|
Anormalie congenitale du colon ( a suivre )
-
Atresie congenitale du
colon :
L’atrésie colique est une malformation congénitale rare.
Elle se définit par l’absence congénitale de lumière dans le
côlon. Elle ne représente que 1,8 à 15% de l’ensemble des
atrésies intestinales . Association à une atrésie du grêle
est exceptionnelle . Image radiologique de la cliche de face
ASP thoraco-abdominale est aspect de image de
distendue du colon occlusive bas , image hydroaerique de
type colique et espace de vacuitee pelvienne . Image
radiologique de lavement baryte presenter la portion de
atresie de type I ou II .
-
Anormalie de rotation du colon : Voie intestinal
malrotation **.
-
Imperforation anale :
L’imperforation anale ou « malformations anorectales (MAR)
», désigne de malformations congénitales affectant
l’anus et le rectum. Ces anomalies en presence par une
ouverture anale trop petite , totalement absente anus
(imperforation anale).ou le rectum ne peut pas être
relié à l’anus (atrésie anale) ou communiqué avec les voies
urinaires ou génitales (fistules) . Elle se presente a
incidence 1/5000 chez les nourrisons et souvent en
association avec les autres anormalies : atresie de
l'oesophage , triad de Currarino * ,VACTEL ** anormalie ...
Techniques radiologiques utilise dans imperforation anale
sont : cliche ASP de face ou de profile , invertogram
, echographie percutanee , la CPR ( cysto-pyelographie
retrograde ) et IRM .
Cliche ASP de face et de profile : Image radiologique
le plus souvent est image de dilatation distendue du colon
avec image de vacuite pelvienne . Dans cas de fistule de
voie urinaire on peut se retrouve de image de la presence de
l'air dans la vessie et tache de calcifie de meconium dans le
colon .
| |
 |
|
 |
|
| |
Image radiologique ASP de
face d'une imperfoaration anale cher une nourrison
avec aspect de dilatation gazeuse tres distendue du
colon transverse et colon descendant et de ileon .
Le foie et deux coupole diaprgahmatique sont tres
elevees . Cliche de face ASP , decubitus dorsale |
|
Une autre cas de
imperforation anale avec cliche de profile decubitus
ventral position"priera Mahometa" avec rayon central
expose horizontale . La colon sigmoide est distendue
en plein de gaz |
|
Invertogram : Technicque
radiologique sans preparation a position
inverse ( voie image ) avec cliche expose de face et
de profile . Une piece de metal etre place en dehord de anus
. Il y avaite deux forme de malformation : les hautes ( 55%)
s'il la distance du cul de sac du colon terminal a l'anus
depasse de plus > 2 cm , ce type est souvent en associe avec
les autres malformations : urogenitale ( fistule ) ,
rachidienne ( spina malformation ) et cardiaque . Les basses
( 45%) s'il la distance du cul de sac et anus est a moindre
< 2cm et ce forme avait de bon prognostic que la forme
haute
| |
 |
|
 |
|
| |
Le nouveau ne se met en
position inverse a profile et une piece de metal
etre en place au milieur des deux fesse pres d'anus
. Le cliche doit expose seul apres trois
minute de repose a cette position |
|
Cliche de profile en
position " priera Mahometa " . Le rayon X central
est enplace a horizontal , la cassette est place
perpendiculaire avec la table ( voie en image )
. |
|
| |
 |
|
 |
|
| |
Invertogram d'une
imperforation anus . Image de receuillir a position
inverse on peut en verifie la distance entre
image de distendue gazeuse du cul de sac du colon
avec orifice externe de l'anus ( repair metalique )
. |
|
Invertogram d'une
imperforation anal en position decubitus " priera
Mahometa " , Rayon X central est place horizontal
parallelique avec le plan de la table |
|
| |
 |
|
Il y a deux forme ( type ) de
imperforation anale :
- Forme haute ( 55%) : si la distance
entre le cul de sac inferieure du colon et
orifice externe de l'anus est de plus > de 2cm
et cette forme est souvent presenter en associe
avec les autres malformations :
urogenitale , rachidienne et cardiacque
- Forme basse ( 45%) : se verifie par la
distance entre cul de sac du colon et orifice
externe de l'anus est inferieuse de < 2cm de
distance . Cette forme avait de bon prognostic
de normalisation du transit
|
|
| |
Cliche face d'une
imperforation d'anus |
|
|
|
Echographie
transcutanee : Technique de tres utilise pour verifele
canal de l'anus et la cul de sac inferieure gazeuse du colon
Technique radiologique
urethro-cystographie retrograde ( CPR ) : technique de
base pour verifie les fistules recto- vesicale de la vessi
| |
 |
|
Image radiologique CPR d'une
imperforation anale de type haute en association
avec fistule recto-vesicale . La fistule est situe
, a posterieure de l'urethre et inferieuse de la
prostate . |
|
| |
|
|
|
|
La IRM : Technique d'utilise pour explore
l'etat de la region perinee , de fistule rectovesicale ,
fistule recto-vaginal et a surveille pre/post opperatoire .
