|
Dr Bui Binh Tho
Pathologie radiologique du pancreas ( A suivre )
Pathologie
radiologique inflamatoire du pancreas :
Pancreatite aigue : .La
pancreatite aigue est une infection aigue fequente du pancreas se caracterise par un syndrome douloureux
abdominale aigue , nausee , vomissement en association
une elevation de la lipase et amylasemie . C'est l'affection
aigue rapide du pancreas par cela de 0,15 -1,5 % des
cas doit
se presente dans la service urgence . Les causes de
pancreatite aigue sont :
- Intoxication de : alcool , medicament , insecticide
- Obtruction de voie biliaire : calcul biliaire ...
- Tumeur pancreatique
- Hyper triglyceridemie severe ou hypercalcemie
- Infection viral ou bacteriennes
- Traumatisme abdominale .ou intevention chirugicale
Le diagnostic positive se pose devant une douleur
de l'abdomen aigue avec nause , vomisement et lipasemie
augemente de plus de 3 fois normale . On en distingue trois
formes de pancreatite aigue .: Pancreatite oedemateuse
presence dans 80% des cas , affection uniquement le pancreas
, sa gravite est attenue et l'evolution favorable .
Pancreatite necrotique hemorragique , l'evolution est tres
grave avec affection necrotique de tout ou un partie de
pancreas et encoule des organe extra-pancreatique . Sa
mortalite reste de 2 - 10% . Deux signe plus rare du pancreatire
aigue hemorrhagique est signe de Cullen , ecchymose
periumbilical et signe de Grey Turner ecchymose des flancs
. Pancreatite gangreneuse
une forme tres severe de pancreatite aigue
L'imagerie de pancreatite aigue est la radiologie
standard : les cliches exposes ASP , echographie et la
TDM et IRM .
Cliche de ASP
: Image radiologique de pancreatite aigue le plus souvent
sur ASP est image de ileus de reflex le plus diffuse ,
parfoi on peut en visualite image de anse de grele sentinele
( sentinel loop ) presente par ileus duodenal , image de
spasme du colon descendant ( colon cut off sign ) . Les
autre signe indurect de pancreatite aigue sont image de
pleuresie pulmonaire souvent a gauche , elevation de
la coupole diaphragmatique , atelectasie de la base du poumon \.
| |
 |
|
 |
|
| |
Image
radiologique ASP de pancreatite aigue est aspect de
niveau hydroaerique de sentinel ( sentinel loop ) (
fleche rouge ) |
|
Image de pleuresie
pulmonaire le plus souvent a gauche |
|
| |
 |
|
 |
|
| |
Aspect de
distention gaseuse du colon tranverse avec distendue
du flexus splenique " colon cut off sign" . Cliche
de face ASP d'une pancreatite aigue ., |
|
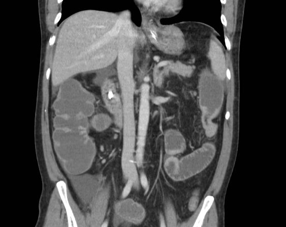
Aspect de distendue du plexus
splenique dans pancreatite aigue . Image
radiologique TDM avec contrast intraveineuse ,
couple coronal . |
|
. Echographie :
Image echographique
percutanee direct de
pancreatite aigue est image de diminue de echogene de la
parenchyme du pancreas avec augemente de la taile du
pancreas , la diametre du corp du pancreas depasse
2,5cm , le bord anterieure est oedemateuse et devient
irregulie , echogenecitie est diminue ,et heterogene ,
epanchement peri pancreatique est tres frequemment . Signes
indirects de pancreatite aigue sont image de calcul des
voies biliaire et de la vesicule biliaire et par
augementaion de volume du pancreas , image de
displacement le colon transverse et de l'estoma.sont
en visible . Dans les cas pancreatite aigue necrosant des
paches hypoechogenicite peut en voyant .
| |
 |
|
 |
|
| |
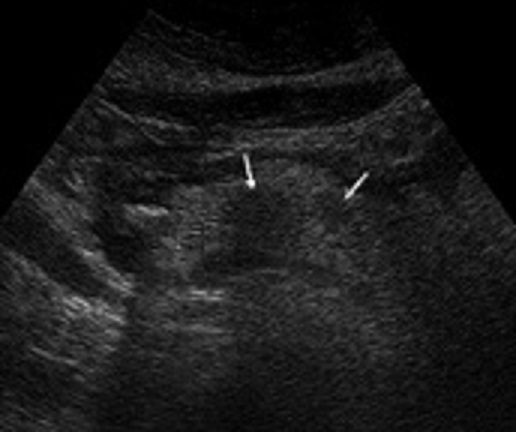
Image echographique d'un
pancreatite aigue au stade debut . Le pancreas est
volumineuse , diametre du corp > 2,4cm . Le
parenchyme est oedemateuse avec couche epanchement
discrete peripancreatique |
|
Pancreatite aigue au stade avance . Le
pancreas est volumineuse , hypoechogene , heterogene
, sa bord est irregulie avec image de epanchement
peri pancreatique en visible tres nette . Image
echographique du pancreas en coupe transverse |
|
| |
 |
|
 |
|
| |
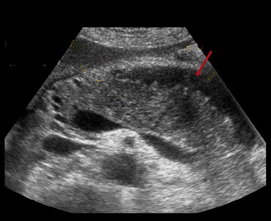
Image echographique d'un
pancreatite aigue form necrotique hemorragique .
