|
-
Pathologie radiologique des tumeurs du pancreas :
Normalement
le pancreas comporte deux sortes de tissu :
| |
• Le tissu endocrine (qui sécrète des hormones) |
|
| |
• Le tissu exocrine (qui sécrète des enzymes pour
faciliter la digestion des aliments) |
|
| |
Les tumeurs primaires du pancreas provient le
plus souvent du tissus exocrine ( 90% ) et les
tumeur endocrine se comptent le reste ( 10% ) . |
|
| |
- Les tumeurs du tissu exocrine du
pancréas comporte
- :Les adénocarcinomes qui se développant à partir des cellules
recouvrant le canal de Wirsung le plus souvent des
tumeurs a
d'aspects solides
et malignes
- Rarement on peut
trouver des lesions métastatiques solide , c'est des tumeurs
secondaires a origine de autre organe. Ce sont toujours des tumeurs malignes.
|
|
| |
Les tumeurs du tissu endocrine du
pancréas comporte :
- Les tumeurs fonctionnelles est découvert par la propiete de hypersécrétion
de la tumeur. Les symptômes provoqués par ces types
de tumeurs sont souvent caractéristiques
- Les tumeurs "non-fonctionnelles". Ce type de tumeur est généralement
découvert par les conséquences de la croissance de
la tumeur (effet de masse, perte de poids, douleurs
abdominales).
Les tumeurs endocrines peuvent être bénignes. La degré de malignite est
déterminé par l'examen au microscopique. Le
pronostic dépendre du bilan d'extension de la tumeur.
|
|
| |
. Les tumeurs kystiques ou
d'aspects kystiques le plus rarement comporte :
les cystadénome séreux, cystadénome mucineux, tumeur
intracanalaire papillaire mucineuse du pancréas. La
degré de malignité de la tumeur est déterminé par
l'examen de anapath microscopique
Au point de vue radiologique on peut en distinguer
: Les tumeurs sdolide du pancreas , les tumeurs
kystiques du pancreas et
les tumeurs et pseudo-tumeurs rares du pancreas |
|
Les
tumeur solide du pancreas :
.
Adenocarcinoma du pancreas : Sont
des tumeur exocrine , tres frequenment
se presente a incidence de 90% des tumeurs malignes du
pancreas et en place de la deuxieme cause de mortalite des
cancers du tube digestif apres du cancer colorectale . Sa
mortalite est tres eleve a moindre de 3,5% de survivre a 5
ans . Les facteurs de risque du adenocarcinoma du pancreas
sont : Les tabagisme , l'obesite avec histoire familiale de
cancer du pancreas , le diabete type 2 , les pancreatites
chroniques et l'age sont des cause en discute . Signe
clinique des tumeurs de la tete du pancreas sont anorexie ,
perdre de poids , douleur de l'abdomen epigastrique et
parfois ictere cholestatique et les signe des tumeurs
du pancreas corporeo-caudale ou du queue sont tardive au
stade tumoral ou metastasique . Une poussee de la
pancreatite aigue avec signe de obtructive du canal
pancreatique principal peut en suspecte .
L’imagerie du pancreas joue toujours un rôle
majeur dans le diagnostic, elle permet à de porter le
diagnostic positif de tumeur pancréatique et d’en réaliser
le bilan d’extension, la tomodensitométrie (TDM) reste la
technique de recherche initiale et le suivie de
l’adénocarcinome du pancréas . Et imagerie se mise en place
comme technique de différencier les patients pouvant
bénéficier d’un traitement curatif (résection chirurgicale)
des patients relevant d’un traitement palliatif (essentiellement
chimiothérapie). L'echographie , la TGD ( transit
gastroduodenale baryte ) , la TDM , l'IRM et cholangio-IRM
et endo-echographie sont les technique d'utilise dans
diagnostic imagerie du pancreas .
