| |
Techniques radiologiques de l'abdomen et tube digestif
Les techniques radiologiques de l'abdomen et du tube digestif
se basent sur : les films standard de l'abdomen ( ASP ) , la
CT scanner du tube digestif et les organes pleins intra-abdominaux
,
la TOGD , l'enteroclyse , le lavement baryte ,arteriographie et echographie
La Radiographie satandard de l'abdomen et du
petit bassin ( ASP ) :
La radiographie de l'abdomen et du petite
bassin se base sur les cliches expose en trois
incidence fondamentales :
- ASP de face debout : Maladie en debout AP ,
foyee du rayon X centre sur l'ombilic , la table
en verticale et la table serait incline 45 degree si
maladies en est fatigue .
- ASP de face debout centre sur les coupoles : En
cette incidence le foyee du rayon X centre sur les coupoles
diaphramatiques .
- ASP de face couche : Maladie en decubitus dorsale
, foye du rayon X centre a l'ombilic .Le cliche expose de
coupole diaphragmatique a symphyse pubienne . Les chiffre d"expose ( Kv
, mAs ) sont en suffisance pour avait de reussite que on
peut
voyait le bord externe du psoas , les lignes graisseuse abdomen et
aspect net des clates digestives se voyait encore sur le
cliche ( KUB film)
- ASP en couche decubitus laterale gauche : Cliche
remplacant ASP debout s'il n'est pas realisable
| |
 |
 |
 |
|
| |
ASP de face debout |
ASP coupole de face |
ASP de face couche |
|
L'indication de radiographie de l'abdomen
ASP sont :
| |
- Analyse des gaz digestifs ou extradigestifs |
|
| |
- Recherche des calcifications |
|
| |
- Syndrome douloureux abdoninal aigue |
|
| |
- En premiere temps de examen radiologique de
contraste digestif ... |
|
La TOGD ( transit gastro-duodenale ) baryte ou
iode hydrosoluble :
Transit gastroduodenale
est exploration du
tube digestif haut ( oesophage , estomac, duodenoum et
intestin grele ) par un produit de contrast baryte absorbe
par voie orale . Les cliches seront exposes durant l'examen
.
- A oesophage , en courrament , s'il n'a pas des
lesion de retrecie , la produit de contrast baryte soit en
pâte et les cliches exposes avait prenes en face , en OAD ou
OPG . Le trajet de oesophage soit rectiligne et y avait
trois segment : cervicale , thoracique et abdominale . A la
portion thorachique elle comporte l'empreintes de crosse
aorte, de bronche souche gauche et enfin a inferieure de
oreillette gauche . La contraction de oesophage peut etudier
par analyse dynamique en scopie televisee .
- Exploration de contrast de estomac en pratique le
plus souvent est a jeune . Les cliches sont expose en OAD debout
et decubitus ventral OAD en serie . Comme de l'eosophage , la
progession de contraction de la grosse tuberosite vers
l'antre et de pylore , entraine l'evacuation progessive du
contenu vers duodenum et puis on peut voyait les differences
zones anatomie de estomac : une portion verticale puis
horizontale , et se terminant par le pylore . L 'epaisise
et la division des plies muqueuse gastrique sont en
difference selon de la portion de estomac : plus epaisse aux
niveaux de la gross tuberosite et plus fine a portion antral
...
| -Indication de TOGD : |
La disphagie ( gene au passage des aliments) |
| |
Douleurs gastro-duodenales |
| |
Recherche de hernie hiatale ou reflux
gastro oesophagien ou control d'anastomose |
| |
Complement d'une fibroscopie ou
fibroscopie impossible |
| |
Bilan pre ou post operatoire |
- Indication de TOGD a contrast hydrosoluble (
Gastrograffine *) s' installe en cas de risques de
diagnostic de perfore de l'estomac ou de l'intestin grele
( contexte urgence ) .A etat normal ce contrast elimination fecale , sans
absortion intestinale et en cas de fuite
extra peritoneale par perfore il absortion totalement et
elimine totalement par voie renale .
 |
 |
 |
|
| images TOGD de oesophage
normale |
image TOGD de oesophage (
angle de His ) et estomac normale |
Images normales de estomac , bulbe et
duodenum expose en serie |
|
. La TOGD en double de contrast ( baryt + air +
hypotonie medicamentuese ) peut evite la superposition du
duodenum et du grele sur estomac et ce qui augemente
detection detaillee de la muqueuse gastrique et les niches de face de
l'estoma . Cette methode essentiellement utilisee pour estoma et le
colon , et rarement sur l'intestin grele .
