|
-
Les
Occlusions de l'intestin grele : Occlusion
intestinale c'est etat arrete des gaz et des selles et
ce qui avait plusieure de mecanisme pour expliquer la survenue des
occlusion . Les cause de occlusion intestinale sont :
| |
- Occlusion par ileus paralytique :
Occlusion fontionelle lie de prise de certaine
medicament ou apres une intervention chirugicale (
ileus reflex ) ... |
| |
- Occlusion par obtruction
mecanique : |
| |
- Les obtacles d'origine parietale : Les tumeurs
cancereuses du grele ou de la valvule Bauhin , les inflamations chroniques : maladie
de Crohn , tuberculose , invagination ileio coecale
et invagination de la diverticule de Meckel ,
enterite radique ou hematome parietale
|
| |
- Les obtacles d'origine intraluminale : Les calcul
de la vesicule biliaire , les bezoard ,parasitose , |
| |
- Les obtaclle d'origine extraluminale : Par
volvulusdu grele , par bride cicatricielle , par invagination et par
strangulation d'une orifice ( hernie etrangle ) |
.Les
techniques radiologique des occlusions intestinales sont :
Les ASP en debout ou en decubitus lalerale , la CT scanner
et echographie percutanee .
- Aspect radiologique ASP
de occlusion de l'intestin aigue : Dilatation de l'intestin en amont
de l'ostacle . Images
hydro-aeriques au centre de l'abdomen et situe en escalier et
sa largeur est plus de sa hauteur . Perdre de image aerique
en aval de l'ostacle . Les plies muqueuse de l'intestin est
multiple et en image de chapelet . Aspect radiologique de
paralyse de l'intestin c'est image de dilatation etendue de
l'intestin grele et de la colon .
 |
|
 |
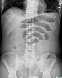
| Aspect radiologique ASP
de occlusion intestinal : Image hydro-arerique
des anses de l' intestin dilate et isolee au milieu de
l'abdomen . Les plies muqueuse de l'intestin sont
multiple et image de vide en aval de l'obstacle (
n'as pas image de air dans la region pelvienne ) |
|
Image en escalier typique de
occlusion de l'intestin grele . L'intestin est tres
dilate depasse 36mm de diametre et les niveaux hydrique se situe en
escalier
au milieu de l'abdomen . |
 |
|
|
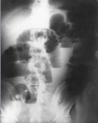
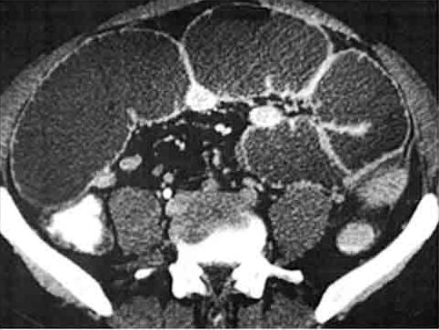
| Occlusion de l'intestin grele
avec image hydro-arerique du cadre intestinale est
en particuliairement que sa largeur est tres
etroite que la hauteur .et image de
transitionelle Region pelvienne est vite (
n'as pas de air intestinale ) . |
|
Image hydro -aerique en
escalier et sa largeur est tres etroite que la
hauteur . Occlusion de l'intestin grele , |
 |
|
 |
| Occlusion du
colon : Les images hydro-aerique se situe autour de
l'abdomen et sa hauteur est de plus de la largeur . |
|
Image en
chapelet de l'intestin : Une aspect tres
particuliairement de l'occlusion de l'intestin grele
( fleche rouge )
. Cliche de face ASP debout |
 |
|
. |
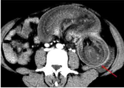
| Occlusion de
l'intestin grele de la portion ileo coecale
: Image de dilatation intestinale en amont de
l'obstacle et image hydro-aerique multiple de
cadre intestinale se situe au
milieu de l'abdomen : |
|
Meme cas en
decubitus dorsale . Aspect radiologique est resemble
que ileus paralytique ( occlusion paralytique ) de
l'intestin |
Diagnotic
radiologique possible de occlusion de l'intestin grele
sur les cliches de ASP peut en resume :
| |
- Il y avait de plus de deux image hydro-aerique
sur le cliche ASP de face en debout |
| |
- Le nombre de cardre intestinale dilatee
est depasse plus de 2,5 fois que les cardres
non dilate et sa diametre depasse plus de 50% de
diametre du colon ( > 36mm) |
| |
- Le niveau hydro-aerique sur une meme
cardre avait une difference de plus de 2,5cm |
| |
- Les images hydro-aerique sont situe en
escalier et au millieu de l'abdomen |
| |
- Aspect particuliairement des plies
muqueuses intestinale peut utilise pour diagnostic
differentielle avec des occlusions du colon |
| |
|
La CT scanner coronale
y avait le role importante dans diagnostic des
occlusion intestinale aigue :Y avait il de occlusion ? , la degree de occlusion ,
la situation de obstacle , la cause et les complications .
