|
Gs Bui Binh Tho
Pathologie radiologique du pancreas :
Malformations congenitales du pancreas
:
Il y avait quatre type de malformation
congenitale du pancreas :
-
Anormalie de la
jonction bilio-pancreatique : Normalement la
voie biliaire principale et le canal de Wirsung se
fusion dans une canal commun bilio-pancreatique , puis
abouche dans la deuxieme duodenum D2 . Le canal commun
est entoure par un manchon musculeuse , le spinter Oddi
. Cette junction se presente dans 85% de la
population generale . Les restes 15% des cas sont n'a
pas de canal commun , ils abouchent separement dans le
duodenum . . Et 1,5% -3% du rest de population avait une
canal commun tres long dans le pancreas , sa longeur
peut attenir 15cm de longeur .. Le canal commun peut se
abouche dans une diverticule de duodenum ou il peut etre
s'abouche dans la troisieme duodenum D3
| |
 |
|
 |
|
| |
Normalement le
canal choledoque et canal de Wirsung se fusion dans
une canal bilio-pancreatique pui s'abouche dans la
papille majeur duodenale . Le canal Santorini
s'abouche dans la papille mineur du duodenum .
Cette jonction se presente dans 85% de la population
generale . |
|
Les reste
15% des cas s'abouche separe dans duodenum . Voie
biliaire principale s'abouche dans la papille majeur
et le canal de Wirsung s'abouvche dans l'orifice
mineur duodenale |
|
| |
 |
|
 |
|
| |
Les 1,5 -3% des cas sont en
joction dans un canal commun tres long > 15mm puis
s'abouche dans le duodenale . |
|
Les plus rare sont : le canal commun
s'abouche dans une diverticule de bord interne de
duodenum D2 .. Ou il s'aboucher au bord interne
superieure du duodenum D3 |
|
-
Pancreas
divisum : Le pancreas divisium
est une anormalie congenitale du pancreas avec signe
clinique est douleur de l'abdomen et syndrome
pancreatites idiopatique ,Sa injcidence est entre
de 4 a 14% cherz les sujets . Elle est secondaire par
une anormalie de fusion des canaux pancreatiques et
canal de voie biliaire . La technique CPRE (
cholangio-pancreatico retrograde endoscopique ) et
technique CPRM ( cholangio-Wirsungo-IRM ) sont les
techniques de choix pour explore et diagnostic de cette
anormalie .Il y avait trois type de pancreas divisum :
Type I pancreas divisium complete(71% )Absence
complete de fusion des caneaux dorsal et ventrale . Le
canal dorsale s'abouche au papille mineur . Le canal
ventral fusion avec canal choledoque s'abouche dans la
orifice majeur . Type II Le canal dorsal est
isole ( 23% ) Le canal dorsal s'abouche au papille
mineur et camnal choledoque s'abouche a papile
principale majeur .. Le canal ventral est totalement
absent . Type III pancreas divisium incomplete (
6%) ou canal Santorini predominant . C'est la fusion
incomplete des deux canaux pancreatiques et canal dorsal
s'abouche a papille principale , canal ventral en fusion
avec canal choledoque et s'abouche a papille mineur .
| |
 |
|
| |
Schema au dessus est en resume troi type
de pancreas divisum . Normalement le canal
principale est fusion avec canal choledoque et
s'abouche a la papille principale et canal Santorini
s'abouche au papille accessoire superieure .. Il y
avait une quatrieme forme de divise c'est le
pancreas divisum "inverse" le canal pancreatique
accessoire ne se connect pas avec le genou du canal
pancreatique principal |
|
| |
|
|
|
|
| |
 |
|
 |
|
| |
Sur les coupe TDM axilae a travers le
pancreas . Aspect de evoquer le diagnostic pancreas
divisum est le canal pancreatique dorsal croisant
par devant la voie biliaire . Les techniques CPRM et
CPRE sont des technique principale d'utilise de
choix pour diagnostic les anormalie du pancreas |
|
Image radiologique cholangio-wirsungo-IRM normal des
canaux pancreatiques ,de la vesicule biliaire et des
voies biliaires principale |
|
| |
 |
|
 |
|
| |
Image radiologique CPRM d'une pancreas
divisum de type I . Le canal pancreatique principale
est s'aboucher pans la papille mineur duodenum , le
canal ventral etre en jonction avec voie
biliaire principale et s'abouche au papille
majeur |
|
Image
radiologique CPRM d'une pancreas divisum de type II
. Le canal pancreatique principale est s'aboucher
pans la papille mineur duodenum . La voie biliaire
principale est s'aboucher au papille majeur duodenum
et le canal pancreatique ventral est totalement
absent |
|
| |
 |
|
Image radiologique CPRM d'une pancreas divisum
de type III. Le canal pancreatique principale est
s'aboucher pans la papille mineur duodenum . La voie
biliaire principale est s'aboucher au papille majeur
duodenum et.le canal pancreatique ventral est en
joindre avec une brache du canal dorsal . |
|
-
Pancreas annulaire :
Cest une malformation congenitale du pancreas lie de la
rotation du bourgeon pancreatique , ce qui entraine une
formation en anneau du parenchyme pancreatique autour de
duodenum D2 et souvent il est en association avec une
pancreas divisum . Cliniquement le pancreas annulaire
peu etre se donne des syndromes de occlusion stenosant
duodenale neonatale ou de l'aldulte cinquantaine . Les
techniques radiologique d’utilise pour explorer le
pancreas annulaire sont :les clichés de face ASP , la
TDM et l’IRM …
Signe
radiologique sur cliché de ASP est les signes de
occlusion de la portion superieure de l’intestin grele .
