|
-
Occlusion du colon ( occlusion colique )
Une occlusion du colon correspond a une interruption
partielle ou totale de l'activite du colon , empechant le
transit normal des selles et des gaz . Les causes de
occlusion colique sont .
| |
Les neoplasies : Primitive :
Adenocarcinoma
| |
Ou secondaire : par les metastases
des tumeurs de autre organe , ovaire , la
sein , ou malanome |
|
| |
La stenose par les maladies inflamatoires
du colon , |
| |
Post une colite ischemique |
| |
Endometriose |
| |
La volvulus de sigmoide ou du
ceacum |
| |
Les fecalomes |
| |
La pseudo occlusion : syndrome d'Ogilvie |
Aspect
radiologique de occlusion du colon est la distension en
amont de lesion du colon avec la collapsus du colon en aval
. En remarque que le point de occlusion n'a
pas la mene point de lesion .Et le diagnostic de occlusion
du colon se verifie quand sa diametre du colon
distendre jusqu'a 6cm et du caecum est a 9cm .
Image radiologique ASP de occlusion du
colon est : Aspect de distension de air du colon avec
collapse du colon en aval . Image de niveaux hydroaerique
avec aspect la hauteur plus que la largeur et situe
peripherique de l'abdomen . L'intestin grele se dilate
encore selon la duration de l'occlusion et l'incompetence de
la valvule Bauhin . Dans les cas l'obtruction par colite
ischemique on peut voyait image pneumatosis de la paroi du
colon ou image d'air du syteme portale . L'occlusion
par volvulus se donne de image tres particuliairement :
Aspect du colon dilate en forme de " grain de cafe " dans
volvulus du colon sigmoide et image de dilatation du ceacum
sur le quadrant superieure gauche dans volvulus du ceacum
. Pneumoperitoine est
complication de perfore .
| |
 |
|
 |
| |
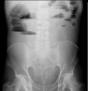
Image hydro-aerique du colon d'une
occlusion du colon . Aspect du colon en distendue
avec image des plies des haustrals de cette bord en
intercale avec des haustrals du bord oppose |
|
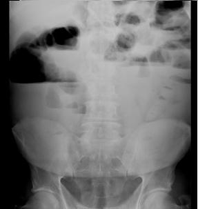
Images hydro-aeriques
d'une occlusion du colon . Ce qui situe
souvent peripherique de l'abdomen et plus hautes que
larges . Cliche ASP expose en debout |
| |
 |
|
 |
| |
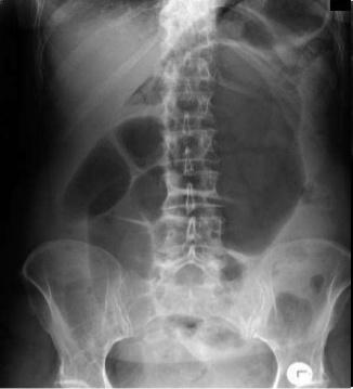
Image hydro-aerique distendue
d'une occlusion du colon . Sa hauteur est souvent
plus que sa largeur et en peripherique de l'abdomen
. |
|
L'occlusion du colon .
