|
Dr Bui Binh Tho
La rate est l’organe lymphoïde le plus large du corps humain
,elle a un rôle hématopoïétique et immunitaire mais aussi
anti-infectieux ... différentes de lésions inflammatoires, infectieuses ou
tumorales peuvent affecter la rate primitives ou secondaire par une atteinte
multi-organique. Généralement les lesions de la rate sont asymptomatiques, elles peuvent
se manifester par des douleurs de l’hypochondre gauche. Les
techniques analysées de l’imagerie (échographie, scanner,
imagerie par résonance magnétique .... ) permettent en général de
faire le diagnostic.
Dans cet article, nous discutons et illustrons les aspects
radiologiques des principales lésions spléniques en
distinguant les éléments essentiels permettant d’aboutir au
diagnostic.
.La pathologie
radiologique de la rate se base sur les chapitres suivants
: rappel anatomique de la rate , les techniques
radiologiques conventionelles , interventionelles , image
radiologique normale ( radio-anatomie de la
rate ) et sa pathologie radiologique .
Rappel anatomique de la rate
La rate est une organe lymphoïde en connexion
etroite avec la veine porte. a l' impair tetraedrique
, se situe
libre a gauche de l'abdomen , sous diapramatique et occupe a
la loge sous phrénique gauche, sus méso colique gauche, elle
est à gauche et en arrière de l’estomac, en avant du rein
gauche et de la queue du pancréas, au dessus de l’angle
colique gauche et au dessous de la coupole diaphragmatique
gauche. -c ‘est un organe thoracoabdominale , se projetant
sur le grill costal gauche ( de la 9e à la 11e côte). -c’est
un organe non palpable à l’état normal. Sa taille est
variable , normalement de moindre < 12cm de hauteur ,
largeur < 8cm et de < 5cm d'épaisse situee libre
sous phrenique gauche .
| |
 |
|
 |
Généralement la rate est une organe a fonction de
filtrant des antigènes , des bactérie et des élément figuré
sanguine , c'est la cité de production des anticorps et etre
la reservoir de 30% de plaquette sanguine . Elle apparaît
vers la 6ème semaine à partir de plusieurs foyers
tissulaires (précordium splénique) qui fusionnent et
déterminent un épaississement de l’épithélium cœlomique du
mésogastre dorsal . Histologique ,
la rate ,elle est une organe à capsule fibro-élastique avec
trabéculation englobe des pulpes rouge contient des sinus veineux et
pulpes blanche de tissue lymphoide . Vascularisation par
artère splénique ( artère linéale ) et artère gastro-épiploique
gauche et retour veineuse par veine splénique et
système veine sous diaphragmatique gauche
| |
 |
|
 |
|
| |
Histologique : la rate est
formée par une charpente de tissu conjonctif réticulaire en réseau de
fibres et englobe un parenchyme comporte par deux zone :
zone pulpe blanche former par des manchon lymphoide
et des corpuscule de Malpighi et zone pulpe rouge
comporte des sinus veineuse et cordon de
Billroth |
|
Vascularisation de la
rate : La rate est vascularisation par artère
splenique , branche de tronc coeliaque et artère
gastro-epiploique gauche .Le retour veineux est
assuré par la veine splénique et reçoit la petite
veine mésentérique inferieure . Tout le sang en
provenance de la rate est donc destiné au foie |
|
| |
 |
|
 |
|
| |
Vascularisation de la rate |
|
.System retour veineuse de la rate |
|
Techniques radiologiques et images radiologique normale de
la rate (radio-anatomie de la rate) :
Generalement technique radiologique du foie se base sur
cliche de ASP , l'echographie , la TDM , l'IRM et
arteriogrphie
-
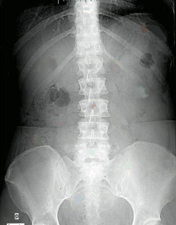
Le cliche de ASP
;
Sur les films d’ASP, la rate, de densité
hydrique, est surtout visible au niveau de
son bord interne en raison des superpositions colique et la
poche d' air gastrique.
