|
Rappel anatomie du colon : Generalement le colon est
au debut de ceacum avec appendice coecale . Il y avait
5 segment , colon ascendant ( fixe ) , angle colique droit ,
colon transverse , angle colique gauche , colon
descendant avec trois portions , descendant , iliaque
, colon sigmoide( mobile ) et rectum . Sa longeur est
de 1,35m de long . Le diametre est variable de 7-8cm au
coecum et 3-5 cm du colon Sigmoide . . La
muqueuse du colon se plie en forme des haustration colique
en difference avec des plies de villocites de l'intestin
grele . Le colon droit etre vascularise par artere
mesenterique superieure et colon gauche est vascularise par
artere mesenterique inferieure , la retour veioneuse est
veine mesenterique superieure
| |
 |
|
 |
|
| |
Le colon avait 5 segment ,
colon ascendant ( fixe ) , angle colique droit ,
colon transverse , angle colique gauche , colon
descendant avec trois portions , descendant ,
iliaque , colon sigmoide( mobile ) et rectum . Sa
diametre est varie de 7-8cm au coecum et 3-4cm au
colon sigmoide |
|
La region ileo -coecale peut
varie en trois type : Type a , b , et c |
|
| |
 |
|
 |
|
| |
Le colon est vascularise par
artere mesenterique superieure et artere
mesenterique inferieuse et ils sont anastomose par
des arteres paracolique |
|
La retourne veineuse du colon est realise
par la veine . : veine mesenteriquẻ superieuse
er veine mesenterique inferieuse |
|
Techniques radiologiques et radio-anatomie du colon :
. Les
techniques imageries d'exploration de intestin grele se
basent sur : la radio-standard ASP la lavement baryte
mono de contrast ou double de contrast , echographie -Doppler transcutanee
,
la TDM sans preparation , la TDM a preparation ( ColoCT ) ,
la coloscopie , IRM , atreriographie et PET /CT
La radio-standard ASP se realise en position
debout et ce qui peut relevement des signes de perforation
du colon , les occlusions , la volvulus du colon ( image
hydroaerique en niveaux ) et les lesions osseuses de
accompagnement
.Echographie et echographie - Doppler
transcutane avec sonde 3,5 et 7,5 MHZ ou de plus de MHZ peu
apprecie : epaississement parietale du colon ascendant et
descendant , etat de valvule ileocoecale , la
collection des abces , des adenopathies et des vaisseaux (
artere mesenterique superieure , artere mesenterique
inferieure .)la bilan d'extension et parfoi permet de guide
des ponctions de biopsies .
En generalement la paroi digestive
normale se presente en 3 couche : la sereuse , la
musculeuse , la sous muqueuse et la muqueuse . A interface
de muqueuse est la lumiere du tube digestif . A interface de
la sereuse est la graisse peri digestive . Tout se formaient
en 5 couche alternativement de hypo a hyperechogene :
| |
| - Interface interne : Hyperechogene
|
| - La muqueuse
: ,Hypoechogene |
| - La sous musqueuse
: Hyperechogene
|
| -La couche musculeuse : Hypoechogene |
| -Interface sereuse -graisse
peridigestive : hyperechogene |
|
 |
|
Il y a la difference de image
echographique intestin -grele et la colon :
L'epaisseur de la paroi de l'intestin normalement est en
moyen a 3mm avec des plies muqueuses et de peristaltisme
marquee , mais epaisseur du colon varie entre 5mm et en
moindre de mouvement peristaltisme . Au colon droit : les
haustras son tres espace et colon gauche , les haustration
sont plus nombreuse . Au ileon la
hauteur des plies muquese est diminue et espace entre des
plies muqueuse sont augementes
| |
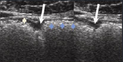
 |
1 - Anse ileale
2 - Valvule
3 - Coecum |
| |
Valvule ileo-coecale :
Image radiologique normale |
|
| |
 |
 |
| |
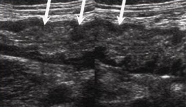
Colon : L'epaisseur du colon varie
entre 5mm et peristaltisme presque interceptible .
