|
La bien interprete des images radiologie -
pathologiques pulmonaires se base sur la connaissance des
images radiologiques normalement pulmonaire .
Radioanatomie de la paroi thoracique (
radioanatomie ) ( a suivre )
- La Radiographie standard ( cliche de
face et de profile ).
Images analoques radiologiques sur le film
est la comsommation des images de difference tissu . Selon
la difference de l'absortion des tissue a rayon X , il y
avait quatre densite radiologique :
- Calcaire
( des os .. ) qui se donne de grand opacite
-
Liquide ( tissus mous , sang , gros vaisseaux , le coeur
...)
-
Graisseuse , moin de absortiuon de rayon X que les tissus ,
l'opacite est moindre .
-
Aerique : na pas de absortion de rayon X ( parenchyme
pulmonaire , trache , bronches , poche a air gastrique ... )
Quand deux tissus de même densite sont en
contact sur un même plan , leur surface de separation est disparue
. Par contre , si deux structure de meme densite se
projettant l'un sur l'autre dans deux differences de plans , leur contour peut voyait sur le film . C'est le signe de silhouette
de Felson .
La peau , les tissus sous cutanees , le sein , les
mamelons , les plis cutanes du vieillage et les côtes sont voyait en
consommation sur le cliche de face . Selon cette
caractéristique, les images sont facilement confondues sur
les radiographies thoraciques de face PA simple.:
| Les images ce qui peut en pieges du cliche
de face PA : -1 Ombre accompagnement de la 2e
cote
-2 Ombre accompagnement de la clavicule
-3 Ombre de muscle sterno cleido-mastoidien
-4 Scissure azygos
-5 Parties molles du creux axillaire .
-6 Ombre de artere sous claviere
-7 Mamelon des hommes
- 8 Ombre des deux seins.
-9 Ombre des omoplates
-10 Calcification chondrosternales |
 |
|
Arch posterieure des cotes sont bien
visible que ach anterieure , peu horizontal dans inspiration
profond et incline vers a bas dans expiration .
L'aspect du thorax peut change , normalement en trapeze , en
tonneau sur les asthms ou BPCO , pectus excavatum sur les
paralyse . Le cote peut atrophie , bifidite ou flottant (
C12 ) ..
|
1 Cote cervicale
| 2 Noyau d'ossification isole |
| 3 Bord interne de omoplate |
| 4 Cote atrophie |
| 5 Superposition de la tete du cote |
| 6 Encoche des arcs costeaux post |
| 7 Bifidite un arc anterieure |
| 8 Gouttiere sous costal post |
| 9 Calcification de cartilage de la
premieme cote |
| 10 Fossette du ligament rhomboide |
| |
|
- Les coupoles diapragmatiques sont
arrondies , concave a inferieure , lisse , . Sur cliche de
face , la coupole droite se confondre avec opacite du foie
et souvent plus haute que la gauche , normalement 1-2cm .
Elle se projette a espace intercostal 5 en expiration
et 8 en inpiration profonde . La coupole droit parfoies
multilobaire ou en aspect " marches d'escalier " de la
moitier externe de la coupole en inpiration force (
physiologique ) ou en augementation du volume pulmonaire (
pathologique ) . Le cul de sac exterieure droit est bien
visible , pointu , et sur le petit enfant les
vaisseaux pulmonaire du lobe inferieure droit sont
silhouettes en se voyait arriere de l'opacite
hepatique .
|
 |
| Mouvement de coupole
diapragmatique droit et gauche en inspiration et en
expiration . |
Aspect de" marche en
escalier " du coupole droit et gauche . Poche a air
gastrique a inferieure gauche . |
Radioanatomie du cliche de profile droit le coupole droit se
voyait parallelique avec le gauche le cul de sac posterieur
est bien visible et pointu .
La coupole gauche est visible et bien elimine par
la poche a air gastrique a inferieure . L 'epaissisement de
coupole gauche /poche air gastrique est moin de 1,5cm et sur
le cliche de porfile gauche le deux coupole sont en croisees .
 |
 |
| 1 Sternum |
| 2 Espace retrostenal |
| 3 Coupole diapragmatique droit |
| 4 Espace retrocardiacque |
| 5 Coupole gauche |
| 6 Trache |
| 7 Aort |
| 8 Ventricule droit |
| 9 Aureilette droit |
| 10 Aureillete gauche |
| 11 Ventricule gauche |
| 12 Rachis |
| 13 Bronches |
|
Sur la radioscopie le mouvement de deux coupole
diapragmatique sont synchronise et sa deplacement de 3
a 6cm . le gaucehe est plus mobile que le droit .
