|
Technique
radiologique et image radiologique normale de oesophage et
de l'estomac :
Technique radiologique de
oesophage et de l'estomac
Les techniques radiologiques de l'abdomen et du tube
digestif se basent sur :Les films standard de l'abdomen (
ASP ) , la CT scanner du tube digestif , l'IRM , la TOGD , l'enteroclyse , le
lavement baryte et echographie . La TOGD (
transit gastroduodenale
) est technique
d'exploration du
tube digestif haute par un produit de contrast baryte
ingestion par voie orale .
- A oesophage s'il n'a pas des
lesion de retrecie , la produit de contrast baryte de
ingestion doit etre en pâte
et les cliches exposes doient prenes en face , en OAD ou
OPG . Le trajet de oesophage soit rectiligne et y avait
trois segment : cervicale , thoracique et abdominale . La contraction de oesophage peut etudier
par analyse dynamique en scopie televisee .
- Exploration de contrast de estomac en pratique doit
realiser a jeune . Les cliches sont expose en OAD debout et
decubitus ventral OAD en serie . Comme de l'eosophage , la
progession de contraction de la grosse tuberosite vers
l'antre et de pylore , entraine l'evacuation progessive du
contenu vers duodenum et puis on peut voyait les differences
zones anatomie de estomac
| -Indication de TOGD : |
La disphagie ( gene au passage des aliments) |
| |
Douleurs gastro-duodenales |
| |
Recherche de hernie hiatale ou reflux
gastro oesophagien ou control d'anastomose |
| |
Complement d'une fibroscopie ou
fibroscopie impossible |
| |
Bilan pre ou post operatoire |
- Indication de TOGD a contrast hydrosoluble (
Gastrograffine *) s' installe en cas de risques de
diagnostic de perfore de l'estomac ou de l'intestin grele
( contexte urgence ) .A etat normal ce contrast elimination fecale , sans
absortion intestinale et en cas de fuite
extra peritoneale par perfore il absortion totalement et
elimine totalement par voie renale .
 |
 |
 |
|
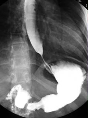
| images TOGD de oesophage
normale |
image TOGD de oesophage (
angle de His ) et estomac normale |
Images normales de estomac , bulbe et
duodenum expose en serie |
|
. La TOGD en double de contrast ( baryt + air +
hypotonie medicamentuese ) peut evite la superposition du
duodenum et du grele sur estomac et ce qui augemente
detection detaillee de la muqueuse gastrique et les niches de face de
l'estoma . Cette methode essentiellement utilisee pour estoma et le
colon , et rarement sur l'intestin grele .
 |
|
 |
| TOGD de estomac normale en
double de contrast |
Ulcere de la petite courbure en double de
contrast |
Images en double de contrast
d'une ulcere du paroi posterieure de estomac . |
Images radiologique normale de oesophage
Anatomie radiologique de oesophage : C'est
un tube musculaire 25cm de longeur ( de C6 - D11 ) et
il y avait 3 portion anatomique : cervicale ,
thoracique et abdominale . Sa passage est en arriere de la
trachee , traverse le mediastin posterieure , et puit se deplace progessivement vers la gauche .
Tranverse le diapragme c'est le hiatus
oesophagien et a cette portion il present un peu de retressisement .
| |
 |
A partie superieure de oesophage le mouvement de
epiglote est tres vite en1/50 seconde . Temps de
expose doit fixe correspondante pour peut le voyait
net . Sur le cliche de profile de oesophage ,
oropharynx est bien voyait , region hypopharynx est
moins nette . A C6 c'est le debut de la bouche de
oesophage ( bouche de Killian ) et a inferieure
c'est oesophage cervicale .