Lorsqu’elle augmente de volume ,
elle se presente comme une densité arrondie de l’hypocondre
gauche vers le flanc gauche, améliorant
la vision du rein gauche , le côlon et l’estomac
apparaissent refoulés en bas et en dedans. On peut en
possible d’apprécier le grand axe de la rate sur l’ASP par
mesure la distance entre la coupole diaphragmatique gauche
et le point du pole inferieure de la rate . Ce chiffre est
diminué de 2cm correspondance au grand axe réel de la rate .
Normalemenmt 14cm -2cm = 12cm et on peut en surgerer une
splenomegalie par la mesure globale 16cm -2cm = 14cm . En
dehord dẻ La cliche1 de face ASP peut utilisé
identifier une ou plusieurs calcifications spléniques.
| |
 |
|
 |
|
| |
Image
radiologique schematisé normale du cliché de face
de l'abdomen ( ASP ). . La rate est situé a gauche dans
la loge sous diaphragmatique gauche (2) |
|
Le cliche de face seul peut
etre declenche l'ombre de la rate situé a gauche ,
sous diaphragmatique et occupant la loge sous
phrenique gauche . On peut declenche1 encore des calcification
de la rate dans quelque lesions
inflamatoire ou tumorales de la rate |
|
-
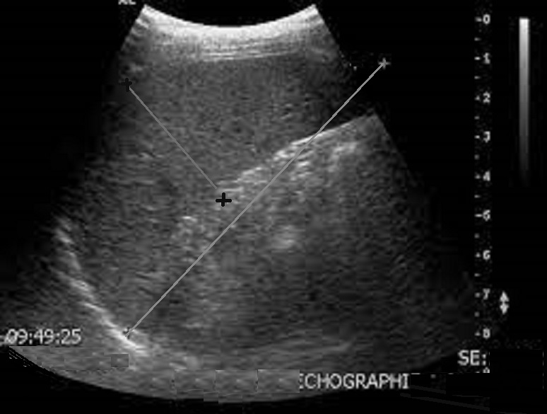
L'Echographie per cutanee et
echographie en Doppler : Echographie
percutane de l'abdomen est la technique de choix de la
premiere dẻ l'intention le plus utilise pour recherche ,
exploree les lesions de la rate , sa indication est
large . Les coupes obliques longitudinale laterale gauche de la ligne axillaire posterieur
a longitudinal et tranversale gauche perpendiculaire de la rate
de 9e,10e et 11e de l'espace intercostale
sont ainsi
utilisés . Aspect echographique est ume organe semi-ovalaire
sur les coupes longitudinale et en forme de croissant
dans les coupes tranversales ; sa diametre longitudinal est de 9,6cm a 12cm , epais de
4,5 cm à moindre < 6cm , sa bord est l;isse bord anterieure
est crenele sa patrenchyme est homogène ,
légèrement hypoéchogène par rapport au foie , hyperéchogene
par rapport au cortex renal . Les veines
splenique sont aechogene.et sa diametre est de moins de 10mm
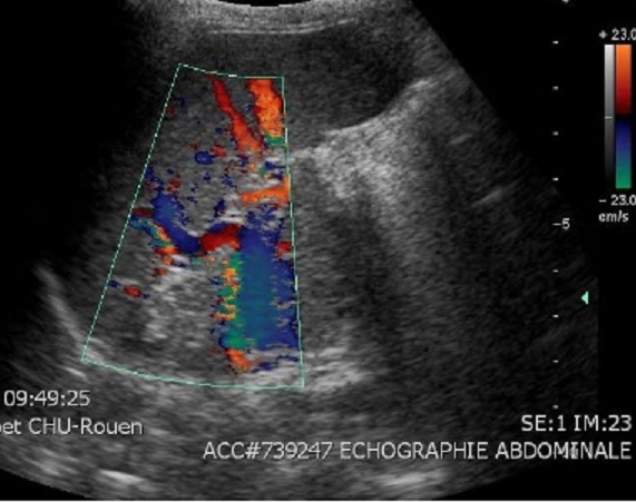
. La technique echographique de Doppler en couleur se donne
des images de artere et veine splenique en couleur et on
peut en verifie par la differenciel de sa onde : artere
splenique est triphasique et moniphasique des veines
splenique
| |
 |
|
 |
|
| |
Coupe echographie
oblique lateral gauche a logitudinal l'axe de la
rate |
|
Aspect echographique normal de la rate
c'est une organe encasulée en forme de pois ou semi
ovalaire , a bord
lisse , echogenecité homogène à hyperechogène en
rapport avec la cortex du renal et hypoehogène en
