|
Dr Bui Binh Tho
Pathologie radiologique des tumeurs du pancreas :
Les
tumeurs kystiques du pancreas :
| |
Les tumeurs kystiques ou les lesions
kystiques du pancreas sont plus rare et se
comporte classiquement suivant :
Cystadénome séreux,
cystadénome mucineux, tumeur
intracanalaire papillaire mucineuse du pancréas (
TIPMP ) et les pseudokystes . |
| |
Generalement devant une tumeur kystique du pancreas on doit verifie : |
| |
- la taille de kyste en distinguer le micro-kyste
(<2cm) ou de macro-kyste (>2cm)
- unique ou multiloculaire
- présence ou l’absence d’une dilatation du
canal de Wirsung
- l’aspect de la paroi kystique, cloisone ou
non et avait de calcifications
- a bord irregulie végétations ou de nodules
tissulaires muraux ou regulier |
| |
Imagerie de tumeur kystique du pancreas
l' echographie ,la TDM l'IRM est de distinguer les lesions begnins , a potentiels
de malignites ou malignites et verifie la degree de
l'extension loco-regional , regional ou a distance
de la lesion .
L'endoechographie et ponction exploratrice
macroscopique ou cellulaire du tumeur sont des
technics de la deuxieme de l'intention de choix sur
les cas de mal ou difficile de diagnostic
differentiel . |
- Les
cystadenomes sereux du pancreas :
C'est une
tumeur kystique epitheliale begnin du pancreas se presenter tres frequemment de age 50-70 et
a ponderer sur feminin avec de sex ratio 2:1 . Elle peut
presenter sous forme unique macrocystique (
ologocystique 10%) a taille depasse > 20mm , ou souvent sous
forme polycystique ( 70% ) formee par des petites kystes a <
2mm ; la forme en nids d'abeille ( 20% ) parfois en se
voyant . Les kystes avaient de paroi fin < 2mm , bordees par
epithelium sereuse a cicatrice centrale sous forme
spongieuse . Elle est asymtomatique dans 1/3 des cas ,
parfoi en association avec maladie de Von Hippel
Lindau et se developpe retarde par
douleur palpable , amaigrissement ou ictere . Imagerie des
cystadeneme sereux du pancreas se base sur cliche ASP ,
echographie , la TDM , l'IRM et angiographie .
Endoechographie et ponction exploratrice macroscopique et cellulaire
du pancreas peut en
etablissement dans cas avait difficile de diagnostic .
Echographie : Image
echographique d'une cystadenome sereuse est une masse
hypoechogene , contour nette , polylobe situe du corps ( 34%
) du queue ( 26% ) , sa contenue le plus souvant sous forme
de multiple microkyste aechogene , nids d'abeille ou eponge
, cicatrice fibreuse central et calcification central parfoi
se en voyant. Les oligokystes sont se
presenter souvant a la tete du pancreas (40/% ),
uniloculaire macrokystique seul . Endo
echographie et ponction exploratrice presenter sa liquide
est claire et pauvre
en enzymes pancréatiques, en ACE et Ca 19-9
La TDM : Il y
avait la difference dans image radiologique TDM de
trois forme
de cystadenome sereux du
pancreas :
-
Le
cystadenome sereux microkystique c'est forme le plus
typique et plus frequemment ( 70%) . Son aspect
caracteristique suivant :
| -
Multiples kystes,
taille
de chaque kyste < 2 cm ,
nombre est > 6
a aspect “en nids d'abeille ”de contenu
liquidien .Rares kystes est de plus > 2cm
et situe en périphérie
,localisation céphalique est fréquente (>50%)
mais non spécifique , sa contours sont nettes,
polylobés avec une paroi fine a moindre < 2mm ,
cicatrice centrale fibreuse
visible dans 15% des cas et réhaussée
tardivement après injection de contrast
intraveineuse . Calcifications centrales
possibles
et pas de communication avec le canal
pancréatique principal . Plus rare
retentissement canalaire (dilatation VBP,
Wirsung) |
|
-
Le
cystadenome sereux macrokystique ou oligokystique a
frequence 25% des cystadenome sereux avec aspect
caracretristic suivant :
-
Les
kystes avaient de taille de plus > 2cm souvent
multiples ( 15 % ) 10% des cas est sous forme
uniloculaire macrokystique . Ce qui est souvent
difficile à distinguer à l’imagerie du
cystadénome mucineux, de la TIPMP des canaux
secondaires et du pseudo-kyste. Aspext TDM en
faveur dans diagnostic du cystadénome séreux
macrokystique uniloculaire sont :
-
Localisation céphalique a hypodense
-
Contours lobulés
-
Paroi fine < 2mm hyperdense ou
isodense
-
Absence
de réhaussement pariétal
périphérique
|
-
Absence
de calcifications périphériques
-
Absence d’antécédent de
pancréatite
-
Absence de communication avec
le canal pancréatique principal
(diagnostic différentiel avec les
TIPMP).
