|
Dr Bui Binh Tho
Pathologie radiologique des tumeurs du pancreas :
Les
tumeurs solides du pancreas
( a suivre ):
Les tumeures
endocrine du pancreas ( TED ): Se develope
des cellules de fonction endocrine du pancreas , souvent
sont rare ( 3%) , se comporte :
- Les tumeurs endocrines fonctionelles ( syndromic
tumor ) souvent a petite taille < 2cm : Insulinoma
( le plus souvent ) , Gastrinoma ( souvent ) ,
glucagonoma , VIPoma ( rare ) , somatostatinoma ou
sérotoninoma (rare ) ( ** annexe )
-
Les tumers endocrine non fontionelle ( non-syndromic
tumor ) : A revelation tardive a incidence 30% de TED et
souvent des tumeurs de grand taille , n'a pas de
fonction de secretant ou d'agir un faible taux de
produit inactif
| |
**
CARACTERISTIQUES , EPIDEMIOLOGIQUES , CLINIQUES ET
BIOLOGIQUES DES TUMEURS ENDOCRINES DU PANCREAS
SECRETANTE
Sécrétions dominantes Incidence
(nouveaux cas/an) Présentation clinique Malignité
(p.100) Marqueurs biologiques
diagnostiques Prévalence de NEM
Insulinome 75-100
Hypoglycémie organique
<10 Test de jeûne
<5p.100 NEM-1
Gastrinome 50
Ulcères récidivants
oesophagiens >70
Hypergastrinémie
25 p.100 NEM-1
et duodénaux, diarrhée, RGO
Test à la
sécrétine positif
Glucagonome 1-2
Diabète, érythème
nécrolytique migrant >70 Chromogranine
A, glucagon <5 p.100 NEM-1
perte de poids,
thrombose, glossite
Vipome 3-5
Diarrhée hydro-électrolytique
profuse, >70 Chromogranine A,
VIP <5
p.100 NEM-1
hypokaliémie, achlorydrie
Somatostatinome 0,1
Diabète, stéatorrhée,
lithiase vésiculaire, >70
Chromogranine A, somatostatine
<5 p.100 NEM-1
achlorydrie
|
| |
|
Imagerie des tumeurs endocrines du pancreas jouer un role
primordial de recherche , de diagnostic et presenter un
bilan de l'extention locale et a distance . Imagerie des
tumeurs endocrine du pancreas se base sur l'echographie , la
TDM, l'IRM de PET CT et echo-endoscopie .
Echographie :
Image echographique du tumeur endocrine du pancreas est un
masse ou nodule arondie ou ovalaire hypoechorich a
bord nette , lisse et regulie
| |
 |
|
 |
|
| |
Image echographique d'un
tumeur endocrine pancreatique de petite taille .
Aspect echographique habituelle : hypoechogen ,
homogene et bien limite |
|
Image echographique du
tumeur endocrine de grand taille du pancreas .
Aspect echographique est hypoechogene , parfois
heterogen , multilobulaire et contour tres nette
|
|
| |
|
|
|
|
La TDM : Il y
avait la difference dans image radiologique de deux forme
fontionelle et non fontionelle des tumeurs endocrines du
pancreas :
-
Les tumeurs endocrines fontionelles du pancreas le plus
souvent insulinome representent 40-50% de tumeur endocrine
avec aspect lesionnel TDM de nodule hypervascularise ,
souvent a petite taille , homogene a bord bien limite ,
spontanement isodense ou hypodense . Hyperdense apres
injection de contrast intraveineuse , marquee au
temps arterielle( 25-30s) . Prise de contrast
precoce en anneau peripherique et un caracter de cette
tumeur
| Le forme fibreuse , gastrinome se
presente de 30-40% des tumeur endocrine a aspect
de masse hypodense ou isodensite , hyperdense
tres retarde apres inlection de contrast intraveineuse ( 3 minute apres
) . Plus ou moins calcifiee |
|
| Tres rarement est le forme kystique
hypovascularise et calcifie |
|
-
Les tumeurs endocrines non fonctionelles souvent
decouverte tardive a volumineuse , taille moyen 10cm ,
souvent necrose hemorragique central , en association de
bourgeon neoplesique vieneuse de veine splenique ou
veine mesenterique superieure et metastase hepatique (
90% des cas )
| |
 |
|
 |
|
| |
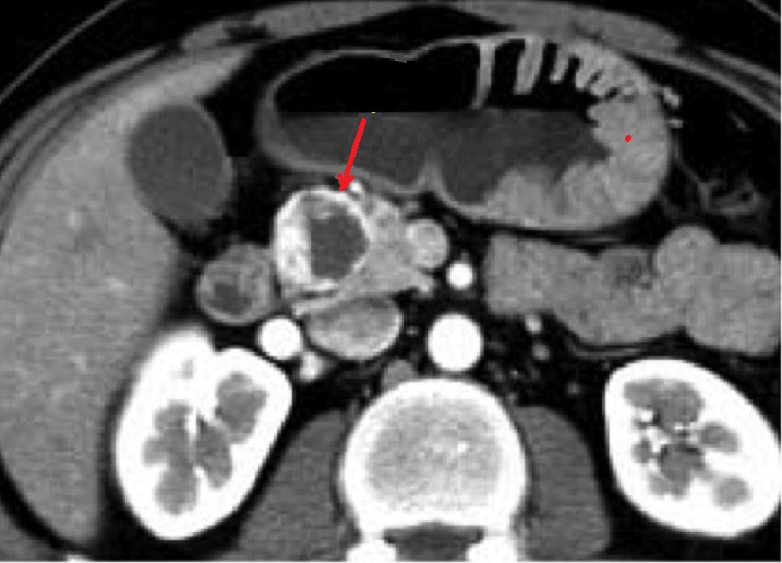
Image radiologique d'un
tumeur endocrine a petite taille du pancreas .