rapport avec le foie
|
|
| |
 |
|
 |
|
| |
Normalement sur les
coupes longitudinals l'axe de la rate la diametre
longitudinale de la rate varie de 9,5 cm à 12cm ,
sa epais varie entre 4,5 - 6cm . |
|
Par la technique echographie en Doppler
on peut receceuillir image de artere et veine
splenique en couleur et peut en verifié par ;la
difference de sa pulse |
|
| |
 |
|
 |
|
| |
Image echograpghique de
veine splenique en bleu et en rouge de artere
splenique , la diametre de veine splenique
normalement variée entre 9 -10mm |
|
La forme des ondes de pulse de
artere splenique est normalement triphasique et de veine
splenique est souvent monophasique |
|
- La TDM
. .La technique TDM d'exploration de la
rate complete doit comporter
:
- Le patient reste immobilisation en
decubitus dorsale , les bras est
en derriere la tête ( sedation chez les enfants a
moindre 4 ans ) :
-
Une serie
d'exposé n'a pas de produit de contrast iode pour explorer des
calcifications et des hemorragies .
-
Des exposes plus de
contrast intraveineuse se donne de image de
rehaussement
precoce et heterogene de la rate et puis .homogenisation 2 minute
apres injection de contrast intraveineuse
-
Scanographie dynamique : Temps
arteriele ( 20-30s ) , temps veineuse ou portale est
70sec et phases tardive sont à moindre 120 s
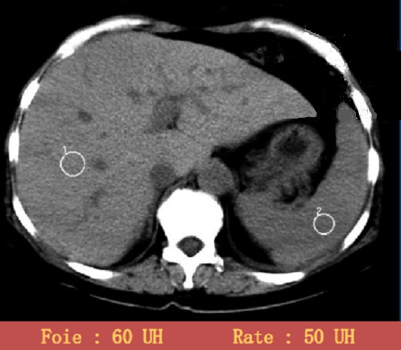
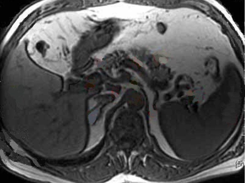
Image radiologique TDM normale :
Normalement la rate est une organe englobe par une capsule a
bord lisse , situe dans la ;loge sous phrenique gauche , sa densite
TDM varie de 40 -50 UH , légérement a inferieure du foie
(-10UH ) . Rehaussement est tres precoce heterogene en forme
de " zebre " ou aspect pseudotumorale cela par la
distribution difference dans les pulpe rouge et pulpe
blanche et être homogenisation totale apres 2 minute de
injection ( PDC ) . Sa densite apres injection de contrast
intraveineuse augement de 40-50UH à 100UH
| |
 |
|
 |
|
| |
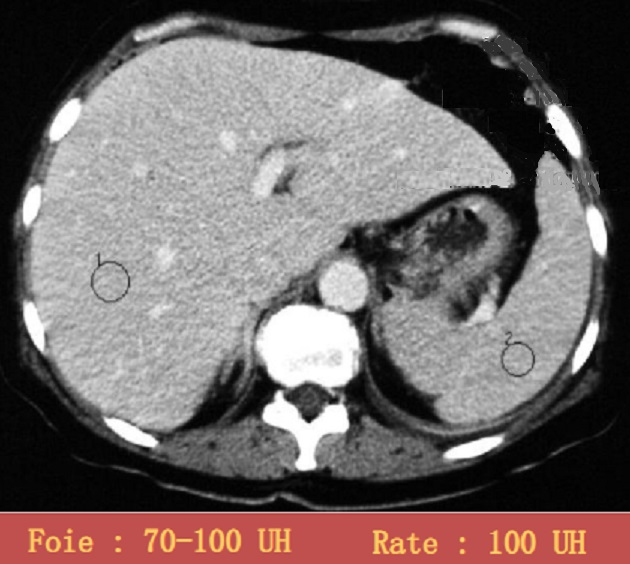
Image radiologique TDM
normale de la rate , c' est une organe en forme de semi-ovalaire
à bord lisse , sa bord anterierure est crenele , situe a
gauche , posterieure de l'abdomen Sa
parenchyme est homogene , legerement de
moindre densite ( 50 UI ) que le foie ( 60UI )
. Image radiologique TDM en coupe axial |
|
Image radiologique TDM plus + de
contrast intraveineuse. La parenchyme de la rate au debut
rehausse hyperdensite non homogene et puis homogene
avec densite a egale du foie ( 100UI ) . Image
radiologique TDM avec contrast intraveineuse en
coupe axial , phase tardive |
|
| |
 |
|
 |
|
| |
Aspect radiologique TDM non homogène en "