Image hydro-aerique se situe en peripherique du
colon |
| |
 |
|
 |
| |
Image des niveaux hydro-aeriques
greliques et coliques d'une occlusion du colon . En
ce cas la valvule de Bauhin est incompetence et
beance. Occlusion par stenose post radique du
tumeur recto-sigmoidienne . |
|
Complication de pneumatosis du
colon dans occlusion par colite ischemique parfois se presente : Image de couche de air
intra -parietale du colon ( fleche blanche ) . |
| |
 |
|
 |
| |
Schema d'une volvulus sigmoidienne |
|
Aspect typique d'une
volvulus du colon sigmoide en prsence dans 70% des
cas . La colon en volumineuse hyperclate gazeuse en
forme de " grain de cafe " situe en verticale
, abdomino pelvienne et avec une opacite lineaire
median . Cliche ASP en decubitus dorsale . |
| |
 |
|
 |
| |
Image en "grain de cafe "
d'une volvulus sigmoidienne avec niveaux hydro-aerique
a inferieure et les extremite de l'anse sigmoide
convergence en bas avec la cloison centrale . Cliche ASP de face
debout . |
|
Cliche ASP de face en
decubitus dorsale : Image en "grain
de cafe " d'une volvulus du colon sigmoide . Le bord
superieure de la volvulus depasse la colon
transverse |
| |
 |
|
 |
| |
Schema simple d'une volvulus
du ceacum : la ceacum torsion , tres dilate et
se situe a la region cealiaque |
|
Aspect de distension du ceacum
d'une volvulus du ceacum . Il montre un ceacum tres
dilate et le plus souvent en region cealiaque ( 1/4
quadrant superieure de l'abdomen ) avec
association image hydro-aerique de occlusion du grele |
Lavement opaque .: Dans tout les cas de occlusion la
lavement opaque doit realise aux contrast hydrosoluble
de prevent une peritonite due a la perforation du colon . Aspect
radiologique de lavement opaque est aspect de point de
l'occlusion :
| |
 |
|
 |
| |
Aspect en bec de oiseaux
d'une volvulus du colon sigmoide . L'opaque
hydrosoluble arrete au point de volvulus . L'anse de
volvulus est tres dilate en forme de " grain de cafe
" . Image radiologique de lavement opaque
hydrosoluble . |
|
Occclusion du colon du
adenocarcinoma du colon gauche : Image d'une stenose
courte irregulier d'une cancer du colon gauche
|
| |
|
|
|
. L'echographie abdominale percutanee
peut etre en mains de ultilise et permetre un diagnostic