 |
|
| |
Le passage de
la contenue a traverse au long de oesophage avait
perdu de 5 a 7 seconde . Sur oesophage a contrast
baryte normale il y avait trois region serre physique de la
lumeniere de l'oesophage :
- Au superieure , c'est empreinte du
bouton aortique . Le passage de la contenue est
lente et traverse cette serre en 1/2 a 2 seconde
- A inferieure c'est l 'empreinte du
bronche souche gauche et empreine de oreillete
gauche
- A tranverse de diapragme , a
hauteur de D10 c'est le retressisement de hiatus
oesophagien . La contenue de oesophage se
ralentir et arrete de 3 a 5 seconde |
 |
|
| |
 |
Les plies muqueuse de oesophage sont
longitudinale et bien visible sur les cliches
obtenus en faible de remplisage et disparaissent en
distension . |
|
| |
|
|
|
| |
 |
|
 |
| |
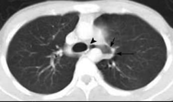
Au niveau du bronche souche
gauche ,oesophage se situe en arriere et avait
un peut serre .A gauche c'est aorte thoracique (
coupe axiale TDM thoracique au desous de bifurcation
tracheale ) . |
|
Coupe axiale TDM
thoracique au dessus de diapragme . Image si net de
oesophage situe en avant et a droite de aorte
thoracique . |
Anatomie radiolologique TOGD de
l'estoma ( image radiologique normale de estomac ) :
La variation de l'aspect de l'estomac
sur TOGD est selon a la posture du patient . Aspect de
chaussure en debout et a horizontal legerement en decubitus
OAD . Normalement il y en a trois portion : Poche a
air gastrique ( gros tuberosite ) situe a superieur du
cardia , portion montant de angle de His au bord
inferieur de estomac , portion horizontale de portion
montant a pylore . L'angle de His situe entre l'oesophage et
la gros tuberosite forme un mecanisme anti-reflux . La
contraction de la grosse tuberosite vers l'antre et le
pylore entrine d'evacuation progressive du contenu vers le
duodenum . Les 4 portions duodenales encadrant la tete du
pancreas
| |
 |
|
| 1 Oesophage |
| 2 Cardia |
| 3 Angle de His |
| 4 Gros tuberosite (poche a air
gastrique ) |
| 5 Grande courbure |
| 6 Petite courbure |
| 7 Portion montant de
l'estoma |
| 8 Antre prepylorique de
estomac |
| 9 Pylore |
| 10 Bulbe |
| 11 Genu superus |
| 12 D2 |
| 13 Genu inferus |
| 14 D3 |
| 15 D4 |
| 16 Angle de Treizt |
| |
|
| |
|
|
 |
| |
TOGD de estomac en position debout de
face . Image en chaussure de l.estomac . |
|
Estomac en debout
, profile droit expose |
| |
 |
|
 |
| |
Estomac en decubitus ventral OAD |
|
Decubitus OAD .
Antre et portion verticale est en pliine de baryte
. Arcade duodenum est bien detecte et en vue
nettement |
| |
 |
|
 |
| |
Les plies muqueuse fundique
recouvre le corps de l'estomac et etendre
longitudinale de la portion verticale et la grande
courbure |
TOGD de estomac en
Trendelenburg . Les plies muqueus gastrique sont
tres net . |
Les plies
muqueuses antrales recouvre de antre et sa direction
un peut perpendiculaire avec la portion horizontale
de estomac . |
| |
|
|
|
| |
 |
 |
 |
| |
TOGD duodenum debout :
images en serie de D1, genus superieure , D2 , genus
inferieure , D3 et D4 . Angle de Treizt est en vue
arriere de angle de petit courbure . Bulbe est en
pleine de baryte et se voyait normalement |
Arcade duodenum et antrum :
Images TOGD avec compression de la region bulbaire . |
Estomac , antrum
, pylore et ---arcade
duodenum en profile . |
| |
|
|
| |
 |
 |
| |
Images TDM de estomac en coupe
axiale ( Numero7) . Click ouvrie pour agrandir |
Et en coupe sagitale ( numero 3 ) . Click ouvrie
pour agrandir |
Pathologie
radiologique de oesophage :
-
Les malformations congenitales de oesophage :
Les anomalies congenitales de l'oesophage sont des
malformations qui surviennent au cours du developpement de
l'arbre tracheobronchique à partir de l'anse intestinale
primitive durant la periode d'embryogenese.
. Il y avait trois type de malformation congenitale de
oesophage : Atresia de l'oesophage , fistule oeso-tracheale
et duplication oesophagienne congenitale :
- -
Atresia de l'oesophage et
fistule oesotracheale :
Il y avaient cinq type de atresia et fistule
oesotracheale congenitale de oesophage :
stenose congenitale
et anormalie de l'oesophage inferieur ,
| |
 |
| |
| |
|
| |
| Type I
est atresia isole et sans fistule
resente de 7-10% des cas de atresia
congenitale de oesophage |
| Type II
est atresia avec fistule
tracheooesophagienne dans le segment
superieure ( 1 % ) |
| Type III est
atresia avec fistule
tracheooesophagienne dans le segment
superieure . En consommation de 80%
des cas de atresia congenitale de
oesophage |
| Type IV
Variant du type III . Y avait un
jontion de la partie superieure et
partie inferieure de oesophage ( 4%) |
| Type V Deux
ou plusieure de fistule . |
|
|
Technique radiologique de choix pour diagnostic
atresie congenitale est transit oesophagien ou
oeso-gastro-duodenale ( TOGD ) .