Maladie inflamatoire du colon
-
Maladie de Crohn : C'est etat inflamation chronique
du tube digestif de duodenum , jejunum a ileon , mais le plus souvent a la region ileon ,
ileo-coecale et du colon ,ce qui se presente a tout age et
evalue par pousse . Sa cause reste mysterieure , la douleur
abdominale , les diarrhes sont des signes de debut .
Complication scerosant , fistule et abces sont le plus souvent au stade tardive .
Au parietale du colon , c'est lesion epaisisement parietale
, stenose et ulceration . Lesions extraparietales sont
etat sclerolipomatose extraparietale , signe du peine
, fistules , atteint ganglion mesenterique et abces
Aspect imagerie du maladie de Crohn :
Image
radiologiqe ASP du maladie de Crohn est image de
epaissisement de la paroi du colon avec image empreindre de pouce .
Image radiologique
de lavement baryte du maladie de Cronh est : Au stade precoce : C'est
image de ulceration aphtoide du colon et lesions nodulaires
en associees . Au stade tardif image de stenose serre du
colon et ileon ou de l'intestin grele en segmentaire ,avec image de fistule ou image
de sacculaire peut se voyait et l'intestin en amont est
dilate .Aspect echographie percutanee
du colon dans maladie de Crohn est image epaissisement de la
parietale du colon et image de complication abcesde de la
paroi du colon .
| |
 |
|
 |
| |
Lesion
epaissisement parietale et stenosant en segmentaire
de l'intestin de partie ilio - coecum , colon
sigmoide et recto sigmoidienne . |
|
Lesion inflamation
transmural avec ulceration en fissures et
infiltration graisseuse intramural et mesentrique du
maladie de Crohn . Epaissisement de la paroi et
complication stenosant du colon et de l'intestin est
en frequemment . |
| |
 |
|

Aspect ecographique une abces entre deux anses du
grele dans une maladie de Crohn . En haute de
frequence on peut voyait image de epaissisement de
la paroi du colon ou ileon terminale . |
| |
Image radiologique ASP du maladie de
Crohn est image d'epaissisement de la paroi du colon
avec images de empreintes de pouce . Cliche ASP de
face |
|
Complication
peritonite perfore en presence de liquide intra-peritoneale
parfois se voyait par cette technique . |
| |
 |
 |
 |
| |
Maladie de Crohn ileo-colique
: Lesions nodulaires sur le colon transverse et
ceaco-ascendant Image radiologique de
lavement baryte en double de contrast |
Aspect d'ulceration aphtoides sur
le colon transverse et sigmoide ( fleche noire ) ;
|
Image stenose et lesion
ulcere en fissure de ileon peut voyait si net
sur le lavement baryte en double de contrast du
colon . |
Aspect endocopique du
maladie de Crohn au stade precose est image ulceration
aphtoide de ileon et image de lesions nodulaires du colon
| |
 |
|
 |
| |
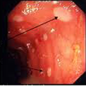
Aspect macroscopique du lesions nodulaires
du colon du maladie de Crohn . Image endoscopie du
colon . |
|
Lesions
d'ulceration aphtoide precoce du colon transverse et
colon sigmoide du maladie de Crohn : Image
fibroscopie du colon . |
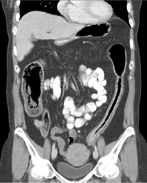
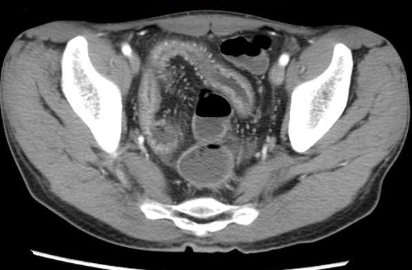
. Image TDM du maladie de
Crohn dans phase aigue est image
de epaissisement parietale avec oedeme sous muqueuse
discontinunite et signe de peigne " comb sign ". En phase
chronique cicatricielle ,aspect radiologique est image
epaissisement homogene de la paroi avec infiltration graisseuse parietale ou mesenterique
en forme de image de cible " fat halo sign". Stenose ,fistule et
abces sont des images de sa complication .