Contrairement en cas paralyse de la coupole unilaterale , le
mouvement est paradoxale .
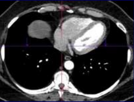
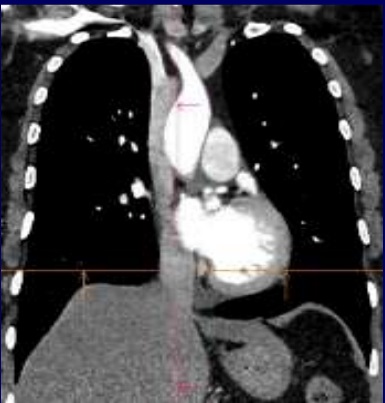
Radioanatomie TDM de la paroi :
La tomodensitométrie thoracique est la TDM la plus réalisée
en pratique courante. , La bien interprete des images
radiologie - pathologiques pulmonaires se base sur la
connaissance suffisament des images radiologiques
normalement pulmonaire
et d’explications afin d’être précis dans la localisation
d’une lésion pulmonaire dans le cadre d’un bilan
diagnostique, d’un suivi, ou après pneumonectomie
| |
 |
|
 |
|
| |
Image radiologique TDM
normale de la paroi du thorax en coupe axiale fenêtre
mediastinal . Os stenum en avant , la colonne
vertebrale en arriere et des cotes du thorax sont
très hyperdense |
|
Même cas en coupe TDM coronal
, fenêtre mediastinale .
Click pour entrer |
|
| |
|
|
|
|
| |
|
|
|
|
Image radiologique normale de la
plèvre :
Avait en 2 feuillets , la
plèvre viscérale et plèvre pariétale se réunissant autour du
hile . Sa surface est une couche mésothéliale monocellulaire
égale # 2 m² , sa cavité virtuelle est de moindre V=10-15 mL
de lubrifiant comporte de monocytes, macrophages ,
lymphocytes et produit de drainé (pores de Wang) par la
plèvre pariétale . Sa "Turn-over" debit est egale 300 mL /
jour / sur chaque côté .
Sur le cliche de face PA standarnise
et sur la TDM : le cul de sac
costo-diapragmatique droit sont pointus . Les scissures
separe le poumon droit en trois lobes : lobe superieure,
lobe moyen et lobe inferieure . A gauche la grand scissure
separe le poumon en deux : lobe superieur et lobe inferieure
.Les sommets des grands scissures sont situes en T3, T4 ; et
elles se terminent sur les coupole en arriere de la paroi
anterieure . La petie scissure parfoie (en 90% cher les
sujets ) peut se voyait comme une ligne horizontale tendue
au hile droit vers la paroi .A droite au lobe superieur
droit , le plie de la plevre du lobe superieure forme
avec la veine Azygos la scissure azygos .
