|
Pathologie radiologique du foie ( a suivre ) :
Les lesions infectieuses du foie (
pathologie infectieuse du foie ) :
- Abces du foie
:
Maladie hepatique inflamatoire purulent caracteristique
par une perdre de l'hepatocyte et de formation d'une cavite
dans le parenchyme du foie . Abces primaire se developpe sur
le parenchyme saine et abces secondaire est une
complication de kyste hydatique , tumeur begnin et maligne ,
les granulomes tuberculoses ou syphilitiques du foie .
Dans la formation d'abces du
foie la
voie de l'infection peut etre :
| |
- Hematogene-l'ìnfection se propage a
travers les vaisseaux sanguine du corps |
| |
- Cholangiogenne- L'infection se propahe
a travers le parenchyme du foie par voie biliaires |
| |
- Contact de stress post traumatique - se
produisent apres la foies ouvert et ferme blessure
abdominales |
| |
- Cryptogenique .
Le bacterie est la cause de la maladie
dans 50% des cas |
| |
Clinique : douleur de quadrant superieure droit
, fievre , foie palpable douloureuse
Diagnostic radiologique de abces du foie se base sur
cliche de ÁP , echographie , la TDM ,et L'IRM , |
Au point de vue radiologique , il on peut en
differencie trois type de abces du foie :
- Abcès à pyogènes :
C'est l’abcès à pyogène etre fréquemment origine à une
cholangite ascendante, secondaire à une obstruction des
voies biliaires begnin et maligne ou à une dissémination
hématogène . Les germes les plus fréquemment retrouvés
sont les streptocoques, Escherichia coli et les
staphylocoques . Aspect radiologique souvant abces
multiple formant par des micro-abces " cluster sign " ( < 2cm )
aechogenne , hypodensite sur TDM a bord bien definies et
rehaussement peripherique apers injection de contrast intraveineuse , hyperintense sur IRM ponderee en T2 .Traitement
est medicale , en association de drainage percutane sous
control de echographie ou TDM
-
Abcès amibien
:
. L'abcès amibien hépatique a origine infectée par
Entamoeba histolitica la plus fréquente du tube
digestive . L'aspect radiologique est une masse
unique, arrondie ou ovalaire de 2 à 6 cm de
diamètre hypo ou
aechogene sur echographie , hypodense sur TDM avec
rehaussement de contraste périphérique, contours
réguliers
ou parfois multi-lobulaire Les septals sont en
voyant dans 30 % des cas. Un épanchement péri-hépatique
ou d'épanchement pleural parfois se retrouve
-
Abcès
fungique :
Les abcès
multiples à Candida ont un aspect TDM semblables aux
abcès à pyogènes : .
Image
echographique de abces du foie est : Aspect du lesion le
plus souvent hypoechogene a paroi epais ou parfois
hyperechogene en aspect de tumeur solide a renforce de
echogene posterieure . La lesion peut en
egale multiloculảire en grappe "cluster sign" et puis en cloisonee . En Doppler , la
lesion n'est pas vascularise . L'air dans l'abces se
presente comme une zone hyperechogen
| |
 |
|
 |
|
| |
Áspect echographique d'une
abces du foie : C'est une masse ovalaire hypoechogen
en cloisone et a paroie hyperechogen
.Sans renfocement ou renforcement legere de
ascoustique posterieure |
|
Image echographique
d'une abces du foie lobe droit : Aspect
multilobulaire a hypoechogene avec paroi tres
epaisse |
|
| |
 |
|
 |
|
| |
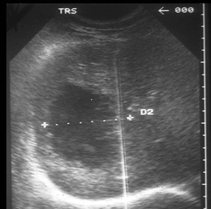
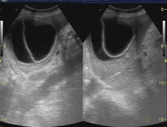
Image echographique de abces
du foie lobe droit . Aspect arrondie uniloculaire hyperechogen
avec region aechogen central sa paroi est
epaise , hyperechogene .image echographique peut
oriente vers une abces amibien |
|
Image aechogen a
multilobulaire , abord fine du foie gauche en aspect de grappe "
cluster sign " d'une abces du foie en susgeste
une abces a pyogenes |
|
| |
 |
|
 |
|
| |
Image echographique d'une abces du foie ( fleche rouge )
Aspect lesionnel isoechogene a finement de echogene
non homogene.a bord et
a limite regulier et nette , |
|
Image echographique d'une
abces amibien du foie : Aspect du lesion en forme ovalaire hypoechogene a finement non homogene et a
renforcement de acoustique posterieure . |
|
| |
|
|
|
|
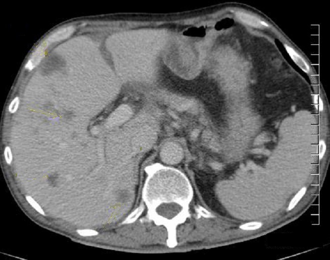
Image TDM
de abces du foie : Aspect TDM de abces du foie est
variable : lesion en apparence peripherique de hyperdensite
et a central hypodense s'observe souvent dans abces amibien . Ce qui peut en presence de
gas ( 20% de gas ) . Aspect en cloisone ou multiple
loculaire , bien definie " cluster sign" peut
se retrouve dans l'abces a pyogenes. En cas de TDM
plus de contrast intraveineuse , image de double de cible "double
target sign" peut en voyait .
