|
Pathologies radiologique
de oesophage ( A suivre )
Herni
hiatale :Il y avait quatre type de hernie hiatale
.:
- Type I : hernie hiatale
par glissement . En ce cas la jonction cardio - oesophagienne
situe intrathoracique . et elle se represente environement
dans 85%-90% des cas et ce qui cause le plus souvent des
brulure oesophagiene par refux gastro-oesophagien .
- Type II : hernie
hiatale paraoesophagienne par roulement . La jontion de
oesophage et estomac est reste en place au d4sous du
diapragme . mais une partie de estoma " roule " par dessus
et passe a travers le hiatus oesophagien pour former
une poche susphrenique . Asymtomatique ,mais parfoie avait
complication grave
- Type III : mixte entre
type I et type II . Le cardia et un partie de estoma
glissent a travers le hiatus oesophagiene .
- Type IV correspond a une
hernie de l'estomac entierement en volvulus avant de oesophage
sus diapragmatique accompagnement parfoi avec de autre viscere ( intestin grele , colon ... )
Diagnostic se base sur radiographie
pulmonaire standard : cliche pulmonaire de face et de
profile , la TOGD et la CT scanner :
| |
 |
|
Type
IV
 |
| |
|
|
|
| |
 |
|
 |
|
 |
|
| |
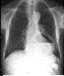
Hernie hiatale : Image
radiologique sans preparation , cliche pulmonaire de
face . Image hydro-aerique a gauche , en arriere le
bord gauche du coeur |
|
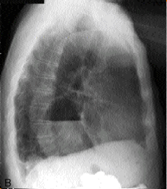
Meme cas :
Cliche profile gauche . Le niveau hydro-aerique
situe au mediastin inferieure et posterieure . |
|
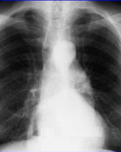
Une autre cas de hernie
hiatale avec image hydro-areique a droit |
|
| |
 |
|
 |
|
 |
|
| |
Meme cas de hernie
hiatale : Cliche profile droit se donne
image hydro-aerique au espace inferieure
posterieure du mediastin |
|
Hernie hiatale type I ( hernie hyatale de
glissement ) |
|
Hernie hiatale type II ( type avec
estomac est enroulement sus diapragmatique .Le
cardia est en place |
|
| |
|
|
|
|
|
|
| |
 |
|
 |
|
 |
|
| |
Image radiologique TOGD
une hernie hiatale de type glissement ( Type I ) ,
Le cardia glisse a travers hiatus diapragmatique
avec une partie de estomac |
|
Hernie
hiatale de Type I .Le cardia et une partie marquee
de estoma glissent a sus diapragmatique |
|
Image du type I en
TOGD ++ double de contrast |
|
| |
|
|
|
|
| |
 |
|
 |
|
| |
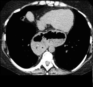
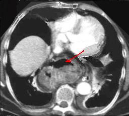
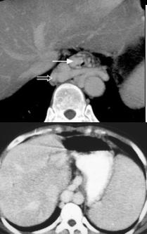
Hernie hiatale de type
I en coupe axiale TDM , fenetre mediastinale .
La poche hydro-aerique gastrique glisse alongee au
dessus hiatus oesophagien en arriere aureillete
gauche et ventricule gauche . |
|
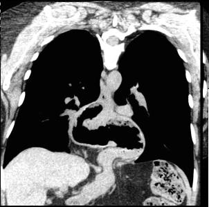
Meme cas en coupe frontale (
coronale ) .Le cardia et une partie de estoma
situent au dessus le diapragme . Image du
coupe est si nette |
|
| |
 |
|
 |
|
| |
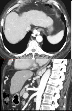
Image TOGD une hernie
hiatale de type III . Estomac en ce cas en roulement
dans le thorax et le cardia glisse au dessus
diapragmatique |
|
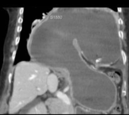
Meme cas
en coupe TDM sagitale |
|
| |
 |
|
 |
|
| |
|
|
|
|
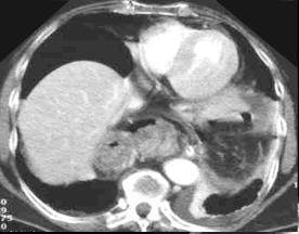
Quelque images en TDM axiale de
hernie hiatale de type II et Type IV :
Oesophagite :
C'est une lesion chronique de oesophage secondaire a une
irritation , le plus souvent par les secretions gastrique ,
reflux gastro-oesophagien ( RGO ) , absortion des produit
caustique , l'infection ( herpes , candida , cytomegalovirus
par imunodepression ) les radiation ionosante .
Diagnostic de oesophagite se base sur la fibroscopie , la
TOGD , CT scanner
Oesophagite par reflux
: RGO c'est par la mal position cardio-tuberosite :
ouverture de angle de His avec cone d'attraction cardiale .
Signe de sensation brulure le longde l'oesophage ,
sensation acid peut aller jusqua bouche ( pyrosis ) associe
de symptome respiratoire et ORL sont des signe precedent de
oesophagite par reflux . Images radiologiques sont
restreinte au debut . TOGD ++ double de contrast se
donne des images des nodulations , des petites ulceres et de
atrophie epaisissement des plis muqueuses du portion
inferieure de oesophage . Parfois image de stenose
circonferentielle symetrique sur oesophage distal . Au cours
de oesophagite peptique image radiologique c'est image de
stenose circonferentielle symetrique en queue de rachis et
EBO
| |
 |
|
 |
|
 |
|
| |
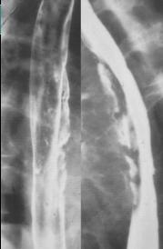
Image
radiologique de l'oesopagite de reflux sur TOGD de
double de contrast : Ouverture de angle de His
,petites ulceres et epaissisement de plie muqueuse
oesophagien etre en voyant. |
|
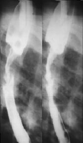
Stenose circonferentiele symetrique a distal de
oesophage . Technique radiologique TOGD +
technique de double de contrast baryte de oesophage
. . |
|
Image
radiologique en double de contrast d'une stenose a
distal : oesophagite de reflux au grade 4
endobrachyoesophage(EBO) |
|
| |
 |
|
 |
|
 |
|
| |
Aspect radiologique d'une
oesophagite peptique ( reflux ) au stade stenosante
. Image radiologique en TOGD |
|
Oesophagite
peptique grade 4 endobrachyoesophage ( EBO ) .
