|
-
- Lesions
vasculaires ( colites ischemique
) : C'est etat de mauvaise de
vascularisation et oxygenation dela paroi du colon ce qui
entrainant la mort des tissus .
| |
- Cause le plus souvent sont
thrombose arterielle ( atherosclerose ) , embolie
arterielle , thrombose veineuse , faible de debit
cardiaque ( hypotension , cardiac arryhtmias ) ,
certaine medicament : osteoprogestatif , , les
antiflamations non steroidienne ..et radiation
therapy |
| |
- Clinique : Douleur
abdominale le plus souvent a gauche |
| |
Rectorragie |
| |
Complication de necrose et perforation |
| |
Peritonite |
La contamination bacterielle peut se entraine de
colite pseudomembraneuse . Complication est ulceration et
perfore parfois se presente . Il yavait 15- 20% des cas est
gangreneuse et 80-85% est reversible ou colite chronique et
fibrose .
Image radiologique ASP du colite ischemique
est image de : Dilatation ileus du colon , Signe de
empreinte de pouce , intramural aerique dans cas necrose de
la paroi , image de croissante gaszeuse sous diapragmatique
dans cas perfore .
| |
 |
|
 |
| |
Image radiologique ASP
d'une colite ischemique : Image empreinte en
doigtier sur le colon trans verse et colon
descendant |
|
Image de aerique du colon et
image en empreinte de pouce ( fleche noire ) . du
colon transverse et colon descendant |
| |
 |
|
 |
| |
Complication de pneumatosis du
colon parfois se presente : Image de couche de air
intra -parietale du colon ( fleche blanche ) . |
|
Complication de perfore et
peritonite dans les cas graves parfois se presentent
. Image de croisante gaseuse sous diapragmatique
droit d'une colite ischemique perfore |
Image radiologique de lavement baryte du
colite ischemique est empreinte du doight par epaisissement
oeudemateuse des haustral du colon , image de
spasme du colon + ulceration en forme scie ou image de
stricture par fibrosis du colon .
| |
 |
|
 |
| |
Image radiologique de
lavement baryte du colon transverse : Image de
empreinte de pouce du colon se voyait si net au
colon transverse ( fleche rouge ) avec image
d' augementation de contraction du colon |
|
Image de stricture fibrosis
cu colon descendant avec image d'ulceration en forme
de scie de sa muqueuse . Lavement baryte mono de
contrast de face |
| |
|
|
|
| |
|
|
|
Aspect TDM une colite ischemique est :
lesion segmentaire regionale , Epaissisement de la paroi du
colon en symetrique ou lobulaire , stricture irreguliaire
segmentaire du colon ., oedeme de la muqueuse en forme signe
de cible " target sign ", presente de gas intramurale ou a
la veine porte , thrombus de artere ou veine mesenterique
superieur .
| |
 |
|
 |
| |
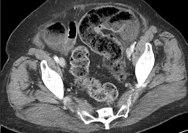
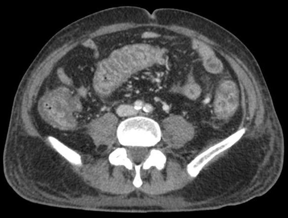
Aspect TDM une colite
ischemique avec image de gas intramurale du colon
sigmoide . Image radiologique TDM en coupe axiale a
travers sacrum S2 |
|
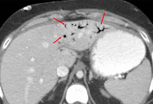
La presence de
gas au systeme portal intra hepatique dans colite
ischemique . Inmage radiologique TDM en coupe axiale |
| |
 |
|
|
| |
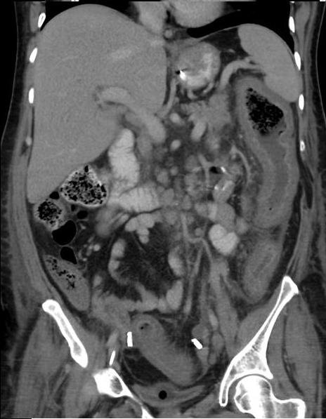
Epaissisement
stenosante de la paroi du colon descendante , Image
radiologique TDM en coupe coronale d'une colite
ischemique |
|
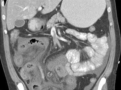
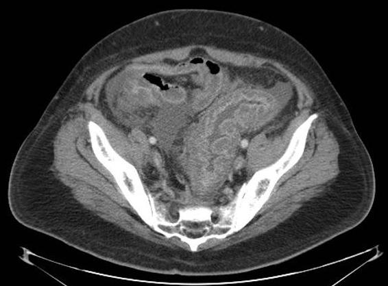
Epaissisement de la paroi du colon
d'une colite ischemique du colon transverse . Image
radiologique TDM en coupe axiale . |
| |
 |
|
 |
| |
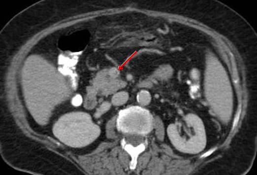
Image une thrombus intraluminale de
artere mesenterique superieure d'une colite
ischemique . Image radiologique TDM en coupe
axiale |
|
Image de la
thrombus de la veine porte . Complication d'une
colite ischemique |
Angiographie
peut etre se presente la occlusion de artere mesenterique
, la diminution de la calibre arterial et dans les thrombose
du veine mesenterique , la veine peut ne se voyait pas mais
elle se represente par des veines collaterales .
