|
-
La pathologie du carrefour
hepato-bilio-pancreatique est frequemment et tres variee et
la radiologie permet une approche de diagnostique de
nombreuse des differentes
pathologies du foie . La pathologie radiologique du foie se
base sur les chapitres suivante : rappel anatomique du foie
, les technique radiologique conventionelle ,
interventionelle du foie , image radiologique normale du foie ( radio-anatomie du foie
) et sa pathologie radiologique .
Pathologie radiologique du foie :
- Pathologie
radiologique des lesions diffuses du foie :
Steatose du foie :
Est une accumulation de graisse du foie ; presisement c'est
d'infiltration de triglyceride dans les cellules hepatiques .
La triglyceride se situe le plus souvent du foie , peu touche
encore la myocarde , le
rein ou le poumon . La cause et les facteurs lies de la steatose du
foie sont : Obesite , le diabete , l'intoxication alcoolique
, les corticosteroides , les anti retroviraux , les
insecticide DDT et la carence de proteine .
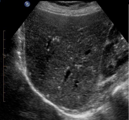
Image echographique de steatose du
foie est image du foie de plus en plus hyperechogene
homogene . Si la steatose est
important les branches de la veine porte sont
moins de visible et les structures profonde du foie
deviennent difficile a visualise . --Diagnostic echographique
de steatose du foie se represence lorsque le paenchyme
hepatique est beaucoup plus hyperechogene que le rein droit
. Au stade agrave , hepatomegalie et dilatation de veine
splenique et splenomegalie peut se en voyaient . Image de
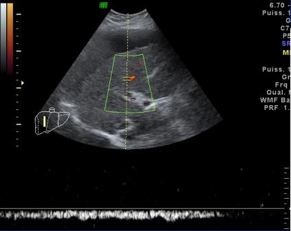
distortion vasculaire sur Doppler en couleur et
amortissement du flux sanguine de la veine porte . Technique
echoelastographie peut en differencier que le foie steatose
est plus dure que foie normale .
| |
 |
|
 |
|
| |
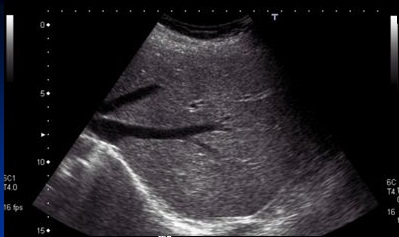
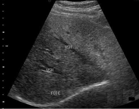
Image
echographique normale du foie . Le diapragme est en
vue tres net |
|
Image du foie normale : le foie est en
même echorich que la rein . Image echo
graphique du foie en coupe long sagitale . |
|
| |
 |
|
 |
|
| |
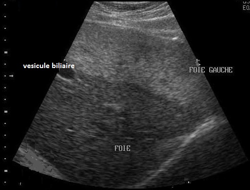
Image echographique d'une
steatose du foie . la parenchyme du foie est tres
hyperechogene Les vaisseaux du foie sont en
moindre visible |
|
Steatose du foie : La
parenchyme du foie est plus riche de echogene que le
rein . Et le bord du diaphragme en arriere est
en moins de visible . |
|
| |
 |
|
 |
|
| |
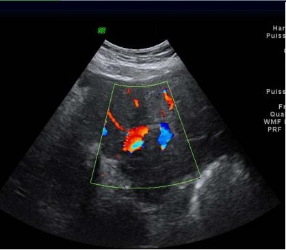
Image echographique Doppler
en couleur d'une steatose du foie marquee: Aspect de
distortion vasculaire intrahepatique |
|
Steatose du foie marque :
Amortissement du flux sanguine intra-hepatique |
|
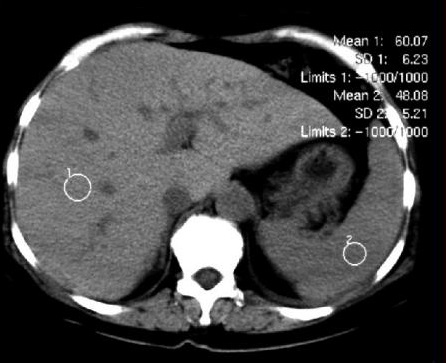
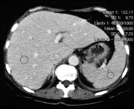
Image TDM de
