|
Dr Bui Binh Tho
Pathologies radiologique de l'estomac
( A suivre )
.
-
Tumeur de l'estomac ( a suivre ) :Diagnostic de pathologie radiologique
tumeur
de l'estomac base sur la TOGD mono contrast
baryte ou double de contrast , l'echographie transcutanee , la
fibroscopie , la TDM ,echo - endoscopie et PET/CT
.
- Tumeur epitheliale
benigne : Polyp de estoma : C;est tumeur begnin
rare de estoma avec sa taille a 2cm et sessile , sa surface
est lobulaire reguliere,
souvent antraux et unique , incidence de degenerescence est 40%. Image TOGD ++ double de contrast
est image polypoide intraluminale uniquement a bord net ,polylobulaire
sessile et le plus souvant a la region antrale de l'estoma .
| |
 |
|
 |
|
 |
|
| |
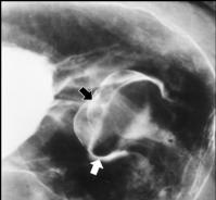
Aspect polypoide
intraluminal d'une tumeur epithelial . Sa bord est
irreguliere, polyglobulaire et sessile |
|
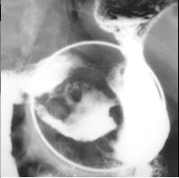
Image une tumeur
epithelial begnin de estoma . Aspect polipoide a
sessile intraluminale |
|
Image TOGD d'une tumeur epitheliale a la
region antrale de l'estomac .Sa surface est
irregulier lobulaire |
|
| |
|
|
|
|
|
|
| |
 |
|
 |
|
| |
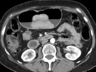
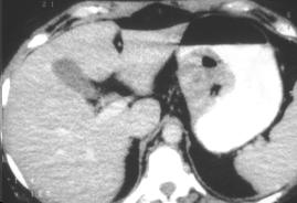
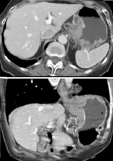
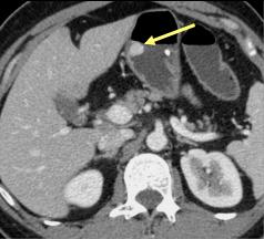
Image d'une
tumeur epitheliale de estoma . Sa taille est plus
marquee situe a la face posterieure de estomac , sa
bord est net , polylobulaire intraluminale et
hyperdense non homogene . Paroie de l;estoma reste
normale ( image TDM en coupe axiale ) |
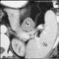
|
Meme cas en coupe coronale (
frontale ) . la tumeur situe a la portion horizontal
region antral de l'estomac |
|
| |
|
|
|
|
-Leiomyomes
: Tumeur conjontive d'origine de muscle lisse de
estomac ,tumeur begnin a taille variable . Aspect TOGD
sont : Nodule pediculee endoluminale si la lesion d'origine
de couche musculaire muqueuse . Lesion intraluminale
etendue si la lesion avait d'origine de des mucles
circulaires internes . Et proliferation
exoluminale s'il avait d'origine du couche longitudinale
externe . Image de ulceration de surface de tumeur est
frequemment . Cacification se presente sur 5% des cas .