| |
 |
|

 |
| |
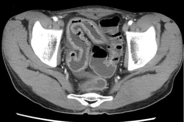
Stenose epaisissement colique
gauche et sigmoidienne avec halo graisseux d'une
maladie de Crohn . Image de hypervascularisation et
infiltration de la graisse sous-muqueuse , aspect en
peigne " Comb sign ". Image TDM en coupe coronale |
|
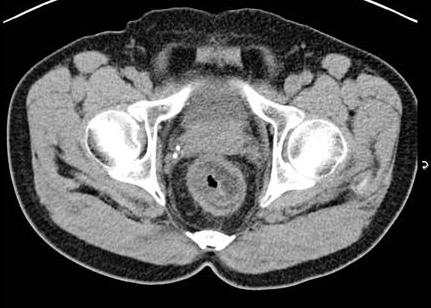
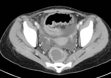
Image de
hypervascularisation " Comb sign " et epaissisement
de la paroi du ileon se voyait si nette sur les
coupe TDM axiale |
| |

 |
|
 |
| |
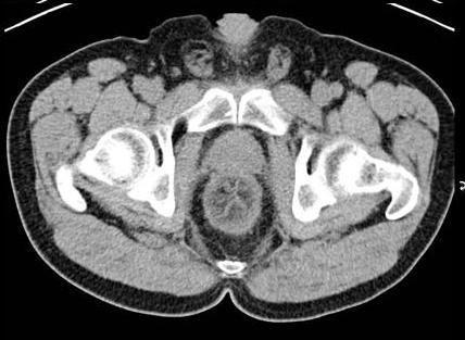
Maladie de Crohn du rectum .
Image epassisement du rectum avec infiltration de la
graisse entre la couche sousmuqueuse et la
couche muscculaire . Ce qui forme en
signe de halo " fat halo sign " |
|
|
Image
radiologique IRM est l'epaissisement parietale
et cette technique c'est le bien pour localisatrice de
lesion . La T2 avec TE court peut
caracterise de l'epaissisement de paroi de l'intestin , de
la differenciation
complex muco-sous muqueux et recherche de oedeme sous muqueuse
. La T1 fatsat peut utilise pour recherche des fistules ,des lesions inflamatoires , lesions fibreuses et des pseudo-polyp
.
