|
Dr Bui Binh Tho
Pathologie radiologique des tumeurs du pancreas :
Les
tumeurs kystiques du pancreas
( a suivre ) :
-
Les
tumeurs intracanalaires
papillaires et mucineux du pancréas
( TIPMP ) : Ou IMPTs
(Intraductal
papillary mucinous neoplasms or tumors
) ce sont des tumeurs a origine de cellule papillaire
mucosecretant du canal pancreatique en presente dans
15% des tumeurs kystiques du pancreas avec risque de
degenerescence maligne atteint 40% des cas . La tumeur
se presente souvent de age 50 - 60 et predominance sur
les hommes et sa lesion peut segmentaire ou localisation
diffuse au canal principale ( 15% ) , caneaux secondaire
( 40% ) ou mixte ( 15%) . Signe clinique frequemment de
TIPMP est douleur epigastrique de type pancreatite .
Diagnostic imagerie du TIPMP se base sur l'echographie ,
la TDM , l'IRM et cholangio-pancreatico -IRM .
Echographie :
Image echographique d'une TIPMP du pancreas est image
de kyste de aechogen unique ou multiple du parenchyme du pancreas
avec image de dilatation de plus > 5mm hypoechogen du canal
pancreatique principale . Endo echographie parfois image de
communication du kydt avec canal pancreatique dilate
| |
 |
|
 |
|
| |
Aspect
echographique de multikystique aechogen d'une tumeur
intracanalaire papillaire mucineux du pancreas avec
image de comunication cannalaire avec canal
pancreatique du pancreas . Le canal pancreas
est peu dilate . |
|
Image echograhique d'une
TIPMP se presente une kyste aechogen a bord fin
regulier situe dans le parenchyme pancreatique avec
image du dilatation du canal pancreatique principale
de plus > de 5mm . Aspect echographique au dessus
peut en suspecte
d'une tumeur intracannalaire mucineux du pancreas . |
|
| |
 |
|
 |
|
| |
Image endo-echographie d'une
TIPMP avec des kystes aechogene a bord fine et etre communication
avec le canal pancreatique principale hypoechogene
tres dilate |
|
Schematise simple de diagnostic
differentiel des TIPMP du canal pancreatique
principale , des caneaux secondaires avec
cystadenome sereux, cystadenome -mucineux et la
pseudokyste |
|
| |
|
|
|
|
La TDM
et l'IRM : Au point
de vue radiologique TDM et l'IRM on en classification la
TIPMP sous trois type : type atteint du canal principale est
rare mais 60% peut degenerescense malignite , type
atteint du canal secondaire se situe frequemment au tete en
presente 30% des cas et de moindre < 5% des cas
degenerescence maligne . Le type mixte est le plus souvent ,
en se presente 75% des cas avec de haute risque de malignite
.
-
Image radiologique TDM et l'IRM d'une TIPMP
type canal principale (
30% des cas ) est aspect de dilatation diffuse ou
segmentaire a paroi rectiligne restant parallelique,
