|
Dr Bui Binh Tho
Pathologies radiologique de l'estomac et duodenum
-
Pathologie radiologique de estomac et duodenum :
Diagnostic de pathologie radiologique
de l'estomac et duodenum se base sur la TOGD mono contrast
baryte ou double de contrast , echographie transcutanee ,
echo endoscopie , la TDM en pratiquee apres remplisage de
l'estomac avec eau ou produit de contrast iode dilue ,
arteriographie et ASP et radiographie du thorax .
Hernie hiatale
: Voie hernie hiatale de oesophage
.
Volvulus gastrique
: Il s'agit d'une rotation anormale de l'estomac
lui meme entraine une
obtruction gastrique . Il peut s'agir une rotation de plus
de 180 selon axe longitudinal de estomac ou bien axe
horizontale . Syndrome abdominale est aigue avec distention
a la region epigastrique et douleur epigastrique grave ,
efforts vomissement et sondage gastrique en ce cas est
impossible ( triade de Borchardt ) .. Necrose gastrique est
peut etre et grave . Il y avait trois type de volvulus
gastrique : organo-axiale , mesenterico - axiale ou type mixte
et 50 % cas de volvulus gastrique lie avec hernie
hiatale . Image ASP abdominal de face , c'est l'elevation du
diapragme gauche avec image de distention de estomac , ou
image de grande hydro aerique a niveau au pulmon gauche
.
| |
 |
|
 |
|
 |
|
| |
Volvulus de type
organo-axiale . Dans ce cas la grand courbure de
estoma en tortion180 degree autour sa axe |
|
Volvulus de type
mesenterico axiale |
|
Type mixte de volvulus
de estomac |
|
| |
|
|
|
|
|
|
| |
 |
|
 |
|
| |
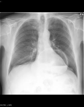
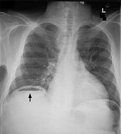
Image radiologie ASP de face
une volvulus de estomac est image de elevation du
diapragme droit avec de distention gastrique marquee |
|
Image hydroaerique a niveau
au poumon droite : hernie hiatale avec volvulus
gastrique de type organo axiale . |
|
| |
 |
|
 |
|
| |
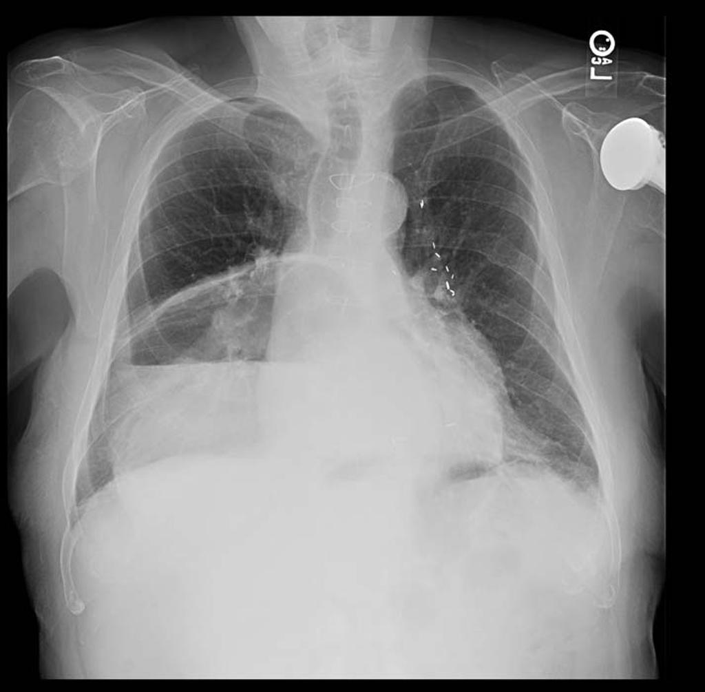
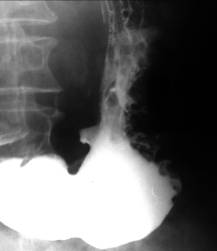
Image hydro -aerique
en niveau de estomac dans cas hernie hiatale par
roulement avec volvulus gastrique du partie hernie
du corp gastrique . Cliche pulmonaire de face |
|
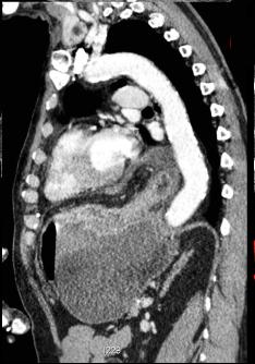
Hernie hiatale par roulement
avecvolvulus gastrique de type mesenterico-axiale du
segment hernie du corps gastrique . Image
radiologique TDM en coupe sagitale . |
|
| |
 |
|
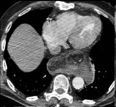
Meme cas en coupe TDM axiale |
|
| |
|
|
|
|
| |
|
|
|
|
Ulcere
gastro duodenale : C'est
une erosion de perdre de la
muqueuse gastrique ou duodenale . Sa frequence cher homme est
plusieure que cher la femme . La majorite des ulceres est
causee par la bacterie Helicobacter
Pylory ( H Pylori ) ou par les medicaments : AAS
(acid acetylsalicylic) les AINS ( les anti-inflamatoires non
steroidiens) naproxene , ibuprofene .Il y en a deux sortes de ulcere
gastro-duodenal : Les ulceres gastriques
avaient des
lesions erosives aux paroi qui tapisse l'estomac et la bulbe . Et
l'ulcere duodenal sont tres
souvent que ulcere gastrique et ceux qui situe au duodenum
. Quand l'erosion penetre au couche musculaire a touchee
la sereuse il peut etre atteindre des organes voisins et se
perforer .Les ulceres gastriques peuvent sieger le plus
frequemment au petit courbure ou a la face posterieure de
l'estoma cher les sujets ages et sur la face posterieur de
antre cher les jeunes .