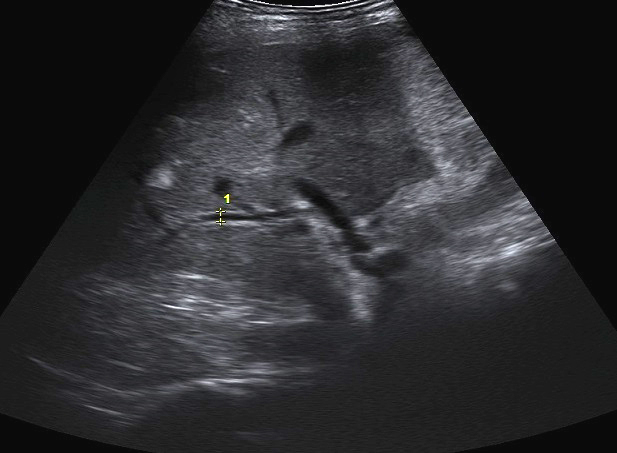
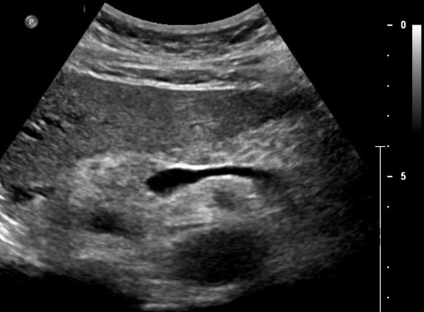
Echographie :
Est technique de choix de premiere de l'intention
dans des cas avait de douleur abdominale en plus avec une
bilan d'ictere de la maladie ce qui en suspecte d'une
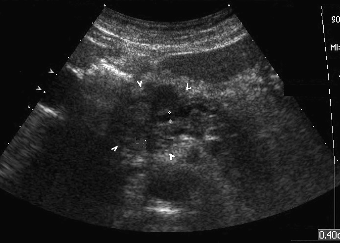
adenocarcinoma du pancreas . Image
echo graphique direct du tumeur est image
lesionaire de masse hyperechogene a bord flou non de
contour de la glande . Technique echographique est moindre
de recherche dans les cas de petite tumeur a inferieure de
2mm et sa sensibilite de recherche varie de 55-90% des cas .
Image echographique indirect de adenocarcinoma de la tete du
pancreas sont : Une dilatation du canal de Wirsung de plus
de 3mm en amont du lesion , dilatation de voie biliaire
principale en associe dilatation des voies biliaires intra
hepatique sur les cas tumeurs cephaliques , une atrophie du
parenchyme pancreatique en amont et un pseudokyste en amont
( pancreatite aigue )
La TOGD (
transit gastro duodenale baryte ) : Les tumeurs
adenocarcinoma de la tete du pancreas est le plus souvent
deformer la tete et region corporeal - caudale , ce qui entraine
de deformer et elargissement de arcade duodenal D1 , D2 et souvent en
numero 3 inverse (signe de
Frostburg).
| |
 |
|
 |
|
| |
Image radiologique TOGD
baryte en decubitus ventrale d'une adenocarcinoma de
la tete du pancreas . Arcade duodeal est
elargir et se deformer en numero 3 inverse ( signe
de Frosbourg ) |
|
Meme cas en OAD . Arcade duodenum
est elargir et se deforme de compresse a droit et en
avant |
|
| |
 |
|
 |
|
| |
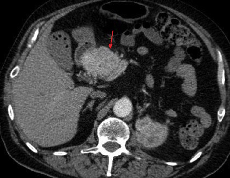
Image
radiologique TDM d'une adenocarcinoma de la tete du
pancreas en coupe axiale . Aspect lesionnel est un
masse hypodense a bord iregulier , l.a tete et le
corp du pancreas est deformation et tumefie .(
fleche rouge ) |
|
Parfois aspect lesionaire
est isodense ( fleche rouge ) . Par sa propiete de
moins de rehaussement de contrast intraveineuse
image radiologique du tumeur serait devenir nettete
sur les coupe TDM plus C+ . Image radiologique TDM
en coupe axiale ( n'a pas de contrast intraveineuse
) |
|
| |
 |
|
 |
|
| |
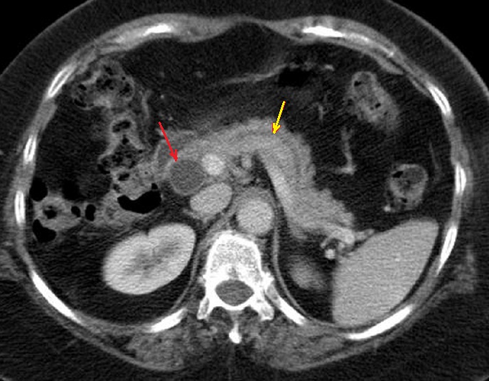
Aspect radiologique TDM d.'