Aspect lesionnel TDM est une nodule isodense
du parenchyme pancreatique ( fleche rouge ) . Image
TDM en coupe |
|
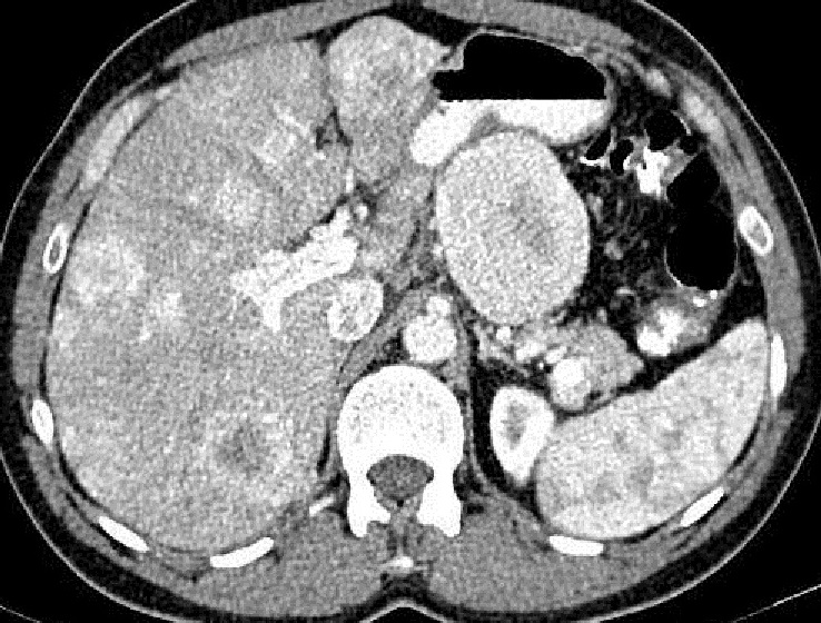
Meme cas en coupe TDM axiale plus contrast
intraveineuse Le tumeur devient hyperdense
apres injectionc . Image radiologique TDM
plus
contrast intraveineuse temps arterielle |
|
| |
 |
|
 |
|
| |
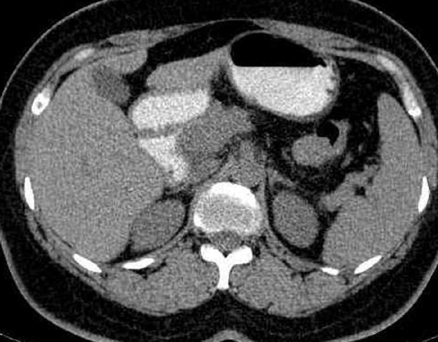
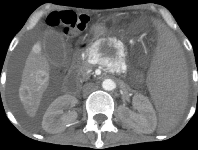
Image radiologique TDM d'une
tumeur endocrine fontionelle de la tete du pancreas
. Aspect lesionnel isodense se donne un image de
mal detecte de la tumeur . Coupe TDM axiale ( non
contras intraveineuse ) |
|
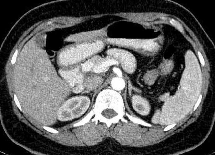
45s apres injection de
contrast intraveineuse , le tumeur devien hyperdense
et en vue tres nette au tete du panceas ( signe de
rehaussement ) . Image TDM plus contrast en coupe
axiale . |
|
| |
 |
|
Plus rare , les tumeurs
du pancreas endocrines fontionelles peut de forme
kystique ( fleche rouge ) moins de secretion de
endocrine et peut en presente de nodule calcifie..
La tumeur est hyperdense et sa contenue etre
hypodense |
|
| |
|
|
|
|
| |
 |
|
 |
|
| |
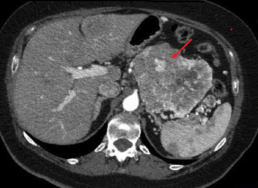
Les tumeurs endocrines
non fonctionelle sont rare et souvent en decouverte
tardive , tres volumneuse a taille depasse 10cm .