|
L’écho-endoscopie et
ponction exploratrice d’analyse
du liquide kystique permettent de
différencier cystadénome séreux macrokystique et
cystadénome mucineux . . La présence d’une paroi
kystique épaisse de plus > 2mm et l’absence de
microkystes peuvent orienter vers le diagnostic
de cystadénome mucineux. Un taux d’ACE dans le
liquide de ponction < 5ng/ml serait spécifique à
100% du cystadénome séreux |
|
- Le cystadenome sereux solide est rare a incidence
5% des cystadenomes sereux . Image radiologique TDM est
une masse solid heterogene hypodense et difficile de
diagnostic differentiel avec les autres tumeurs solides
:
adénocarcinome ductal, tumeur endocrine, tumeur pseudo-papillaire
et solide métastase
| |
 |
|
 |
|
| |
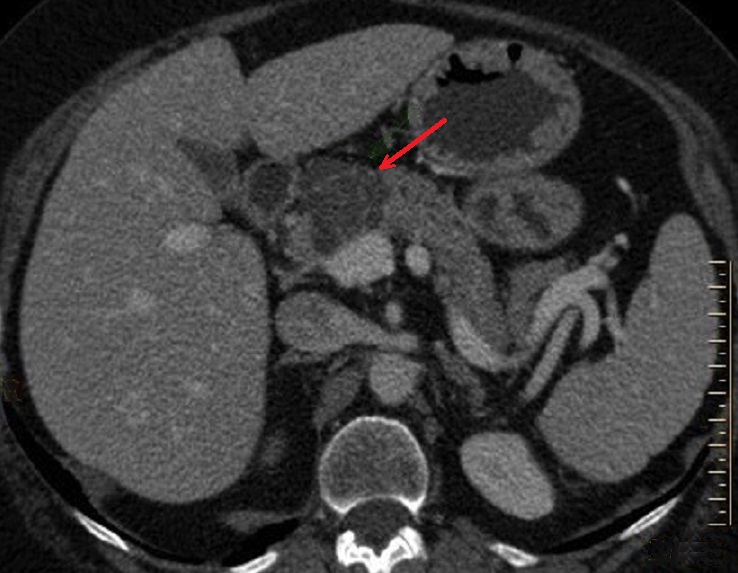
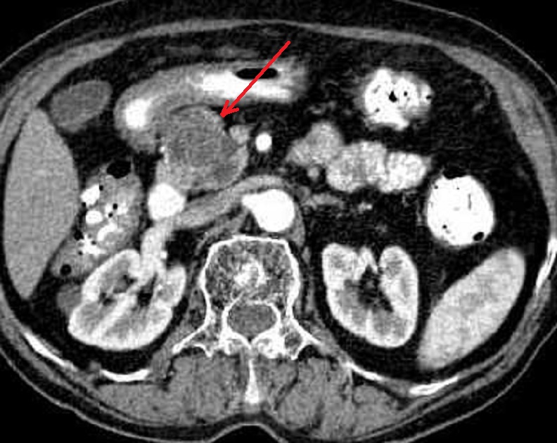
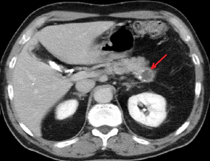
Image radiologique TDM d'une
cystadenome sereux multikystique cephalique du
pancreas a aspect multikystique comporte de plusieur
kyste hypodensite de < 2cm situe a la tete du
pancreas ( fleche rouge ) . Coupe TDM axcilaire |
|
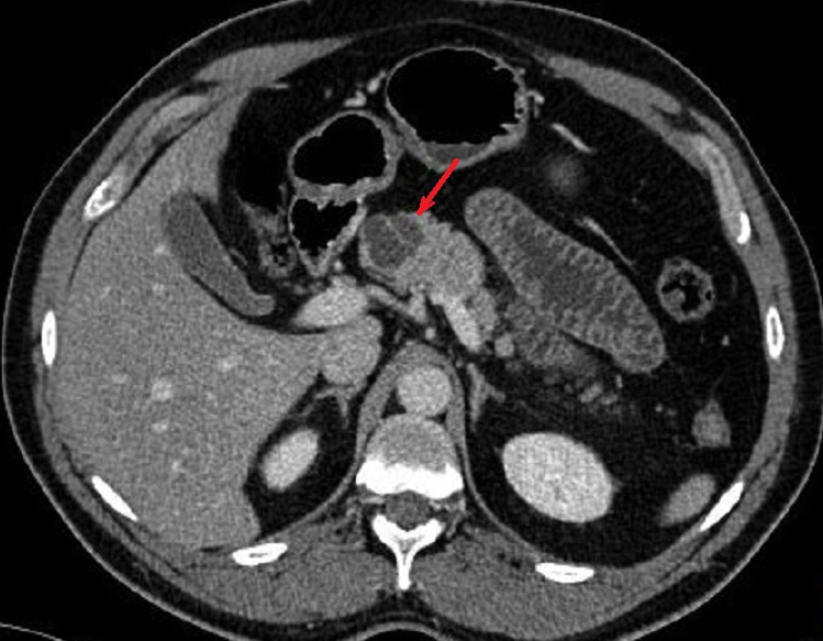
Aspect radiologique du cystadenome
sereux multikystique de la tete du pancreas . La
tumeur est comporte par des kyste a moindre 2cm a
hypodense , de contour et cloison septal interne
sont nette , Image radiologique TDM non contrast
intraveineuese , coupe axiale . |
|
| |
 |
|
 |
|
| |
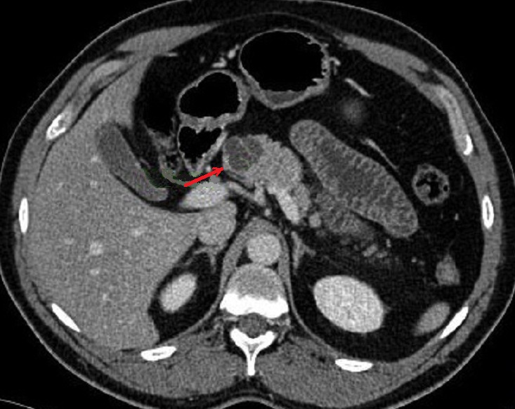
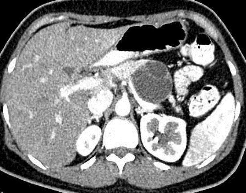
Un grand cystadenome de la tete du pancreas a
aspect hypodense multikystique polylobulaire a
cicatrice et calcification centrale ( fleche rouge )
. Tomodensitographie en coupe axiale |
|
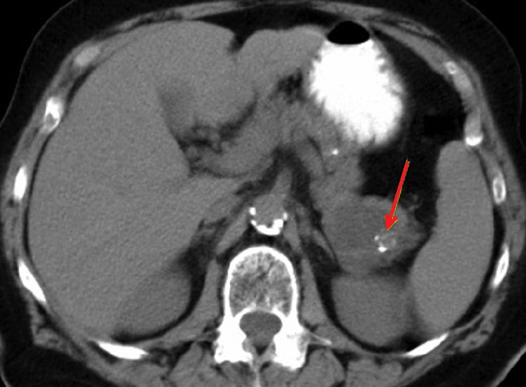
Une autre cas cystadenome sereux
multikystique au queue du panceras avec image
calcification central ( fleche rouge ) |
|
| |
 |
|
 |
|
| |
