|
Dr Bui Binh Tho
Pathologies radiologique de oesophage ( A suivre )
- Tumeurs malignes :
. Diagnotic de cancer de oesophage se base sur la radiologie
thoracique ( de face et de profile ) , la TOGD en mono
contrast et en double de contrast , endoscopie et echo-endoscopique
, la CT scanner pour diagnostic ++ pathologie tumorale
, le IRM et la PET scan pour verifie le bilan d'extention ganglionaires
metastatiques des cancer .
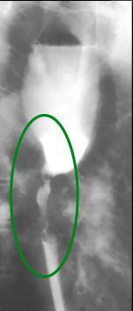
| - Image radiologique TOGD du cancer
de ooesophage est image stenosant excentrice, bord
irreguliere ou image lacune a bord irreguliere
ou bien image de empreine extrinseque a bord dur ,
fixe et irregulierement . |
| - La Ct scanner est examen de cle
pour diagnostic locoregionale et metastatique de
tumeur .Soit elle verifie la taille , epaissicement
de parietale de circonference du tumeur ,sa bord et
l'extention du tumeur au structure de voisinage
: Axe tracheobronchique , aorte , pericarde ,le
coeur ,le diaphragme , la veine azygos ,
ganglionaire mediastinale et lesions metastatiques
au autres organes . |
| - La IRM avec signal pondere
sur T2 pour elimine les structutre liquidiennes, les
composants cellulaires ( stromales) et les lesions
composantes graisseuses |
| - La medecine nucleaire PET scan en
association CT scanner ( PET/CT ) pour etude scintigraphique de la
clairence de oesophage , du RGO avec les subtance
radioactif de marque 99mTc et etude le bilan
d'extention gang;lionaire et metastatique des
neoformations . |
Generalement il y avait deux types de
cancer de oesophage : Carcinome epidermoide et adeno
carcinoma
- Carcinome
epidermoide est le plus frequemment incidence 80%- 90% cancer de
oesophage . Au debut ce sont des lesions superficielles
, limitee a muquese et sous muqueuse ,. Diagnostic par
endoscopie + biopsie et TOGD de oesophage . Image radiologique TODG mono contrast
ou double de contrast est image rigidite parietale localisee
, parfois image des nodule muqueuse polypoide ou image ulceration
superficielle . TDM dans ce stade est faible . Au stade avance image TOGD de carcinome
epidermoide se base sur 4 forme :
| - Forme infiltrante : lesion expantion
mauee segmentaire de la lumiere |
| - Forme stenosant circonferentielle :
|
| - For ulcero bourgeonneante |
| - Forme polypoide : lesion surelevation
nodulaire endoluminale et sans infiltration
parietale |
| |
| |
 |
|
 |
|
 |
|
| |
Lesion debutant une cancer de oesophage . |
|
Aspect TOGD en double
de contrast de carcinome epidermoide : Forme
polypoide : lesion en surrelevee nodulaire
endoluminle sans infiltration prietale |
|
Forme ulceree :
Faible de rigidite parietale et expantion reguliere
locale de la lumiere |
|
| |
 |
|
 |
|
 |
|
| |
Forme
infiltrant avec expension segmentaire de la lumiere
. Aspect microspicule de la muueux |
|
Carcinome
epidermoide : forme stenosant circoferentielle .
Image TOGD mono de contrast |
|
Image fibroscopie de oesophage :
Lesion en bourgeon de carcinome epidermoide .
Diagnostic ( + ) envue sur anapath |
|
| |
|
|
|
|
|
|
Au stade
extention locale , la TOGD , la CT scanner sont les
techniques le plus souvent utilise pour evaluer la
progression du tumeur : extention locale oesophagien ,
extention graisseuse peri-oesophagien (TOGD ), extention a
aort extention tracheo brobchique et extention au coeur et
pericarde ( CT scanner ) .