Pancreas est volumineuse ,a bord irregule ,
parenchyme oedemateuse hyp[oechogene non homogene en
accosiation des zone necrotique hypoechogene (
fleche blanche ) . Epanchement peripancreatique est
tres marquee |
|
Douleur de l'abdomen avec
nausee , vomissement + image echographique de calcul
des voies biliaires ,ou de la vesicule biliaire , ce
qui entraine une diagnostic digirable de pancreatite aigue
|
|
| |
|
|
|
|
LaTDM :
C'est l'intention de choix pour diagnostic
pancreatite aigue . Une premiere helice des coupes realise
sans contrast intraveineuse pour rechercher les calculs dans
les voies biliaire et pour recherche des colllective
hematique spontane . La deuxieme helice des coupe se realise
avec de contrast intraveineuse sur les deux temps ( arteriel
pancreatique et portal ) afin de apprecie les etendues de la
necrose .
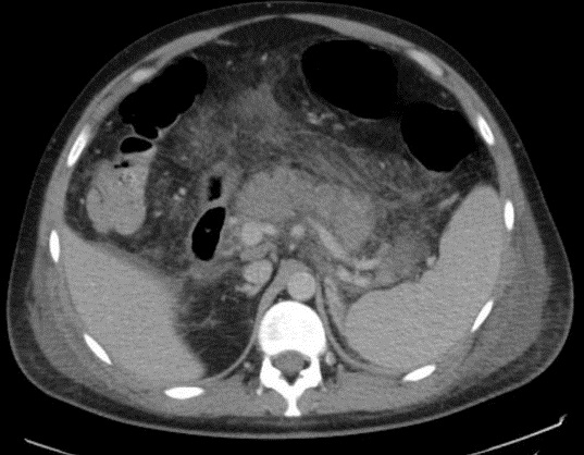
Image radiologique TDM de pancreatite oedemmateuse
benigne sont : Au stade de debut image radiologique peut
etre normale ou en volumineuse . Au stade avance le pancreas
est volumineuse, en siegant des oedeme hypodensite
localise ou diffuse dans la parenchyme dupancreas , ce
qui entraine une perte de sa lobulation physiologique , sa
contour devient flou et le diametre antero-posterieure de la
tete du pancreas depasse diametre tranvesale du corps
vertebrale ajacent . Oedeme peut en depasse au dela du
pancreas ce qui done de image de densification de la graisse
peri -pancreatique et epaissisement de fascia para
renale
| |
 |
|
 |
|
| |
Aspect
radiologique TDM une pancreatite aigue form
oedemateuse : epaissisement du diametre antero
posterieure avec epanchement legere parapancreatique
. Image radiologique TDM C+ phase veineuse , en
coupe axiale . |
|
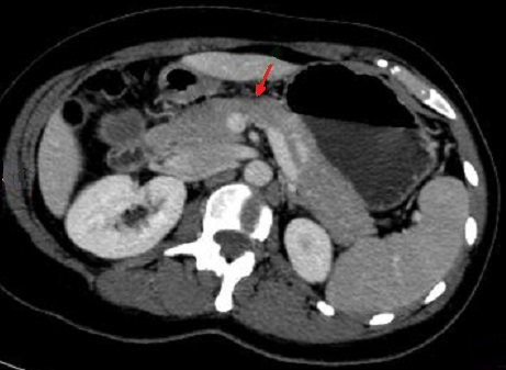
Aspect radiologique d'une pancreatite
aigue avec image d'augementation de volume
pancreatique et apparaitrait au bord anterieure
image de focal hypertrophie ( fleche rouge ) et
perdre de sa lobulation du queue .Le diametre antero
-posterieur de la tete du pancreas est depasse le
diametre transversale du corp vetebrale . Image
radiologique TDM plus C+ phase veineuse . |
|
| |
 |
|
 |
|
| |
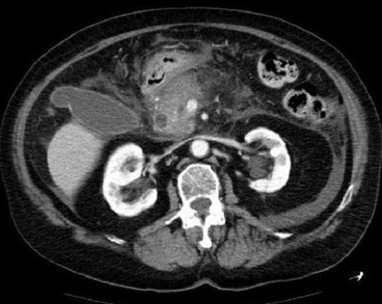
Image
radiologique TDM en coupe axiale d'une pancreatite
aigue form oedemateuse : Aspect hypervolumineuse du
pancreas avec des sieges oedeme localise hypodense
dans la parenchyme situe au queue du pancreas ..
|
|
Pancreatite aigue forme oedemateuse grave
. le pancreas en volumuneuse avec des sieges
oedemateuse a hypodensite diffusant dans le corp et
du queue du pancreas . Di ametre antero-posterieue
de la tete du pancreas tres depasse diametre
transverse du corp vertebrale . |
|
| |
 |
|
 |
|
| |
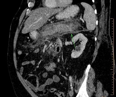
Affection oedemateuse peut
s'etendre au dela du pancreas et se densification de
la graisse peri-pancreatique ( fleche rouge ) .