Colon droit : Les haustrations
sont plus espacees et la paroi anterieure presque
toujours aerique ** |
Colon gauche : Haustration sont plus nombreuse s avec hypertrophie
musculeuse |
| |
|
|
Lavement baryte ( opacification baryte )
mono de contrast est en realisee par
la produit de contrast seul le long du colon ou bien d'insuffle de air pour
avoir une image en double de contraste . Cette methode peut
raccoucir l'examen et decele de petites stenoses . Apres evacuation du cardre colique le plus complete possible
, l'insufflation de air et une rotation complete du sujet
sur lui meme pour repartition complete de la supension
barytee sur la paroi colique . Image radiologique obtenir
soit en double de contrast et les lesions de la face
anterieure et posterieure du colon peut etre en visible .
| |
Indication des divers types de lavement
baryte du colon sont : |
| Lavement
mono de contraste : |
-Pathologies intrinseque du colon , colite
evolue, cancer avance,
compression extrinseque ( pancreatite , masse
tumorale , metastases ),recherche d'une lesion
evolutive , malade nonmobilisable et en urgence :
obtruction colique . |
| Lavement en double de
contrast |
-Des antecedents familiaux de cancer du
colon |
| |
-Problemes de saignement lors des selles-Diarrhees
persistantes et douleur abdominales atypiques -
Colite au stade initiale |
| Lavement aux
produit de contrast hydrosoluble |
- recherche de fistule |
| Contre indication
de lavement soit : |
-Megacolon toxique, perforation
imminente,colite pseudomenbraneuse , biopsie
endoscopique recente , grossesse , mauvaise
preparation intestinale , transit baryte recent . |
| |
|
Normalement la colon est un tube cylindrique a
paroi lisse comporte en cinq partie . Le colon droit depuis
le caecum debute le ceocum jusqu'a l'angle droit , le colon
transverse , le colon gauche , le sigmoide et le rectum
| |
 |
 |
Le colon est
en aspect segmentation haustrale a bien
visible de droite a gauche . Epaisseur des
haustrations ne depassent pas de 2 a
3mm . Calibre du colon etre inferieure de 5
a 6cm
|
|
|
| |
l y avait 5 segment ,
colon ascendant ( fixe ) , angle colique droit ,
colon transverse , angle colique gauche , colon
descendant avec trois portions , descendant ,
iliaque , colon sigmoide( mobile ) et rectum . |
 |
|
| |
 |
 |
|
| |
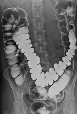
Image une
lavement baryte mono de contrast . La region ileo -
ceacal est si nette . Une partie de ileon peut
voyait . Appendice se presente dans cette cas |
Lavement baryte ( mono
contrast ) : Image radiologique normale du colon :
Caecum , colon ascendant , angle droit , colon
trasverse , colon gauche , colon sigmoide et rectum
. |
|
| |
|
|
|
| |
 |
 |
|
| |
Image
radiologique normale du colon en double de contrast
: les haustrations sont en bien visible meme en face
anterieure et posterieure . |
Colon ascendant et
descendant sont bien voyait en double de contrast
|
|
| |
|
|
|
Les techniques radiologique TDM du colon sont : La
scanner de la cavite abdominale - pelvienne sans preparation
simple , la coloscanner a l'eau ,
coloscanner a l'air( CO2 ) (
coloscopie virtuelle ) et coloscanner aux
hydrosoluble iode ,
scanner helicoidal .
-La scanner sans preparation est indique dans des
cas de urgences abdominales et la coloscanner aux
hydrosoluble iodes etre indiquer dans cas de fistuile de
fuites de contrast extravastion ou de analyse du colon
sigmoide
- La coloscanner a eau
est indique pour recherche d'une cancer colique , ou
decouverte des metastases hepatiques .et peut etre
encore de recherche des tumeurs du colon , le bilan des
hemorragies digestives , occlusions de bas grade et dans
certaine cas de enterite inflammatoire compliquee . - Image
radiologique d'une coloscanner a
l'eau c'est la technique TDM avec une opacification du
colon a l'eau tiede ( comme une lavement baryte ) a l'aide
une sonde rectale . L'exploration et les exposes represence
apres distension colique a l'eau tiede avec injection de
contrast iode hydrosoluble
par voie intraveineuse :
| |
|
|
|
| |
 |
|
 |
| |
Image d'une polyp du colon (
fleche rouge ) . Colos scanner a eau en coupe axiale
. Cette technique peu elimine des polyps de plus de
7mm |
|
Aspect de même polyp
en vue par technique Coloscopie virtuelle **
. |
| |
|
|
|
| |
 |
|

Même cas en coupe axiale . Coloscanner a l'eau |
|
| |
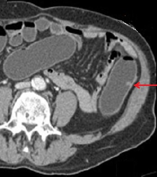
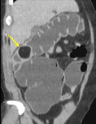
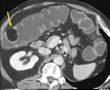
Image d'une masse arrondie a
hypodense situe au angle colique droit . Aspect
d'une lipome du colon droit . Image radiologique de
coloscanner a l'eau |
|
La difference de coloscanner
a l'eau et la TDM de sans preparation est il n'a pas
d'air dans le colon et image de la paroi du colon de
la lesion est plus net ( plus hyperdense ) que la
TDM normale |
|
La coloscopie virtuelle
est methode de permet
d'etude interne de la lumiere colique a la recherche des polype ou de lesion cancereuse
. Indication du coloscopie virtuelle est : Recherche
des polypes ou des petites tumeur , les lesions stenosants
que on ne peut pas realise d'une fibroscopie du colon . La doses d'irradiations de cette methode
est a inferiuerue de 25% a 75% a une examen scannographique
standard abdomino-pelvienne . Cette irradiation est a egale
d'un lavement baryte normale ( 0,61 rem ) . Les radiologues
utilisent un logiciel dedie ce qui permetre de lire en 3D .