| |
 |
|
 |
| |
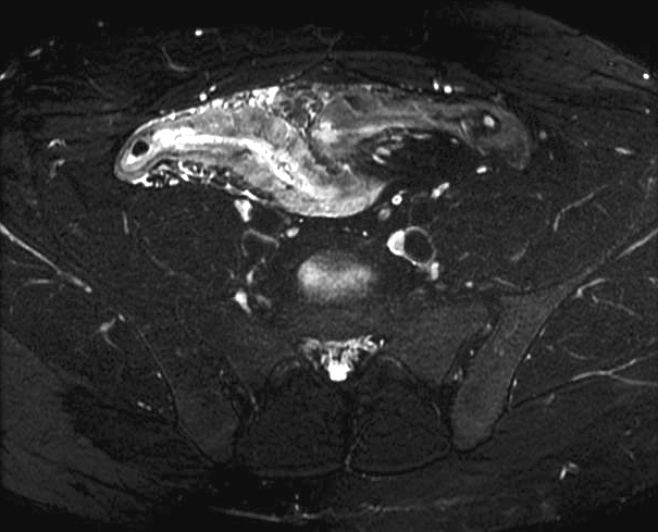
Image IRM en coupe axiale T1
fat sat du maladie de Crohn . Epaissisement de la
paroi du colon avec infiltration graisseuse
extramurale du colon . |
|
Lesion epaissisement de
l'intestin , aspect hypervascularisation en peigne
et fistule entero-vesicale . Infection urinaire
recidivante avec epaissisement de la paroi du vessie
. Image IRM en coupe sagitale . |
-
Colite ulcereuse ( ulcerative colitis )
:
.Maladie ulcero-inflamatoire colique au niveau
seul de la muqueuse
et sous muqueuse du colon , debut de rectum de lesion ulceration ou
pseudopolyp pas de epaissisement parietale et s'etendre sans
intervalle de muqueuse saine . Presence de 20-25 ans avec
diarrhee mucoide et sanglante intermitteente a long courte ;
risque d'evolution cancereuse dans les cas pancolites .
La maladie est souvant en association avec
cholangite sclerosant , spondyartrite transkylosant , et
colo-rectal carcinoma .... Trois aspects lesionnels simultanes ou successivements sont :
lesion congestif , lesion ulcereux et ulcero-proliferatif .
| |
 |
|
 |
| |
Lesion au debut de rectum et
s'etendre vers colon sigmoide et descendant |
|
Lesion ulceration et
pseudopolyp avec pas de epaissisement parietale |
Aspect macrosopique du coloscopie d'une colite
ulceree ( RCH ) typique
| |
 |
|
 |
|
 |
| |
Colosscopie du colon : Image
macroscopique normale |
|
Stade precoce : Lesion
congestif ( oedemateuse ) |
|
Lesion ulcereux
|
| |
 |
|
 |
|
Aspects macroscopiques
typiques du colite ulceree ( ulcereative colitis )
du colon recto-sigmoide . |
| |
Lesion ulcereux : stade
evolutive |
|
Forme grave : lesion
ulcero-proliferatif nodulaire |
|
|
Image
radiologique de lavement baryte en double de contrast d'une
colite ulceree ( RCH )
| |
 |
|
 |
| |
Aspect granitee de la muqueuse au niveaux
du rectum et du colon gauche au cours une
rectocolite hemorragique . Image lavement baryte en
double de contrast du colon . |
|
Aspect de
granite de la muqueuse du colon descendant avec de perdre
de haustral d'une colite ulcereuse. Le colon sigmoide est en forme de
tubules et de micro rectum " lead pipe colon " .
|
| |
 |
|
 |
| |
Stenose serre en ficele de la jonction
colo-sigmoidienne et aspect microrectosigmoide en
tubule . Cancer du colon complicant d'une
rectocolite hemorragique . |
|
Stenose
polypoide sur un micro colon tubuleaire d'une cancer du
colon compliquant une colite ulceree (RCH) . |
| |
|
|
|
Aspect
TDM d'une colite ulceree ( ulceretive colitis ) .
Aspect
IRM du colite ulcere
| |
 |
|
 |
| |
Aspect IRM d'une colite
ulceree est image de epaissisement de couche mediane
de la paroi du colon . Generalement la couche
mediane de la paroi du colon est a moindre de 3mm ,
de 3-4mm est restricle " gray zone " et de plus >
4mm est pathologique . |
|
Et le plus souvent est la
perdre de haustral du colon et la colon sigmoide est
en forme tubule |
Diagnostic differenciel avec colite
pseudomenbraneuse et maladie de Crohn
Page :
1
/
2
/
3
/
4
/
5
/
6
/
7/
8
A suivre
<<
PREVIOUS
<<
>> NEXT >>
Gs Bui Binh Tho
|