Aspects radiologiques des ulcere
sur la TOGD mono contrast est images directes en
epine , en doigtier ou image de Haudeck . Sur TOGD a double
de contrast on peu voyait aspect de face des ulceres sous
forme arrondie , ovalaire , en carte geographique
ou lineaire et tous sont accompagnement
d'un bourrelet peripherique oedemateux avec la
convergence des plies muqueuse saint
vers lequel .
| |
 |
|
 |
|
 |
|
| |
Image en epine d'une ulcere
de la portion verticale du petit courbure |
|
Aspect en doigtier d'une
ulcere de la petit courbure |
|
Ulcer du portion verticale de la petit
coubure de l'estoma |
|
| |
 |
|
 |
|
 |
|
| |
Grande ulcer de
estomac au grand coubure ( portion horizontale ) |
|
Niche Hausdeck de ulcere de la
petit courbure . Situe a inferieure du cardia . |
|
Image en etoile de grande
niche de la petit coubure avec image de
convergence des plies muqueuse saint vers la lesion
. |
|
| |
|
|
|
|
|
|
| |
 |
|
 |
|
| |
Niche en aspect
doigtier de la petit courbure . Image TOGD de estoma
en OPD |
|
Ulcere de estomac prepilorique . Une
deformation antrale . |
|
| |
 |
|
 |
|
| |
Ulcere jeune bulbaire . Image
TOGD en OAD normale et expose avec compression
region bulbaire |
|
Aspect en treffle une ulcere
bulbaire . Image TOGD baryte en OAD |
|
| |
|
|
|
|
| |
 |
|
 |
|
 |
|
| |
Aspect en etoile
d,une ulcere bulbairede l'estoma |
|
Image TOGD d'une ulcere
duodenal D2 |
|
Ulcere D2 avec dilatation duodenale et
epaissisement des plies muqueuses duodenales (
duodenite ) en aval et au amont de ulcere |
|
| |
|
|
|
|
|
|
Aspect
echographique de ulcere gastrique est l'epaissisement
hypoechogene de la paroi gastrique localise et parfois un
artefact a interieure du niche . Il se donne de image
nette sur les niches ce qui avait sa taile de passe 2cm de
diametre
En cas ulcere gastrique non complique ,
aspect TDM de ulcere est le plus souvent normale ou
parfois se voyait une epaissisement localise . En cas de
complication de perfore , le cliche de abdomen sans
preparation ( ASP) est bien de detecte et verifie la
presence de pneumoperitoine ( sa sensibilite peut
attenir a 60% des cas de perforee ) . Par contre la
sensibilite de scanner pour detecte les bulbes gazeuses
extradigestif est excellente et la TDM peut elimine bien des
cas de complicaton peritonite .
| |
 |
|
 |
|
| |
Image de
croissante gasseuse sous diapragmatique droit .
Perforation de ulcere gastrique . |
|
Grand niche ulcere avec bourrelet
oedemateuse de la face posterieure de l'estoma. .