une adenocarcinoma de la tete du pancreas , c'est un
masse tissulaire hypodensite a bord tres nette situe
a la tete du pancreas ( fleche rouge ) . Par
l'obtacle de la tumefaction le signe indirect
se presenter c'est image de dilatation en amont du
canal pancreatique principale ( fleche jaune ) |
|
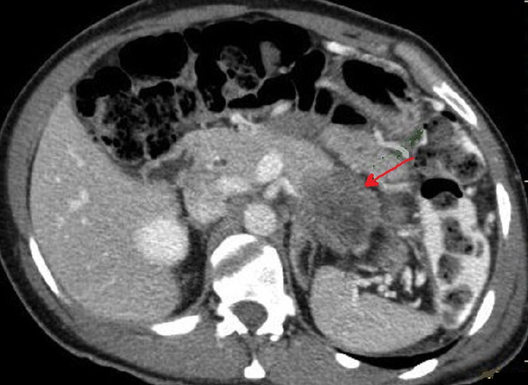
Effet de masse de la tumeur
se donne image de tumefie et deformation de contour
au queue du pancreas ( fleche rouge ) . Image
radiologique TDM d'une adenocarcinoma au queue du
pancreas ( coupe axiale ) |
|
| |
 |
|
| |
Les signes radiologique TDM direct
d'une adenocarcinoma du pancreas : |
| |
- Aspect de masse focale
tissulaire a hypodensite ou parfois
isodense
|
| |
- Effet de masse avec
deformation de contour de la glande
|
| |
- Moins de rehaussement de contrast
intraveineuse
|
| |
|
|
|
| |
Image de moins de
rehaussement de contrast intraveineuse est le
signe radiologique direct important pour diagnostic
la tumeur adenocarcinoma du pancreas (fleche rouge )
. Image radiologique TDM coupe axiale avec contrast
intraveineuse ( phase parenchymateuse ) |
|
|
|
| |
 |
|
 |
|
| |
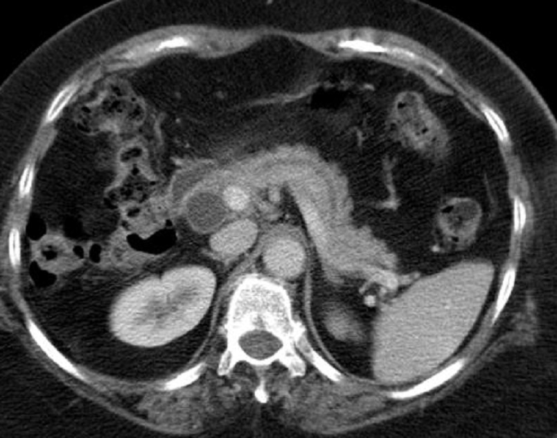
En cas tumeur cephalique ,
image radiologique de dilatation en amont du canal
pancreatique principale et des caneaux secondaires
parfois en se voyaient . Image radiologique TDM d'une
adenocarcinoma de la tete du pancreas avec effet de
dilatation legere en amont du CPP |
|
Une autre cas de tumeur
cephalique avec image de dilatation du canal
principale et atrophie parenchymateuse en amont du
pancreas . Image radiologique TDM en coupe axiale |
|
| |
 |
|
 |
|
| |
Signe
radiologique de dilatation bicanalaire du canal
biliaire principale et canal de Wirsung ( double
-duct sign ) est souvent en voyait dans les cas
adenocarcinoma cephalique . La vesicule biliaire
dans ce cas est encore distendue et voie biliaire
intrahepatique sont peu dilate . Image radiologique
TDM en coupe axiale ( click a ouvrez pour agrandir ) |
|
Une autre cas de
adenocarcinoma de la tete du pancreas avec image de
dilatation important du canal pancreatique
principale ( CPP ) et canal biliaire principale (
CBP ) se donne image de "double duct sign " .
