|
Pathologie
radiologique de oesophage ( a suivre )
Achalasia : Maladie de absence de peristaltisme
dans oesophage et absence de ouverture du spinter
inferieure de l'oesophage apres de deglutition .C'est
aperistaltisme du corp oesophagienne . Disphagie
intermittant , douleur retrosternale non lie a effort ,
amaigrissement , toux nocturne sont des signes cliniques
se presentent frequemment . Diagnostic sur la TOGD ,
manometrie oesophagienne et fibroscopie . Image radiologique
TOGD est une oesophage agrandir aperistaltisme , a
retrecisssement a inferieure en queue de radis . A etat
tardive oesophage avaint une dilatation majeure avec le
coude sus le diapragme ,; ce qui etre en forme de petit
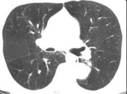
chaussette . Image TDM en fenetre parenchymateuse pulmonaire
,se donne des images si net de oesophage en coupe axiale ,
sagitale et de frontale ( voie image )
-Manometrie oesophagienne : Amplitude des
ondes distales sont bas oubien normale
| - Complications de megaoesophage le
plus souvent sont : |
|
Oesophagite |
|
Candidose |
|
Pneumopathie de deglutition |
|
Cancer epidermoide ++++ |
| |
 |
|
 |
|
| |
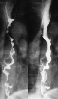
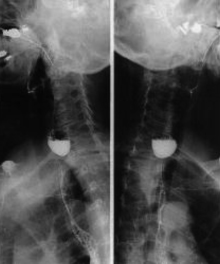
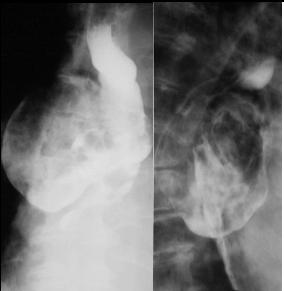
Image TOGD d'une megaoesophage sur
le cliche de face et OAD . Bord lisse et
aperistaltisme ., la retressisement a inferieure est
image en queue de radis |
|
Megaoesophage en face
et en profile OAD |
|
| |
|
|
. |
|
| |
A etat tardive oesophage dilate et
alonge en forme de petit chaussette . |
|
Mega oesophage : image radiologique
TDM fenetre parenchymateuse en coupe axiale |
|
| |
 |
|
 |
|
| |
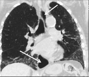
Image Achalasia de oesophage en
coupe TDM sagitale |
|
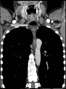
Meme cas en coupe TDM frontale ( coronale
) . |
|
Maladie
de Chagas : Mega-oesophage
idiopathique liee a une parasite Trypanosoma cruzie
frequement en Amerique Latinniene . Lesions se presentent
ainsi : cardiomyopathie( myocardite ) , megacolon ,
conjontivite unilateral + lymphadenite preauriculaire .
 |
 
Les Trypanosoma cruzi transmettent par des reduves (
bo xit ) avec nodule cutanee isole ( chagome) au
point d'inoculation . Fievre , myocardite
conjontivite unlateral + lymphadenite preauriculaire
sont des signes en phase aigue
Myocardite , megacolon , megaoesophage
avec douleur retrosternale , dysphagie ,
regurgitation chronique et amaigrissement sont des
syndromes dans phase chronique dans quelque annee
apres l'infection initiale .
Recherche par Carlos Chagas ( 1879-1934 )
en 1909 |
| |
|
Maladie des spasmes
etages : ( DES : diffuse oesophageal spasme )
Maladie se frappe surtout les femmes anxieuses agee. C'est par
une dysphagie intermittente , variable , avec des crampe
retrosternale non lie a effort . La lesion localise le plus
souvent 1/3 inferieure de l' oesophage . Diagnostic par TOGD
oesophage , la manometrie .
| |
 |
|
 |
|
| |
Image radiologique une DES . Les
spasme de owsophage le plus souvent situe au portion
inferieure de oesophage. Bord irregulie et spastique
de oesophage voyait si net le cliche de face |
|
Image radiologique une DES au
temps d'evacuation de baryte |
|
| |
|
|
|
|
La Sclerodermie
: C'est anormalie motrice oesophagiens rare qui touche a
majorite des femmes agees ( 40-50 ) et est une maladie auto-imune
en fait provoquee une augementation de la production
collagene elle -meme , ce qui entraine un epaissisement et
durcissement en plaque de oesophage . Dyskinesie ,
dysphagie et reflux oesophagiene provoque a une oesophagite
peptique ulceration peptique et stenose sont des trouble en
presence le plus souvent .
Image radiologique de oesopahe en TOGD est une
plaque dur et aperistaltisme et na pas de plie muqueuse
de oesophage . Diagnostic differentiel avec infiltration
cancereuse de oesophage .
| |
 |
|
 |
|
| |
Une portion 1/3 moyen
de oesophage est lisse , dur et aperistaltisme
. Le contrast baryte passa par la est a longue duree
. |
|
Image radiologique de sclerodermie
de oesophage a partie inferieure audesus de cardia .
Oesophage superieure est dilate |
|
| |
 |
|
 |
|
| |
|
|
|
|
| |
 |
|
Images
radiologiques de la sclerodermie de oesophage en TDM
coupe axiale et coronal fenetre parenchymateus .Oesophage
en amont
et en aval de la region slerosante sont dilate
|
|
| |
|
|
|
|
Diverticules :
Il y avait
deux types de diverticules : Type de pulsion liee a
une hyperpression endoluminale par trouble de motricite est
le plus vouvent . Elle situee 1/3 superieure ( diverticule
de Zenken ) , 1/3 moyen est d'origine kynetique , 1/3
inferieure epiphrenique , d'origine ainsi dyskinetique ..
