|
Pathologie radiologique du foie ( a suivre ) :
Tumeurs
malignes du
foie :
Hepatocarcinoma ( HCC ) :
Le carcinome hepatocellulaire , forme de tumeur
maligne du
foie le plus souvent se developpe sur le terrain de la
cirrhose du foie ( de 75 - 80% des cas ) et se apparaissent
vers 50-70 ans . Mais sur l'hepatite il se apparaitrait le
plus precoce ( hepatite B, C ) . Les HCC fibrolamelaire est
en seul se presence sur le foie sans cirrhotique et
souvent sur les jeunes .Diagnogtic imagerie de la HCC du
foie se base sur echographie percutanee sans ou avec de
contrast , la TDM , l'IRM , arteriographie et la PET/SCAN
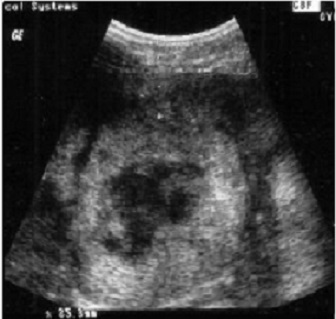
Image echographique du
carcinome hepatocellulaire : Aspect lesionaire du HCC
est une masse hyperechogene , hypoechogene ou mixte , unique
ou multiple a contour net irregulier ou mal de definissable
. Au debut , le forme plus souvent est un infiltrant a
isoechogene ,et puis sous forme nodulaire de petite
taille est hypoechogene et si en forme nodulaire de grand
taille c'est hyperechogen avec des zones necrotiques
hypoechogenes . Le " Rim sign " ou signe de "Bending sign "
le plus souvent en voyait dans HCC , ce qui en n'a pas presente
dans abces du foie . De HCC a grand taille , aspect
echographique est un masse hyperechogene multinodulaire a
contour maldefinie avec centre necrotique hypoechogene de
contenant des bougeons . Image echogaphique de thrombus de
veine porte
Image TDM du carcinome
hepatocellulaire du foie : Image du masse a hypodense
du foie avec rehaussement au temps arteriel et " wash out "
au temps portal .
| |
 |
|
 |
|
| |
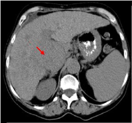
Aspect d'une masse a
hypodense du carcinoma hepatocellulaire du foie
droit ( fleche rouge ) . Image radiologique TDM en
coupe axiale en phase non injecte |
|
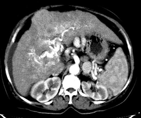
Mêm cas au temps arteriel :
Image de rehaussement du tumeur ( fleche rouge ) .
Aort abdominale et artere du tronc coeliaque en
voyait net . Adenophathie hilaire du foie est en
presence |
|
| |
 |
|
 |
|
| |
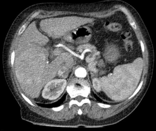
Au temps portale
: il y avait une diminution totale de rehaussement ,
singe de " wash out " . Carcinome hepatocellulaire
.Foie cirrhotique |
|
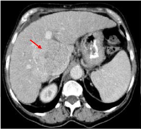
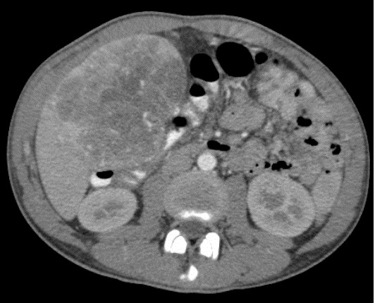
Image TDM en coupe axiale
avec injection de contrast hydrosoluble
intraveineuse , phase ảrteriel : Aspect lesionaire
hyperdense en forme nodulaire d'une HCC du foie
droit . Foie en cirrhotique a petit volume , bord
irregulier |
|
| |
 |
|
 |
|
| |
Image de rehaussement
d'une carcinoma hepatopcellulaire du foie droite au
temps arteriel ( Coupe TDM axiale ) |
|
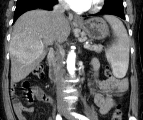
Mêm cas en coupe TDM
coronale temps arteriel: Image du tumeur en voyait
si net sur cette coupe . |
|
| |
|
|
|
|
Image IRM du
carcinome hepatocellulaire : Image du masse a
iso ou hyposignal en T1 et hypersignal en T2 . Rehaussement
au temps arteriel et " wash out " au temps portal .
| |
 |
|
 |
|
| |
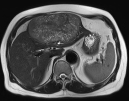
Image IRM enT1 du
carcinome hepatocellulaire : Aspect lesionaire
est isointense du foie droit ( fleche rouge ) . Foie
est en cirrhose , ascitique |
|
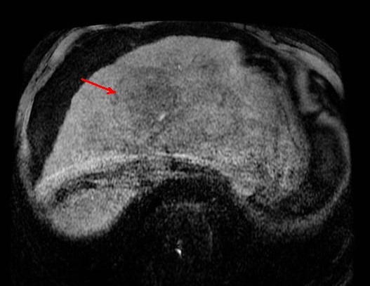
Image d'une carcinome
hepatocellule du foie droit en aspect une masse
nodulaire , hypersignale . Foie est en
cirrhose et ascite . Image IRM en T2 |
|
| |
 |
|
|
|
| |
Image de arteriographie d'une
carcinome hepatocellule du foie droit . Aspect
hypervascularisation et de neo vaisseau du tumeur . |
|
|
|
Hepatocarcinoma
fibrolamellaire :
C'est le type de carcinome hepatocellulaire
apparaitrait seul sur le foie sans cirrhotique avec image
TDM resemble HNF ( hyperplasie nodulaire focale ) du foie ,
lesion hypodense avec de bande de fibrotic et nodule
calcification central , hyposignale en T1 et leregement
hypersignale en T2 ...
