|
- Tumeur maligne du colon
:
- Cancer
colorectale Se
developpe a partir de la proliferation d'un clone de cellule qui
se tapissent a la paroi
interne du colon . En presence le plus souvent apres
40 ans et age moyen de decouverte de la maladie est de 70ans
cher l'honmme et de 72 ans cher la femme , l'homme est en plus frequemment que les femmes , sa
incidence est 1/1 sur cancer du colon et 2-3/1sur les cancer du
rectum . Cancer colorectale ou adenocarcinoma est en
troisieme place dans cinq cancer frequemment du monde , Sa
incidence est 774.000 de deces par l'ans ( WHO
2015 ) a moindre cancer du poumon ( 1,69 million de deces)
et cancer du foie ( 788.000 de deces ) et dans 2015 il y
avait 832.000 personnes sont mortes dans le monde par cette
maladie .
Il y avait plusieurs types de cancer du colon .
mais le plus souvent de 90% est adenocarcinoma que sa
origine est de cellule de Lieberkuhne de la paroi du colon
. Les deux sous type de adenocarcinome colorectale est
carcinome mucineux ou colloide et anaplasique . Les
autres de cancer du colon sont d'origine de l'intestin :
leiomyome-sarcoma ( sủrviennent dans les cellules
músculaires lisses ) et le s lymphomes ( sủrviennent dans
les glandes lymphatiques ).
Sa localisation est :
|
-Valvule ileoceacale : 2% |
|
- Ceacum et colon ascendant : 20% |
|
- Colon transverse : 10% |
|
- Colon descendant : 5% |
|
- Colon recto-sigmoidien : 55% |
| |
Les causes et facteurs de risques de
cancer du colon sont : |
| |
- Des polyps adenomateux
| |
- L'adenome villeux et adenome
plan avaient plus de risque de transforme en
cancer que les autres |
| |
- La taille : - A moindre de 5mm risque de
transforme en cancer est 0% |
| |
- De 5mm a 9mm le risque de tranforme en cancer est
1-2% |
| |
- De 10-20mm : risque est 10% |
| |
- De plus de 20mm le image de desrisque de developpe en cancer est
de 40-50% |
| |
- Le nombre d'adenomes : Plus de nombre
de adenome problable eleve de risque de
transforme en cancer . Les polyposes recto-colite
familiale (FAP ) |
|
| |
- Les maladies inflamatoires
chronique du colon : Maladie de Crohn , colite
ulcereuse ... |
| |
- Syndrome de Lynch |
| |
- Ages et hereditaire :
Presence rare avant 40 ans et decouverte en
cancer vers 70 ans |
Image de lavement
baryte mono de contrast et double de contrast au
stade avance de cancer du colon est image stenosant en
circonferentiel du colon sigmoide et image laculaire
en bourgeon irregulier s'il situe au coecum
| |
 |
|
 |
| |
Aspect radiuologique stenosant en trognon
de pomme d'une adenome carcinoma du colon gauche
sigmoidienne .C'est image stenosant symetrique
d'une portion du colon a bord tres irregulier .
Image radiologique de lavement baryte mono de contrast |
|
Image de
soustraction laculaire et stenosant d'une
adenocarcinoma du colon descendant sigmoidienne .
Lavemant baryte mono de contrast |
| |
 |
|
 |
| |
Image radiologique de lavement
baryte en mono de contrast avec aspect de soustraction
stenosant irreguliere d'une adenocarcinome du colon
sigmoide . La bord de la portion stenosant est tres
irregulie et durcissement . |
|
Aspect de stenose excentree
d'une adenocarcinoma du colon sigmoide ( fleche
rouge ) . Lavement
baryte en double de contrast . |
| |
 |
|
 |
| |
Image de soustranction d'une
adenocarcinome du colon descendant : Aspect
stenosant en trognon de pomme d'une portion du colon
. Image du colon descendant en double de contrast |
|
Image stenosant excentrique
( fleche rouge )d'une adenocarcinoma du colon
sigmoide . Sa bord est trres irreguliee , un peu en
diurcissement . Lavement baryte en double de
contrast |
| |
 |
|
 |
| |
Adenocacinome du
colon ascendant , angle colique gauche . Aspect
soustraction en forme stenosant regularite
centrale d'une portion du colon droit du tumeur .
Technique de lavement baryte en double de contrast
se donne de image tres net reel de la face interne
du portion lesionelle |
|
Adenocarcinoma du colon droit :
Image stenosant en circonferentiel a aspect
" trognon de pomme " du colon ascendant
avec bord tres irregulierement . Lavement baryte mono de
contrast du colon transverse |
La TDM technique de tres frequemment d'utilise pour explore
des tumeur colo-rectale et les metastase . Aspect
radiologique frequemment est image de stenose irreguliere
d'une portion du colon , ou aspect stenosant en " trognon de
pomme " . Au caecum a spect radiologique parfoi est image en
laculaire ou bourgeonnante .
