|
Pathologies radiologique de oesophage ( A suivre )
Tumeur
de oesophage : Imagerie de l'oesophage se base
sur la TOGD baryte ou TOGD ++ double de contrast
baryte , la fibroscopie , CT scanner , la IRM en T2
,la PET et echographie endoluminale de oesophage .
Generalement peu situe tumeure de oesophage en deux sorte .
Tumeurs begnins de oesophage et tumeurs malignes :
- Tumeurs benignes :
Sont rare , represent 20% tumeur de oesophage ,
asyntommatique et decouverte aucours d'une examen
radiologique ou endoscopique et ils y avaient deux
sorte : tumeur benigne : Tumeur benigme d'origine
muqueuse et tumeurs benigne d'orgine conjontive :
1 Papillomes :
D'origine muquese , a petites tailles de 0,5 a 1,5cm representent moins de 5% des
tumeurs benignes .Elle present dans 50% des cas de HPV .
Forme multiple constitue une papillomatose oesophagien
. Decouverte le plus souvent par la fibroscopie . Les
adenomes sont plus rare
| |
 |
|
 |
|
 |
|
| |
Image papilome oesophagien ( en
fleche ) . TOGD ++ double de contrast bryte |
|
Une autre cas de
papilome oesophagien . Inmage en lacune a bord droit
de oesophage . |
|
Image endoscopie intra oesophagien
mulptiple de papilomes de l'oesophage . Reaction
inflamatoire legere |
|
| |
|
|
|
|
|
|
2 Adenomes
: D'origine muqueuse et sont tres rare .
3 Acanthosis
glycogeniquant : Evolution senile de la muqueuse oesophagien .
Develope a partir de 50 ans , n'a pas de risque de
degenerescence cancereuse . Nodule muqueuse arrondies de 1mm
a 10mm et plus diffuse
| |
 |
|
|
|
 |
|
| |
TOGD en double de
contrast |
|
Images claires
arrondies diffuse le long de oesophage . Mouvement
de contraction oesophagien normale . |
|
Image endoscopique
d'acanthose glycogenique . Diagnostic differentiel
avec oesophagite candidose |
|
| |
|
|
|
|
|
|
4 Polyp fibrovasculaire
: Tumeurs conjontives de oesophage . Lesion fibreuse
et de graisse sous muqueuse au
ni veau de oesophage peut pedicule dans lumiere oesophagien
. Devenir volumineux et differentiel avec carcinome a
cellule fusiformes . Diagnoctic par TOGD , IRM T2 et CT
scanner pour recherche la presence de graisse du tumeur .
Diagnostic ( + ) par anapath .
5 Leiomyome
: Le plus frequence des tumeurs begnines et le plus
souvent 2/3 inferieure de oesophage . Image TOGD baryte
et TDM est une masse unique , homogene polylobee et
pseudocapsule avec contour bien limite . Signe clinique
est : douleur thoracique , et dysphagie
| |
 |
|
 |
|
| |
Image TOGD de leiomyoma du
portion inferieure de oesophage . Image laculaire
intramurale: bord net , lisse a inferieure de
oesophge |
|
Image TOGD en double de contrast : Tumeur
intramurale bord lisse reduisent l /2 lumiere
de oesophage |
|
| |
 |
|
 |
|
| |
Leiomyome 1/3 inferieure de oesophge
: L lumiere de oesophge est redusent par une
refoulement reguliere de l muqueuse |
|
Image TDM : Masse homogene de
densite tissulire , non calcifie , hypervasculaire
et hyper T2 heterogene |
|
| |
|
|
|
|
6 Tumeur
granuleuse : Le myoblastome ,tumeur de type sous
muqueuse , rare avec taille 0,5 cm -2cm ressemble a
leiomyome et parfoie en pedicule .
7 Lipomes
: Tumeur de type sous muqueses
,siegent le plus souvent sur oesophage cervicale et
avai aspect de polyp endoluminale . La TOGD se donne image
lacune intra oesophagien , Le CT scanner donne de image de
densite negatif . En IRM le signal est egalement
specifique de graisse .
| |
 |
|
|
|
| |
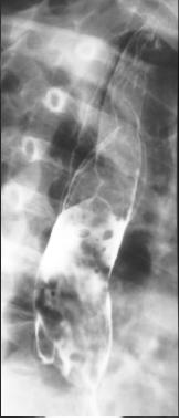
Image en lacule intra
oesophagien : TOGD de oesophage |
|
Lipome oesophagien : IRM en coupe
axiale |
|
| |
|
|
|
|
| |
|
|
|
|
8 Duplication
de oesophage . : De type kystique ( voie duplication
de oesophage )
Page :
1
/
2
/
3
/
4
/
5
/
6
/
7
/ 8/
9
/
<<
BACK
<<
>>
NEXT >>
Dr Bui Binh Tho
|