| |
 |
|
 |
| |
Image de occlusion de artere
mesenterique superieure avec de diminution de
calibre arteriale ( fleche rouge ) |
|
Image de thrombose de la
veine mesenteric superieure . Aspect de congestion
une portion de l'intestin |
Aspect echographique percutanee d'une colite ischemique est
: Epaissisement hypo-echogene de la paroi du colon en
segmentaire . Masse ou aera de hyperechogenique en cas
hemorrage .Hyper-echogenique foci en cas de presente de gas
intra-parietale ( pneumomatose ) .
| |
 |
| |
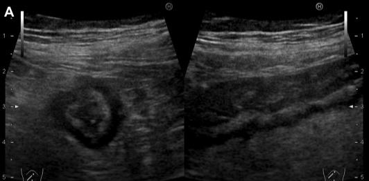
Image echographique colon descendant :
Aspect epaissisement oedemateuse hypo-echorich de la
paroi du colon
|
| |
 |
| |
Et image de hypo-vascularisation du colon
. |
. . Diagnostic radiologique differentielle avec :
Colite ulceree ( ulcerative colitis )
Colite pseudomenbraneuse
- Colite pseudomembraneuse
: Ou bien colite de Clostridium difficile ( CDI )
, c'est inflamation du colon due a une infection a suite un
traitement de antibiotique prolonge et ce qui est tres particuliairement par la presence de petites membranes dans
les selles . La presence de toxin " Clostridium difficile "
dans les selles c'est la marquer pour diagnostic . La colite
de Clostridium difficile de type iatrogenique apparait dans
une periode de 3 jour au debut de la prise de antibiotique ,
jusqu'a un mois apres l'arret du traitement . Clinique est :
Douleur abdominale , fievre , diarrhee des selle qui
conntient des petites membranes de muqueuse intestinale .
Nausee , vomissement et baisse de l'etat general se
presente dans les cas graves .
Image radiologie ASP du colite
pseudomenbraneuse c'est image de dilataion du colon
avec epaissisement de la paroi et des haustrals du colon et
ce qui entrainent de image de empreine de pouce "thumbprinting
" sur le colon . Dans les cas grave image de toxic-
megacolon est en presence . Complication de perfore parfois
se voyait .
| |
 |
|
 |
| |
Image ASP de face de l'abdomen
. : Image empreint de pouce du colon transverse et
colon descendant .Colite pseudomenbraneuse |
|
Colite pseudomembraneuse :
image empreinte de pouce du colon transverse |
| |
 |
|
 |
| |
Image radiologique ASP en decubitus dorsale : Toxic
megacolon par colite ulceree , la colon transverse
et une partie de colon descecdent est dilate et sa
paroie est perdre des haustrals |
|
Colonic distension d'une
toxic megacolon complication d'une colite pseudomembraneuse et hemorragique . Lesion est
tres grave par la presence des eruptions de la muqueuse du colon ( fleche noire ) . |
Aspect radiologique de
lavement baryte d'une colite pseudomenbraneuse est
en voyait comme image de plain cliche de l'abdomen . Par la
presence de TDM et par le risque de perfore du colon , cette
technique est en diminution de l'indication
Aspect radiologique TDM
d'une colite pseudomenbraneuse est image de : epaississement
du paroi du colon , image de accordeon " accordion sign " ,
aspect en scie de la muqueuse du colon , peritoineal ascites
tres frequement dans 40% des cas .
| |
 |
|
 |
| |
Colite pseudomembraneuse :
Epaisissement de la paroie et des haustrals du colon
ascendant et descendant se forment en aspect
empreinte de pouce au bord du colon . Image
radiologique TDM en coupe coronale |
|
Epaisissement de la paroi du
colon descendant avec aspect en scie de la muqueuse
du colon . Image radiologique TDM du colon en coupe
coronale . |
| |
 |
|
 |
| |
Colite pseudomembraneuse :
Image en accordeon du colon sigmoide , ce qui
enforme par les haustrals oedemateuse du colon avec
la pseudomembrane |
|
Image epaissisement du
colon sigmoide d'une colite pseudomembraneuse . TDM
en coupe axiale |
Page :
1
/
2
/
3
/
4
/
5
/
6
/
7/
8
A suivre
<<
PREVIOUS
<<
>> NEXT >>
Gs Bui Binh Tho
|