible sous la forme d’une
hyperdensite spontane au TDM, d’un hypersignal T1 et T2
à l’IRM . Image de fines calcifications « en grains de riz »
peuvent en voyant . Sa paroi et les cloisons sont
faiblement rehaussees apres
injection de contraste intraveineuse .
| |
 |
|
 |
|
| |
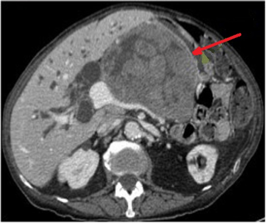
Aspect
radiologique TDM de lymphome kystique du pancreas de
masse de grand taille bien limite , encapsule ,
hypodense homogene situe corporeal-caudal du
pancreas . Aspect est heterogene dans cas de
presence hemorragie intrakystique ( fleche rouge ) .
Image radiologique TDM coupe axilaire |
|
Image radiologique TDM d'une
lymphome kystique du corp pancreas avec aspect
lesionnel de forme tumorale hypodense homogene
a bord nette , encasule ( fleche rtouge ) |
|
Les signes pour orienter vers le diagnostic de
lymphangiome kystique sont :
la
forme de la tumeur etre molle, non compressive, et le plus souvent au niveau de la queue du
pancréas
la présence d’un contenu graisseux en rapport
avec le liquide chyleux (communication lymphatique)
-
Kyste lymphoépithélial
:
C’est une lesion dysembryoplasique benigne rare plus
fréquente chez l’homme de moyen âge avec sex-ratio
5/1. La presentation
clinico-biologique est aspecifique, la lesion est
souvent decouverte fortuitement. L'elevations du CA19-9,
du CA125, de l’ACE et des amylases sont possibles .Caractéristiques
radiologiques sont :
Lesion kystique hypo ou anechogene a l’echographie,
hypodense au scanner, en hyposignal T1 hypersignal T2 à
l’IRM , Taille est variable uniloculaire ou
multiloculaire , a paroi fine contour bien limite
rehaussement legere apres injection de contrast
intraveineuse . Presence graisseuse intralesionnel et
des fragments de keratine sont possible
Le diagnostic radiologique est difficile,Ponction
exploratrice et examen la boratoire sont la seule façon
pour identifier la lésion : elle montre des fragments
d’épithelium malpighien associes à de la keratine et à
des lymphocytes.
Les diagnostics differentiels radiologiques du kyste lympho-epithelial
sont : le cystadenome mucineux et le cystadenome sereux
macrokystique. La presence de kératine en amas
intrakystique doit peut orienter vers le
diagnostic de kyste
lymphoépithélial du pancréas.
Tumeur acinaire
La tumeur acinaire ou carcinome acineux est une tumeur
maligne a se presenter rare avec incidences amoins de 1%
des tumeurs solides du pancréas . Sa origine est
contituee de cellule epitheliale acinaire
secretant de lipase . Hyperlipasemie, nodule de necrose
de graisse sous-cutanee , polyarthralgie et de masse
palpabble abdominal est la tableau clinique de cette (
syndrome e Weber Christian ) . L'elevation de alpha-chymotrypsine
peut en observer dans quelque cas . Images radiologiques
caracteristiques de cette tumeur sont : tumeur solide
tres agressif volumineuse , bien circoncrite
partiellement encapsulee , pouvant de contenir des zones
necrotiques cela se donne de image kystique et un peut
de rehaussement apres injection de contrast
intraveineuse . Possibles de calcification
peripherique en s'observe .Metastase hepatique peut se
presente dans 50% des cas
| |
 |
|
 |
|
| |
Aspect TDM tres volumineuse
hypodensite heterogen ,bien circoncrite et encapsule
situe du corp pancreas . Sa contenue est non
homogene , rehaussement legere apres injection de
contrast intraveineuse . Image radiologique TDM plus
C+ en coupe axiale phase veineuse |
|
Meme cas en coupe coronale .
La tumeur agresse tres volumineuse a longitudinal du
corp pancreas . |
|
| |
 |
|
Une tumeur acinaire tres volumineuse de la tete du
pancreas avec aspect lesionnel d'une masse hypodensite non homogene
, encapsule a bord tres nette ( fleche rouge ) .
