|
-
Tuberculose ileo-coecale : C'est etat inflamation
de la region ileocecale par bacille Mycobacterium
tuberculosis ( bacille de Koch ) . En effet , cette zone est
le millieu ou le transit se ralenti et la bacterie va
beneficier d'une meilleur de contact avec la muqueuse
intestinale . La lesion est frequemment ulcerative ,
hypertrophique , et ulcero-hypertrophique .Sa clinique est non
specifique , douleur abdominale , diarrhees ou constipation
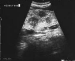
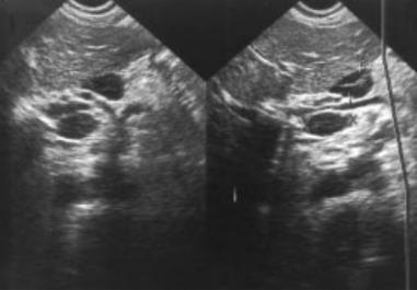
Image echographique de la tuberculose
ileo-caecale est : Image epaissisement hypoechogene de la
paroi du colon et image de lymphadenopathie .
Image radiologique de lavement baryte
de
tuberculose ileo-caecale est :
| |
- Au stade aigue et subaigue , c'est :
Lesion ulceree a la region ileo coecale - Epaisissement et
angulation de la valvule ileocaecale ( signe de
Fleischner) , Stenose de ileon terminale , Hypermobilite du caecum |
| |
- Au stade chronique : la valvule
ileoceacale est fixe , rigidite et imcompetance , la
ceacum est en aspect conique et diminue sa taille .
|
| |
 |
|
 |
| |
Au stade aigue
aspect radiologique est image des ulcerations avec
de rehausement de sa bord . Image radiologique de
lavement baryte en double de contrast . |
|
Au stade evolutive
image de ulceration marque en circumferentiel (
fleche rouge ) et deformation legere de la region
ileo caecale . Image radiologique en double de
contrast . . |
| |
 |
|
 |
| |
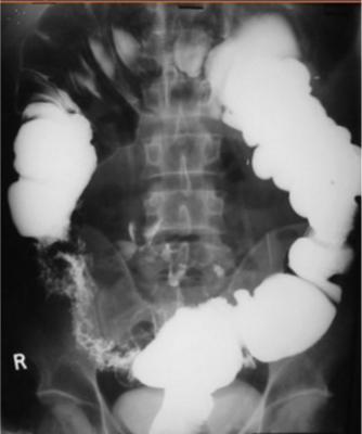
Aspect
deformation de la region ileocaecale avec
retrecissement de ileon . Image radiologique de
lavement baryte mono de contrast |
|
Image de retrecissement et deformation de
la region ileo-caecale . La valvule ileocaecale est
fixe , rigidite et incompetance . Tuberculose
ileocaecale . Image radiologique en mono de contrast
|
| |
 |
|
 |
|
Image de lavement baryte en double de contrast :
Tuberculose ileo-caecale avec image de ileon tres
deforme , bord irregulier , angulation et stenosante
. |
Tuberculose ileo-caecale : image de
deformation en conique du caecum . Ileon est
irregulie et stenosante . Image de lavement baryte
mono de contrast . |
| |
|
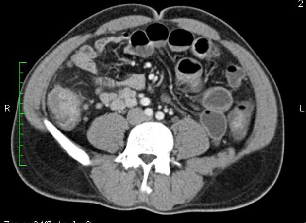
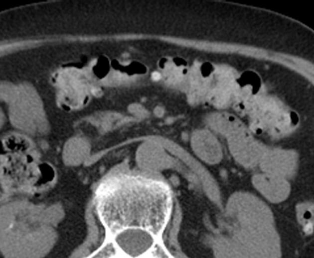
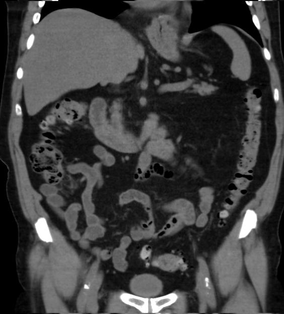
Aspect TDM du tuberculose ileocaecale est : Epaissisement
circumferentiel de la paroi ileum et caecum . Asymetrique
epaissisement de la valve ileocaecale .Mesenteric
lymphadenopathie et tuberculose pulmonaire est le plus
souvent .