| |
 |
|
 |
|
| |
Image TDM d'une
hepatocarcinoma du foie droit . Aspect hypodense du
tumeur avec des bands fibrotiques centrale . Petite
nodule calcifie peut en voyait sur ce coupe , foie
normale non cirrhotique . Coupe TDM axiale
temps arteriel |
|
Image IRM d'une
carcinome hepatocellulaire du foie : Tumeur
ovalaire leregement hypersignal situe au foie gauche
|
|
| |
|
|
|
|
Les autres tumeur maligne primitive du foie
tres rare est : Carcinome cholangiocellulaire ,
cystadenome carcinoma , angiocarcinoma ...
| |
Diagnostic radiologique differentiel du
hepatocarcinoma du foie : |
| |
- Adenome du foie |
| |
- Hyperplasia nodulaire focale |
| |
- Abces du foie |
Tumeur metastatique
du foie ( metastases hepatiques ) :
Le foie est la cite a deuxieme frequemment de metastase des
cancer apres le poumon . Diagnostic radiologique ( imagerie
) se base sur echographie percutanee , la TDM , l'IRM , la
PET/CT ..
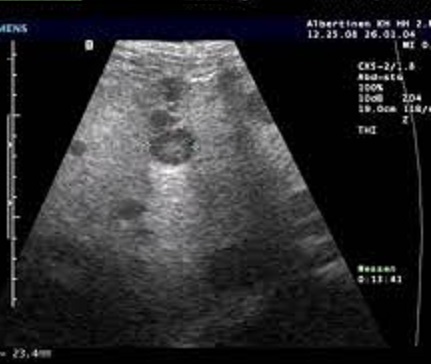
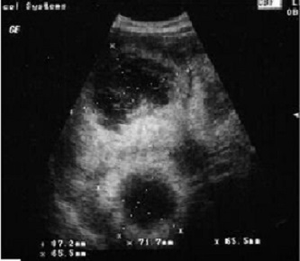
Image echographique du metastase hepatique :
Aspect est variable , souvent multiple a des nodules hypo ,
isoechogene avec contour de hypoechogene , parfoie est
hyperechogene
| |
 |
|
 |
|
| |
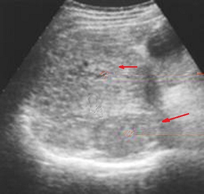
Image echographique de
metastase du foie : Aspect lesionaire est multiple
en nodulaire iso echogen avec contour
hypoechogen ( Bull's eye sign) |
|
Signe de "Bull
eye sign" des metastases du foie . Image
echographique du foie |
|
| |
 |
|
 |
|
| |
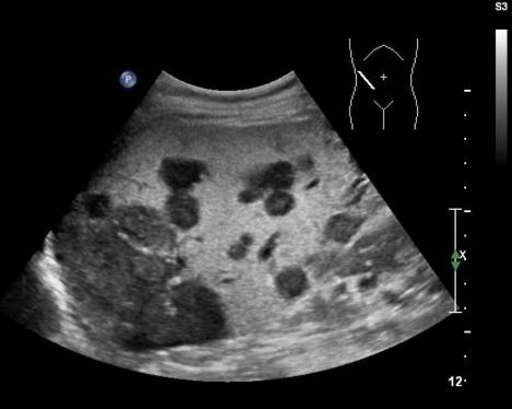
Aspect hypoechogen des
metastases cancereuse du foie |
|
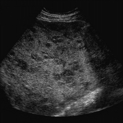
Aspect de reverse
hyperchogene des metastases du foie |
|
Image TDM des
metastase hepatiques : Sur la TDM a sans
preparation , aspect lesionaire souvent isodense . Les
metastase colorectale souvent hypovasculaire : lesions est
hypodenses au temps portale. Les metastases du rein souvent
hypervasculaire : lesion est hyperdense au temps arteriel
| |
 |
|
 |
|
| |
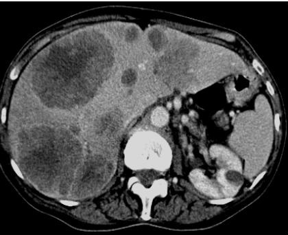
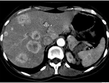
Metastase hypovasculaire du
cancer colique : Aspect lesionaire des metastase est
hypodensse au temps portal |
|
Metastase hypervasculaire
d'un cancer du rein : Aspect lesionaire hyperdense au temps arteriel
|
|
| |
|
|
|
|
Image TDM des
metastase hepatiques : Souvent hypo en T1
et hyper sur T2
| |
 |
|
 |
|
| |
Aspect lesionaire hypersignal
d'une metastase hepatique du foie droit |
|
Image radiologique du PET / CT
d'une metastase de cancer du colon . |
|
En
conclusion : Diagnostic du cancer du foie se
base sur echographie percutane , la IRM , la TDM ,
ateriographie la PET /CT et test serologique alfa
foeto-proteine .
FIN
Page :
1
/
2
/
3
/
4
/
5
/
6
/
7/
8/9/
<<
PREVIOUS
<<
RESUME
Gs Bui Binh Tho
|