 |
|
 |
| TOGD de estomac normale en
double de contrast |
Ulcere de la petite courbure en double de
contrast |
Images en double de contrast
d'une ulcere du paroi posterieure de estomac . |
L'enteroclyse : Par une sonde duodenale
placee en among de angle de Treizt . le produit de contrast
se deverse dans intestin grele . En premier temps l'intestin
est opacifiee par baryum uniquement . Au deuxieme temps avec
un peut de air intille au de dans , un "effet de double de
contrast " est obtenue . Ce qui permet une analyse plus fine
de la portion de l'intestin observe . Cette technique est
plus presise pour l'etude a interieure de la portion
precedent de l'intestin grele .
-Indication de enteroclyse : Malabsortion ,
syndrome de adherentiel , diverticule de Meckel , tumeur du
grele , et ileites
| |
 |
 |
|
| |
L'enteroclyse de angle de Treizt ,
jejunum , et une parties superieure de l'ntestin
|
Images de
l'estomac et partie superieure de l'intestin en
double de contrast . |
|
Lavement baryte :
C'est examen radiologique du gros intestin
avec le produit de contrast introduit par voie rectale et
les cliche expose sont en prise durant de l'examen . De 1
litre - 1,5 litre de baryum est injecte par voie rectale au
colon descendent , colon trasverse , colon montant et une
parties de ileon .Tout cardre du colon soit opacifie . Et
apres evacuation du cardre colique le plus complete possible
, l,insufflation de air et une rotation complete du sujet
sur lui meme pour repartition complete de la supention
barytee sur la paroi colique . Image radiologique obtenir
soit en double de contrast .
| |
Indication de lavement
baryte soit : |
-Pathologies intrinseque du colon ,
compression extrinseque ( pancreatite , masse
tumorale , metastases ),recherche de fistule |
| |
|
-Des antecedents familiaux de cancer du
colon |
| |
|
-Problemes de saignement lors des selles |
| |
|
-Diarrhees
persistantes et douleur abdominales atypiques |
| |
Contre indication
de lavement soit : |
-Megacolon toxique, perforation
imminente,colite pseudomenbraneuse , biopsie
endoscopique recente , grossesse , mauvaise
preparation intestinale , transit baryte recent . |
| |
|
|
 |
 |
 |
| Images radiologique du colon (
lavement baryte mono contrast ) La sigmoide , colon
descendent , colon transverse sont en bien vue .
Angle du foie du colon et colon ascendent sont
superpose . Un parties de ileum se voyait bien sur
le cliche |
Image en double
de contrast . Colon ascendent , la parties sous
hepatique et colon transverse en ce cas sont bien
detecte |
Une parties de colon
transverse en douible de contrast . La surface
interieure du colon est en vue bien |
- Cholangiographie
transhepatique per cutanee : La cholagiographie
trans-hepatique est une radiographie des voies biliaires en
injectant directement dans le voie biliaire un produit de
contrast radio-opaque . Cela est possible nul que si elles
sont dilatees . La technique soit realise par une perfusion et
une injecte de calmant ,et anesthesie locale .Voie
d'abord est sur la ligne axilaire mediane ,au dessous de cul-de
sac pleural et dirige en direction vers le col de la 11e
cote . , on injecte le produit de contrast hydrosoluble et
prend les cliches imediatements . On peut utilisee le guide
de aiguille pour instalee une petite catheter pour drainage
la bile qui est en bloquee par un obstacle
. Technique se donne des images tres net des voies
biliaires intrahepatique i
| |
 |
|
 |
|
| |
Par une aiguille avec catheter place
a une des branche de voie biliaire le produit de
contrast a injecte suffisament pour opacifie
de tous le voie biliaire |
|
Voie d'abord est sur la ligne axilaire ,
au desous de cul de sac pleurale , dirrige vers le
col de la 11eme cote droit |
|
| |
 |
|
 |
|
| |
Image radiologique de voie
biliaire intrahepatique dilate . La vesicukle
biliaire , le canl cystique et canal choledoque sont
en vue nette . Cholagiographie per cutanee |
|
Images cholagiographies par
drain de Kehr . Les branches de voie biliaire sont
en vue |
|
| |
Les indications de
cholangiographie per cutanee : Tous les
causes de blocages de voie biliaire qui se donne la
retention biliaire |
|
- Cholangiographie