| |
 |
|
 |
|
| |
|
|
|
|
| |
 |
|
 |
|
| |
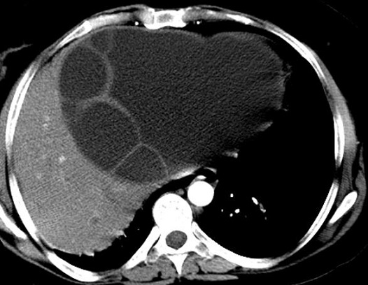
Aspect radiologique TDM d'une abces
a pyogenes multi loculaire du foie en realisee sous forme de
grappe "cluster sign " . |
|
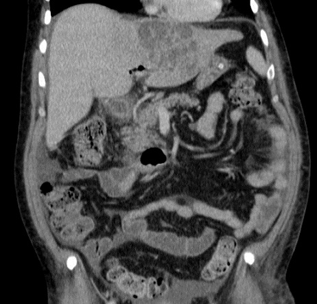
Image TDM d'une abces du foie en coupe
coronale . Aspect de la lesion est hypodense
multi loculaire se situe au foie gauche . Image
radiologique TDM encoupe coronal , aspect
radiologique en susgeste du abces a pyogenes |
|
| |
 |
|
 |
|
| |
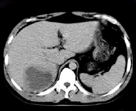
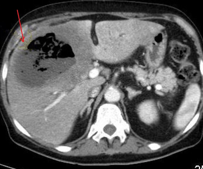
Image radiologique TDM d'une abces
amibien du foie droit avec aspect lesionnel est un masse
hypodensite a paroi epaise attenue et zone de
oedemateuse hypodense peripherique
|
|
Image en cible
d'une abces du foie droit . CoupeTDM axiale 90
seconde apres injection de contrast intraveineuse .
Aspect lesionnel est un contour hyperdense et un
centre hypodense pseudokystique " double target sign
" |
|
| |
 |
|
 |
|
| |
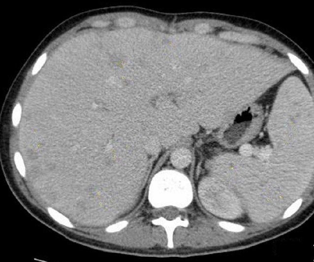
Image TDM en coupe axiale :
Aspect lesionnel une
masse a central tres hypodense et de legerement
hypodensite peripherique de sa paroi situe au lobe droit du foie .