Au premiere temps on analyse le colon en 2D coupe axiale ,
puis en coupes multiplanaire et en 3D avec vision
endoluminale . Tout la manipulation des images par le
medecin varie entre 15 a 45 minute , complication de cette
technique est tres rare
Image radiologique 3D et endoluminale du colon
sont :
| |
 |
|
 |
| |
Image de pro-contruction de
coloscopie virtuelle du colon en 3D |
|
Image complete de coloscopie
virtuelle du colon en 3D ( voie
colosscanner virtuelle
) |
| |
 |
 |
 |
| |
Coloscopie
virtuelle : Image endoluminale normale du colon .
Technique d'exploration du colon a non invasive (
coloscopie virtuelle
) |
Coloscopie
virtuelle : Image endoluminale d'une polyp du colon
. Cette technique peut detecte des polyps a plus de
5 mm de diametre
|
Image macroscopie reelle de
cette polyp en vue par fibroscopie ( colonos scopie
) du colon |
La IRM peut donne de etude
multiplanaire des tumeur et le bilan d'extension precisement des
lesions tumorales ou bien exploration des vaisseaux ( angio
-IRM )
La coloscopie : Methode d'exploration restricte
seul sur la partie superieure du tube digestif arrete au
jejunum et ce qui donne de image macroscopique saint ou
lesionaire de la muqueuse du tube digestif . Biopsie
d'exploratrice peut etre par cette voie .
Pathologie radiologique des lesions congenitales du colon
-
Megacolon : C'est
la dilatation anormale du
colon qui peut d'origine congenitale ,
maladie de Hirsprung ou acquis ( megacolon toxique de
certaine maladies inflamatoires) .
Maladie de Hirschsprung
:
Maladie congenitale du colon cher l'enfant en
particuliairement par l'absence des cellules
ganglionaires dans la sous muqueuse et dans les plexus
myenterique du colon . Ce qui entraine de la dilatation du
portion rectosigmoide du colon Sa incidence est 1/5000
naissances avec sex ratio est 4/1 sur la rectosigmoidienne
et 2/1 pour les formes etendues( dolicocolon ) complication de stase et
occlusion , enterocolite sont tres souvent , complication de
perfore et peritonite parfois se presente .
| |
- Images radiologiques ASP de la maladie de Hirschprung est
image de dilatation aerique du colon en amont de l'enfant et
par fois image de perfore ou peritonite ( image de
croisante gazeuse sous diapragmatique ) |
| |
- Aspect radiologique de lavement baryte du
megacolon congenitale de Hirrschprung se monte
que la portion aganglionaire est serre et image de
distension du colon en amont en presence . En
cas de dolicocolon la portion aganglionaire est
etendu le long du colon et aspect du colon dans ce
cas est tres en particuliairement . |
| |
- Image TDM du maladie de Hirschprung est
image de dilatation du colon et image de
aperistaltisme serre et epaissisement legere de la
paroi du portion aganglionaire du colon . Image de
peritonite ou image de perforation " free air
abdominal " parfois se voyait |
| |
 |
 |
| |
Colon normale |
Maladie de Hirschprung
: Portion recto-sigmoidienne aganglionaire
congenitale se propulse le bol fecale vers en amont
du colon et la colon se distendu |
| |
 |
 |
|
| |
Aspect radiologique ASP d'une
megacolon congenitale : Image dilate aerique du
colon en amont de la portion inerve (
aganglionaire ) . |
Image distendue aerique du
colon descendent et colon transverse d'une megacolon
congenitale .Cliche radiologique ASP de face . |
Aspect de
lavement baryte de meme cas : La portion recto-sigmoidienne
innertie ( fleche blanche ) se diminue sa diametre
et la colon ascendent et transverse sont dilate. |
| |
|
|
|
| |
 |
 |
|
| |
Aspect
radiologique d'une megacolon congenitale (