Image radiologique d'une cystadenome sereux
multikystique ismique du pancreas . Les cloisons (
septa ) interne et une partie de contour du tumeur
deviennent hyperdense de nette apres injection de
contrast iode intraveineuse ( signe de rehaussement
) . Coupe TDM plus C+ iode |
|
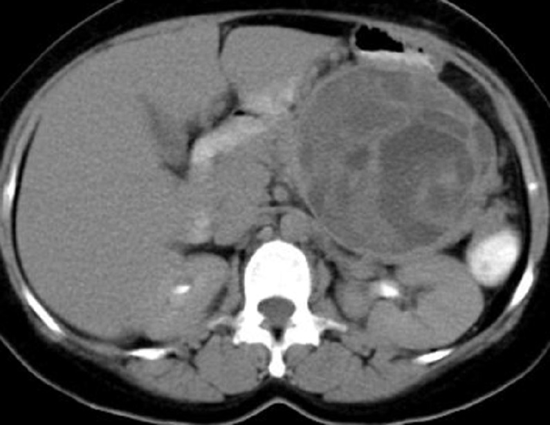
Image radiologique TDM d'une cystadenome
sereux macrokystique avec aspect lesionaire de kyste
hypodensite a grand taille de plus> 2cm situe au
queue du pancreas . Coupe TDM axiale n'a pas de
contrast intraveineuse |
|
| |
|
|
 |
|
| |
. Image radiologique TDM n'a pas de contrast
intraveineuse d'un cystadenome sereux multikystique
au tete du pancreas ( fleche rouge ) . Sa
cloison interne est mal de detecter . |
|
Rehaussement du cloison et de
partie de contour du tumeur est une caracteristic du
cystadenome sereux multikystique du pancreas . La
contour du tumeur et les septals internes devient
hyperintense tres nette apres injection de contrast
iode intraveineuse Image TDM plus C+ phase
arterielle |
|
L'IRM : C'est technique
avait une sensibilite resemble la TDM . Aspect radiologique
IRM d'une cystadenome sereux du pancreas est image hypointense
sur T1 et
hyperintense sur les coupes pondere T2 . Sur les coupes T1
avec Gadolinium intraveineuse ( Gd ) le septal du tumeur
peut en rehaussement hypersignal .
| |
 |
|
 |
|
| |
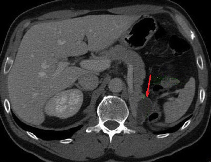
. Image radiologique TDM d'un
cystadenome sereux macrokystique situe du queue du
pancreas ( fleche rouge ) . La lesion etre mal
detecte par aspect moins hypodensite que la
parenchyme pancreatique |
|
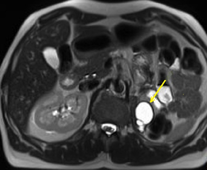
Meme cas en coupe IRM
axiale ponderation sur T2 . La contenue liquidienne
du kyste devient hypersignal ( fleche jaune ) situe
au queue du pancreas |
|
| |
 |
|
 |
|
| |
Image radiologique IRM d'un
cystadenome sereux multikystique au queue du