Image radiologique peut en susgeste d'une abces
amibien |
|
Image radiologique TDM
d'une abces multiple encloisone du foie gauche
( coupe axiale ) |
|
| |
 |
|
 |
|
| |
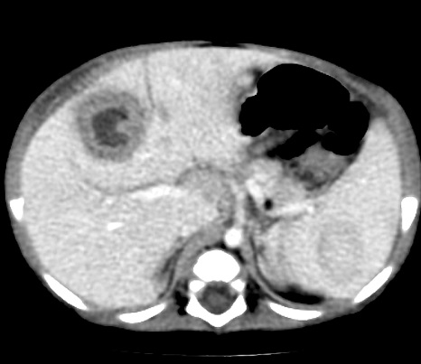
Aspect lesionnel
de masse ovalaire
, hypodensite a bord bien definies , rehausse
peripherique apers injection de contrast
intraveineuse . Image de la
présence de gaz dans ce
abces peut en orienter d’un abcès à pyogène . Ce
signe n’est présent que dans 19 % des cas
. |
|
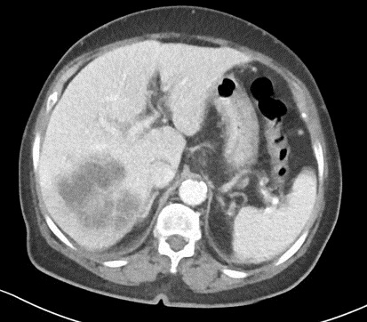
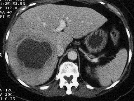
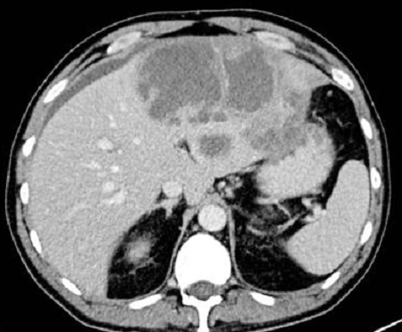
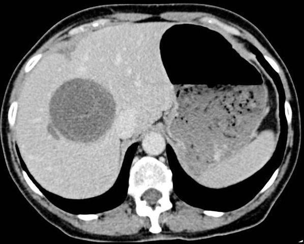
Image radiologique TDM d'une grande abces amibien du
foie gauche avec aspect lesionnel est une masse
unique, arrondie 10 cm de
diamètre hypodense sur TDM avec
rehaussement de contraste périphérique, contours
réguliers . Image radiologique TDM plus C+ phase
veineuse |
|
| |
 |
|
Abces fungique à Candida avait l'aspect TDM semblables aux
abcès à pyogènes :
du foie droit et gauche . Pas image de "cluster
signe " ( grappe de raisin ) est la signe pour
differencie avec abces a pyogenes |
|
| |
|
|
|
|
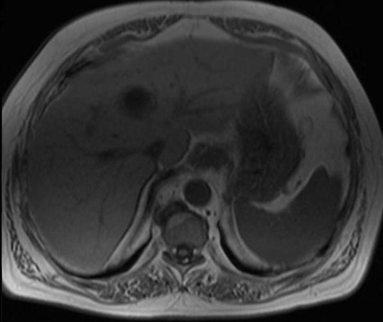
Image
radiologique IRM de abces du foie : Character
de signal est :
| |
-Image ponderee en T1 : le plus souvent
est hyposignal au centre et heterogene ..
Hyperintense dans abces fungale |
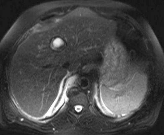
| |
-Image ponderee en T2 : Aspect
hypersignal lesionnel . |
| |
|
- Kyste hydatique :
Ou hydatidose est une maladie infectieuse ( parasitose )
provoque par Echinoccocus granulosus du chien .
