|
Dr Bui Binh Tho
Pathologie radiologique inflamatoire du pancreas : ( A suivre )
Pancreatite chronique :
.La pancreatite chronique se presente par une infection
chronique , progressivement et fibrosant du pancreas ,
ce qui entrainnent une changement irreversible morphologique
exocrine et endocrine de la fonction du pancreas .Il se presente souvent de age 35 -45
a incidence 10
fois de plus sur les homme que les femmes . L' intoxication
ethylique chronique est la cause en presente dans 85% des
cas de pancreatite chronique . Les facteurs de risques en
presence de developpement la PC sont :
- T : Toxic metabolique de alcool , medicament , insecticide
- I : Idiopathique ...
- G : Pancreatite genetique
- A : Autoimmune
- R : Recurrence
- O : Obtruction des voies bilio-pancreatique (
calcul , tumeur de la tete du pancreas)
Cliniquement le diagnostic de pancreatite
chronique se pose sur une douleur
epigastrique de l'abdomen recurrement de plusieure annee ,l' etat de malabsortion ( diminution de
excretion des exocrines ) et diabete mellintus de type
disfontionement de endocrine pancreatique , signe de
obtructive des voies bilio-pancreatiques parfois se
presenter .
Classiquement on
avait en distingue 3 type de pancreatite chronique
- Les pancreatites chroniques primitives non
obtructives : En dehors de cause reconnue alcoolique ,
les autres sont : l'hypercalcemies , l'hyperlipidemie ,
pancreatites chronique genetique , pancreatite chronique
tropicale , recidivante et pancreatite chronique idiopathique
- Les pancreatites chroniques secondaires obtructives : elles se presentent par une obtacle du
canal de Wirsung ( cancer de la tete du pancreas ,
pseudo-kyste du pancreas , ampulome vateriene , stenose
du sphinter Oddi ... ou dystrophie kystiqu de la paroi
duodenale )
- Pancreatite inflamatoire chronique lie aux maladies
auto-immunes
Diagnostic radiologique du pancreatite
chronique se base sur cliche de face ASP , de l'echographie
percutane de l'abdomen , la TDM et l'IRM .
Cliche de face ASP
: Image radiologique de pancreatite chronique le
plus souvent sur ASP est image de calcification
parenchymateuse ou canalaire du pancreas . Parfois on en
voyait image de calcification vasculaire de artere splenique
. Ce sont des opacite multiforme , souvent nodulaire avec de densite eleve alonge
l,axe du pancreas
| |
 |
|
 |
|
| |
Image radiologique de
calcification d'une pancreatite chronique peut
en presence par hazard d'une cliche de face
pulmonaire PA . . A la region a travers L1 , L2 a
gauche on peut en voyant image des opacites calcifie
du pancreas de la maladie |
|
A gauche de L1 on peut en voyait image
des petites nodules et des taches calcifies du
pancreas .Image radiologique ASP de face de
l'abdomen d,une pancreatite chronique . Image
de calcification du pancreas en ce cas est tres
nette |
|
| |
 |
|
 |
|
| |
Image radiologique ASP de
face des calcifications parenchymateuse d'une
pancreatite chronique . Image de calcification en ce
cas situe a la region gauche du L1 , L2 est en vue
et moins nette que le cliche ASP de face au dessus
par en consommation avec image de ileus gazeuse du
colon transverse |
|
Image radiologique de
calcification du pancreas d'une pancreatite
chronique diagnostique par harzad sur un cliche de
face ASP a douleur de l'abdomen |
|
| |
|
|
|
|
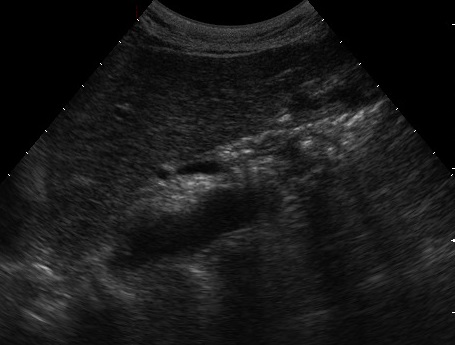
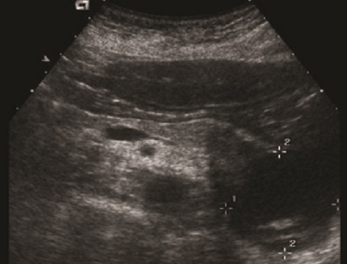
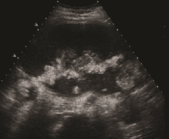
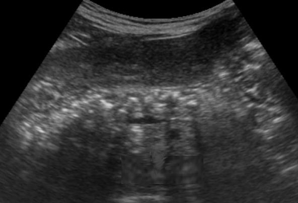
. Echographie :
Image echographique
percutanee direct de
pancreatite chronique est image de hyperechogene
heterogeneite de la
parenchyme pancreatique , sa taile peut augemente ,
normalement ou diminue sa bord est irregulier ,parfois
en presente des nodules calcification parenchymeteuse ou bien
image calcaire des calculs du canal pancreatique ce qui donne
de aspect de cone de l.ombre posterierure, en ce cas les
canal intra pancreatique sont dilates .