Image de dilatation des voies biliaires
intrahepatique est encore en vue . Coupe TDM axiale
a travers L2 |
|
| |
 |
|
 |
|
| |
Signe "Double-duct sign"
d'unre adenocarcinoma de la tete du pancreas ,
dilatation marquee du canal biliaire principale et
image de dilate important du canal pancreatique CPP
. Image radiologique Wirsungo-cholangio IRM |
|
Image radiologique TDM d'unr
adenocarcinoma de la tete du pancreas en coupe
coronal avec contrast intraveineuse . Aspect
radiologique de l'obtacle tissulaire isodense a la
tete du pancreas ( fleche jaune ) et image de
dilataton marque de vopie biliaire principale ( VBP
) . |
|
| |
 |
|
 |
|
| |
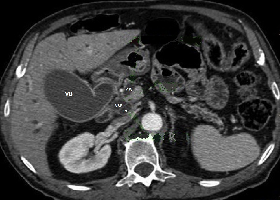
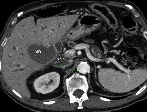
Image
radiologique de dilatation du VBP et des voies
biliaire intrahapatique d'une tumeur de la tete
dupancreas . Coupe TDM axiale . |
|
Image de distention legere
de la vesicule biliaire ( VB ) et de voie biliaire
principale ( VBP ) . |
|
| |
 |
|
 |
|
| |
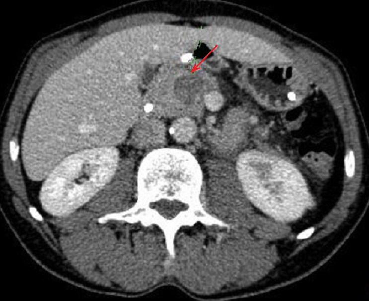
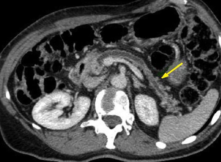
Image radiologique d'une
adenocarcinoma de la tete du pancreas ( fleche rouge
)avec signe indirect de dilatation du CPP et image
de pseudo-kyste a hypodense au queue du pancreas (
fleche jaune ) . Coupe TDM plus C+ axiale |
|
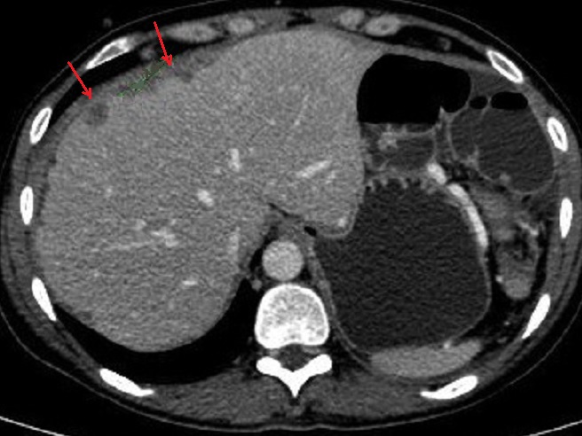
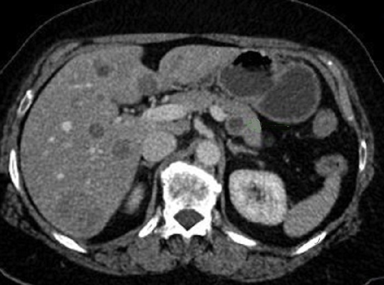
Image radiologique des metastase en
aspect lesionaire hypodense du foie droit ( fleche
rouge ) . Ce sont des nodule metastasique a distance
au foie droit . Image TDM en coupe axiale . |
|
| |
 |
|
 |
|
| |
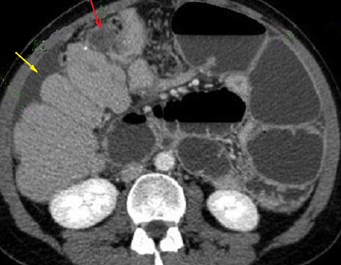
Aspect radiologique d'une
carcinose peritoneale ( fleche rouge ) mextenmtion a
distance d'une adenocarcinoma du pancreas . Image de
epanchement peritoneale etre en vue ( fleche jaune
|
|
Image radiologique de TDM a
multibarette avec coupe tres fine millimetrique a
difference temps ce qui donne de image
angioscannographique arterielle en 2D . Dans ce cas
c'est image d 'engainement vasculaire d'une
adenocarcinoma du pancreas . Image recevoir
est tres nette comme une arteriographie en 2D . |
|
| |
Les signes
radiologies indirects de adenocarcinoma du pancreas
( en cas tumeur cephalique ) : |
|
Les signes
radiologiques par extension locoregionale ou a
distance de adenocarcinoma du pancreas : |
|
| |
- Dilatation de voie biliaire principale et
des voies biliaires intrahepatiques que possible
- Image de l'ostacle tissulaire abrubte