Contamination par contact de l'eau ou vegeteaux souille
par des excrements du chien parasitose ou contact direct
des chiens parasites . Technique imagerie pour exploree
les kyste hydatique est echographie per cutanee , la TDM
, L'IRM .Echographie percutane est la premier de
l'intention de choix pour explore les kystes hydatiques
. Aspect echographique est une masse aechogene avec zone
de hyper ascoustique posterieure et selon de sa
composant on en classifie a cinq type ( classification
de Gharbi/ ) :
| |
|
|
| |
Type 1 : Kyste purement
liquidien avec ou sans epaissisement des paroies |
|
| |
Type 2 : Kyste avec
decollement de la membrane germinative |
|
| |
Type 3 : Image multicloisonees
avec prsence de vesicules de filles endocavitaire (
aspect de nid d'abeille ) |
|
| |
Type 4 : Masse solide ( aspect
heterogene ) |
|
| |
Type 5 : Kyste a paroi calcifie
|
|
| |
 |
|
 |
|
| |
Kyste hydatique a grand
taille univesiculaire , ovalaire et aechogene avec
paroi visible de type 1 |
|
Kyste hydatique arrondie a
grand taille , aechogene avec image de decollement
de la membrane germinative interieure ( Type 2
) |
|
| |
 |
|
 |
|
| |
Kyste hydatique a
multicloisonnee des vesicule de filles endocavitaire
( aspect de nid d'abeille ) Type3 |
|
Kyste hydatique en masse
solide a contenue heterogene , hypo et hyperechogene
et pas de vesicules de filles - Type 4 |
|
| |
 |
|
Kyste hydatique a paroi calcifie
partielle du foie droit -Type5 |
|
Pour facilitation dans le prognostique et
de traitement des lesions de kyste hydatique du foie WHO
avait une classification de type et des stades de kyste hydatique
du foie : Classification 2001 de
OMS du kyste hydatique du foie
Image TDM :
Aspect TDM d'une kyste hydatique du foie est images
d'une formation lesionaire arrondie hypodense a paroi epais
et souvent avait des vesicule filles developpees au
sein de la lesion principale . Sa paroi peut calcifie ou non
| |
 |
|
 |
|
| |
Aspect TDM d'une
kyte hydatique du foie . C'est un masse arrondie
hypodense a paroi un peut hyperdensite avec bord
lisse situe au foie droit . Image
TDM en coupe axiale a travers du foie
|
|
Une autre cas d'une kyte
hydatique du foie avec image d'un masse ovalaire
hypodense a paroi tres nette hyperdensite situe au
foie droit . Image des vesicules filles se retrouve
au sein de la lesion principale . Image radiologique
TDM en coupe coronal ( frontal ) |
|
| |
 |
|
 |
|
| |
Kyste hydatique du foie
gausche en image ovaliare hypodense avec paroie
lisse avait des vesicules filles a l'interieure .
Image TDM en coupe axiale |
|
Image radiologique TDM en coupe coronale
d'une kyste hydatique du foie droie au stade
inactive de bord tres calcifie . La paroi et sa
cloison se retrouve calcifie tres nettre sur ce
coupe |
|
Image
IRM : Aspect IRM du lesion kystique est une
formation lesionaire arrondie ou ovalaire hyposignal , mixte
en T1 et hypersignal sur T2 , la paroi et sa cloison sont en
vue facile
| |
 |
|
 |
|
| |
Image IRM ponderation
T1 d'une kyste hydatique du foie : Aspect
radiologique est une formation lesionaire arrondie
hyposignal avec paroi legere epaissisement
hypersignal |
|
Meme cas en ponderation T2 ,
coupe axiale : La lesion est tres hypersignale et sa
paroi se retrouve en hyposignale tres nette |
|
| |
 |
|
Image d'une kyste hydatique avec des
vesicules de filles hypersignal au sein des kyste
avec image de pleuresie par rupture du kyste dans la
plevre du poumon droit . Coupe axiale IRM ponderer
sur T2 |
|
Diagnostique ( + )de kyste hydatique du
foie est imagerie echographique , TDM , IRM et test
serologique hydatique positive . Complication de kyste
hydatique du foie est rupture dans voie biliaire , au
peritoine ( peritonite ) , pulmonaire , pericarde ou au
vaisseaux hepatique .
- Echinococcose aveolaire : Maladie infectueuse
provoquee par Echinoccocus multilocularis souvenyt a
Europe , Canada , Japon et Etats- Unis . Lesion est une
masse heterogene a contour irregulie en presentant des
tissus fibreuse , tissu parasitaire et des plages de
necrose .La presence des calcifications irreguliee sont
le plus souvent
-
Tuberculose
hépatique :
La
tuberculose hépatique se presente sous la forme
d’une miliaire micro ou macro nodulaire et survient
essentiellement chez des sujets immunodéprimés. L'aspect
est non spécifique. Le scanner abdominal peut mettre en
évidence une ascite, des nodules péritonéaux tuberculeux.
A
suivre
Page :
1
/
2
/
3
/
4
/
5
/
6
/
7/
8
/ 9 /
<<
PREVIOUS
<<
>> NEXT >>
Gs Bui Binh Tho
|
|