|
Dr Bui Binh Tho
Pathologie radiologique des tumeurs du pancreas :
Les
tumeurs kystiques du pancreas
( a suivre ) :
-
Les
pseudo-kyste pancreatique :
Le pseudo-kyste du pancréas est une formation
liquidienne
riches en amylase et en lipase survenant le plus
souvent de pancréatite aiguë ou chronique . Il est
secondaire à l'extravasation des sécrétions
pancréatiques hors des canaux pancréatiques et peu en
contient encore du sang et des débris cellulaires. La
réaction inflammatoire provoquée par la présence de
cette collection liquidienne entraine une fibrose périphérique englobant
la masse - Sa symptomatologie est le plus souvent
douloureuse. parfois est asymptomatique et ce qui peut
en découverte par palpable. Selon sa taille le pseudo-kyste
peut être engendre d'une obstruction intestinale.
Techhiques radiologique utilise pour diagnostic des
pseudokyste du pancreas est echographie percutane de
l'abdomen , la TDM et IRM .
Aspect imagerie typique d'une pseudokyste du pancreas
est une lesion kystique uniloculaire a bord lisse , fine
peut epaisse , rehaussee apres injection de contrast
intraveineuse , aechogene sur echographie , hypodense de
moindre , 20uni sur TDM et hyposignal sur T1 /
hypersignal sur T2 et homogene a IRM . Si elle est
volumineuse image de compression de voie biliaire et de
canal pancreatique principale peut se en voyait .
Complication de saignement intrakystique parfois se
presenter , dans ce cas on peu etre en vue de image de
hyperdensite spontanee sur TDM ou hypersignal
ponderation sur T1 / IRM . Complication de la presence
de gaz intrakystique , de calcification de sa paroi ou
thrombose veineuse pr compression de la veine splenique
possible parfois s'observer
| |
 |
|
 |
|
| |
Image echographique d'une
pseudo-kyste du pancreas . La kyste est tres
volumineuse , aechogen a bord lisse , fine avec cône
de acoustique posterieure |
|
Schematise simple d'une
pseudo kyste du pancreas de typenon communicant et
communicant avec canal pancreatique principale . |
|
| |
 |
|
 |
|
| |
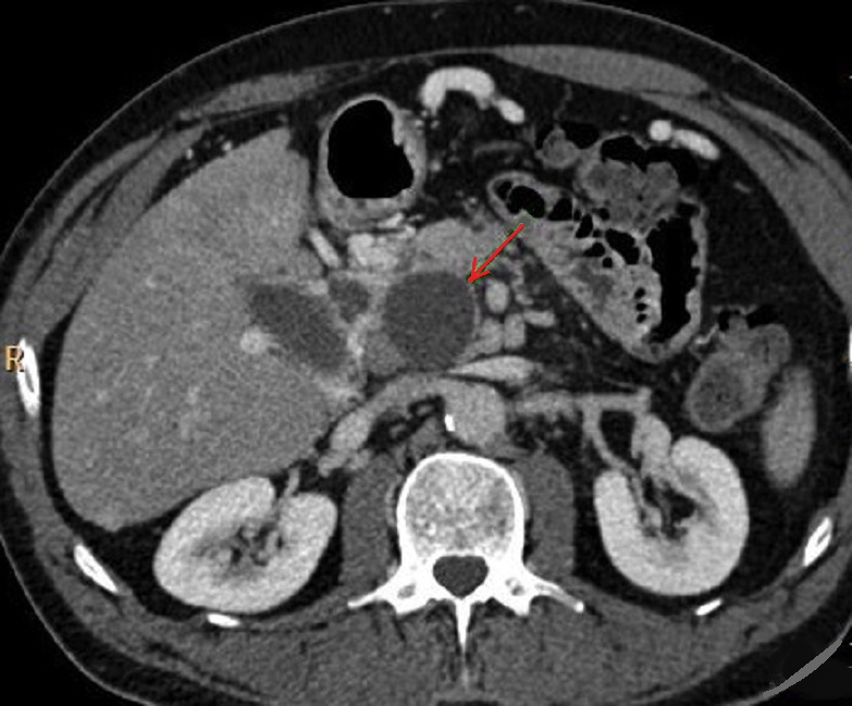
Image radiologique TDM d'une pseudo kyste du
pancreas a aspect lesionaire est un kyste arrondie
volumineuse a hypodense , a bord regulier , lisse ,
fine situe a la tete du pancreas ( fleche rouge ) .
Coupe TDM axiale |
|
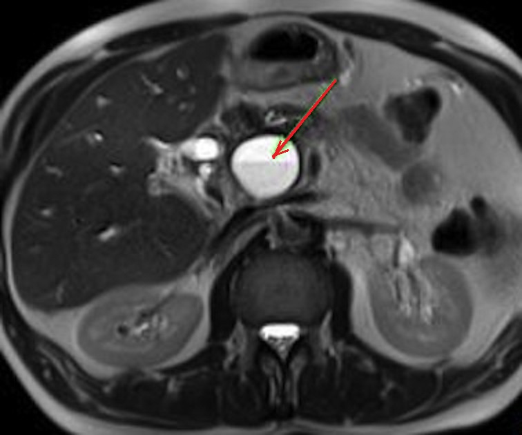
Meme cas en coupe IRM axiale
a ponderation T2 . Aspect radiologique lesionaire
est une kyste arrondie liquidienne de tres
hypersignal a bord lisse , regulier situe a la tete
du pancreas . Image IRM coupe axiale a ponderation
sur T2 |
|
| |
 |
|
 |
|
| |
Image
radiologique IRM pondere sur T1 d'une pseudo kyste
du pancreas . Aspect radiologique est une kyste
ovalaire de hyposignale a bord epaisse ,
regulier lisse situe du corp du pancreas ( fleche
rouge ) . Image radiologique IRM ponderee T1 en
coupe axiale |
|
La pseudo kyste du pancreas peut tres
volumineuse , celui peut entraine de complication de
compressible les autres organe . Image radiologique
au dessus d'une pseudo kyste du pancreas
volumineuse a entraine de compression dilate le
canal pancreatique principale et canal biliaire
principale ,plusieure de nodule calcification de sa
paroi peut etre en vue encore . Image
radiologique au dessus est TDM en coupe coronal . |
|
| |
 |
|
 |
|
| |
Complication de saignement
intrakystique peut en voyant sous forme une masse a
hyperdense spontanee intra kystique ( fleche rouge )
. Image radiologique TDM en coupe axiale |
|
Un autre cas de complication de saignement intra
kystique du pancreas avec image de niveau liquide
sur liquide du kyste ( fleche rouge ) . Image
radiologique IRM ponderee sur T2 , coupe axiale . |
|
| |
 |
|
Complication de la presence de gas
intrakystique peut etre en voyant ( fleche rouge ) |
|
Diagnostic differentiel :
- Cystadenome sereuse
- TIPMP
- Choledocal kyst
- Mesenteric duplication cyst
- Gastric duplication cyst
Dr Bui Binh Tho
Page :
1
/
2
/
3
/
4
/
5
/
6
/7/
8/
9
/
10
/11/
12/ 13 /
<<
PREVIOUS
<<
>> NEXT >>
,
|
|