| |
 |
|
 |
| |
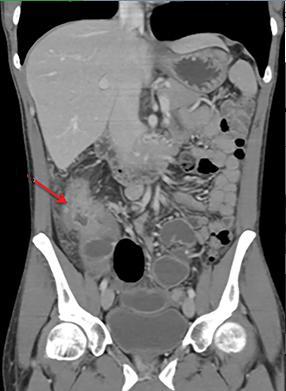
Tuberculose ileo-caecale :
Image de epaissisement circumferentiele hyperdense
de ceacum avec lymphadenopathie mesenterique (
fleche rouge ). Image
TDM en coupe coronale |
|
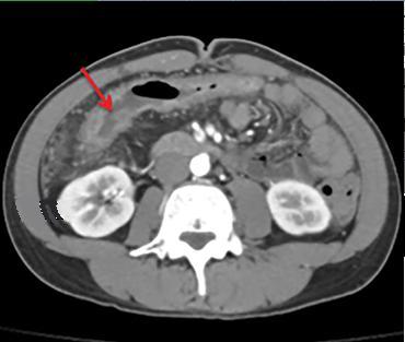
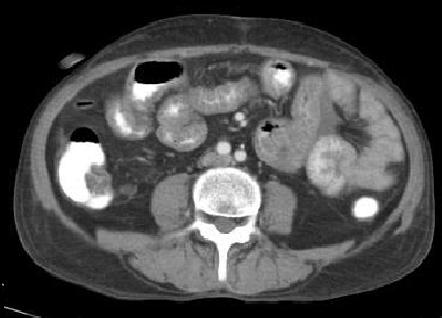
Aspect de epaissisement
et stenosant de la paroi de ileon dans tuberculose
ileo-caecale( fleche rouge ) Image TDM en coupe axiale |
| |
 |
|
 |
| |
Epaissisement hyper-densite
de la paroi de ileon . Image TDM en coupe axiale |
|
Tuberculose ileocaecale avec image de
deformation du caecum . Epaissisement asymetrique du
caecum avec image de lymphadenopathie
mesenterique . TDM en coupe axiale |
| |
 |
|
|
| |
Image TDM en coupe axiale :
Epaississement de la paroi de ileon . Lymphadenopathie peut se voyait sur cette
coupe |
|
|
| |
|
|
|
Diagnostic radiologique differentielle :
|
Maladie de Crohn |
|
Colo-rectal carcinoma |
|
Lymphoma de l'intestin |
|
Amebiasis . |
| |
| |
- Diverticule du colon
: C'est l'effet secondaire a une hernie acquise de la
muqueuse du colon a travers de la couche musculaire au
niveau de zone de faiblesse de la paroi du colon . Le plus
souvent est au colon sigmoide . S'il y avait de plusieur de
diverticules le long du cardre colon , on parle
diverticulose colique .
Apparaissent sur tout les individus a partir de 50ans
et s'accroit avec l'age et sa taille presente de quelque
millimetres a quelque centimetres .Clinique est
survient par etat de inflamation des diverticules (diverticulites
)
| |
Fievre |
| |
Duoleur abdominale |
| |
Complication rectrorragie , occlusion par
blocage du colon |
| |
Fistule avec autre organe ( vessie,,),
perforation et peritonite localise pelvienne |
Aspect radiologique de lavement baryte est :
| |
- Sur le lavement baryte mono de contrast
:C'est image sacculaire en plein de
baryum de la diverticule au paroi du colon "
outpouching sign" . |
| |
- Le lavement baryte a double de contrast
: C'est image de retention en forme sacculaire de
baryum dans la diverticule . Si la diverticule
voyait en face , aspect image est en resemble comme
une polyp et a aspect un bouton . |
| |
|
| |
 |
|
 |
| |
Diverticule du colon se forme
secondaire par zone de faiblesse de la paroi du
colon . Sa taille peu de quelque millimetre a
quelque centimetre . Complication est diverticulite
, rectorragie , perfore - peritonite et fistule a
autre organes |
|
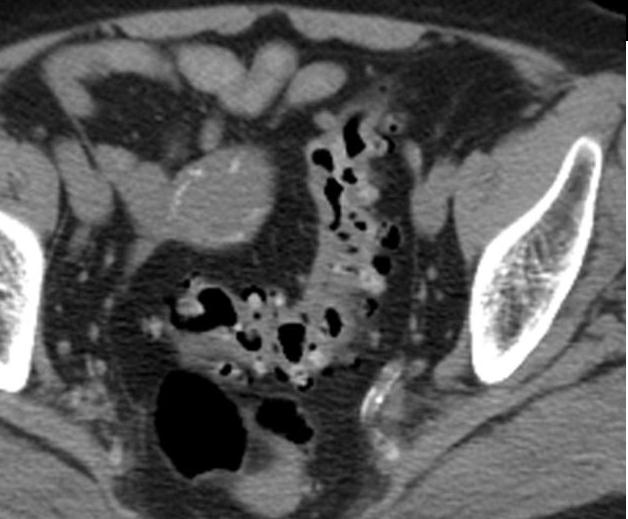
Image radiologique de
diverticule du colon sigmoide . Image en sacculaire
des diverticules en pleine de baryte a difference
taille au long du colon sigmoide . Image de "outpouching
sign " |
| |
 |
|
 |
| |
- Image de diverticulite des
diverticules du colon sigmoide et colon descendant .