| |
 |
|
 |
|
| |
La plevre avait
en 2 feuillets , la plèvre viscérale et plèvre
pariétale se réunissant autour du hile . De la
plèvre viscerale
il avait des cloisons interlobaires se forment de grand scissure du poumon droit et gauche et une
petit scissure à inferieure du du poumon droit |
|
La plèvre viscérale et plèvre pariétale
se réunissant autour du hile et sa pli muqueuse se
forme des culs de sac inferieure lateral droit et
gauche , culs de sac anterieure et posterieure droit
et gauche du mediastin . Les cloisons interlobaires
de la plevre visceral formait de grand scissure et
petit scissure à droit et de grand scissure gauche (
voir en schema au desus ) |
|
| |
 |
|
 |
|
| |
Les scissures separe le
poumon droit en trois lobes : lobe superieure, lobe
moyen et lobe inferieure . A gauche la grand
scissure separe le poumon en deux : lobe superieur
et lobe inferieure .Les sommets des grands scissures
sont situes en T3, T4 ; et elles se terminent sur
les coupole en arriere de la paroi anterieure . La
petie scissure parfoie (en 90% cher les sujets )
peut se voyait comme une ligne horizontale tendue au
hile droit vers la paroi et incline legere
horizontalement |
|
Image radiologique TDM normale en
coupe sagital , fenêtre parenchymateuse de grand
scissure et petite scissure du poumon droit et de
grand scissure du poumon gauche ( fleche blanche ) (
click pour agrandir de image sur une nouvelle URL )
|
|
| |
 |
|
 |
|
| |
Image radiologique normale de
petit scissure ascessoire Azygos du lobe superieure
droit . Cliche standarnise PA de face du poumon |
|
Même cas en coupe TDM coronal , fenetre
mediastinale . La plie muqueuse de la plevre de
veine Azygos être en vue très nette à droit . |
|
| |
 |
|
 |
|
| |
De même cas de image
radiologique normale de scissure ascessoire Azygos
en coupe TDM axiale fenetre parenchymateuse à
travers coupole du poumon ( TH3 , TH4 ) |
|
Même cas en coupe TDM coronal
( frontale ) fenetre parenchymateuse . La plie
de scissure ascessoire Azygos est en vue tres nette
à droit de superieure du hile droit . |
|
Image radiologique IRM normale de plèvre
(radioanatomie ) : L'IRM a un rôle relativement limité
dans
l'imagerie de la plevre pulmonaire, .le signal de la plevre
est spontanément faible (densité protonique) , elle
considérée comme un examen de seconde intention après
l'examen tomodensitométrique . Mais dans quelque cas
elle est préférée à la tomodensitométrie dans des
circonstances spécifiques, telles que l'évaluation de .. des plèvres
pathologique : lesion inflammatoire epanchement pleurale ,
tumeur de la paroie invasive ou sequnce de diffusion des
mésothéliomes...( voir sur la chapitre semiologie et
pathologie radiologique du poumon ) et elle est en vue
facile sur les coupe ponderee sur T1 , T2 , FatSat
| |
 |
|
 |
|
| |
Image radiologique IRM normale
du thorax en coupe coronal ponderee sur T2 . Image
de la plevre est mal de interpreter |
|
Même cas en coupe IRM axiale
ponderee sur T2 . |
|
Radioéchographie normale du thorax : Image echographique normale de
la pleve du poumon en presence sous forme une bande
hyperechogene . Sur image echo en mode TM à droite ,
la ligne pleural hyperechogene entre paroi
thoracique et le poumon se donne de image en " signe
du bord de mer " . Dans les lesions de la
plevre , elle est également très utile pour évaluer la
présence et la taille des épanchements pleuraux et
couramment utilisée au lit du patient pour guider la
thoracocentèse pour diagnostiquer les pneumothorax .
L'échographie est souvent utilisée pour faciliter des
procédures telles que la ponction pleurale et l'insertion
d'un cathétérisme artériel pulmonaire central.
L'échographie endobronchique est de plus en plus utilisée en
association avec la bronchoscopie pour localiser des masses
et des ganglions lymphatiques augmentés de volume.
Indication de echographie du thorax :
- Epanchements pleurales, Pneumothorax ou d’un
épanchement de liquide (pleurésie).
- Aider le médecin à pratiquer une ponction ou un
drainage de la plèvre dans le but d’évacuer de
épanchement. .
- L’aide au diagnostic des maladies responsables d’une
insuffisance respiratoire aigüe. pratiquée au lit du
patient
- L’aide au diagnostic biopsique de certains nodules
du poumon (lorsqu’ils sont placés proche de la plèvre),
à l’aide d’une aiguille sous contrôle de la vue en
échographie. Cela peut éviter des gestes plus invasifs.
| |
 |
|
 |
|
| |
Image echographique normale de
la pleve du poumon en presence sous forme une bande
hyperechogene . Sur image echo en mode TM à droite ,
la ligne pleural hyperechogene entre paroi
thoracique et le poumon se donne de image en " signe
du bord de mer " ( fleche noire ) . |
|
Aspect echographique d'une
pleuresie du sinus costo -diapragmatique postero-lateral
droit . La sinus costo-lateral droit remplir par
pleuresie hypoechogene |
|
Dr Bui Binh Tho
A Suivre >>
<<
PREVIOUS
>>
NEXT >>
Page :
1
/
2
/
3
/
4
/
5
/
6
/
7
|