Image des ulcers de estomac se voyait seul
quand sa taille est marquee et le resulta de TDM est
faible sur les petites ulceres |
|
| |
 |
|
 |
|
| |
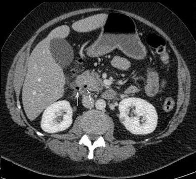
Perforation du tube digestif
. Image TDM en coupe axiale se donne la presence de
air libre a l' espace superieur de l'abdomen . Le
diagnostic est vers estomac et duodenum
par la presence des petites bulbes d'air intra
parietale . |
|
Diagnostic d'ulcere perfore sur la
TDM se verifie quand : la presence de
pneumoperitoine , epaissisement irregulie de la
paroi duodenale ou gastrique , bulbe d'air intra
parietale , infiltration graisseuse mesentrique et
epanchement liquidienne intra peritoneal |
|
| |
 |
|
 |
|
| |
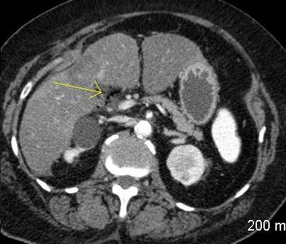
La presence des petits bulbe
d'air intra parietale posterieure : ulcere de la
face posterieure perfore |
|
Ulcere gastro duodenal perfore : Image
TDM en coupe axiale |
|
| |
|
|
|
|
| |
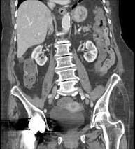
 |
|
Meme cas en coupe frontal ( coronal
) |
|
Gastrite infectuese :
-
Gastrite plegmoneuse et emphysemateuse .
On identifie 70% des cas est streptocoque alpha
hemolytique de groupe A et les autre sont Staphylococcus
aureus , Escherichia coli , Clostridium welchii . Douleur
aigue , fievre , vomissement sont des signe de base
. Peritonite presence dans
plusieure des cas .
Imagerie evalue bien dans ces cas sont echographie et
tomodensitometrie .
Epaississement marquee de la paroi gastrique est bien
visible en echographie et en tomodensitometrie
. Gastrite par
des anaerobie : Escheriacoli , Clostridium welchii. multiple
bulbe d'air parfoie sont visualisee dans la paroi de estomac ,
c'est la pnneumatose parietale ou gastrique emphysemateuse .
Retresissement sequellaire de l'estoma survenir en cas de
traitement effecte .
| |
 |
|
 |
|
| |
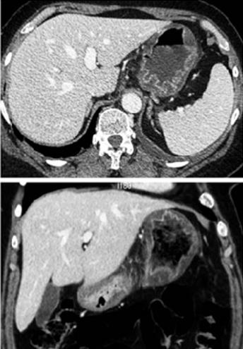
Image TDM en coupe axiale et
coronale une gastrite plegmoneuse avec epaisissement
maruee de la paroi de estoma . Bulbe air se presente
dans la paroi de estomac ( coupe TDM coronale ) |
|
Image radiologique TDM
d'une gastrite necrosante de estomac avec. image de
necrose de la paroi de l'estomac avec epanchement
peritoneale ( peritonite ) |
|
| |
|
|
|
|
-
Gastrite a Helicobacter pylori : Diagnostic se base
sur test respiratoire et serologique ,endoscopie et la TOGD
++ double de contrast baryte . Image de epaissisement
des plies gastrique est le meilleur crictere de diagnostic
radiologique .
| |
 |
|
 |
|
 |
|
| |
Image radiologique TOGD de
l'estoma et duodenale avec epaisissement des plies
muqueuses gastriques d'une gastrite a
helicobacter pylorie . |
|
Image
radiologique TOGD et double de contrast d'une
gastrite Helicobacter pylori , stade avance et
chronique |
|
Gastrite chronique a Helicobacter pylori |
|
| |
|
|
|
|
|
|
 |
|
|
| Image fibroscopique : (A) muqueuse
gstrique normale .(B ) Image gastrite aigue . (C)
Gastrite atrophique .( D ) lesion cancereuse
|
|
|
| |
|
|
- Gastrite
actinosemycose , parasistose , bacille de Kock
: sont rare
Gastropathie caustique et radique
: Resulte par une ingestion des subtances
cautiques acides ou alcalins ou selon du traitement
radiotherapie des neoplasies de l'abdomen superieure .
Imagerie au stade aigue est aspect oedemateuse des plies
muqueuse gastrique , des ulcere , une atonie gastrique , gaz
parietale ou complication perfore . Stenose obstructive
cicatricielle entrainer de 3 a semaine apres. Aspect
radiologique se gastrite radique est oedeme , ulcerationet
perfore , mais la fibrose de retresissement survient de
5 mois apres
Page :
1
/
2
/
3
/
4
/
5
/
6
/
7
/ 8
/ 9/
Dr Bui Binh Tho
<<
BACK
<<
>>
NEXT >>
|