Le type de traction est liee des patho inflamatoire du
mediastin ( La tuberculose . .)...
-
Diverticule de Zenker : Situe
de la paroie posterieurede hypopharynx . C'est le point de
faible entre les fibre de muscle contricteur inferieure du
pharynx et les fibres de muscle horizontales du muscle
crico-pharyngien .( diverticule de pulsion ) . Cliniquement
: Hommme > 50 ans . dysphagie intermittent cervicale en
avant solide et puie liquide , regurtation non acid ,
hypersialoree , toux , pneumopathologie d'inhalation sont
les signes le plus frequemment .Complcation est
diverticulite , abces et mediastinite . Diagnos tic sur la
TOGD , Ct Scanner et fibroscopie . Image radiologique du
diverticule de ZEnker est la retention du baryte en
niveau de la partie superieure de oesophage
| |
 |
|
 |
|
 |
|
| |
Le point
faible au milieux muscle contrictive
inferuieure du pharynx et muscle crico -pharyngien
c'est la cite de forme la diverticule |
|
La
retention en niveau du diverticule de Zenker ( TOGD
de oesophage ) cliche ded face et oblique |
|
Image
fibroscopique d'une diverticule de oesophage
|
|
| |
 |
|
 |
|
 |
|
| |
Les deux phases
de TOGD de oesophage sur le cliche de profile . Au
debut de la phage oesophagien , la diveticule se
present immediatement si net en arriere |
|
Image aero -hydrique d'une diverticule de Zenker .
Cliche de face sans preparation .
|
|
Meme cas en
coupe TDM axiale fenetre parenchymateuse . La
diverticule est une grand poche en arriere de
oesophage |
|
| |
 |
|
 |
|
 |
|
| |
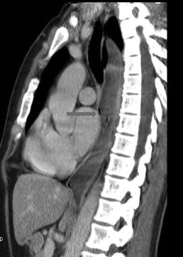
Image une diverticule de oesophage . Coupe sagitale
|
|
Meme cas en coupe coronal ,
section transverse au cros aortique |
|
|
|
-
Diverticule epibronchique . Situe 1/3 moyen de
oesophage , souvent multiple . Asymtomatique si eller est
petit . Dysphagie et regurgitation si sa taille est elevee .
Liee avec les facteur de risque : trouble de la mobilite ,
Ob truction mecanique de la base de oesophage(
neoplastique ) ., reflux gastro-oesophagien et hernie
hiatale . Diagnotic par TOGD baryte et en double de contrast
. -- --Images
radiologiques du diverticule epibronchique sont : Opacite
hydrique du mediastin sur le cliche pulmonaire sans
preparation de face et de profile . Image en ombre annulaire
sur cliche TOGD de face , image arrondies remplies par la
baryte avec le col du diverticule large et elle ne se vident
pas
| |
 |
|
 |
|
 |
|
| |
Image arrondie en
niveau du diverticule epibronchique . Elle nese
vident pas |
|
Image radiologique du
diverticule epibronchique en TOGD + double
contrast . |
|
Le plus souvent sont multiple et image en ombre
annulaire sur le cliche de face . |
|
| |
 |
|
 |
|
 |
|
| |
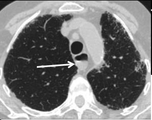
Diverticule epibronchique :
Imges remplie par baryte avec le col est large |
|
Meme cas
en coupe axiale ( image TDM fenetre parenchymateuse
) . |
|
Images TDM en fenetre mediastinale :
Diverticule de oesophage.epibronchique ( fleche
blanche ) |
|
| |
|
|
|
|
|
|
- Diverticule
epiphrenique : Rare , situee 1/3 inferieure de
oesophage de type de pulsion et est en le plus souvent a
droite sus diaphragmatique et de grande taille . Elle a
association frequemment avec achalasia et hernie hiatale .
Diagnostic par TOGD , CT scanner , image radiologique
pulmonaire de face et de profile est opacite arrondie de
contrast hydrique . , parfoie hydro-aerique souvent a droite et au
mediastin inferieure - posterieure . Images en TOGD et CT
sanner :
| |
 |
|
 |
|
 |
|
| |
Diverticule epiphrenique :
Situee 1/3 inferieure , oesophage achalasia et image
arrondie remplie par baryte du diverticule |
|
Situe
souvent a droite sus diaphragmatique |
|
Image en niveau d'une
diverticule de oesophage . Elle ne se vide pas
|
|
| |
 |
|
 |
|
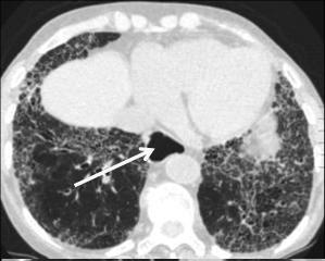
Diangostique differentiel
avec duplication kystique de oesophage . Ce qui ne
se remplissant pas en TOGD . Image radiologique TDM
d'une duplicatin kystique de oesoiphage en coupe
axiale ( fleche noire ) |
|
| |
|
|
|
|
|
|
Page :
1
/
2
/
3
/
4
/
5
/
6
/
7
/ 8/
9
/
<<
BACK
<<
>>
NEXT >>
Dr Bui Binh Tho
|
|