Zebre " du parenchyme de la rate très precoce après
injection de contrast intraveineuse . Les pulpes
rouges du parenchyme de la rate se rehaussent tres
precoce que les pulpes blanche Ce que donne de
aspect parenchymateuse non homogène zebreuse ou
pseudotumorale . |
|
A la phase tardive , 2
minute apres injection de contrast intraveineuse ,
le parenchyme de la rate devient hyperdensité
homogène a egale du foie . Image radiologique TDM de
la rate , plus C+ en coupe axiale . |
|
| |
 |
|
 |
|
| |
Image
radiologique TDM normal de l'abdomen avec contrast
intraveineuse , coupe axiale a travers du foie et de
la rate |
|
Même cas en coupe a travers du foie , la
vesicule biliaire et la rate |
|
| |
 |
|
 |
|
| |
Aspect
radiologique TDM plus C+ de la rate en coupe coronal
( frontal ) . Au phase arterielle la rate rehausse
tres hyperdense |
|
Aspect radiologique TDM plus C+ de la rate en
coupe sagital
|
|
| |
 |
|
 |
|
| |
Images de veine splenique , des
veines mesenterique et veine porte apres
recontructionale en 3D de phase veineuse a mode MIP
vue en oblique anterieue droit ( OAD ) . La rate
être en vue tres nette sous diapragmatique gauche .
Image TDM + PDC intra veineuse , temps veineuse |
|
Image de recontructional en
3D a mode MinIP ( Minimun itensity projection ) . se
donne de image de la rate sous phrenique gauche ,
image du pancreas et duodenum |
|
| |
|
|
|
|
-La IRM : Methode le plus frequemment d’utilise pour
etudie la rate et se donne des images de la rate en bonne definition . L’examen doit
realise a jeune afin de diminue de artefact des mouvements
peristaltismes gastroduodenal . La maladie en decubitus
dorsale , parametre choisir en fonction du patient , de
l'orientation clinique et par la caracteristique des lesions
de organe etudie . La sequece ponderee sur T1 , T2 rapide en
apnee ( HASTE ), T2 FATSAT et avec injection de chelate de
Gadolinium intraveineuse seront intallees. Image
radiologique IRM normale de la rate
-
Les sequences de
image en ponderation T1 sont fondamentales et
frequemment utilise pour explorer le parenchyme
de la rate . En ponderation T1 sur les sequences de
saturation de graisse ( FAT SAT ) le parenchyme de la
rate est homogene et intermediaire de intensite , ce la legerement hyperintense que les autre organe et moins
intense que le foie
-
Les sequences de
image en ponderation T2 la rate est hyperintense
-
L’injection de
chelates de gadolium est necessite de explorer le temps
de rehaussement parenchymateuse tres precoce ( 15-25 sec
apres l’injection ) avec aspect de la rate heterogene et
puis rapidement devient homogene et isointense en
rapport avec le foie a la fin du temps de evacuation .
