|
-
La pathologie du carrefour
hepato-bilio-pancreatique est frequemment et tres variee et
la radiologie permet une approche de diagnostique de
nombreuse des differentes
pathologies du foie . -La pathologie radiologique du foie se
base sur les chapitres suivante : rappel anatomique du foie
, les technique radiologique conventionelle ,
interventionelle du foie , image radiologique normale du foie ( radio-anatomie du foie
) et sa pathologie radiologique .
Rappel anatomique du foie
Le foie se situe a hypochondre droit , sous
diaphragmatique et sous costal . Sa grandeur varie de 9-11cm
sủr la ligne mediane et 11-14cm sủr la ligne
medioclaviculaire droite , il avait deux lobe principale
forme en deux face et une bỏrdure : face diaphragmatique ,
face viscerale et une bord anterieure ou bord ventral
| |
 |
|
 |
|
| |
Le foie vue anterieure : 1
ligament coronaire |
|
Le foie vue inferieure : 1 Ligament
rond |
|
| |
- 2 Ligament falciforme
|
|
-2 Lobe anterieure ou lobe carre |
|
| |
- 3 Ligament rond du foie |
|
-3 Lobe droit du foie
4 |
|
| |
- 4 Lobe droit du foie |
|
- 5 Veine cave inferieure - 6
Vesicule biliaire |
|
| |
- 5 Lobe gauche du foie |
|
- 7 Veine porte -8 Canal choledoque
|
|
La vascularisation du foie comporte deux
vaisseaux majeures : Artere hepatique , systeme veine porte
et sus hepatique . Ce qui contient plus de 10% du
volume sanguine totalement du corps et il y
avait de plus de 1,4 litre de sang a travers le foie en
chaque minute .
| |
-Systeme de artere hepatique
|
- Artere hepatique moyenne une branche de
tronc coeliaque |
|
| |
comporte : |
- Artere hepatique gauche
naissance de artere gastrique |
|
| |
|
- Artere hepatique droit , brache de
artere mesenterique |
|
| |
|
superieure |
|
| |
|
|
|
| |
- Systeme de veine porte et
sus |
- Naissance de la veine mesenterique
superieure , veine |
|
| |
hepatique : |
mesenterique inferieure et veine splenique .
Puis en divise en |
|
| |
|
branche porte gauche et branche porte droit |
|
| |
|
- Apres echange avec cellules hepatiques ,
tous se collecte en trois veine sus-hepatique
quitent le foie et se jettent dán la veine cave
inferieure |
|
| |
|
|
|
|
| |
 |
|
 |
|
| |
Systeme
artere hepatique ( Image TDM avec contrast en
coupe frontale , phase arterielle ): 1 Artere
hepatique gauche , branche de artere gastrique
- 2 Artere hepatique moyenne , branche de
tronc coeliaque -3 Artere hepatique
droit , branche de artere mesenterique superieure -
4 Artere mesenterique superieure - 5
Tronc coeliaque |
|
Systeme de veine porte (
Image TDM avec contrast en coupe frontale , phase
veineuse ) : 1- Branche porte gauche -2
Branche porte droit - 3 Veine splenique -4
Veine mesenterique superieure - 5 Veine porte
. |
|
| |
|
|
|
|
| |
 |
|
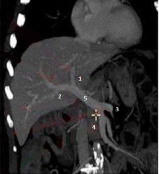
Systeme de veine porte et sus
hepatique du foie : 1 Veine cave inferieure , 2
,3,4 trois branche de veine sus hepatique
5- ligament rond 6 -Veine porte
Et la relation des segments avec des branche du systeme veine porte et sus hepatique du
foie . |
|
| |
|
|
|
|
Les
lobes et segments du foie :
Le
foie , il y avait quatre lobe et huit segment ,
en separation par ligament falciforme et entre deux lobe
majeure , c'est lobe care anterieure et lobe caude
posterieure
Techniques radiologiques du foie :
Generalement les techniques
radiologiques du foie se base sur :
-Le cliche de ASP
: C'est une examen le plus frequemment et routine
avant sủr toute de la demande d'exploration du foie et de
l'abdomen . Par cette methode on peut verifie et differencie
les quatres types de densite des organe de l'abdomen .