peroperatoire et cholangiographie par drain de Kehr :
Comme le technique radiologique de cholangiographie per
cutanee , le produit de contrast doit injecte en
direct au canal choledocque per-operatoire ou
post operatoire par drain Kehr permet d'opacifier les
voies biliaires extra et intrahepatique permet de verifie
l'integrite des voies biliaire et la reste des calculs
inconnue
| |
Cholangiographie par drain de Kehr |
|
|
|
La
cholangio-pancreatographie retrograde par voie endoscopique
(ERCP): Methode invasive pour explore et
traitement de quelquesERCP affections de voie biliaire
: L'endoscopie est en place dans le tube digestif duodenum
D2 par la bouche et insertion un catheter en Teflon
avec guide (0.035) dans ampoule de Vater et guidee a canal
choledoque . Par cette voie on peu opacifie des voies
biliaires par contrast iodique ou de dilatation une portion stenosant de
voie biliaire par le Stent . Technique doit etre
realise sous anesthesie generale . Complication de cette
technique est : Pancreatite( 5% ) , hemorragie , perforation
et pneumoperitoine ou pneumoretroperitoine , ou infection de
voie biliaire ( cholangitis ) . Contre indication de cette
technique sont : deformation anatomie post -chirugical
, anormalie de l' oesophage , , estoma et duodenum , maladie
de coagulation du sang et sur le maladie a etat
instable
| |
 |
|
 |
|
| |
Par voie endoscopie duodenal
on peu place une chatheter a guide a spinter Oddie
au canal cholodioque . Radioopaque iodique peu
injecte et control sous scopie ( amplificateur de
brillance ) . Cliche expose |
|
Image radiologique normale
une cholangio-pancreatico retrograde par voie
endoscopique ( ERCP ) . Voies biliaires principale
intra et extrahepatique et canal de Wirsung sont en
voyaient . |
|
Echographie
: Technique peu invasive et c'est
l'examen de la premiere intention de l'abdomen et des pathologies hepatobiliaire pour diagnostioque ou
orienter vers les explorations complemantaires . Cette methode est innocuite ,
n'a pas d' irradiation , simple et n'a pas
cher , il est tres interresant surtout chez les gens
maigres et images de receuillir est iso/hyper/hypo
et anechogene . Sur les exploration des voies
biliares , la technique doit realise a jeune , tete
du sonde est convexe de 2-5 Mhz , maladie en
decubitus dorsal et laterale . Les coupe
echographique soit realise en recurrentes sous
hypochondre droit ou en oblique .
Examen peut en association avec echographie en
Doppler ou echographie avec injection de contrast
pour differencie de voie biliaire canalaire et
artere hepatique ou de ses branches
L'indication de echographie de abdomen et du
tube digestif sont vaste :
| |
- GUS (*
general ultrasonography )c'est examen premiere
approche pour recherche les lesion des organes
pleins ( foie, vesicule biliaire , rate , pancreas ,
reins .) et des vaisseaux , espace retroperitoine ,
ascite .. . |
| |
- Echo
Doppler : hypertension portale , Budd-Chiari
syndrome , thrombose, anevrysme, stenoses
arterielles . |
| |
-
Elastographie : mesure de durete de
parenchyme hepatique ( fibrose , cirrhose ) ou la
durete
des tumeurs du foie . |
| |
- Echographie
du tissu mou de la paroi abdomen (
eventration, hernie ombilical , abces ) |
| |
- Echographie
du tube digestif peu recherche d'une
epaissisement de la paroie du tractus digestif , une
masse intraparietal , lesions inflamatoires (
appendicite ) |
| |
- Ponction drainage dirrige |
 |
 |
 |
| Images echographiques de
appendice inflame en coupe transverse ( signe Halo)
et coupe longitudinal incline .** |
Appendicite aigue
en coupe tranverse et longitudinal . Echographies
|
Image echographique de
iinvagination ileo-coecal . Image en cocarde |
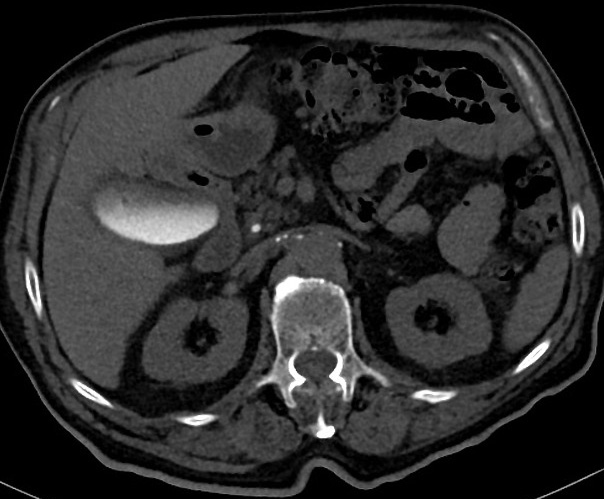
La CT scanner de l'abdomen du
tube digestif et des voies biliaire :
La Tomodensitometrie computerisation
( CT scanner ) simple se base sur la
balayage d'une faisceau de rayon x sur le patient en plusieures de angles inclinees sur une
meme plan de coupe . Les signales a receuillir par detecteur de rayon
X a
cote opposee du faisceau , seraient traites en informatique
numerique a aide d'outils mathematiques ( algorithmes) ce
qui permettre de recontruire en image un coupe anatomique .