Imge radiologique TOGD de double de contrast de
l'oesophage |
|
Image radiologique si nette
d'une endobrachyoesophage en double de contrast .
Technique radiologique TOGD en double de contrast |
|
Oesophagite caustique
: Correspond a une inflamation de la muqueuse
oesophagien par ingestion acidentellement ou volontaire du
liquide caustique par exanple soude ou acide . Evolution de
cette type d'infection c'est la perdre l'elasticite de
paroie de oesophage . Image radiologique TOGD de cette type
oesophagite est image stenose cicatricielle etendue de
oesophage :
| |
 |
|
 |
|
 |
|
| |
Image radiologique du transit
oesophagien d'un oesophagite caustique . C'est image
de stenose cicatricielle tres etendu de 2/3
inferierure oesophage |
|
Une autre cas de
oesophagite caustique . La lesion etendue le long
2/3 superiere de oesophage . Image radiologique du
transit oesophagien en OAD |
|
Oesophagite caustique 1/3 moyen de
oesophage avec aspect lesionaire c'est imsage
stenose cicatricielle a bord lisse de perdre
elasticite ( fleche blanche ) |
|
Oesophagite infectieuse :
1
Candidose oesophagien : Le plus souvent sur les
imunodepresseur , les corticotherapie , les chimiotherapy et
les sida . Diagnostic sur endoscopie et TOGD ++double de
contrast .Image radiologique en double contrast de oesophage
est image en aspect crenele simulant par des ulcere
:
| |
 |
|
 |
|
 |
|
| |
Image de TOGD et double de
contrast transit oesophagien avec aspect crenele de
paroie de oesophage + image des ulceres stagnant de
baryte |
|
Aspect
crenele de paroie de oesophage avec image des
ulceres etendue alonge l'oesophage |
|
Image macroscopie endoscopique de
candidose oesophagien |
|
| |
|
|
|
|
|
|
2 Oesophagite a
cytomegalovirus ( CMV ) : En familial avec
herpesvirus et peut infecte sur tout les sujets ( mamal ) .
Sur les sujets qui avaient une depress du system d'immunite
, il peut cause des complications severes : retinite ,
hepatite , pneumonia et encephalite .. . Image radiologique
en TOGD + + double de contrast est des grande ulcere
profonde multiple en longitudinal de oesophage .
| |
 |
|
 |
|
 |
|
| |
Nombreux de
grande ulcere avec image de extravation de contrast
baryte a exterieure et en longitudinale de oesophage
. . Image TOGD de oesophage . |
|
Image de
oesophagite a CMV situe 1/3 inferieure de oesophage
avex image des ulceres profondes de oesophage (
fleche blanche ) |
|
Orifice de ulcere dans
oesophagite a CMV . Image fibroscopie de oesophage
|
|
| |
|
|
|
|
|
|
| |
|
|
|
|
|
|
3 Oesophagite HIV :
Il est tres rare depuis traitement des antiretrovireaux ,
situee 2/3 inferieure de oesophage . Image radiologique est
ucere unique a inferieure de oesophage .
 |
Grand ulcere au 2/3 superieure de
l'oesophage . Image radiologique de
oesophagite de HIV en TOGD ++ double de contrast
baryte .
|
| |
|
4 Oesophagite tuberculose :
Le plus souvent lie a une lesion de tuberculose glandionaire
mediastinale et pulmonaire
.
Lesions pathologiques sont des ulceres etendus avec
fibrose stenosant de paroie oesophagien . Lesion diverticule
de type traction peut observe
.
| |
 |
|
 |
|
 |
|
| |
Image
radiologique de tuberculose de oesophage en TOGD :
Bord de oesophage est crenele par des petites
ulceres . Deux diverticule a type traction au tier
superieure de oesophage . |
|
Image TOGD
du diverticule de type traction de oesophage
associe de images creneles de ulcere multiple au
bord de oesophage . |
|
Image de oesophagite en TOGD ++
double de contrast . Image en crenele en ce cas se
voyaient tres net . Image de diverticule de type
traction avec retention de baryte en niveau . |
|
| |
|
|
|
|
|
|
4 Oesophagite radique : Apparaissant 6 mois
apres l'irradiation , sourtout si association avec chimio
therapie par adriamycine . Lesion stenosant en segmetaire
avec lesion ulceree au region expose au champ de irradiation
.
| |
 |
|
 |
|
Oesophagite radique forme chronique : Stenose
segmentaire au champ expose d'irradiation |
|
| |
|
|
|
|
. |
|
Varice oesophagien :
Diagnostic par endoscopie , TOGD et CT scanner . Image
endoscopique de varice est specifique , aspect de varicose .
Image radiologique TOGD de varice est l'epaisissement
des plis de l'oesophage , image en chaine de bijoux ou des
sangsues et aspect serpengineuse sur CT
scanner :
Page :
1
/
2
/
3
/
4
/
5
/
6
/
7
/ 8/
9
/
Dr Bui Binh Tho
<<
BACK
<<
>>
NEXT >>
|