Zone de nesrose kystique se retrouve dans 1/3 de la
tumeur . Image radiologique TDM en coupe axilaire |
|
| |
|
|
|
|
Le pronostic est mauvais,
survie de 5-6 mois
,17%
peut de plus à 1 an .
-
-
-
Tumeur solide et
pseudo- papillaire du pancreas :
Les tumeurs pseudo-papillaires et solides ou
tumeurs
de Gruber- Franzt (or
solid pseudopapillary tumor (SPT)
) lie a hormone progesterone et se représentent a
incidences de 1
à
2% des tumeurs pancréatiques. Se presenter souvent
chez
la femme jeune a potentiel malignite (entre 20 et 30 ans
et dans 90% des cas)
peau noire , asiatique ,
Croissance lente a symtomatique avec augmentation de taille pendant la grossesse
. Au point de vue radiologique , on peut
en a deux formes de tumeur :
- La forme typique:
C'est une tumeur de grand taille
(2,5-20cm) bien
limitee, encapsulee , hypoechogenicite a
echographie , hypodense a TDM , hypointense en T1 et T2, réhaussée après
injection de gadolinium . Sa contenue est mixte
solide et kystique , rehaussent des contenue solide et
paroi peripherique apres injection de contrast
intraveineuse . Des zones de composant kystique
necro-hemorragique peut en se retrouve central , hyperdense en
TDM , hyposignal ,,heterogene en T1 et hypersignal sur T2 a IRM . Niveau liquide
intra-tumoral peut en s'observer
- La
formes
atypiques: Survenir
souvent chez l’homme
age
, a aspect radiologique purement solides, a bord
lisse , bien limité
a présence d’une
capsule . Cela sont des caracters qu'il peut en orienter vers
le diagnostic de tumeur solide et pseudo-papillaire
.
Tumeurs
pseudo-papillaires et solides
( tumeur de Ghruber-Franzt ) est une tumeur avait de
bas potentiel de malignite ( 15% des cas ) . La presence
de metastase hepatique et peritoneale ou une invasion
extracapsulaire parfois peut en s'observer . Traitement
chirugicale et prognostic est bon apres une resection et curative completement
de la
tumeur .
| |
 |
|
 |
|
| |
Image echographique d'une
tumeur
pseudo-papillaire et solide du pancreas (
tumeur de Franzt ) de grand taille
avec aspect lesionnel de masse tumorale hypoechogen
, heterogene en association des formations kystiques
aechogenes |
|
Une autre cas de tumeur de
Franzt tres volumineuse , a bord circoncrete nette
hypoechogen et heterogene . Image echographique
percutanee abdominale , coupe transverse |
|
| |
 |
|
 |
|
| |
Image TDM d'une
tumeur
pseudo-papillaires et solides du queue du pancreas
avec aspect lesionnel de masse hypodensite ,nonhomogene
mixte de contenue solide et kystique , a bord bien
limite , encapsule . Image radiologique TDM non de
contrast intraveineuse , coupe axiale |
|
Meme cas apres injection de
contrast intraveineuse , phase veineuse . Image de
contenue solide et kystique retrouvent bien et plus de
nette . Image calcifie de la parois et des septales peut en
s'observer |
|
| |
 |
|
 |
|
| |
Meme cas en coupe frontal (
Image TDM plus C+ en coronal , phase veineuse
) . |
|
Image radiologique TDM d'une
tumeur pseudo-papillaire et solide du queue pancreas
avec aspect de masse volumineuse encapsule ,
hypodensite heterogene et
|
|
| |
 |
|
 |
|
| |
Image radiologique TDM d'une
tumeur pseudo-papillaire et solide du pancreas avec
aspect de masse de grand taille hypodense ,
heterogene et encapsule . Image de rehaussenent de
sa paroi et ses contenues se retrouve apres
injection de contrast intraveineuse ( fleche rouge )
. Image TDM plus C+ en coupe axiale . |
|
Image radiologique IRM
ponderation T2 d'une
tumeur pseudo-papillaire et solide du queue pancreas
avec caracteristique a grand taille hyposignal
, heterogene , encapsule |
|
-
Pancreatoblastome
:
Le pancreatoblastome est la tumeur pancreatique maligne
la plus specifique et la plus frequente de l’enfant
, predomine chez le garçon .