steatose :
| |
Normalement la densite du foie est
plus hyperdense de 6-12 UH que la rate . Par
infiltration de la graisse des cellules
hepatiques , la parenchyme devient fortement hypodense
( 30-40UH ) par rapport a une foie
normale ( normalement 50UH ) . Le foie est
steatosique quand sa densite en moindre 10 UH que la
rate . : |
| |
 |
|
 |
|
| |
Image TDM sans preparation :
Normalement la densite du foie 50UH et la rate est
40 - 45 UH . |
|
En coupe TDM avec contrast
intraveineuse : La densite du foie est 100UH et la
rate est de 75-100UH |
|
| |
 |
|
 |
|
| |
En cas steatose du foie la
densite du foie est moins dense 10UH que la rate |
|
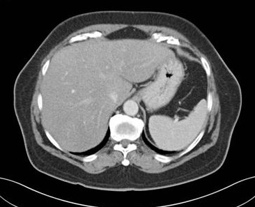
Image TDM d'une steatose du
foie : Le foie est hypodensse que la rate . Gradient
normal sans injection foie/rate =10UH |
|
On peu gradation steatose du foie sur TDM :
| |
Grade 1 : Les vaisseaux sont visibles en
peripherique 1/3 externe du foie |
| |
Grade 2 : Les vaisseaux sont visibles seulement
jusqu'au 1/3 moyen du foie |
| |
Grade 3 : Les vaisseaux sont visibles seulement dans
le 1/3 interne du foie |
| |
Grade 4 : Les vaisseaux ne sont plus visibles dans
1/3 interne du foie |
| |
Grade 5 : Les vaisseaux sont en visibles positif
|
| |
 |
|
 |
|
| |
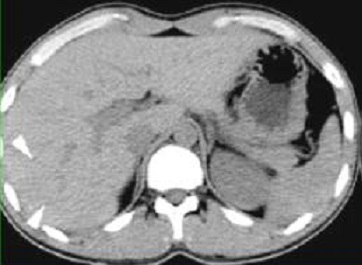
Steatose grade 1 : Les
vaisseaux sont visibles en 1/3 externe du foie |
|
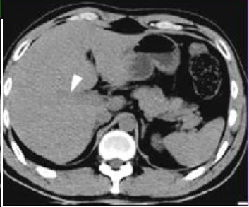
Steatose grade 2 : Les
vaisseaux sont visible jusqu'au 1/3 moyen du foie |
|
| |
 |
|
 |
|
| |
Steatose grade 3 : Les
vaisseaux sont visible seulement dans le 1/3 interne
du foie |
|
Steatose grade 4 : Les
vaisseaux ne sont plus visibles dans 1/3 interne du
foie |
|
| |
 |
|
|
|
| |
Steatose grade 5 : les
vaisseaux sont en visibles plus hyperdense que
le foie |
|
|
|
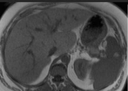
Image IRM de steatose fu foie
: Image de
hyperintense sur T1 et hypointense surT2 . L'infiltration graisseuse du foie provoque une diminution de
l'attenuation du parenchyme du foie . Sur le foie normale le
signal du parenchyme hepatique est similaire sur toutes les
images "in phase " et "opposed phase " . Dans steatose du
foie le signal du foie est hyperintense relative avec la rate (
T1 in phase ) et a opposed-phase , par la chute de
signal , image du foie est hypointensite ,
| |
 |
|
 |
|
| |
Image ỈRM normale du foie en
T1 coupe axiale .Image du foie est
hyperintense que la rate |
|
Image ỈRM normale du foie en
T2 coupe axiale . Le parenchyme du foie est moins intense que
la rate . |
|
| |
 |
|
 |
|
| |
Steatose du foie : en phase .
Image IRM du foie |
|
Steatose du foie : Op de phase . |
|
| |
|
|
|
|
Steatose focale du foie
: C'est la deposite de la graisse
localise lobaire ou regionale du foie . Ce qui donne
des differences images sur echographie , TDM ou IRM .