Diagnostique
prenatale est difficile
:Grossese hydramios ++ , Estomac non vue ( Type I,II ) ,avec
des autres malformations . A salle de
naissance , une cliche de face thoraco-abdominale et
cliche cervico-thoracique de profile avec sonde radio-opaque
butee en oesophage . La trajet du sonde se donne la cite de
atresia ou non ou bien en presente la fistule
tracheo-oesophagienne
| |
 |
|
 |
|
| |
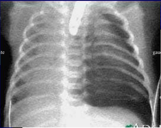
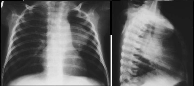
Image
radiologique de atresia congenitale de type I . La
contrast arrete a D4 sur la bifurcation de
trachee |
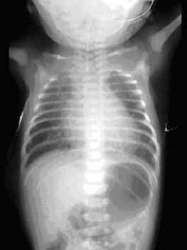
|
Un sonde radio-opaque bute dans oesophage
se donne la cite de atresia . Cliche
thoracoabdominale de face . |
|
| |
|
|
|
|
- Stenose congenitale
et anormalie de l'oesophage inferieur :
Incidence de stenose oesophagienne congenitale
pres de 1/25.000 a 1/50.000 . De 17% - 33% avaient avec
des autres malformations ( 1/3 ) . Ce qui attenir sur
les nourrisson jusqua 6 mois asymtomatiquement .Signe le
plus souvent est vomissement , disphagie ,
regurgitation, retard de croissante et syndrome de
respiratoire ( sweezing , cyanose ) . Lesion
histologique le plus souvent est epaissisement
fibromusculaire parietale , ou bien anneau cartilagineux
, parfoie valvule menbraneuse . Au point de vue
radiologique , ils y avaient 3 types de stenose
oesophgienne congenitale
| |
- Type Ia : stenose distal effilee
- Type Ib : stenose distal "abrupte
"
- Type II :
flammeche ( flash-shape shadow )
- Type III
: Comme type I , II avec extravation de
radio-opaque a hauteur de la stenose
|
|
 |
|
| |
|
|
|
|
| |
 |
|
 |
|
| |
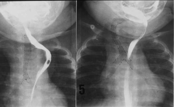
Image
radiologique de deux type de stenose oesophgienne
congenitale 1a, 2 et 1b en fusiforme , en flammeche
et abrupte |
|
Stenose
congenitale oesophagienne avec oesophagite
peptique(RGO). Oesophage en achalasia . |
|
- Duplication
congenitale de oesophage: C'est malformation
congenitale en formation kystique spherique ou tubulaire
au contact de oesophage . Sa situe est 60% a 1/3
inferieurede oesophage , 17% au 1/3 moyen et 60% pour le
1/3 inferieure
| |
 |
|
| |
|
|
| |
Image IRM en T1 et T2 une duplication kystique
1/3 inferieure de oesophage ( coupe frontale et
coupe horizontale ) . Cliche de face et de profile a
droite se presente uimage image de duplication
kystique de oesophage situe a 1/3 inferieure de
oesophage |
|
| |
|
|
|
|
| |
 |
|
 |
|
| |
Image TOGD de
oesophage une duplication tubulaire de oesophage
|
|
Image CT scanner une
duplication tubulaire de oesophage ( coupe tranverse
, fenetre parechymateuse ) |
|
| |
|
|
|
|
| |
 |
|
 |
|
| |
Image echographique prenatale d'une duplication
kystique au portion1/3 moyen de oesophage ( coupe
longitudinale ) |
|
Image echographique prenatale
duplication kystique de oesophage ( coupe
transverse ) |
|
Page :
1
/
2
/
3
/
4
/
5
/
6
/
7/
8
/ 9
/
<<
PREVIOUS
<<
>> NEXT >>
Gs Bui Binh Tho
|
|