| |
 |
|
 |
|
| |
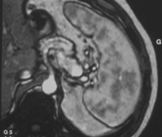
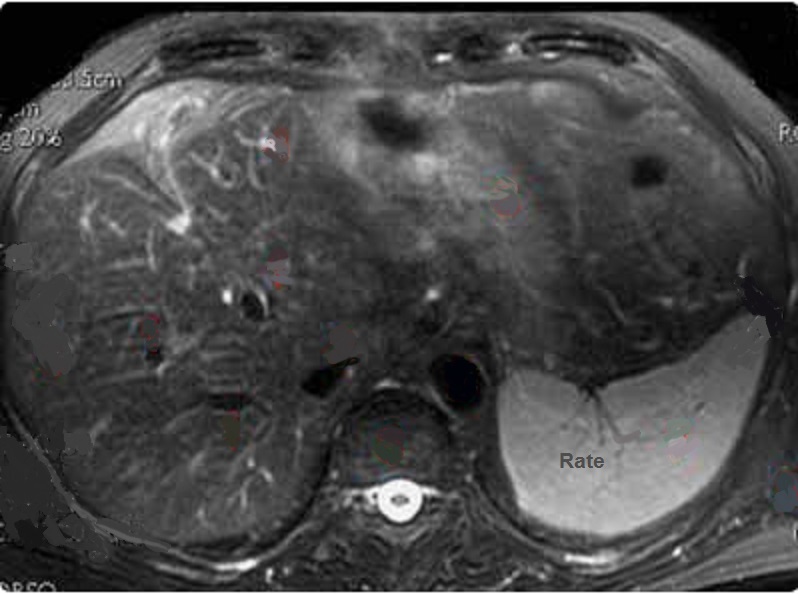
Image
radiologique IRM ponderee T1 de la rate avec aspect
parenchymateuse homogene et leregemant moins
intensite que le foie |
|
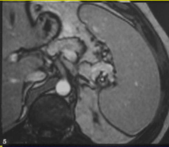
Aspect radiologique IRM de
la rate pondere sur T2 FatSat . La parenchyme de la
rate est homogène et tres hypersignal que le foie et
les autres organes . Image IRM T2 FATSAT coupe axial |
|
| |
 |
|
Aspect de la rate au temps de evacuation
apres injection de chelate de Gadolinium . Le
parenchyme de la rate est homogene et isosignal par
rapport au foie |
|
| |
|
|
|
|
| |
Dynamique de rehaussement de la rate apres
injection de Gadolinium intraveineuse |
|
| |
 |
|
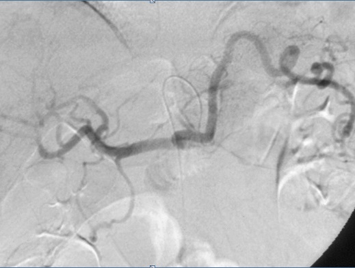
L'arteriographie
: Technique radiologique de choix pour explorer
l'artere splenique , les branches , la
vascularisation des lesions splenique et les extravasions
parenchymateuses spleniques
.
Dr Bui Binh Tho
Page :
1
/
2
/
3
/
4
/
5
/
6
//
A
suivre
<<
PREVIOUS
<<
>> NEXT >>
,
|
|