| |
 |
|
 |
| |
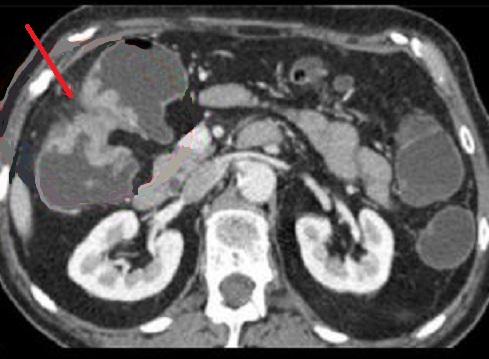
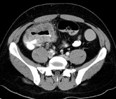
Aspect stenosant
d'une adenacarcinoma de anglecolique droit du colon
( fleche rouge ) . C'est image de epaissisement
stenosant symetrique a hyperdense d'une portion du
colon avec bord tres irrgulierement ( stenose
ireguliere) . Image
radiologique du colo CT a l'eau , coupe axiale |
|
Meme cas
en coupe sagitale . Image radiologioque de coloCT a
l'eau en coupe sagitale . |
| |
 |
|
 |
| |
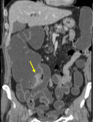
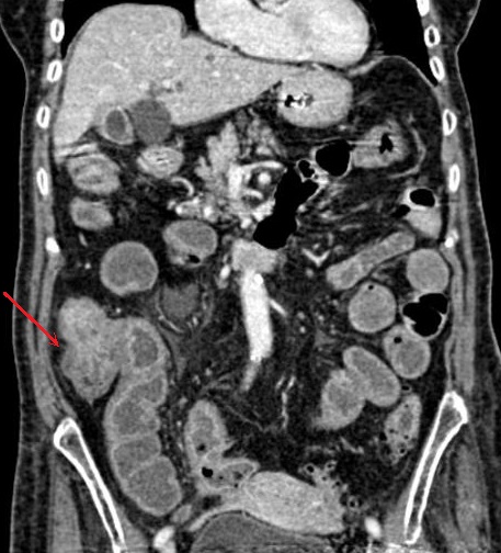
Aspect bourgeonnant
hyper-dense d'une adenocarcinoma du ceacum ( fleche
jaune ) . Image radiologique TDM en coupe coronale (
frontale ) . |
|
Même cas en coupe sagitale .
Aspect de masse du tumeur est bourgeonnant
hyper-dense intraluminale a bord irregulier (
fleche jaune ) |
| |
 |
|
 |
| |
Adenacoarcinome stenosant
angulaire du colon droit . Image proliferative
symetrique a bord irregulier d'une portion de angle
colique droite . Image radiologique TDM en
coupe coronale |
|
Image coloCT a l'eau en
coupe axiale : Adenocarcinome stenosant en forme " trognon
de pomme "du colon sigmoide |
| |
|
|
|
| |
 |
|
 |
| Image radiologique TDM
en coupe axiale d'une carcinome colloide ( mucinous
carcinoma )du colon ascendant . La
difference de carcinome colloide est image de
epaissise irreguliairement non stenosant d'une
portion du colon . |
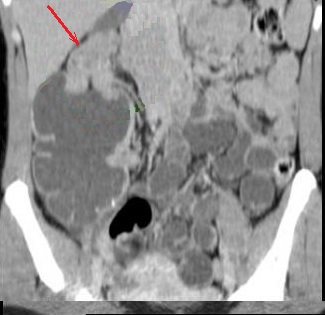
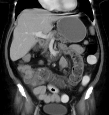
Adenocarcinome du caecum :
Mass hyper-dense en bourgeonante non
homogene du caecum ( fleche rouge ) . Image
radiologique TDM en coupe coronale . |
| |
|
Aspect macroscopique du colonoscopie , sigmoidoscopie
et coloscopie virtuelle d'une adenome carcionoma du colon .
| |
 |
 |
 |
 |
|
| |
Aspect macroscopique de
coloscopie d'une adenocarcinoma du colon |
Aspect d'une
autre cas de adenome carcinoma du colon . Image
macroscopique d'une sigmoidoscopie |
Coloscopie virtuelle :
Image d'une polyp a sessile du colon . Tech nique
qui peut detecte des polyp a plus de 7 mm de
diametre |
Image radiologique du
coloscopie virtuelle
d'une adenocarcinome du colon . Technique
d'exploration du colon a non invasive |
|
| |
|
|
|
|
|
Le stade d'une cancer colorectal au moment de
diagnostic peut en etre verifie et explique par le
tableau de classification TNM suivant :
|
Tumeur |
| T1 : Envahit la muqueuse |
| T2 : Envahit la musculeuse |
| T3 : Envahit la graisse
perirectale ( meso) |
| T4 : Envahit víscere de vosinage |
|
| Stades |
| I |
T1 T2 |
N0 |
M0 |
| II |
T3 T4 |
N0 |
M0 |
| III |
T1 a T4 |
N1 a N2 |
M0 |
| IV |
T1 a T4 |
N0 a N2 |
M1 |
|
|
| Ganglion |
| N0 : Pas de ganglion envahis |
| N1 : Envahissement de 1 a 3
ganglions |
| N2 : Envahissement de plus de 4
ganglions |
|
Correspondance stade TNM et I a IV |
| Metastase |
| M0 : Pas de metastase |
| M1 : Metastase |
|
|
Et ce qui peut en resume suivant :
| |
Stade 0 : Tumeur est en situ , ce qui
signifie qu'elle est tres superficielle et qu'elle
n'envahit pas la sous
muqueuse |
| |
Stade I : Tumeur envahit la
deuxieme couche ( sous-muqueuse ) ou la couche
musculaire de la paroi du colon |
| |
Stade II : Les cellules cancereuses
sont invasive plusieures de couches de la paroi du
colon ou rectum |
| |
Stade III : Les cellules
cancereuse ont envahi les ganglions lymphatiques
proches de la tumeur . |
| |
Stade IV : Le cancer se propage au
de la du colon . vers des emplacements ou des
organes eloignes , foie , poumon... |
| |
|
| |
 |
Image radiologique TDM et image de PET/CT des
adenocarcinomae du colon en extension localise et extension
metastasique :
Fin
Page :
1
/
2
/
3
/
4
/
5
/
6
/
7/
8
<<
PREVIOUS
<<
RESUME >>
Gs Bui Binh Tho
|