| |
 |
|
 |
|
 |
|
| |
Stade avance un
cancer de oesophage de forme infiltrant . La longeur
de la tumeur depasse 5mm |
|
Carcinome epidermoide : stade
avance , extention locale avec deformation maruee le
trajet de oesophage |
|
Carcinome epidermoide
:Forme ulcero bourgeonnante etendue . La lesion
depasse 5cm |
|
| |
|
|
|
|
| |
 |
|
 |
|
| |
Tumeur epidermoide avance
endoluminale .La lumiere de oesophage est tres serre
|
|
Carcinome epidermoide de oesophage au
stade avance , extention locaux aortiue |
|
| |
|
|
|
|
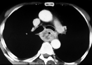
Au stade
d'extention ganglionaire ,le role du CT scanner et
echo cervicale est important pour evalue et verifie la
prognostic N0 : pas de adenopathie et N1 : adenopathie
regionale
| |
 |
|
 |
|
| |
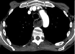
Carcinome epidermoide de oesophage avec extention
ganglionaire N0 pas de ADP . Image TDM coupe axiale |
|
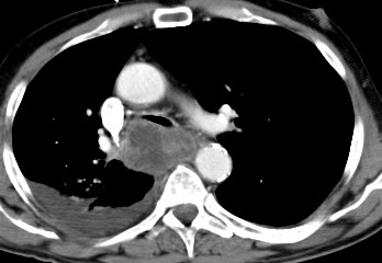
Tumeur de oesophage avec extention
a distance N1 au region coeliaque ( ADP coeliaque )
. Image radiologique TDM en coupe axiale |
|
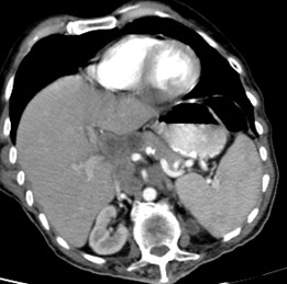
Au stade d'extention
metastatique du foie , poumon , plevre , surrenale ,
reins ,la CT scanner , echographie et medecine nucleaire PET
/CT sont en bien donner de resulta
| |
 |
|
 |
|
| |
Carcinome epidermoide 1/3 moyen de
oesophage . Image radiologique en TDM coupe
axiale et sagitale . |
|
Meme cas : image PET/CT
en coupe axiale a travers tumeur . Tumeur en situ et
extention ganglion hilaire |
|
| |
|
|
|
|
| |
 |
|
Image PET /CT en coupe
coronal ( frontale ): . Tumeur epidermoide 1/3 moyen
de oesophage avec metastase du foie , reins ,
ganglion pelvienne . et des os ... ( bilan
d'extention metastasique ) |
|
| |
|
|
|
|
Un autre cas de cancer epidermoide du
1/3 moyen de oesophage avec metastase ganglionaire
pulmonaire . Bilan pre-therapeutique .
| |
 |
|

- Image TDM fenetre mediastinal en coupe
coronal ( frontale) et en coupe axiale a
traverse la tumeur . Image du tumeur de
oesophage avec extention locaux aortique et au
ganglions pulmonaires
|
|
| |
|
|
|
|
| |

- Bilan d'extention du meme cas en Pet
/CT : Image tres net du tumeure de oesophage 1/3
moyen avec metastase ganglionaire, du foie ,
reins , ganglion pelviene et des os
|
|
 |
|
Adeno-carcinoma
de oesophage : C'est metaplasie gastrique de la muqueuse du
bas de oesophage secondaire a un reflux gastro-oesophagien.,
ce qui avait liee avec endobrachyoesophage de Barrett . Sa
incidence represente de 5% a 10% de cancer de oesophage et
en debut a 1/3 inferieure de oesophage au milieur de la
jonction de muqueuse gastrique et de oesophage . Lesion peut se presente sous forme en bourgeon , ulceration ou infiltration .
| |
 |
|
 |
|
 |
|
| |
Images fibroscopie normale a la jonction de la muuese
gastriue et muueuse oesophagien |
|
Image
precancereuse a la jonction muqueuse . A inferieure
bourgeon pre-cancereuse |
|
Endobrachyoesophagede Barrett. Stenose
legere a la jonction de muqueuse gastrique et
muqueuse oesophagien |
|
| |
|
|
|
|
|
|
| |
 |
|
 |
|
| |
Adeno carcinoma de oesophage
1/3 a inferieure de oesophage .Image en coupe
coronale ( frontale ) |
|
Image TDM
encoupe axiale : Cancer de oesophage |
|
| |
|
|
|
|
| |
 |
|
 |
|
| |
PET /scan en
coupe axilaire |
|
PET/CT scan : Adeno carcinome
de oesophage . Extention ganglionaire et extention
metastasique . |
|
| |
|
|
|
|
Page :
1
/
2
/
3
/
4
/
5
/
6
/
7/
8/
9
/
Dr Bui Binh Tho
<<
BACK
<<
>>
NEXT >>
|
|