pancreas avec aspect un tumeur a comporte des
petites kystes hypersignal situe au queue du
pancreas( fleche rouge ) .Image radiologique IRM
ponderee T2 coupe axiale |
|
.Un autre cas de cystadenome sereux
multikystique avec cicatriciel fibrotique
calcification central . Aspect lesionaire est un
tumeur multikystique hypersignal avec image de
calcification tres hyposignal central . Image IRM a
ponderation sur T2 coupe axiale |
|
| |
 |
|
Crictere radiologique d'une cystadenome sereux :
- Lesion kystique a contour polyloculaire
- Uni ou multi kyste , taille variable < 2cm
et nombre depasse > 6 micro kyste
- Paroi souvent fine
- Rehaussement du paroi et cloisons apres
injection de contrast intra veineuse
- Calcification central
- L'absence de communication avec canal
pancreatique principale
-
l’absence de végétation intra-kystique provoque
la malignité
|
|
| |
Image radiologique Wirsungo-
cholangio IRM d'une cystadenome sereux multikystique
du pancreas . N'a pas de communication canalaire du
kyste |
|
|
|
Diagnostic radiologique
differentiel
: Diagnostic radiologique differentiel avec :
- Intraductal papillary mucinous tumor (IPMN) of the
pancreas: communicates with pancreatic ducts
-
Pseudokyst du pancreas
- Cystadenome mucineux : calcification peripherique ,uniloculaire
, sa taille peut de plus >20 mm
-
tumeur solide pseudopapillaire avec cysticdegenerescence
and necrosis
- Les cystadenomes
mucineux du pancreas :
Les cystadénomes mucineux sont des tumeurs bénignes à peut
de potentiel maligne . Cette lésion survient chez des femmes
que les hommes (sex ratio 9:1) de age de 30 -35 ( jeune mere
), situe frequemment dans le pancréas corporéo-caudal
, 80% au corps et du queue , 20% se presente de la tete du
pancreas . Les kystes sont formés de cellules épithéliales
produisant de la mucine et bordées par un stroma ovarien.