Image radiologique TDM en coupe sagitale |
|
Affection inflamatoire du pancreatite
peut s'etendre et affecte d'epaissisement de la
facia pararenal ( fleche rouge ) . Image radiolgique
TDM encoupe axiale phase arteriel |
|
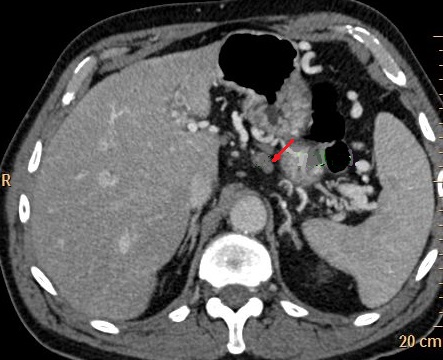
Image radiologique TDM de pancreatite
necrotique hemorragique est : Image de presente des
foyers collectiones necrosants intra ou extra
pancreatique absence ou defaut de rehaussement apres
injection de contrast intraveineuse . Les collections de
l'affection sont compose de necrose , d'hemorragie et
exudative . La formation des abces peut en visible des foyer
de collective hydrique . Image de reactionelle ganglionaire
,epanchement ascitique ou epanchment pleurale peut se en
visible
| |
 |
|
 |
|
| |
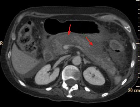
Image radiologique de
pancreatite forme necrotique hemorrhagique avec
aspect des foyer de necrose parenchymateuse
hypodense et defaut de rehaussement ( fleche rouge )
. Image radiologique TDM phase veineuse |
|
Image radiologique TDM
arteriel phase d'une pancreatite necrosant
hemoragique : Pancreas en volumineuse , presence des
foyers de necrose , hemorragique et exudative a
hypodense ,absence ou moindre de rehaussement situe
intra et extra pancreatique |
|
|
| |
 |
|
 |
|
| |
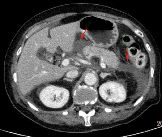
Image d'une pancreatite aigue
avec des foyers de absence de rehaussement a
hypodense apres de injection contrast intraveineuse
( fleche rouge ) . Image radiologique TDM phase
arteriel |
|
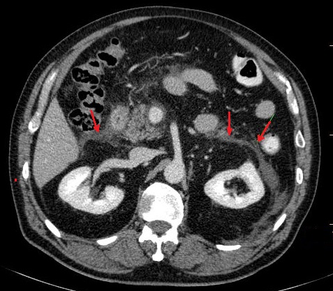
Aspect de reactionnel des
ganglions peri- pancreatique ( fleche rouge ) |
|
| |
 |
|
 |
|
| |
Aspect ascitique dans
la region pelvienne , complication d'une pancreatite
necrosant hemorragique |
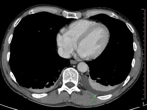
|
Et une epanchement pleuraux
est le plus frequemment a gauche |
|
L'IRM
:
La IRM avec contrast
intraveineuse se
donne des resultats d'egalite la TDM dans pancreatite aigue
.
Diagnostic de gravite :
Depuis 1985 a 2013 il y avait plusieure de
classification de la gravite , de severite de pancreatite
aigue : Atlanta ** , Bisap**,Revised Atlanta **... , mais tous
se base sur la classification
tomodensitometrie de Balthazar , decrite de 1985 et update
1990 . La TDM doit realise a 48h apres le debut de la syntome
de la pancreatite
Score
tomodensitometrique de gravite de Balthaza
Complication
: Complication de pancreatite aigue :
| |
- Précoces
(2-3 jours) : Systémiques: choc
cardiovasculaire, détresse respiratoire,
insuffisance rénale, CIVD, coma diabétique |
|
| |
-
Intermédiaires (1-5 semaines) : ,Nécrose
pancréatique ,abcès
pancréatique ,pseudo-kyste du pancreas ,Fistule
digestive |
|
| |
-Tardives
(mois, années) :Complications
vasculaires (érosions artérielles, thromboses
veineuses de veine splenique , mesenterique
supperieure et de la veine porte , ) ,ascite pancréatique , diabète |
|
| |
|
|
Dr Bui Binh Tho
Page :
1
/
2
/
3
/
4
/
5
/
6
/7/
8/
9
/
10
/11/
12 /
13 /
A
suivre
<<
PREVIOUS
<<
>> NEXT >>
,
|
|