Cette methode est plus couteuse que echographie mais est
l'examen de deuxieme intention pour exploration de la
pathologie du foie , des voies biliaires et de pancreas
. Sa resolution et image de receuillir etre bien et sa champ
de visuelle est plus large que echographie .Ce qui ainsi
peut utilise de recherche de adenopathie et de extention
locale ou metastasique de cancer de voie biliaire .
...Recontruction multiplanaire
et resolution spaciale en trois plans pour explorer et les
coupes doient fine de moins 3mm a low dose . L'etude du grele par CT scanner necessite un opacification
des anses intestinales par produit de contrast a ingestion
simple par la bouche : enterographie avec tomodensitometrie
ou intillation par sondage : enteroclyse avec scanner .
Diagnostic des pathologies du grele se met sur etude de
epaisseur de la paroi du grele ou de defaut de remplissage de
la lumiere intestinale .
| |
|
 |
 |
| |
Coupe axiale de estoma (
normale ) |
Coupe axiale de estoma ( ulcere ) |
images enteroclyse +scanner |
L'indication de CT scanner digestive
sont vastes : ils sont necessaire pour un grand nombre de
pathologies digestive , les lesions inflamatoires , tumorales ,
traumatiques , vasculaires ou mecaniques. Et encore a aide du CT
scanner tous les organes pleines abdominaux , les vaisseaux
, les aires ganglionaires et la graisse intra abdominale
sont en meme de explore . La tomodensitometrie helicoidale : combinant
la rotation continue des detecteurs du tube de rayon X avec
un deplacement longitudinal du patient , ce qui permet
acquisition en quelques seconds d'un volume de lesion .
L'Indication de TDM de voie biliaire permet
en resume : L'ocalise l'obstacle et oriente
l'etiologie , recherche et caracteriser les lesions
tumorales volumeuse , qu'il soient benins ou maligns
ou des calcul hyperdense , Optimiser la technique pour detecte des
petite tumeurs ou des calculs isodenses
Contre indication de TDM : Allergie
au produit de contrast iode et insuffisance renale danms cas
TDM plus cointrast intraveineuse , la grossesse ( N'est pas absolue dans
la situation d'ủgence , contre indication relative
forte ) et cout est moyen
| |
 |
|
 |
|
| |
Image TDM du foie et de la
vesicule biliaire en coupe
axiale ( avec contrast iode intra veineuse ) . |
|
Image TDM en coupe
axiale a travers la vesicule biliaire ( avec
contrast ) . Vesicule biliaire sont en
voyait |
|
| |
 |
|
 |
|
| |
Image TDM de l'abdomen en
coupe coronale ( frontale)apres recontruction
saciale avec contrast iode . La vesicule biliaire
est en vue |
|
Aspect normale de la
vesicule biliaire et de la veine
porte commun en coupe TDM coronale . |
|
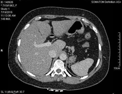
CT- cholangiographie
: C'est la CT scanner en association de contrast
cholangiographique orale ou intra vieneuse . La contrast
utilise dans cette technique est Meglumine iotroxate (
Bilicopine TM ) . Les coupes se realise au region
hepato-biliaire et en recontruction spaciale en 3D .