Les cystadénomes mucineux sont plus fréquemment
symptomatiques que les cystadénomes séreux par des douleurs
abdominales aspécifiques, un ictère, un syndrome de masse et
des crises de pancréatite aiguë en cas avait de compression
du canal de Wirsung. Diagnostic imagerie de cystyadenomes
nucineux du pancreas se base sur echographie , la TDM ,
l'IRM .
L'endoechographie et ponction exploratrice macroscopique ou
cellulaire du tumeur est de
choix pour diagnostic et verifie le taux frequemment eleve
de l'ACE , CA19.9 et CẠ15.3 et CA72.4 du kyste
..
Echographie : Aspect
echographique lesionaire du cystadenome mucineuse du
pancreas est image du tumeur multiloculaire aechogen ou
hypoechogen , paroi epaisse > 2mm parfoi fin , a taille de
plus de > 10cm , forme par des petites kystes de moins < 2cm ,
parfois macrokystique , situe
dans le pancréas corporéo-caudal . N"a pas de
communication canalaire et lesion de calcification peripherique
parfois se en voyait
La TDM : Aspect
radiologique TDM d'une cystadenome mucineux est :
C'est lesion kystique
ronde, à bords réguliers ,
uni ou pauci-loculaire (< 6)
macrokystique (taille > 2cm) . Paroi et les cloisons souvent
epaisse , rehaussement apres injection de contrast
iode , calcification parietal peripherique ou curviligne .
Sa contenue peut etre hypodense , spontane hemorragie
hyperdense , vegetation intrakystique et n'a pas de
communication avec canal pancreatic pricipale et pas
de dilatation du canal pancreatique principale .
L'IRM :
Aspect radiologique IRM d'une cystadenome mucineux est
hyposignal T1 et hypersignal T2
| |
 |
|
 |
|
| |
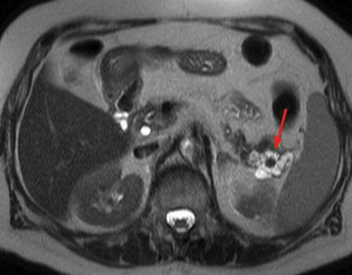
Image radiologique IRM d'une
cystarenome mucineux du pancreas avec aspect
lesionaire de kyste ovalaire uniloculaire a
hyposignal ( fleche rouge ) . Coupe axiale IRM
ponderee T1 |
|
Meme cas en coupe IRM axiale
ponderation T2 . La tumeur kydtique devient tres
hyperintense ( fleche rouge ) |
|
Le cystadenome mucineux est une tumeur begnin a
potentiel maligne , les criteres de suggesion de malignite
sont :
| |
-
L’épaississement
irrégulier des parois
-
La
présence de végétations intra-kystiques ou d'un
bourgeon tumoral intrakystique
-
La présence de calcifications périphériques
-
Une taille > 40 mm
|
|
-
Une dilatation canalaire en amont
-
Des adénomégalies satellites
-
Des signes d’envahissement vasculaire
-
La
présence de métastases hépatiques
|
| |
|
|
|
Diagnostic différentiel :
Dr Bui Binh Tho
Page :
1
/
2
/
3
/
4
/
5
/
6
/7/
8/
9
/
10
/11/
12/ 13 /
A
suivre
<<
PREVIOUS
<<
>> NEXT >>
,
|
|