positive topographique et etiologique en fait de remplissage
liquidienne colique en amont de l'obstacle . Une distention
colique depasse 6cm de diametre peut affirmer le diagnostic
positif .La difference de colon dilate et grele dilate peut
ici evalue par cette methode . La stenose tumorale et les
mass tissulaire de l'abdomen peut etre en visualise .
Image radiologique TDM de l'occlusion
colique est :
| |
- La distention colique segmentaire ou diffuse
du colon avec diametre depasse de 6cm et
sa paroi est bien epaisse . En cas de valvule
Bauhin est incontinent la distention peut s'etendre
au anse ileon jusqu'au jejunum . |
|
| |
- L'image de la lesion et aspect de la
cite de l'obtacle . Le colon amont de l'obtacle est
tres dilate et le segment du colon en aval etre
normale ou collabe |
|
| |
|
|
|
| |
 |
|
 |
| |
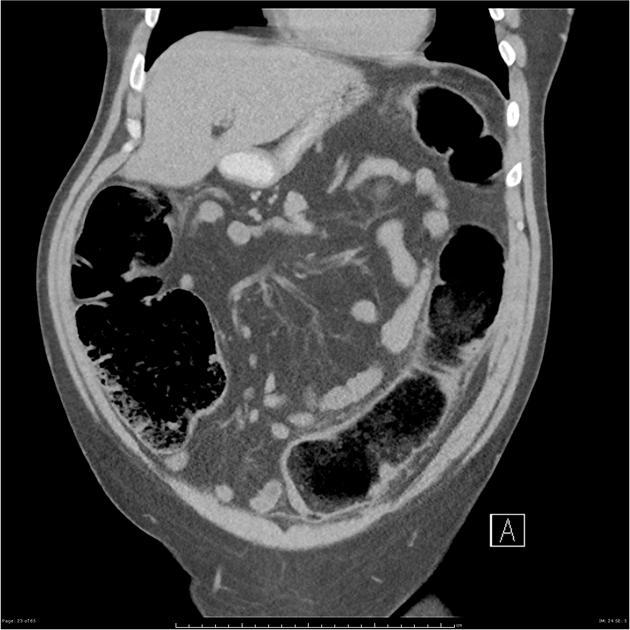
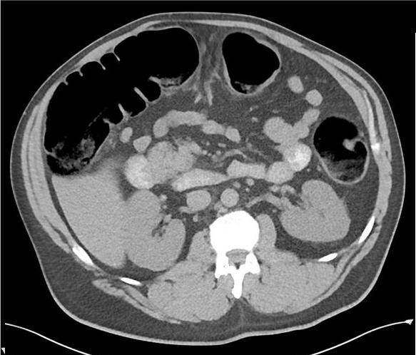
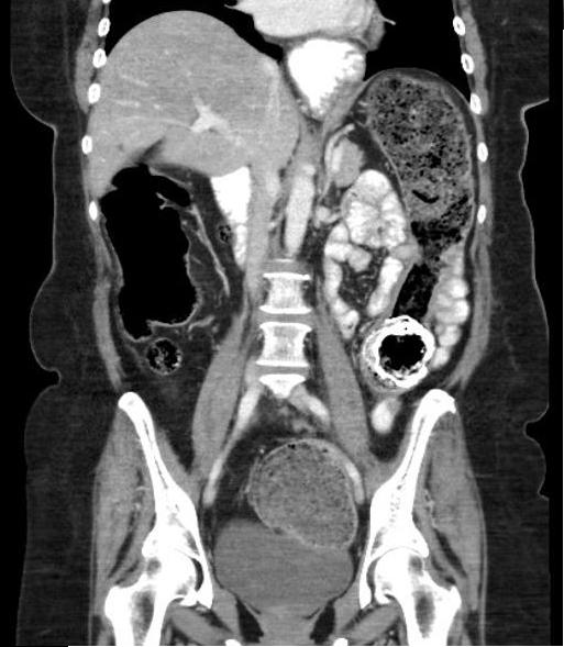
Image de l'occlusion du colon
Le colon est tres distendue a diametre depasse 6cm ,
sa paroi est epaisse que du grele et les plies de
haustral est intercale . Image TDM en coupe coronale |
|
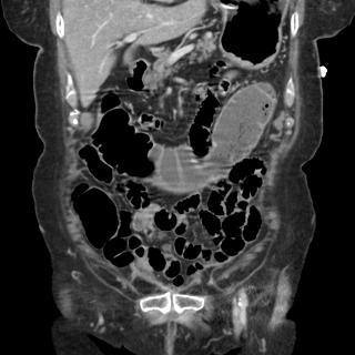
Meme cas en coupe axilae .
L'intestin est normale ( valvule de Bauhin est
normale ) |
| |
 |
|
 |
| |
Aspect de occlusion du
colon avec valvule du Bauhin normale ( continente) :
La colon est tres distendue et n'a pas image
de dilatation du grele Image TDM en coupe
axiale |
|
Image TDM en coupe coronale
( frontale ) : Occlusion du colon avec sans
dilatation de l'intestin grele . le colon est tres
dilate mais l'intestin grele est normale . |
| |
 |
|
 |
| |
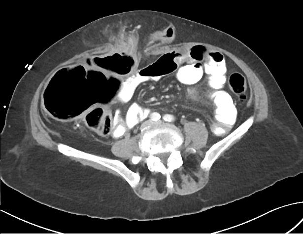
Occlusion du colon avec
imcompetence de la valvule Bauhin : Image
distendu du colon avec image de dilataion du ileon
et du grele par la beance de la valvule deBauhin.
Image radiologique TDM avec injection de contrast en
coupe coronale oblique . |
|
Meme cas en coupe
axiale avec image de distendue du colon et image
hydro-aerique dilate du grele |
| |
 |
|
 |
| |
Aspect TDM de l'occlusion du
colon secondaire par eventration de la paroi
anterieure du colon . Image radiologique TDM en
coupe axiale |
|
Meme cas en coupe coronale .