- Distention de la vesicule biliaire est tres
souvent
- Dilatation du canal pancreatique en
amont au milieu de l'ostacle et parfois
dilatation passive des caneaux secondaire
- Dilatation bicanalaire ( double-duct sign)
se presente dans cas dilatation devoie vbiliaire
principale et du canal pancreatique pincipale
- Atrophie du parencyme du pancreas en
amont par obstruction canalaire
- Pseudokyste en amont a cause d'une
pancreatite aigue ou une rupture une canal
panreatique dilate
|
|
- Signe de engainement vasculaire
- Images de adenopathie peri-pancreatique ou a
distance
- Nodule metastasique a distance
- Carcinose peritoneale
|
|
L'IRM et
Wirsungo-cholangio IRM : Technique radiologique
IRM est souvent bien utilise sur
les petites tumeurs mal de detecte par la TDM et clairement
definie dans le bilan de l'extension ganglionaire et
hepatique que la TDM . Technique Wirsungo-cholangio IRM (
bili-IRM ) se donne de image bien defini sur les canals
pancreatique et de voies biliaires . Signe radiologique IRM
de adenocarcinoma du pancreas est aspect lesionaire a
hyposignal pondere surT1et sur T1 FatSat . Sur les coupes
ponderation sur T1 avec gadolinium intraveineuse ( T1 +C (Gd
) les tumeurs peut apparait a 3 minute
apres l'injection de contrast . Image radiologique IRM
ponderee sur T2 du tumeur est hyposignal sa contenue
est heterogene discrete hyperintense
| |
 |
|
 |
|
| |
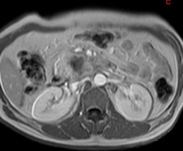
Image
radiologique IRM pondere sur T1 d'une adenocarcinoma
de la tete du pancreas . Aspect lesionnel tumorale
est hyposignal a bord flou , globulaire (
fleche rouge ) situe au tete du oancreas |
|
Mema cas en coupe
coronal . Le tumeur est hyposignal situe au
tete du pancreas ( fleche rouge ) |
|
| |
 |
|
 |
|
| |
Sur T2 le tumeur est hyposignal
avec sa contenue
peut en vue etre hererogene a discrete hyperintense
(fleche rouge ) . Coupe IRM axiale pondere
sur T2 , |
|
Meme cas en coupe coronale (
fleche rouge ) . Le tumeur est hyposignal et sa
contenue etre heterogene a discret hyperintense |
|
| |
 |
|
 |
|
| |
En cas ponderation sur T1
avec de contrast intraveineuse le tumeur apparaitre
hypersignal a 3 minute apres injection de contrast . Image radiologique IRM ponderee sur T1 C+ |
|
Meme cas en coupe coupe
frontale ( fleche rouge ) |
|
| |
 |
|
 |
|
| |
Aspect lesionaire d'une
adenocarcinoma cephalique du pancreas . Le tumeur
est en globulaitre , a bord peu nette et legerement a
hypointense plus que le parenchyme saint du pancreas .