| |
Aspect radiologique TDM de occclusion de l'intestin
grele est : |
|
| |
- Occlusion fonctionelle : Image de
distention aerique diffuse . Peu ou pas de niveau
hydro-arerique et faible de retention liquidienne .
Absence de niveau transstionnel |
|
| |
- Occlusion par obtruction
mecanique : Image de distension aerique de
l'intestin en segmentaire avec diametre de
l'intestin en amont depasse 2,5cm et image de
collabee de intestin sous lesionelle . Avec technique
radiographie CT enteroclyse ou par ingestion baryte
, occlusion totale quand le contrast n'as pas
depasse l'obtacle apres de 3 - 24 h et n'as pas de
contrast dans l'intestin sous lesionelle .Parfois il y avait image de feces dans intestin en
amont pres de l'obtacle . Sur les sub-occlusions
l'obtacle peut se voyait et la contrast se presente
dans l'intestin sous lesionelle . |
|
| |
: |
|
- Diagnotic etiologique des occlusions
intestinales aigue peut etre verifie par des images de
TDM :
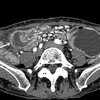
- Occlusion par bride ou adherence :
C'est etat de occlusion de l'intestin par des brides et de
adherence , souvent se presenter post operatoire . Image
radiologique dominant est : Signe du bec de
l'obtacle + dilatation intestinal en amont avec
signe de feces ( image de feces en amont pres de
l'obtacle )
 |
|
 |
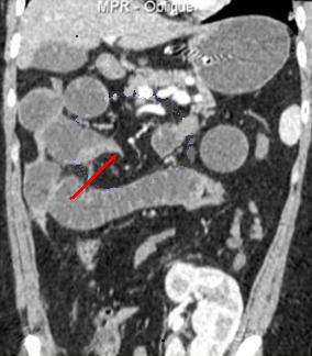
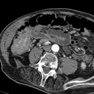
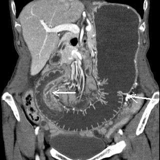
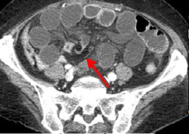
| L'occlusion par bride et
adherence represente de 50% des occlusions
intestinales . Aspect TDM particuliairement est
image de bec des oiseaux ( fleche rouge ) au niveau
de l'obtacle . Image de distension de l'intestin sus
- lesionelle et image hydro-aerique transitionnel .
L'intestin sous -lesionelle est collabe totale |
|
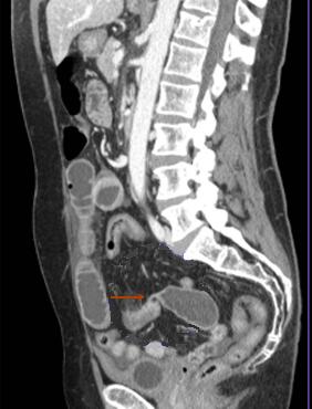
Image TDM en coupe
sagitale : Occlusion de l'intestin aigue avec
signe de bec de oiseaux ( fleche rouge ) et
dilatation intestinale en amont et signe de feces (
retention de feces au niveau de l'intestin sus -lesionelle |
 |
|
 |
| Schema une bride adherence de
l'intestin dans occlusion intestinale aigue . |
|
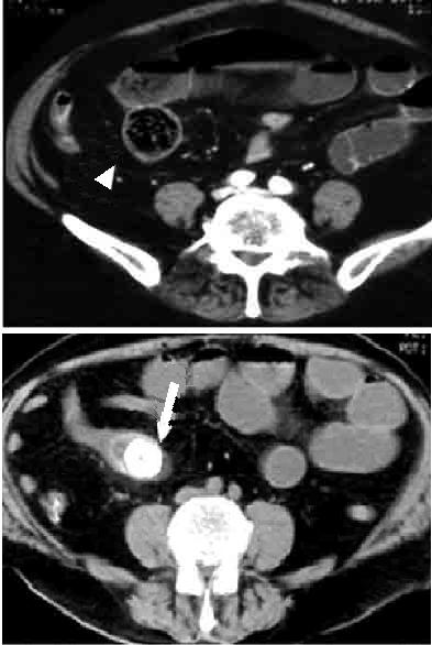
Image TDM en coupe axiale :
Signe de feces' c'est la retention de fesce dans la
portion sus -lesionelle de l'intestin ( fleche
blanche ) . |
| |
|
|
-
Occlusion par volvulus du grele : Aspect
radiologique est : Signe de
tourbillon ou " whirl sign " de l'obstacle + anse de
l'intestin dilate en U ou en C
- Occlusion ileus biliaire : Image