L'air avec image sur cliche standard est noir . La graisse
plus dense que l'air est grise . L'eau est tous les organes
pleines ( foie , la vessie , les reins , la paroi du tube
digestif ) . Et le calcium arrete le plus les rayon X
( metal chirugicale , les clips , les produit de contrast )
. L'indication de ASP est commune : colique hepatique ,
colique nephretique , perforation digestive , syndrome de
occlusion et sub occlusion ..
| |
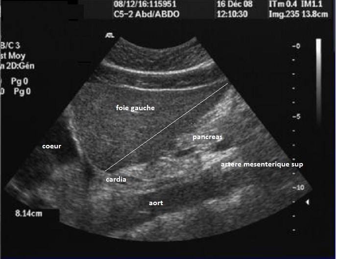
- Echographie
: Par l'utilise de onde ultra sonore pulse ,
image de receillir est image par la
recontruction sur les differences de densite des
organes de l'abdomen . Cette methode est innocuite ,
n'a pas d' irradiation et simple ; n'a pas
cher , tres interresant surtout chez les gens
maigres et images de receuillir est iso/hyper/hypo
et anechogene . |
| |
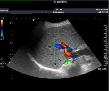
Echographie en
Doppler , methode trés utilise pour les
pathologies hepatiques , par cette methode on peut
differencie et verifie le flux monophasique et
triphasique de la veine porte et veine sús
hepatique . Par encoder de vitesse du flux sanguine
des vaiseaux intra hepatique on peut codee en
couleur le trajet des artere et veines
intrahepatique , ce qui permetre de diferencie la
richesse de vascularisation d"un tumeur ou une
lesion intrahepatique ( maligne ou begnin ) . |
| |
Echo-elastometrie :, methode echographique en d'exploration la densite
et la degree de durcitation de lesion tumoral
( mous ou durcite ) intra hepatique
|
| |
- Indication de echographie du foie : Les
indications de echographie du foie sont vaste , ils se
incluente et se resume : |
|
| |
L'exploration des douleurs abdominales
region hypochondre droit ou epigastrique, d'anormalie biologiques
du sang , et la presence
de masse abdominale palpable . |
|
| |
L'exploration le bilan et surveillance de pathologie inflamatoire aigue et chronique du foie ,
de l'aspect du foie des hepatites , des cirrhose .
|
|
| |
Recherche et caracterisation de nodules , recherche
de complications ( vasculaire , ascite ..), depistage , caracterisation et
surveillance des nodules hepatiques benins ou
malignes . |
|
| |
Surveillance post operatoire (
hepatectomie , transplantation hepatique ....) |
|
| |
L'exploration d'une pathologie biliaire :
calcul connu ou en differencie , antecedent de
chỉrurgie biliaire , de pathologie inflamatoire ou
tumorale de voie biliaire. |
|
La TDM :
Methode plus couteuse que echographie mais est
l'examen de deuxieme intention pour exploration de la
pathologie du foie . C'est technique simple pour
caracterisation la taille et la densite des organes de
l'abdomen , bonne sur le foie , pancreas et de voie biliaire
. Sa resolution et image de receuillir etre bien et sa champ
de visuelle est plus large que echographie .Ce qui ainsi
peut utilise de recherche de adenopathie et de extention
locale ou metastasique de cancer du foie .
| |
Indication de TDM du foie est tres large . Il
permet en resume : |
| |
- Recherche et caracteriser les nodules hepatiques , qu'il soient benins ou maligns du foie
saint ou foie cirrhotique |
| |
- Etudie finnement des vaisseaux
hepatiques |
| |
- De presiser un bilan preoperatoire (
avasnt albalation d'une partie du foie ou avant de
trans- plantation hepatique ) |
| |
|
| |
Contre indication de TDM : |
| |
- Allergie au produit de contrast
iode et insuffisance renale |
| |
- La grossesse ( N'est pas absolue dans
la situation d'ủgence , contre indication relative
forte ) |
| |
- Cout est moyen |
| |
|
| |
 |
|
 |
|
| |
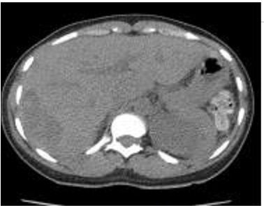
Image TDM du foie en coupe
axiale ( avec contrast iode intra veineuse ) . |
|
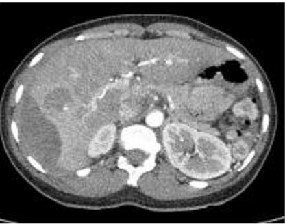
Image TDM du foie en coupe
axiale a travers la vesicule biliaire ( avec
contrast ) . Veine porte , vesicule biliaire sont en
voyait |
|
| |
 |
|
 |
|
| |
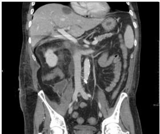
Image TDM de l'abdomen en
coupe coronale ( frontale)avec contrast iode . Veine
porte branche droit et gauche sont en vue |
|
Aspect normale de la veine
porte commun en coupe TDM coronale . |
|
La CT scanner en association de injection de produit de contrast intraveineuse ( CT angiography )peut
analyse image du lesion en quatre temps . Temps de precoce ,
temps arteriel , temps portal et temps tảrdif . Image
au temps tisu;laire des lesions et des organe sont en bien
voyait pảr la rehaussement tisulaire de produit de contrast
intraveineuse.