| |
 |
|
 |
|
| |
Image echographique typique
focale regionaire du foie . Image du parenchyme du
foie est hyperdense non homogene regionaire |
|
Image echographique typique
focale lobulaire du foie . Image du parenchyme
du foie est hyperdense en lobaire , foie gauche est
hyperdense que foie droit . |
|
| |
 |
|
 |
|
| |
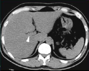
Image steatose focale
segmentaire typique du foie . Region du foie
normale est en plus dense leregement que la rate ,La
region steatose foie gauche est moins dense
que la pảrtie normale du foie droit et la rate
( Image TDM en coupe axilaire ) |
|
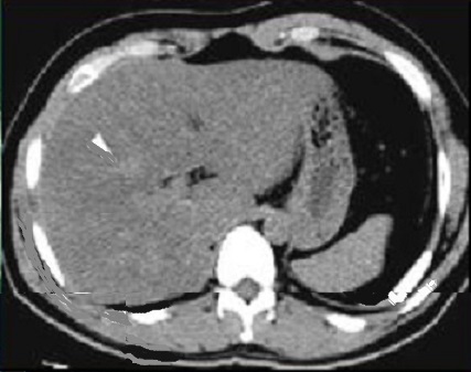
Même cas en coupe a
travers arcade portale |
|
| |
 |
|
 |
|
| |
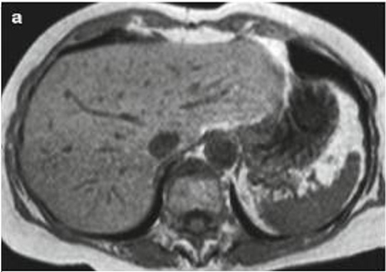
Image IRM d'une steatose
focale du foie : Coupe axiale T1
en phase . Region steatose est hypersignal que foie normale |
|
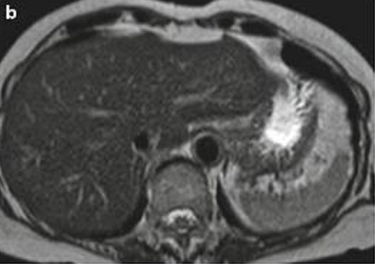
Même cas en coupe axiale T1
op de phase . Region steatose est hyposignal que le
foie normale . |
|
| |
|
|
|
|
Hepatite : C'est
l'etat
de
affection inflamatoire du foie
avec ictere , elevation des transaminase ( tableau
cytolytique ) ou des phosphatase alcaline et
signes de insuffisance hepatique . Cause le plus souvant :
alcoolisme , viral ( A, B , C .. ) , toxique ou medicament .
Image radiologique de hepatite sont :
Echographie et cliche de face ASP : Image
echographique de hepatite aigue est image de hepatomegalie ,
parenchyme hypoechogene , voie biliaire est fine ,
epaissisement de paroi de la vesicule biliaire . Image
de "starry night " de la parenchyme du foie ou adenopathie
hillaire parfois en se voyait . Cliche de ASP de face est
image de hepatomegalie .
| |
 |
|
 |
|
| |
Aspect echographique de
hepatite aigue : Image de hepatomegalie ,
hypoechogene du foie et image de " starry
night " du foie . Ce signe est caracteristique par
accentualisation de la venule portale et la
diminution de echoriche des cellule oedemateuse de
la parenchyme du foie |
|
Image le plus souvent en
voyait dans hepatite aigue est image de
epaissisement oedemateuse de la vesicule biliaire .
Plus de > 3mm de epais |
|
Image TDM de hepatite
: Aspect radiologique de
heaptite aigue du foie le plus souvent est image de
hepatomegalie : Depasse 15,5cm au line medio-clavuculaire
droit .Image de hypodense parenchymateuse . Image de oedeme
periportale ( aspect hypodensse peri portale ) .
Lymphadenopathie periportale et hepato-duoenale .
| |
 |
|
 |
|
| |
Aspect TDM de hepatite aigue
est image de hypoechogene dela parenchyme du foie ,
image de epaissisement de la paroi de la vesicule
biliaire . Coupe TDM axiale du foie |
|
Image de epaissisement de la
vesicule biliaire et image de adenopathie regionaire
periportal et hepato-duoenale . |
|
| |
 |
|
 |
|
| |
Hepatite aigue : Aspect de
hypodense region perioportale et peri hillaire du
foie ( >5mm ) . Image de hypodense de la parenchyme
du foie . Lymphadenopathie hillare dans ce cas est
en bien se voyait . Image radiologique du foie
en coupe TDM axiale . |
|
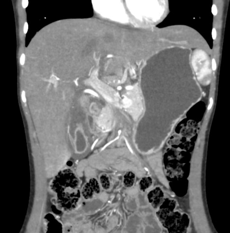
Aspect hypodense du
parenchyme du foie dansd hepatite aigue . Le
foie est en moins densite que la rate . Et image de
hypodense region periportale et image de
adenopâthie hileire du foie . |
|
| |
|
|
|
|
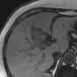
Image de ỈRM de hepatite :
| |
Sur T2 :
Image hypẻrsignal de la region periportale
( oedeme de la region peri portale )et hypersignal legere de parenchyme du foie
|
| |
Sur T1 C+ : Image hyposignal
de la region periportale |
| |
En phase / Op phase : se presence
dans les cas ce qui avait steatose du foie |
| |
|
| |
 |
|
 |
|
| |
Hepatite aigue : Aspect hypersignal de la region periportal .
Hypersignal et epaissisement de la paroi de vesicule billiaire . Image radiologique ỈRM
ponderation sur
T2 de hepatite
viral en coupe axiale . |
|
Même cas en coupe a travers
tronc portale |
|
| |
|
|
|
|
| |
|
|
|
|
| |
|
|
|
|
A suivre
Page :
1
/
2
/
3
/
4
/
5
/
6
/
7/
8
/ 9 /
<<
PREVIOUS
<<
>> NEXT >>
Gs Bui Binh Tho
|