Sur les sequences de TDM et IRM on peut en visible de
image de stenose duodenum D2 entouree par le parenchyme
isodense de la tete du pancreas et un ilot de parenchyme
pancreatique normale a droite du duodenum . La CPRM et
la CPRE donne de image de canal pancreatique ventrale
encerclant le duodenum comme un anneau
| |
 |
|
 |
|
| |
Pancreas annulaire est la
anormalie congenitale lie a la rotation de la
bourgeon , le pancreas ventral forme un anneau autour
le duodenum D2 .
Le duodenum dans anneau est un peu stenosant . Ce
qui peut entraine de complication de occlusion duodenal |
|
Image radiologique ASP de face d'une
occlusion duodenal neonatale , complication de
pancreas annulaire . Il y avait deux image hydro
aerique , un grande est image hydroaerique de
l'estoma et autre un peu de moindre c'est duodenum |
|
| |
 |
|
 |
|
| |
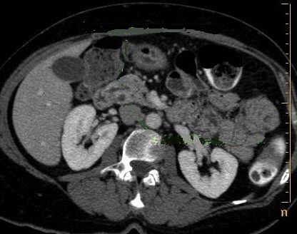
Aspect radiologique d'un
pancreas annulaire incomplete . La la tete
hyperdense , portion vevtral du pacreas se
forme un anneau in complete un tier autour le
duodenum . Le duodenum est en visible a
hypodense pres le pancreas ( fleche jaune ) . Image
radiologique TDM plus C+ ,coupe axiale , temps
arteriel |
|
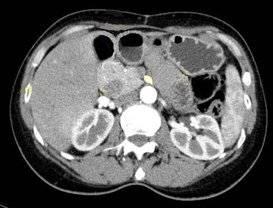
Image radiologique TDM en
coupe axiale plus C+ d'un pancreas annulaire in
complete . La tete du pancreas est en forme une
rotation incomplete 1/3 autour le duodenum D2 (
fleche rouge ) |
|
| |
 |
|
 |
|
| |
Aspect radiologique d'un
pancreas annulaire totale : Le pancreas est
hyperintense , sa tete , portion ventral du pancreas
se forme un anneau autour le duodenum
hypointense ( fleche rouge ) . Image radiologique
IRM pondere sur T1 C+ saturation graisseuse |
|
Aspect radiologique CPRM des
voie biliaire et des caneaux pancreatiques d'un
pancreas annulaire . Le canal ventral du pancreas en
forme un anneau autour le duodenum un peut stenose
serre . |
|
| |
|
|
|
|
-
Pancreas ectopique :
Le pancreas ectopique se
defini par la presence du tissu pancreatique situe anormale
sans rapport anatomique avec glande principale .
Localisation habituelle est duodenum ( 30-35% ) l'estomac (
30% ) , jejunum (15% ) . Les autres sites sont vesicule
biliaire , voies biliaire principale , oesophage , la rate ,
le mesentere, l'epiploon et diverticule de Meckel ..
Les pancreas ecxtopique le plus souvent asymtomatique ,
develope par autopsie ou responsable une douleur
-pseudo-ulcereuse .
Gs Bui Binh Tho
Page :
1
/
2
/
3
/
4
/
5
/
6
/7/
8/
9
/
10
/11/
12 /
13 /
<<
PREVIOUS
<<
>> NEXT >>
,
|
ue |