| |
 |
|
 |
| |
Image TDM du foie
en coupe axiale sans preparation ( n'a pas de
contrast ) |
|
Meme cas avec contrast iode
intraveineuse . Image de rehaussement de la
parenchyme hepatique et les autres organes sont en
vue . Image d'une hematome du foie droit devient en
vue tres nette |
La CT scanner et
résolution spaciale : On peut faire de recontruction
sur les coupe multiplanaire axiale de image en 3D , coupe
axiale , coupe frontale et coupe sagitale . Ce
qui permet de receuillir une image spaciale vasculaire
en 2D et 3D
| |
 |
|
 |
|
| |
Image TDM du
foie en coupe axiale ( avec produit de contrast
intraveineuse ) |
|
Image TDM de meme cas par
recontruction en coupe coronale ( frontale ) . Image
de aorte abdominale , artere mesenterique superieure
, veine cave inferieure , veine porte et sa branche
se voyaient nette |
|
| |
 |
|
Image de recontruction spaciale de
aorte abdominale et ses branches en 2D et 3D
|
|
L'IRM imagerie par resonace magnetique :
Est une technique ce qui donne de resultat
de bon des images en plan axiale , sagital et coronal .
L"IRM permet de distinction de difference type de
tissus mous et augemente a plusieur foie de la resolution
de contrast du tissu observe . Pour les examens du
systeme musculo-squelettique , du cerveau ou du foie par exemple,
cela signifie :
- Augementation de detail dans
anatomie de la region examinee .
- Sensibilite de la detection des
tissus pathologiques .
Par le changement le temps de repetition ( TR )
intervalle du temps entre deux exitations on peut change et
ajustement de contrast donnee ( T1 et T2 ) . Par
exemple : dans une image ponderee en T1 , la graisse
apparait hyperintense ( image claire ) et l'eau hypointense
. Dans une image ponderee en T2 l'eau apparaitre
hyperintense ( couleur claire ) et la graisse un peu plus
sombre que l'eau .Ce qui permet d'elimination de
detail antomique et topographique des lesions . Et meme dans
le plan de caracterisation d'exploration pathologique
du foie on peut en association angio-ỈRM ( arteriographie -
IRM ) ou cholangio-IRM ( cholangiographie et IRM ) .
| |
 |
|
 |
|
| |
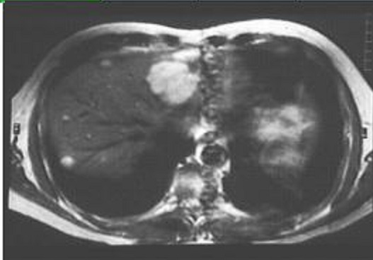
Image ỈRM
ponderee T2 coupe axiale
du foie : Aspect hyperintense d'une hemagiome du foie
, lobe droit |
|
Aspect enorme dilatation des
voies biliaires et image de dilatation du canale de
Wirsung : Tumeur de la tete du pancreas . Image
cholangio-IRM du foie
|
|
Angiographie -arteriographie
: Technique radiologique le plus souvent en
service pour embolisation / chimio embolisation ou en place
une stent et/ou angioplastie arterielle
.
A suivre
Page :
1
/
2
/
3
/
4
/
5
/
6
/
7/
8/9/
<<
PREVIOUS
<<
>> NEXT >>
Gs Bui Binh Tho
|
|