Au ligne median de la paroi anterieure de l'abdomen
se voyait image du colon eventre iso-dense a bord
lisse |
| |
 |
|
. |
| |
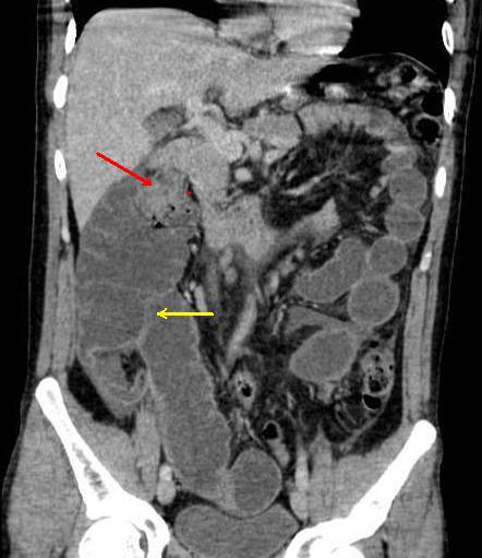
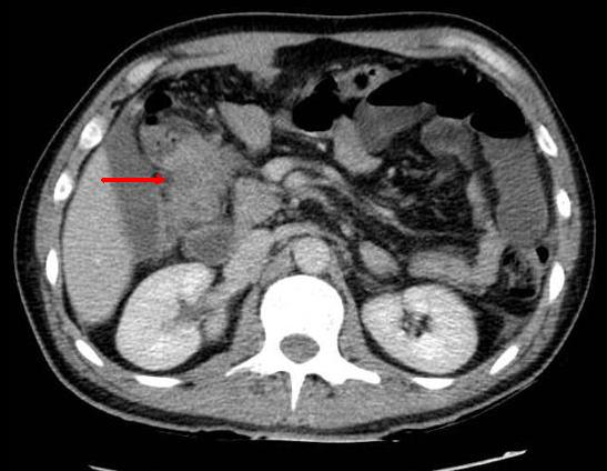
Occlusion du colon a cause
cancer du colon droit . Colon ascedante en amont de
lesion est tres dilate avec imcompetence de la
valvule Bauhin ( fleche jaunne ) .La masse du tumeur
est hyper-dense a bord irregulier (fleche rouge )
situe au colon pres de angle colique droite .
Le colon en aval est collapse . |
|
Meme cas en coupe axiale .
La masse du tumeur est hyper-dense a bord irregulier
( fleche rouge ) situe a la region sous hepatique
droit |
| |
 |
|
 |
| |
Colo occusion par les fecalomes :
Le colon est tres dilate et la partie inferueure est
remplie par des fecalomes en image iso-dense a non
homogene . |
|
L'occlusion du colon a cause
fecalomes . Le colon est tres dilate et
image de fecalome est en iso-dense non homogene a
inferieure du colon sigmoide du rectum. |
| |
 |
|
 |
| |
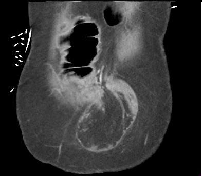
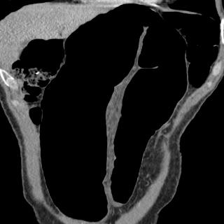
Occlusion du colon : Volvulus
du colon sigmoide en coupe axiale TDM a travers les
deux jambage de l'anse sigmoide ( etoile ) . |
|
Image TDM en coupe coronale
( frontal ) a travers une anse de volvulus du colon
sigmoide . Les deux jambages de anse sigmoide
enserrant le meso sigmoide . |
| |
 |
|
 |
| |
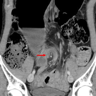
Image de volvulus du colon
sigmoide avec aspect de tourbillon au point de
volvulus . Image de tourbillon " wirhl sign"
( fleche rouge )correspondant a enroulement de l'anse autour des
vaisseaux mesenteriques |
|
Aspect en deux bec d'oiseau
d'une volvulus du caecum ( fleche rouge ) . Anse de volvulus est tres dilate . |
| |
|
|
|
Diagnostic radiologique differentielle avec
- Toxic megacolon
d'une infection de clostridiunm difficile
- Ileus paralytique
- Pseudo-obstruction colique
-
A suivre
Page :
1
/
2
/
3
/
4
/
5
/
6
/
7/
8
<<
PREVIOUS
<<
>> NEXT >>
Gs Bui Binh Tho
|