Image radiologique de lavement baryte mono de
contrast |
|
Diverticulose colique : Les
diverticules a difference taille s'etendue le long
du colon sigmoide , colon descendant et colon
transverse ( fleche rouge ) Image en spastique du
colon sigmoide ( fleche jaune ) peu se voyait
nettete . Image lavemevt baryte mono de contrast . |
| |
 |
|
 |
| |
- Image
radiologique de diverticule du colon descendant et
une partie du colon transverse . Les diverticule en
face se donne une image resemble des polyps, ce
qu'il peut elimine par la reste de baryte dans le
sac de diverticule . Lavement baryte en double de
contrast . |
|
- Aspect des diverticules du colon
sigmoide sur le lavement baryte en
double de contrast . Image de reste de baryte dans
les diverticules en se voyaient si nette . |
| |
 |
|
 |
| |
Aspect radiologique de
diverticule du colon sigmoide et colon transverse en
lavement baryte de double de contrast |
|
Diverticulose colique :
Image de coloscanner du cardre colon . La situation
des diverticule en voyaient sur 3D image .
|
| |
 |
|
 |
| |
Complication de diverticule est
diverticulite , ce qui entraine la rectorragie
, la perfore - peritonite localise et fistule
a autre organes ( vessie ...) fistule colo-vesicale |
|
Image de fistule
colo-vesicale d'une diverticulite du colon sigmoide
. Lavement baryte en double de contrast . |
Aspect TDM de diverticule du colon :
| |
- Aspect recouvre de air ou produit de
contras en dehors du colon |
| |
- Epaissisement de la paroi du colon et
modification de la graisse entouree le colon |
| |
- Image de abces ou peritonite localise .
|
| |
|
| |
 |
|
 |
| |
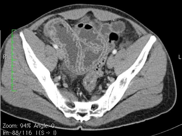
Aspect de recouvre de air
tres hypodensite en
dehors et le long du colon . Image TDM en coupe
axiale |
|
Image d'air tres hypodensite en dehors du
colon transverse d'une diverticulose colique .
Image TDM en coupe axiale |
| |
 |
|
 |
| |
Diverticulose colique :
Aspect de recouvre d'air en dehors du colon et image
epaissisement de la paroi du colon . . Image TDM en
coupe axiale . |
|
Diverticulite d'une
diverticule du colon ( fleche rouge ) avec
complication fistulaire et abces intraperitoneale (
fleche jaune ) |
| |
 |
|
 |
| |
Image TDM en coupe sagtale
d'une diverticulose colique . Aspect d'air multiple
en dehors le long du colon ascendant et colon
transverse |
|
Diverticulose colique du colon
ascendant , transverse et descendant avec image de
epaissisement de la paroi du colon . |
| |
|
|
|
Image macroscopique d' endoscopie de
diverticule du colon est tres particuliairement :
| |
 |
|
 |
| |
Aspect macroscopique d'une
diverticule seul du colon . En vue si nette . |
|
Image completement de trois
diverticule tres pres d'une haustral du colon .
Diverticulose colique. |
Arteriographie c'est l'indication en cas
recthorragie pour cherche aspect extravastion du
contrast de la diverticule du colon
Diagnoctic radiologique differentiel avec:
| |
- Les polyps du colon |
| |
- Carcinomas colo-rectale . |
Page :
1
/
2
/
3
/
4
/
5
/
6
/
7/
8
A suivre
<<
PREVIOUS
<<
>> NEXT >>
Dr Bui Binh Tho
|
` |