bord regulier avec diametre transversale depasse 15mm (
normalement 3mm a jeunne et 6mm cher les veillards
) du canal principale ; parfois on en voyait image de calcification
endoluminale du bouchon mucus avec sans image de stenose
du canal principale . Image de
atrophie parenchymateuse du pancreas parfois peut en observer
-
Image
radiologique TDM et l'IRM d'une TIPMP type canaux
secondaire ( rare ) est aspect des lésions
kystique ovalaire ou polylobe , multiple a hypodensités
liquidienne en TDM, fortement
hyperintenses en T2 et hypointense enT1 en IRM , sa
parois ne se rehaussement apres injection de contrast
intra veineuse . Les TIPMP de type caneaux secondaire
sont toujour etre communication et branche avec canal
pancreatique principale et elle doit etre confirme par
cholangiopancreato-IRM Ce donne de image
en grape de raisins
multiple ou multifocale avec la taille de kyste varie de
quelque milimetre a 3-4cm , sa contenue est homogene ou
peut heterogene ( par bouhe de mucus ) et calcification
endoluminal parfois se presenter
| |
 |
|
 |
|
| |
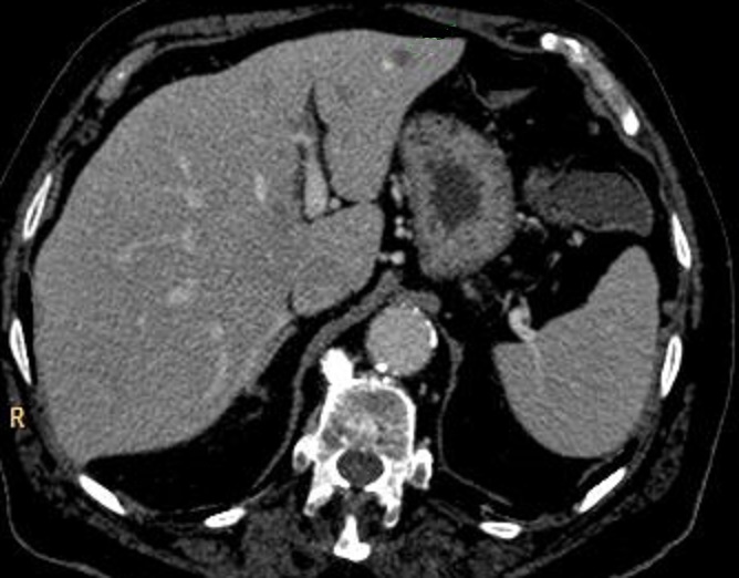
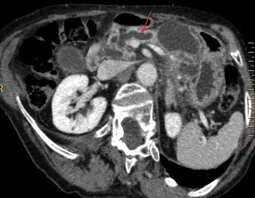
Image
radiologique TDM d'une TIPMP type canaux
secopndaire du cord pancreas a aspect lesionnel de
kyste liquidienne ovalaire hypoidensite a bord
regulier , fine en vue tres nette du corp du
pancreas ( fleche rouge ), sa paroi ne se
rehaussement apres injection de contras
intraveineuse . Image radiologique TDM plus C+
en coupe axiale . |
|
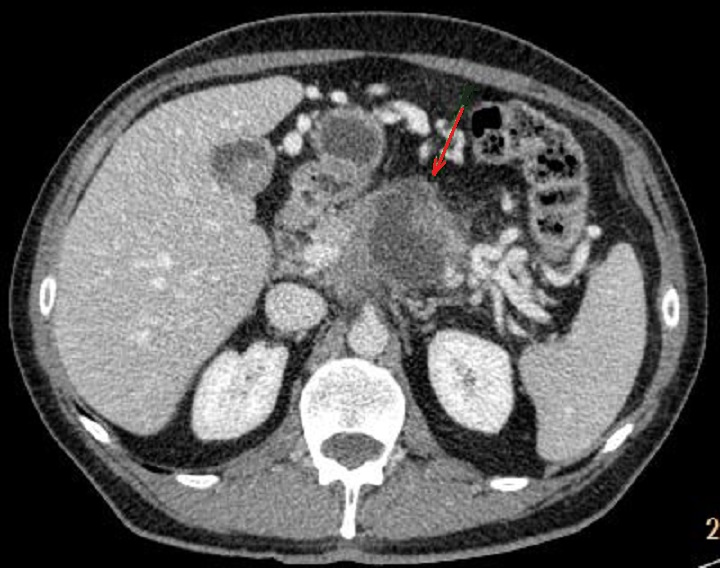
Sus les coupes IRM pondere
sur T2 Image radiolofique des TIPMP de type canaux
secondaire sont des kystes unique ou multiple
arondie ou ovalaire polylobulaire de fortement
hyperintense et comunication souvent avec canal
principale CPP ( fleche rouge ) . Image radiologique
IRM ponderation sur T2 , en coupe axiale |
|
| |
 |
|
 |
|
| |
Image radiologique IRM
ponderee T1 au dessus est image d'une TIPMP de type
canaux secondaire avec aspect lesionnel des kystes
arondie , hypointense situes a la tete du
pancreas ( fleche rouge ) . Image radiologique
IRM a ponderation sur T1 , en coupe axiale |
|
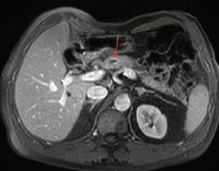
Image radiologique Wirsungo-cholangio IRM
d'une TIPMPde type canaux secondaire du corp pancreas avec image de kyste
multiple , polylobulaire ( fleche rouge ) en
communication avec la CPP . Image radiologique du
canal choledoque et des voies biliaire
intrahepatique sont en vue tres nette . |
|
| |
 |
|
 |
|
| |
Un autre cas de
tumeurs intracanalaires
papillaires et mucineux du pancréas ( TIPMP )de
type canaux secondaire en presente tres nette
par technique Wirsungo-cholangio IRM ( Bili-IRM ) .