Indication de cette methode sont : Douleur de la region
hypochondre droit ou avait des signes de obtruction des
voies biliaires ...Technique peut etre realise selon
peroperatiore ou postoperatoire pour evalue etat
affection de voie biliaire ../.
| |
 |
|
 |
| |
Image CT
cholangiograpie des voies biliaires
en coupe axiale : Images de la vesicule biliare et
du canal cholodoque est en vue nette . |
|
Meme cas avec contrast
cholangiographie
intraveineuse . Image tres nette de la viesicule
biliaire , canal cystiquet et la portion inferieure
du canal choledoque . CT cholangiographie en coupe
coronal . |
La CT scanner et
résolution spaciale : On peut faire de recontruction
sur les coupe multiplanaire axiale de image en 3D , coupe
axiale , coupe frontale et coupe sagitale . Ce
qui permet de receuillir une image spaciale des voies
biliaires
en 2D et 3D
L'IRM
( imagerie par resonace magnetique ) et les autres methodes :
Est une technique ce qui donne de resultat
de bon des images en plan axiale , sagital et coronal de
l'abdomen , du foie des voies biliaire et pancreas .... L"IRM permet de distinction de difference type de
tissus mous et augemente a plusieur foie de la resolution
de contrast du tissu observe cela signiefie :
- Augementation de detail dans
anatomie de la region examinee .
- Sensibilite de la detection des
tissus pathologiques .
Par le changement le temps de repetition ( TR )
intervalle du temps entre deux exitations on peut change et
ajustement de contrast donnee ( T1 et T2 ) . Par
exemple : dans une image ponderee en T1 , la graisse
apparait hyperintense ( image claire ) et l'eau hypointense
. Dans une image ponderee en T2 l'eau apparaitre
hyperintense ( couleur claire ) et la graisse un peu plus
sombre que l'eau .Ce qui permet d'elimination de
detail antomique et topographique des lesions .
L'indication de IRM abdominale , du foie , du pancreas et
des voies permet en prescrite pour : explorer et dignostic
des cancers des organes de l'abdomen et en particulier des
cancers digestifs , des maladies du foie (cirrhoses,
hémochromatose, cancer du foie), des malformations
vasculaires (anévrisme de l’aorte), des maladies
inflammatoires des intestins (maladie de Crohn, rectocolite
ulcéro-hémorragique ... ), des affection des voies biliaires
et de certaines affections du pancréas ...Et
les images obtenues par IRM sont plus précises et obtenues
sans irradiation
L'IRM et
cholangio-IRM ( MRCP ) :
Dans
le plan de caracterisation d'exploration pathologique
du foie et des voies biliaires on peut en association angio-ỈRM ( arteriographie -
IRM ) ou cholangio-IRM ( cholangiographie et IRM ) .
Cholagio-IRM ( MRCP ) est une technique non invasive ce qui donne de resultat
de bon des images des voies biliaire intra et extrahepatique
et de la pancreas , ce qu.il peut remplace la ERCP dans les
cas a etat agrave du maladie ou a des enfants. L,effet " cholangiographique
" resute de l'utilisation d'une sequence IRM ponderee en T2
, ce qui renforce hyperintense les liquide intra des voies
biliairs et assombrit ( rend hypotense ) les tissus
voisinages . A etat de jeune en quatre heure en avant
pour diminution de secretion gastroduodenal . Diminue
de mobilite pour diminue de artifact et diminue de la
distention du vessi . Technique doit
realise sur le systeme IRM 1,5 tesla ou a superieure
| |
Indication de cholangio -IRM : |
|
| |
- Identite des malformations congenitales
des voies biliaires |
|
| |
- Complication post surgicale des voies
biliaires |
|
| |
- Stricture des voies biliaires |
|
| |
- Choledocholithiasis |
|
| |
- Pancreatite chronique et cyst
pancreatique |
|
| |
- Fistule pancreatico-biliaire |
|
| |
- Trauma de voie biliaire . |
|
| |
|
|
| |
 |
|
 |
|
| |
Image de voie
biliaire intrahepatique normale . IRM en T2 ,
coupe axiale . |
|
Aspect dilate des voies
biliaires intrahepatique avec calcul choledocienne :
ImIRM ponderee sur T2 , coupe axiale |
|
| |
 |
|
 |
|
| |
Meme cas en coupe
IRM coronal ponderee sur T2
. Images du calcul ( hyposignal ) est en vue tres
net a la portion inferieure du canal
choledoque |
|
Images de
recontructional en 2D de voie biliaire intrahepatique et
extrahepatique normale . La vesicule biliaire est en
vue tres net . Duodenum D2 et D3 etre en vue .
Cholagio-IRM sequence ponderee en T2 ( Thick Slab ) |
|
| |
|
|
|
|
Contre
indication de IRM sont : Insuffisance renale severe (clairance
inferieure à 30 ml/min) , pile cardiaque (pacemaker) ,
pompe a insuline, prothese metallique, corps etranger
metallique pres de l'œil ou dans la tete , allergie avec des
contrasts intra veineuses Gadolines ( Gadolinium .. ) ou
claustrophobie grave ...
FIN
Gs Bui Binh Tho
|
|