Clinique
est aspecifique:avec douleurs epigastriques, nausees,
vomissements, ictere en cas de tumeur cephalique, masse
epigastrique palpable. L’alpha-foetoprotéine sérique est
elevee dans 2/3 des cas. C'est une tumeur acinaire ,
tres volumineuse
lobulee et encapsulee, comporte des zones de necrose
hémorragique.
situe le plus souvant a la tete du pancreas . Il
se presente souvant en associations avec le syndrome de
Beckwith-Wiedemann ** et la polypose adénomateuse familiale.
Image radiologique est
une tumeur solide volumineuse
heterogene , multiloculaire kystique encapsulée ,
réhaussement apres injection de contrast intraveineuse
et parfois contenir des calcifications . Métastases hépatiques,
et pulmonaires presence dans 1/3 des cas Traitement
de choix est resection chirugicale
| |
 |
|
 |
|
| |
Tumeur
pancreblastome du queue du pancreas avec aspect
lesionnel tumoral hypodensite tres volumineuse ,lobulaire
en capsulaire ( fleche ) . Image radiologique
TDM coupe axiale a travers L2 |
|
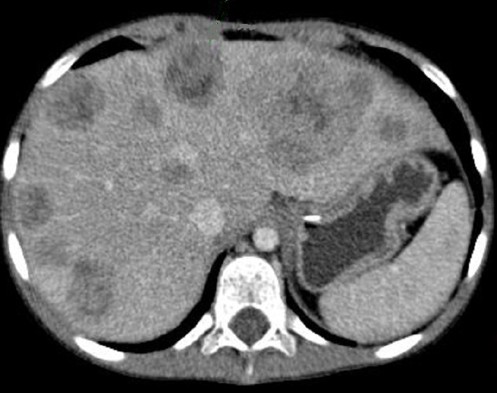
Le pancreatoblastome est la tumeur pancreatique
maligne avec metastase hepatique et pulmonaire
. Image radiologique TDM au dessus est image du
metastase hepatique d'une pancreatoblastome avec
aspect des metastases hypodenses heterogenes
disseminer au foie droit et gauche |
|
| |
 |
|
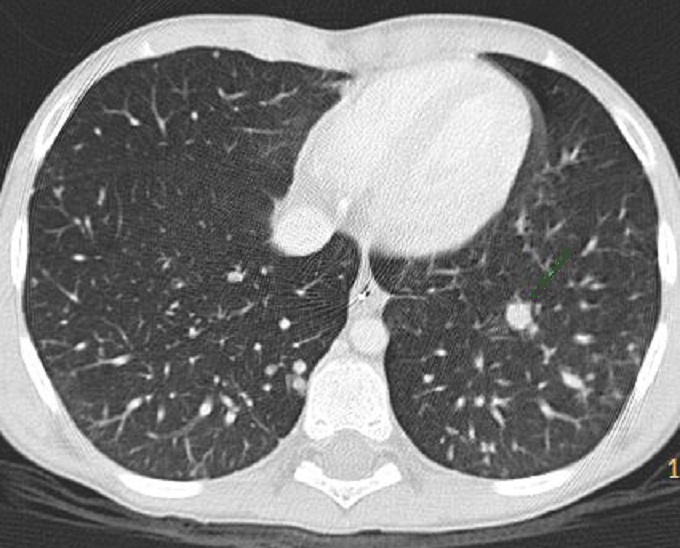
Nodules metastatique pulmonaire gauche et
a partie posterieure du poumon droit du tumeur
pancreatoblastome maligne . Image radiologique TDM
pulmonaire en coupe axiale , fenetre parenchymateuse
. |
|
| |
|
|
|
|
| |
|
|
|
|
Diagnostic
differentiel avec :
Neuroblastome
**
Syndrome de Beckwith-Wiedemann
:
C'est
un syndrome de croissance excessive pouvant associer avec
macroglossie, macrosomie, visceromegalie , hernie ombilical
, hypoglycemie et en favorisant le
développement de tumeurs embryonnaires (néphroblastome, hépatoblastome, rhabdomyosarcome, pancréatoblastome). Et il
y avait a
presence dans 1/13 700 naissances vivantes.
Dr Bui Binh Tho
Page :
1
/
2
/
3
/
4
/
5
/
6
/7/
8/
9
/
10
/11/
12
/ 13 /
/
<<
PREVIOUS
<<
>> NEXT >>
,
|
|