Aspect radiologique IRM est image des kyste
arrondie et ovalaire multiple des canaux secondaire
du pancreas tres hyperintense , homogene et en communication
branche avec le canal pricipale . Plusieure des kystes se rencontre
ensemble sous forme " en grappe de raisin
" |
|
Une cas de TIPMP de type
canaux secondaire se presente sous forme des kyste
ovalaire ou tubulaire ( fleches rouge ) homogene ,
et tres hyoperintense en communication branche avec
canal principale . Image Wirsungo - cholangio IRM . |
|
| |
 |
|
 |
|
| |
Aspect radiologique en "
grape de raisine " d'une
tumeurs intracanalaires
papillaires et mucineux du pancréas ( TIPMP )de
type canaux secondaire ( fleche rouge ) . Le canal
pancreatique principale est en vue tres nette . Les
petites de kystes en forme arrondie ou
ovvalaire en groupe sepsre sous forme de grape de
raisin en vue tres nette le long du CPP |
|
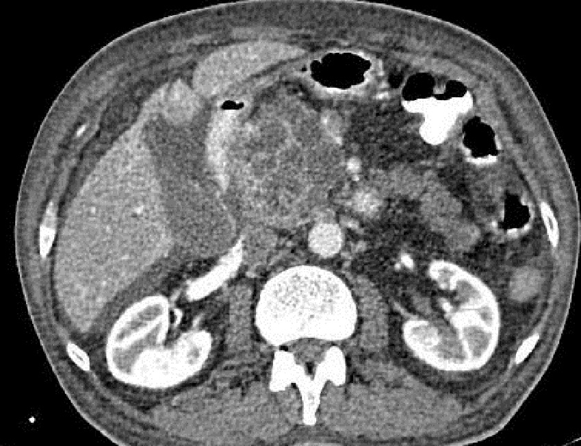
Parfois on en observe image
de nodule calcification endoluminal des canaux
pancreatique ( fleche verte ) . Image radiologique
TDM en coupe axiale |
|
-
Image
radiologique TDM et l'IRM d'une TIPMP
type
mixte est aspect des lésions
de type canal principale avec de type caneaux secondaire
. Ce type est tres fequemment en se reprsentes pres de 2/3
des cas .
| |
 |
|
 |
|
| |
Image radiologique d'une
TIPMP de type mixte . Dance caes on en voyait image
des kyste multipe (fleche jaune ) association
avec image de dilatation segmentaire ( fleche crouge
) du canal principale . Technique radiologique
Wirsungo - cholangio IRM . |
|
Une autre cas de TIPMP de
type mixte . Le CPP dilate et image de kyste
multiple de canaux secondaire en communication
branche avec le canal principale |
|
Signes
radiologiques associes et signes de complication :
- Parfois elle se presente en association de signe de
pancreatite aigue ,de
l'infiltratiuon de graisse par de pancreatite
recidivante ou de pancreatite fibrosant .
Atophie parenchymateuse du pancreas se presente dans
des cas pancreatite chronique .
- Image de calcification se develope dans les bouchons
de mucus intraluminale siegent dans le CPP ou dans canal
secondaire . Degenerescence cancereuse de ces cas est
tres eleve
- Image radiologique de complication de fistule pancreatico -duodenale
, pancreatico-biliaire , pancreatico-colique secondaire
par erosion de paroie des canaux parfois en se voyaient .
Signes radiologioques de malignite et de
extension metastasique :
- Signes de malignite par infiltration de masse
tissulaire a bord irregulie mal limitee et a
hypodense sur la TDM , ou signes de bourgeon
endocanalaire , nodule murale en prise de rehaussement
de contrast de sa paroi . Les signes
indirects de dilatation de plus > 15-30mm sur les canals
parfois se en voyaient
- Signes de extension
des vasculaire veineux , infiltration
de la graisse péri-pancréatique
, adénopathies
satellites et rarement sont des images
métastases
hépatiques hypovasculaires, lymphangite
carcinomateuse et carcinose
péritonéale
| |
 |
|
 |
|
| |
La lesion est volumineuse de
masse tissulaire a hypodense su la TDM , sa bord est
irregulie de mal limite , parfois on voyait image de
bourgeon endocanalaire et image de rehaussement de
contrast de sa paroi . Tous sont peut en respecte de
lesion malignite . Image radiologique TDM plus C+ en
coupe axiale |
|
Image radiologique TDM de
evolution malignite d'une TIPMP de type canal
principale avec aspect lesionnel de dilatation ,
epaissisement et de rehaussement de sa paroi (
fleche rouge ) |
|
| |
 |
|
 |
|
| |
Image
radiologique TDM du lesion malignite a extension
metastase hepatique d'une
tumeur intracanalaire
papillaire et mucineuse du pancréas ( TIPMP ) .
la tumeurs de latete du pancreas est volumineuse , a
bord irregulie , canal principale dilate et il
y avait de plusieure des nodules metastatiques
hypodense du foie droit . Image TDM en coupe axiale |
|
Aspect radiologique de
malignite metastatique loco- regionale d'une
tumeur intracanalaire
papillaire et mucineuse du pancréas ( TIPMP ) .
La tumeur de la tete du pancreas est volumineuse a
bord irregulie comporte de plusieure des kystes
hypointense . Signe de rehaussement de la tumeur et
structure interseptal kystique apres injection de
contrast peut en voyant . Image radiologique
TDM plus C+ en coupe axiale |
|
| |
|
|
|
|
Diagnostic differentiel : Diagnostic differentiel la TIPMP
avec :
-
Pancreatite chronique
-
Cystadenocarcinoma et cystadeno- mucineuse du pancreas
-
Cystadeno-sereuse du pancreas .
Dr Bui Binh Tho
Page :
1
/
2
/
3
/
4
/
5
/
6
/7/
8/
9
/
10
/11/
12/13/ A
suivre
<<
PREVIOUS
<<
>> NEXT >>
,
|
|