| |
 |
|
 |
|
| |
Image de nodule
pediculee a la petit courbure bord net et
lisse |
|
Image leiomyomes en proliferation
marquee intraluminale avec ulcere de surface
situe a la region antral de l' estomac( TOGD baryte
avec balloon compressif ventrale) |
|
| |
 |
|
 |
|
| |
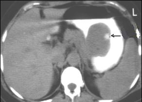
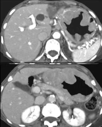
Leiomyome de la face
posterieure de estoma .Image isodense a taillre
marquee , bord reguliere , lisse situe a la face
posteriere de estoma . La paroie de estoma est
normale |
|
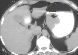
Leiomyome de la petit coubure avec
image ulceree a la surface . Image TDM en coupe
axiale a ingestion baryte . |
|
| |
 |
|
 |
|
| |
Leiomyome de la
face posterieure de estomac . Image en TOGD ++
double de contrast . |
|
Aspect lesionaire intraluminale isodense
homogene etendue avec ulcere de sa surface . TDM en
coupe axiale |
|
| |
 |
|
Leiomyoma intraluminale avecdeux ulcere a
surface . La presense des calcification se donne de
image isodence grise-claire non homogene |
|
| |
|
|
|
|
- Lymphome
gastrique : C'est une tumeur a de grade
malignite a partir des elements lymphoide de la
muqueuse MALT ( mucosal associated lymphoid tissue ) . Le
plus souvent liee a la presence de helicobacter pylori
(95%), HIV.. . Sa lesion est epaissisement diffuse ou
segmentaire gastrique souvent depasse plus de 50% de estomac
sous forme de gros plie muqueuse mais sans stenose ,
cracteri-forme ulceree ou nodulaire ou bien sous forme
de infiltrante . Adenopathie locoregionale ou extension a
distance peut se voyait . Extension au duodenum par voie
transpylorique .
| |
 |
|
 |
|
| |
Image en
laculaire eleve intra luminale gastrique a
nultilobulaire ou epassisement de gros plis . S'il y
avait lesion ulceree en association c'est tres
difficile de diagnostic differentielle avec
anenocarcinoma de l'estoma .Image TOGD avec
compressive region antral . |
|
Meme cas en double de
contrast.TOGD .. |
|
| |
 |
|
 |
|
| |
Aspect lesionaire de
epaississement diffuse a gros plis de la muqueuse
gastrique mais n'a pas de rigidite , c'est le
caracteristique du lymphome gastrique se serve pour
diagnostic differentielle avec adenocarcinoma |
|
Lymphome gastrique :
Une epaississement diffuse a hypodense mais sans
stenose de l' estoma ( image TDM en coupe axiale ) .N'a
pas de rigidite a la region lesionaire |
|
| |
|
|
|
|
Tumeurs
endocrines : Tumeur a origine des cellules neuro
endocrines gastriques presentee dans les glandes Lieberkuhn
. multiple , petite , associe a une hypergastrinemie ou
grosse tumeur agressive rapidement metastatique . Image
radiologique TDM est tumeur le plus souvent a la region
antrale , lesion nodulaire intramural a hyperdense parfois
aspect pseudo-polyp . Image TOGD est image laculaire a
aspect polypoide intraluminale parfois avait petit ulcer a
la surface .
| |
 |
|
 |
|
| |
Image
laculaire intraluminale avec ulcere de la surface .
Technique radiologique de double de
contrast TOGD |
|
Image TDM hyperdense en nodulaire
endoluminale gastrique ( hypervascularite ) du
carcinoma de endocrine a petit courbure de l'
estomac |
|
| |
 |
|
 |
|
| |
Image nodulaire isodense du
tumeur endocrine de la paroi posterieure de l'estoma |
|
Image multi- nodulaire a isodense
du tumeur endocrine a la parois posterieure de
l'estoma . Image TDM en coupe sagitale . |
|
| |
 |
|
 |
|
| |
Tumeur endocrine
infiltrant de estoma . Image isodense avec des
nodules hyperdenses de hypervascularises . |
|
Image TDM d'une tumeur
endocrine de l' estomac |
|
| |
|
|
|
|
| |
|
|
|
|
|
Les autres tumeurs de
estoma : Sont tres rare |
|
- Tumeur stomales
GIST ,: Leiomyoblastoma , tumeur
mesenchymateuse maligne |
|
- Schwannome :
tumeur conjonctif d'origine tissu nerveuse ,
tumeur begnin |
|
- Lymphangiome
gastrique :tumeur conjonctif d'origine
vasculaire , begnin |
|
- Lipome gastrique :
d'origine tissu adipeux , begnin |
| |
.
Page :
1
/
2
/
3
/
4
/
5
/
6
/
7/
8/
9
/
Dr Bui Binh Tho
<<
BACK
<<
RESUME >>
|
|