Image radiologique IRM ponderee T1 Fat Sat en coupe
axial |
|
Une autre cas de
adenocarcinoma du pancreas ponderee sur T2 . Image
radiologique du tumeur est hyposignal avec
image de contenue heterogene hypersignal (
fleche rouge ) |
|
| |
 |
|
 |
|
| |
Image radiologique Wirsungo-
cholangio IRM ( Bili -IRM ) d'une adenocarcinoma de
la tete du pancreas en presence comme une ostacle de
la conduit de CPP ( canal pancreatique principale ) . Le canal
principal du pancreas en amont est dilate et voie
biliaire principale est encore en vue legerement
distendue |
|
Une autre cas de tumeur
cephalique du pancreas . Le canal pancreatique
principale en amont est dilate marque ( fleche rouge ) .
Image radiologique Wirsungo - cholangio IRM . |
|
Cholangio-pancreatico
retrograde endoscopie : Peut donne la visualise
de la stenose bicanalaire et dilatation en amont du CPP . Il
n'est plus utilisee pour diagnogtique que la therapeutique
avec de but d'enplace une prothese biliaire au milieu
stenosant du tumeur
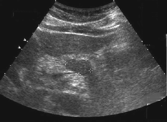
Echo-endoscopie :
Technique de choix pour recherche et diagnostic
des tumeurs de diametre a moindre 2mm du pancreas . Image
echographique recevoir est une nodule a bord irregulier ,
flou et hypoechogene . Technique est inconvenient par doit
etre realise sous anesthesie generale
Diagnostic et traitement
: Traitement complete est chirugie et curetage
sur stade I et II , operation de Whippe souvent etre
realiser . Survivre est 5-10% apres 5 ans
Diagnostic radiologique
differentiel : Diagnostic
radiologique differentiel avec :
- Pancreatite aigue
- Pancreatites chroniques
- Lymphoma ;
- Cholangio-carcinoma ,
- Tumeur periampulaire,
- Metastase pancreatique
Les
metastases du pancreas : Les
metastases pancreatiques sont rare et le plus souvant
viennent de tumeurs renales ,
pulmonaires, mammaires, colo-rectales et le mélanome . Les
metastases du pancreas souvent sous forme de masse ( 50-75%
), difusant ( 5-45% )et multiple nodulaire ( 5-15% ) ,
Image echographique est un masse ou nodule hypoechogene
situe peripherique parenchymateuse du pancreas . Image
radiologique TDM le plus souvent est aspect de masse ,
nodule
hypodense parfois isodense , unique ou multiple se presente
dans le parenchyme du pancreas , situe souvent peripherique et rarement s'accompagne de etat de
compressible des conduits pancreatiques . Les metastases de
tumeur renal souvent se donne de image hypervascularise et
necrose central apres injection de contrast intraveineuse .
Diagnostic
radiologique differentiel : Diagnostic
radiologique differentiel des
metastase du pancreas avec :
- Adenocarcinoma du pancreas
- Pancreatite autoimmune
- Lymphoma
Dr Bui Binh Tho
Page :
1
/
2
/
3
/
4
/
5
/
6
/7/
8/
9
/
10
/11/
12/ 13 /
A
suivre
<<
PREVIOUS
<<
>> NEXT >>
|
|