|
Dr Bui Binh Tho
Pathologies radiologique de l'estomac ( A suivre )
-
Tumeur de l'estomac :Diagnostic de pathologie radiologique
tumeur
de l'estomac base sur la TOGD mono contrast
baryte ou double de contrast , l'echographie transcutanee , , la TDM avec eau ou produit de contrast iode , Echo endoscopie
,et la PET/CT
-
Adenacarcinoma : Tumeur epithelials maligne
de estomac , sa frequence est 95% a observe de 50-70 ans .
Facteur de favorisante est l'infection H . Pylori gastrique
. Les cinq lesions pre-cancereuses : L'ulcere gastrique
chronique , maladie de Biermer , maladie de Menetrier , les
polyps adenomateux .
Aspects morphologique des adenocarcinoma de
l'estonac sont : polypoide , ulcere et infiltrant et par
cela on peut avait quatre aspect morphologique radiologie
TOGD du cancer de estomac , classification de Bormann
:
| Type 1 : lesion nodulaire
polypoide diametre superieure a 3cm
lobule intraluminale
|
| Type 2 : Ulceration maligne
,lesion en bourgon ulceree , a bord
irregulier et nettement surelevee . Diametre
superieure a 3cm
|
| Type 3 : Lesion
ulceriforme a dimention plus important (
infiltrant avec ulcere central ) avec bord
moins releve et sa limide est moins nette
que de type 2 |
| Type 4 : Lesion
infiltrante diffuse: epaissisement de la
paroi gastrique par infiltration tumorale |
|
 |
Aspect TOGD monocontrast baryte et en double
de contrast sont des images en petit polypoide au stade
precancereuse et en bourgeon au stade avance , ou bien en
image de ulcere de angle de petie courbure ou lesion
ulceriforme avec rigidite de la paroi de l'estomac . Aspect
linite plastica dune partie de l'estoma ou image rigidite
stenosant de la portion vertiace de estoma .
Localisation des lesion le plus souvent au region
antro-pylorique .
| |
 |
|
 |
|
 |
|
| |
Forme de polyp
du portion verticale de la petit courbure Aspect
de type 1 |
|
Radiologie de cancer de
estomac . Image en bourgeon . Aspect de type 2 |
|
Ulceration maligne avec
bourrelet sur eleve |
|
| |
 |
|
 |
|
 |
|
| |
Petit ulcere a petit
courbure infiltration cancereuse a grande courbure . |
|
Grande ulcere antral et
bourerelet oedemateux . Lesion ulceriforme de type 3
|
|
Image ridigite de la grand coubure
et aspect bourgeonnante a l'interieure de estoma
|
|
| |
|
|
|
|
|
|
| |
 |
|
 |
|
| |
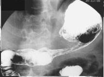
Volumeux
tumeur de la grosse tuberosite -cardia |
|
Adenocarcinoma de antre . Image en TOGD
de estomac .Le bord du tumeur est irregulie ,
rigidite et invasive |
|
| |
 |
|
 |
|
| |
Linite plastica . Rigidite,
aperistaltisme et stenosant de la portion
verticale de estoma .Type 4 |
|
Aspect des cancers de l'estomac peut se voyait
sur tech TOGD baryte .Le plus souvent situe a
petit courbure |
|
| |
|
|
|
|
| |
|
|
|
|
-
La Ct scanner est examen de cle
pour diagnostic locoregionale et metastatique de
tumeur de l'estomac .Soit elle verifie la taille ,
l'epaissisement
de la parietale , la circonference du tumeur ,sa bord et
l'extention du tumeur au structure voisinage
, ganglionaire et lesions metastatiques au autres organes :
peritoine , hepatique ou pulmonaire . La technique realise en pratiquee apres remplisage de
l'estomac avec eau ou produit de contrast iode diluee (
700ml , 15 minute avant et 250ml au temp de realise
- La IRM avec signal pondere
sur T2 pour rehaussement les structutres liquidiennes, les
composants cellulaires ( stromales) et les lesions
composantes graisseuses
| |
 |
|
 |
|
| |
Adenocarcinoma debutant
. Lesion polypoide de la grand courbure .
Image TDM en coupe coronale ( frontale ) |
|
Adeno carcinoma debutant.
Lesion infiltrative , |
|
| |
 |
|
 |
|
| |
Cancer de l'estoma type
2 bourgeon ulceree a region antrale extention
locale et ganglionaire |
|
Adeno carcinoma de l'estoma de la
petit coubure , extention locale et ganglionaire
|
|
| |
 |
|
 |
|
| |
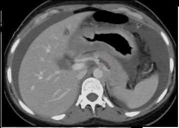
Adeno carcinoma
de l'estoma , forme linite plastica avec
epaississement maruee de la paroi gastriue ( image
TDM en coupe axiale |
|
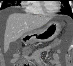
Meme cas en coupe coronale (frontale
) |
|
| |
|
|
|
|
- La medecine nucleaire PET scan en
association CT scanner ( PET/CT ) pour etude scintigraphique de la
clairence de oesophage , du RGO avec les subtance
radioactif de marque 99mTc et etude le bilan
d'extention gang;lionaire et metastatique des
neoformations
| |
 |
|
 |
|
| |
PET/CT :
Cancer de estomac ( gastric melanoma ) . na pas
d'extention regional et metastasique |
|
Cancer de l'estoma avec extention
regionaire et metastasique du foie . Image PET scan |
|
| |
|
|
|
|
Page :
1
/
2
/
3
/
4
/
5
/
6
/
7/
8/
9
/
Dr Bui Binh Tho
<<
BACK
<<
>>
NEXT >>
|
|