Hirschprung disease ) . Image de la portion
aganglionaire est tres net sur le cliche OPG (
fleche rouge ) . Sa lumiere est peut serre , lisse ,
mou ( fleche rouge ) . La colon en amont est dilate
, perdre des hautres et la portion en aval est
presque normale . |
Megacolon congenitale
( maladie de Hirschprung ) La colon en amont est
dilate et la portion aganglionaire ( fleche rouge )
est aperitaltisme et serre . La colon rectale en
aval est normale . Lavement baryte du colon , cliche
de face . |
La portion non
innerve du colon
se propulse le bol fecale vers en amont et
la colon se distend . Aspect radiologique lavement
baryte du colon sigmoide . |
| |
 |
 |
 |
| |
En cas la portion
aganglionaire est etendue le long de la colon , il
se fome la dolichocolon ( micro-colon ). Aspect radiologique de
lavement baryte d'une dolicocolon , l'intestin en
amont du colon est tres dilate . |
Aspect radiologique TDM
du megacolon . La colon transverse est tres dilate
en aerique . Image TDM en coupe coronal |
Meme cas
en coupe TDM sagitale . La portion innertie se
voyait longitudinal en arriere |
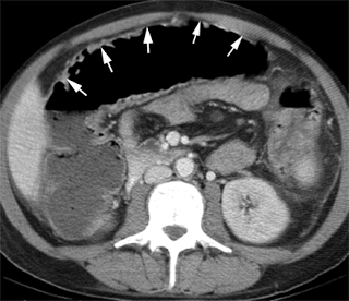
Toxique megacolon :
C'est
etat inflamation et oedemateuse des couche profonde de
la paroi du colon ( underlying colonic pathology ) et ce qui
arrete la fontion de l'absortion de l;'eau et d' evacue la
feces du colon .La coon est dilate et perdre de la fontion
evacue naormale . Les causes de toxic megacolon
le plus souvent est ulcerative colitis , maladie de Crohn .,
ischemie de artere mesenterique infereure ou infection
du colon par C.difficile .Sa complication est
perfore et peritonite . Aspect radiologique ASP du toxic
megacolon est image de distension aerique du colon
avec image de epaisissement des hautrations du colon en
forme de thumbprinting . Dans toxic magacolon par
cause de colite ulcere la colon est dilate et perdre des
hautras le plus souvent sur la colon transevers et colon
descendent . Image TDM du toxique megacolon est image de
dilatation marquee du colon avec image particuliairement des
causes de toxic megacolon ( Crohn , colite ulcere .... ) .
| |
 |
|
 |
| |
Image radiologique ASP
une toxic megacolon : Colon transverse dilate
aerique avec epaissisement de la paroie et des
haustrations en forment de doitier imprime "
thumbprinting sign " |
|
Image
radiologique ASP en decubitus dorsale : Toxic
megacolon par colite ulceree , la colon transverse
et une partie de colon descecdent est dilate et sa
paroie est perdre des haustral |
| |
 |
|
 |
| |
Colonic distension d'une "
ulcerative colitis " et hemorragique . Lesion est
tres grave par la presence des eruption de la
muqueuse du colon ( fleche noire ) . |
|
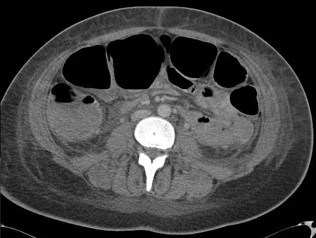
Image TDM en
coupe transversale colite ulceree et toxic megacolon
: La colon trans verse est tres dilate et image
irregulier de la muqueuse du colon ( fleche
blanche ) |
| |
 |
|
 |
| |
Aspect TDM en coupe axiale d'
une toxic megacolon par cause maladie de Crohn . La
colon transverse distendue et la paroie du colon est
epaissisement oedemateuse |
|
Toxic megacolon
: Aspect radiologique TDM en coupe axiale . |
| |
 |
|
 |
| |
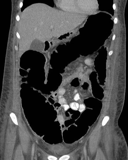
Toxic megacolon dans
maladie de Crohn . Image de distension du colon
transverse avec image de stenose inflamatoire et
epaissisement du colon sigmoigienne . Image
radiologique TDM en coupe coronale |
|
Meme cas en
coupe coronal a traver la colon transverse
. Maladie |
Page :
1
/
2
/
3
/
4
/
5
/
6
/
7/
8
A suivre
<<
PREVIOUS
<<
>> NEXT >>
Gs Bui Binh Tho
|
|