Les faux kyste associe peut en presente et se donne des images aechogene ou
hypoechogene intrapancreatique . Imge de ascite parfois se
en voyait
LaTDM :
C'est l'intention de choix pour diagnostic
pancreatite chronique . Les signes radiologiques de base se
digirre de diagnostic pancreatite chronique sont :
- Changement de sa taille , volumineuse , souvent
atrophique dans les forme evoluee , sa bord est
irregulier
- En presence des calcifications ou depots hyperdense
de tonalite calcique parenchymateuse ou intra canalaire
.
- Image de stenose alternative avec dilataion ou
dilatation en amont d'une obstacle du canal pancreatique
et sa branche peut en voyaient , ce qui peut focalise ou
diffuse
- Aspect de pdeudo kyste pancreatique a hypodense de
canal secondaire du pancreas
- La diminution de rehaussement parenchymateuse
a phase arterielle est important en presence sur les
acquisitions tardives .
| |
 |
|
 |
|
| |
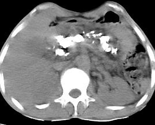
Pancreas volumineuse a
isodense, , bord irregulier .avec des calcifications
nodulaires ou multiforme tres hyperdense dissemine
intra parenchymateuse du pancreas . Image
radiologique TDM d'une pancreatite chronique
primitive en coupe axiale . |
|
Cliche de face ASP d'une
pancreatite chronique .A travers L2 et vers a
gauche , il y avait de pl;usieure de nodule et
opacite calcique pancreatique |
|
| |
 |
|
 |
|
| |
De meme cas en
coupe TDM axiale . Pancreas en volumineuse , a bord
irregulier en presence des calciofications et
depots hyperdence de tonalite calcique
parenchymateuse . Pancreatite chronique primitive |
|
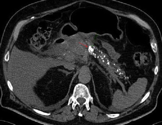
Les calcifications souvent
parenchymateuse mais parfoi peut etre canalaire (
fleche rouge ). Dans ce cas image de dilatation des
canal biliaire peut en voyait . Image
radiologique TDM d'une pancreatite chronique +
calcul du canal pancreatique en coupe axiale |
|
| |
 |
|
 |
|
| |
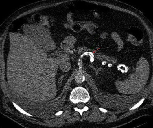
On doit en distinguer avec
image de calcification vasculaire en rail de train
tres hyperdense de artere splenique ( fleche rouge )
. Image radiologique TDM d'une pancreatite chronique
avec image de calcification de artere splenique en
coupe axiale |
|
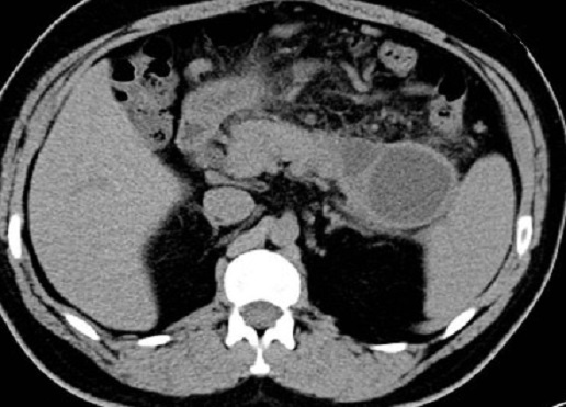
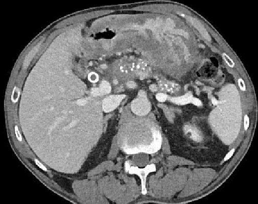
Image TDM en coupe
axiale d'une pancreatite chronique en forme
laculaire isodense avec images de pseudokyste a
hypodense a densite inferieure de 20 UH situe au queue du pancreas |
|
| |
 |
|
 |
|
| |
Aspect radiologique de
dilataion du canal pancreatique peut en voyait dans
le cas pancreatite chronique secondaire obtructive .
Pancreas est atrophique , un peut hyperdense a bord
irregulier +. dilatation du canal pancreas
principale . Image calcification du calcul peut en
voyait nette au tete du pancreas . Image
radiologique TDM dee l'abdomen en coupe coronal |
|
Image radiologique d'une pancreatite
chronique secondaire en association avec une
gastrite oedemateuse tres grave . Coupe TDM axiale |
|
L'IRM
et IRM - Bili
:
La IRM et IRM -Bili sont de technique de choix sur les
sujets en neglige de CT ( grossesse ...} ou des cas de
diagnoctic difficile . Ils sont en souvent utilise pour
observation les changement morphologique ou fonctionelle du
pancreas . La technique IRM -Bili de machine de plus de 1,5
Tesla soit en utilise pour diagnostic les lesions intra
canalaire pancreatique et biliaire
. Image radiologique IRM et IRM -Bili d'une pancreatite
chronique est image :
Au stade debutant image radiologique souvent
:
- Pancreas normale ou volumineuse a hyposignal pondere
sur T1 saturation graisseuse ( Fat Sat )
- Diminution de rehaussement parenchymateuse a phase
arterielle apres injectin de contrast intraveineuse
- Dilatation lineaire des cannaux pancreatiques
secondaires.