Aspect radiologique TDM de ce tumeur est hypodense
heterogene a tres grand taille situe au queue du
pancreas . Coupe TDM C+ |
|
Image radiologique
d'un tumeur endocrine non fontionelle du queue
pancreas a grand taille . Ce que entraine une
deformation neoplasique du systeme veine splenique .
Image vde engainement veineuse et abrution
neoplasique de veine splenique ( fleche rouge c) |
|
| |
 |
|
 |
|
| |
90% des tumeurs endocrines
non fontionelles avaient de lesions metastasiques
locaux ou a distance . Image radiologique TDM du
metastase hepatique foie droit d'un tumeur
pancreatique non fontionelle ( fleche rouge ) |
|
Image radiologique TDM plus C +
d'un tumeur endocrine non fontionelle du pancreas
avec des nodules metastasique du foie . Aspect
hypervascularise hyperdense avec zone necrose
parenchymateuse hypodense central se voyait tres
nette . Coupe radiologique TDM axiale avec contrast
intraveineuse au phase arterielle |
|
| |
 |
|
 |
|
| |
Meme cas en coupe
TDM coronale |
|
Un autre cas de tumeur
endocrine non fontionelle du corp pancreas avec
aspect hypervasculaire et hyperdense apres injection
de contrast intraveineuse . Zone de necrose
hypodense central etre en vue . Coupe TDM axiale
avec contrast intraveineuse phase veineuse |
|
L'IRM : C'est technique
avait une sensibilite resemble la TDM . Aspect radiologique
IRM d'une tumeur endocrine du pancreas est image hypointense
sur T1 ( relative avec parenchyme du pancreas ) et
hyperintense sur les coupes pondere T2 . Sur les coupes T1
avec Gadolinium intraveineuse ( Gd ) le tumeur est
hypervascularise et hypersignal .
| |
 |
|
 |
|
| |
Aspect lesionnel d'une
tumeur endocrine du pancreasest image hyposignal
T1 ( fleche rouge ) . Image radiologique IRM
T1 d'une tumeur endocrine du corp pancreas en coupe
axiale . |
|
Meme cas en coupe IRM ponderation T2 (
fleche rouge . La tumeur devient hypersignal que le
parenchyme du pancreas . Ce que se donne comme une
technique d'utilise pour decouverte des petites
tumeurs |
|
| |
 |
|
 |
|
| |
Meme cas en coupe IRM
ponderation T1 apres injection de Gadolinium
IRM plus C+(Gd) . La tumeur hypervacularisee devient
hyperdense a la phase aterielle , les tumeurs de
forme fibreuse avait le temps de rehaussement
plus tardive |
|
Un autre cas de tumeur endocrine du corps
pancreas . Aspect radiologique est un nodule
hyperdense a ponderation T2 . Image radiologique IRM
de ponderation T2 en coupe axiale . |
|
Scintigraphie et
PET - CT : Technique de choix pour
rechercher , differentier les tumeurs primitives et en
realiser le bilan de l'extention locaux regional ou a
distance . Sa sensibilite
se dépendre du siège de la tumeur primitive, du type de
secrétions et de la taille de la tumeur , ce qui est bien
sur les gastrinomes a taille de plus 2cm et elle est limite
pour la detection des tumeurs primitives et des metastases a
taille moidre de 1,5cm . Le PET-CT est mal limite pour
diagnostic differetielle
| |
 |
|
 |
|
| |
Scintipraphie ( Osteoscan ) :
Tumeur de la tete du pancreas d'une maladie a expose
de 4 h et 24h apres . |
|
Aspect radiologique PET -CT d'une tumeur
endocrine de latete du pancreas . N'a pas de foyer
de l'extention metastatique se retrouver |
|
| |
|
|
|
|
Pronostic et traitement :
Traitement surgicale de resection et curetage complete
dans les cas ne retrouvent pas de la
metastase .
Le pronostic dependre de l'origine de cellule
cancereuse :
- Insulinoma: 10% maligne
- Gastrinoma: 60% maligne
- Glucagonoma: 80% maligne
- VIPoma: 75% maligne
- Somatostatinoma: 75% maligne
- Non-functional: 85-100% maligne
Diagnostic radiologique
differentiel
: Diagnostic radiologique differentiel avec :
- Metastase de adenocarcinoma renale
-
Rate accessoire intrapancréatique
-
Myelome pancreatique
-
Cytadenome sereuse
Dr Bui Binh Tho
Page :
1
/
2
/
3
/
4
/
5
/
6
/7/
8/
9
/
10
/11/
12/ 13 /
A
suivre
<<
PREVIOUS
<<
>> NEXT >>
,
|
|