radiologique TDM souvent est aspect de
distention de l'intestin en amont et image du corps
de calcul biliaire . Triade de Rigler : aerobilie par
fistule bilio-digestive , occlusion de l'intestin et calcules
biliaire ectopicques
- Occlusion
par invagination : Image de
oignon de l'obtacle + Image distention de
l'intestin en amont
 |
|
 |
| Schema une invagination ileo-
colique : Une partie de ileon depasse la vavule de
Bauhin et invagine dans le colon |
|
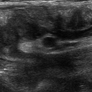
Image echographique
d'une invagination ileo-colique sur adenocarcinoma
du colon droit . Coupe tranverse . |
 |
|
 |
| Meme cas en coupe
longitudinale du boudin d'invagination . |
|
Boudin invagination
ileo-coecale du tumeur villeuse ( fleche rouge
) resoponsable une occlusion . Image TDM en coupe
axiale . |
 |
|
 |
| Image TDM en coupe axiale : Invagination
ileo- colique |
|
La vue coronale
de TDM montrant la cause de l'invagination : Lipome
du grele de grand diametre
|
| |
|
|
- Occlusion des hernies inguinales etranglees :
Aspect radiologique de occlusion des hernies etranglee est
image de l'obtacle se situe a la region inguino-scrotale (
hernie crurale ou hernie au dessus de arcade crurale ) , au
trous obturateurs ou a la ligne blanche + Image de
distention de l'intestin en amont de l'obtacle
 |
|
 |
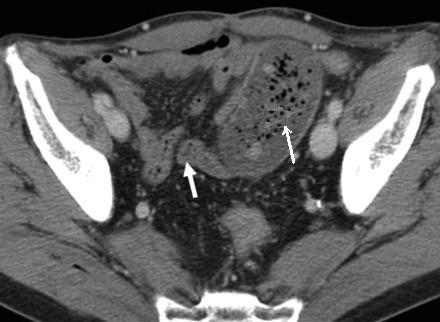
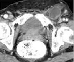
| Hernie inguinale etranglee : Image TDM en
coupe axiale a travers L5 |
|
Hernie
inguinale etranglee : Meme cas en coupe axiale a
travers symphyse pulbienne |
 |
|
 |
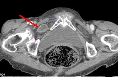
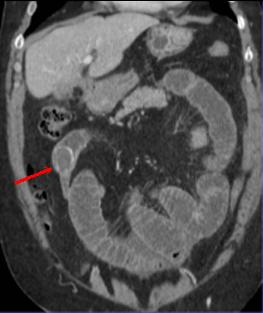
| Hernie inguinale etrangle : Image
d'engage du grele dans fossette inguinale
moyenne + image de distension de l'intestin au
dessus de l'obstacle ( fleche rouge ) . |
|
La TDM est tres
l'interet de presiser facilement le type de hernie :
hernie inguinale direct etrangle avec image de grele
en de dans des vaisseaux epigastriques .La TDM peut
differentiele avec les autres masses de la region
scrotale . |
 |
|
 |
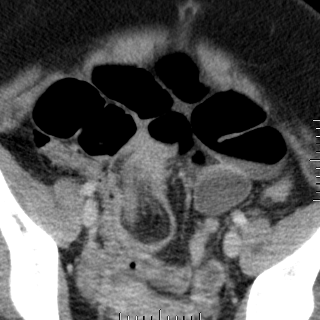
| Hernie obturatrice etranglee : Image du
grele engage dans orifice interne du canal sous-
pubienne . Image CT scanner en coupe axiale . |
|
Meme cas en coupe TDM
sagitale |
| |
|
|
- Occlusion par les tumeurs :
Image laculaire ou polypoide ulceree et irreguliee
intraluminale ou infiltrative du lesion + Image de
dilatation de l'intestin sus - lesionelle
Page :
1
/
2
/
3
/
4
/
5
/
6
/
7/
8/
9
/
<<
PREVIOUS
<<
>> NEXT >>
Gs Bui Binh Tho
|