Au stade avance tardive , image radiologique
est :
- Pancreas souvent atrophique , parfoi enlarge
- En presence des pseudokystes
- Dilatation // stenose du calnal pancreatique
pricipale se donne de image " chaine of lake "
Les changements fonctionelles
pancreatiques peut en obverve : Technique radiologique MRCP
+ Injection de secretine peut en utilise pour apprecier
la cinetique de vidange et la fonction secretoire du
pancreas .
| |
 |
|
 |
|
| |
Image radiologique IRM
a ponderation T1 C+Fat Sat d'une pancreatite
chronique debutant . Pancreas est un peu volumineuse
, hypointense |
|
Image radiologique d'une pancreatite
chronique debutant avec pancreas atrophique et
hyposignal . Image radiologique IRM ponderee sur T1
FatSat |
|
| |
 |
|
 |
|
| |
Aspect
radiologique de dfilatation/stenose du canal
pancreatique principale d'une pancreatite chronique
avancee tardive ( fleche rouge ) .Image IRM encoupe
axiale a ponderation sur T2 . Parenchyme du pancreas
est atrophique et hyperintense .. |
|
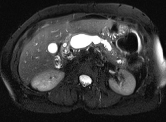
Image de pseudokyste d'une
pancreatite chronique tardive ( fleche rouge ) . Sa
contenue interieure est souvent 20UI et changement
de densite dans cas infection ou hemorragique |
|
| |
 |
|
 |
|
| |
Aspect de dilatation
hyperintense du canal pancreatique principale avec
image du calcul a hypointense au tete du pancreas .
Pancreas est atrophique hyposignal . Image
radiologique IRM pondere T2 en coupe axiale |
|
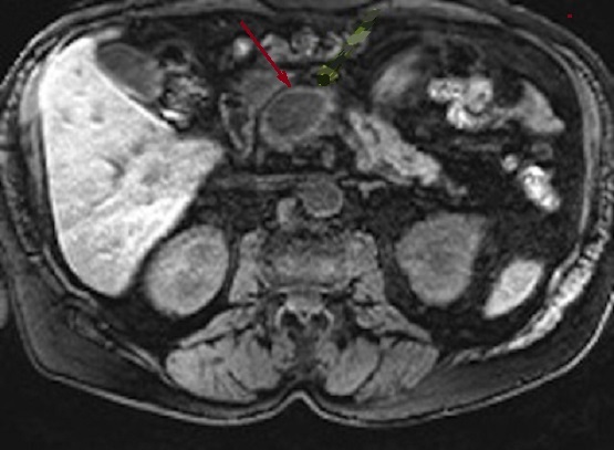
Image radiologique IRM-Bili D.une
pancreatite chronique + calcul de la tete du
pancreas ( fleche rouge ) avec dilatation du
canal pancreas principale en amont . Canal
choledoque et vesicule biliaire encore en voyaient
tres nette . |
|
| |
 |
|
 |
|
| |
Aspect radiologique en "
chaine of lakes " former par des portions
dilatation/stenose du canal pancreatique principale
d'une pancreatite chronique . Image MRCP coronal
recontructional en 3D |
|
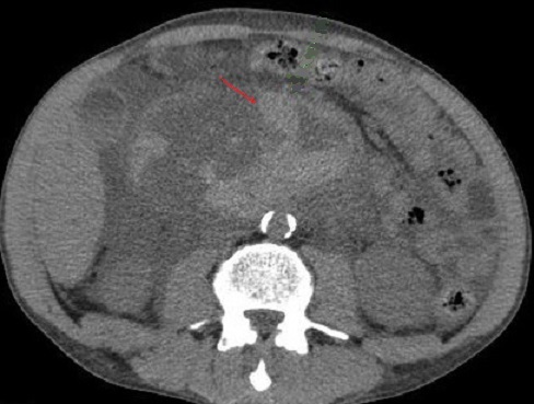
Image radiologique TDM en coupe
axiale d'une pancreatite chonique tardive avec des
pseudokyste a complication hemorragique
intrakystique . Dans ce cas le kyste est devient
hyperintese de moindre 20 UI augementer a 40 ,
50 UI .( fleche rouge ) |
|
Complications :
Elles sont nombreuses de complication :
- Formation des peudokystes a affection bacterienne ou
hemorragie intra kystique
- Pousse aigue d'une pancreatite aigue
- Stenose des voie biliaire principale
- Epanchement peritoineale ou tres rare est pleurale
- Compression dupodenale par un pseudokyste
- Complication vasculaire : pseudoanevrysme ,
thrombose veineuse splenique
Dr Bui Binh Tho
Page :
1
/
2
/
3
/
4
/
5
/
6
/7/
8/
9
/
10
/11/
12 /
13 /
A
suivre
<<
PREVIOUS
<<
>> NEXT >>
,
|
|