|
Pathologie radiologique du foie :
Pathologie
diffuse du foie ( a suivre ) :
.Cirrhose du foie :
C'est maladie chronique irreversible et diffuse
du foie , au cours de laquelle l'architecture hepatique se
deorganisee et accompagnement d'une degenerescence des
tissus du foie . Il se augemente de volume , devient dure et
puis prendre un aspect granuleux . Les principales causes de
cirhose du foie sont : Alcoolisme chronique , hepatite
virale ( A, B, C ) , hepatite toxique ou medicamenteuse .Les
autres causes a moins frequemment sont : insuffisance
cardiaque avec congestion du foie , syndrome de Budd-Chiari
, trouble metabolique par obesite et diabete ( steatose du
foie , glycogenose .. ) , maladie de Wilson , la cholangite
biliaire ou sclerosant primitive ( CBP ou CSP ) sont parfoie
en se presente
Image radiologique de la cirrhose du foie se base
sur echographie percutanee et Doppler du foie , ,la plain
film ASP de l'abdomen , la TDM , l' IRM et
elasto-echographie .
| |
Image echographique de
la cirrhose du foie : Le foie droit et gauche peut
hypertrophie ou atrophie , sa bord est irregulier
nodulaire , angle du foie est obtus ,
heterogenneuse echogene , hypertrophie du lobe
caudale . |
| |
Au stade avance il y en avait de
presente : |
| |
-Signes de
hypertension portale : Enlargement de la veine porte
> 11mm , enlargememt du veine mesenterique
superieure et veine splenique , depasse > 10mm .
Recanalisation du veine paraombilicale , biphasique
et reverse flux de la veine porte |
| |
-Splenomegalie :
la rate est hypertrophie > 120mmm , dilatation du
systeme veine hilaire |
| |
- Ascite :
presence dans espace de Morisson du rein droit ,
espace hilaire du foie , cul de sac posterieure et
laterale |
| |
- Echo-elastographie
: Le foie cirrotique est plus dure que foie normale |
| |
 |
|
 |
|
| |
Aspect
echographique de la cirrhose du foie : Foie gauche est
heterogen . a bord irreguliaire ,angle est obtus .
Lobe caude est hypertrophie a inferieure , et hypoechogene |
|
Image echographique de la
cirrhose du foie au debut
. Foie est en hypoechogene a bord irregulier , veine porte
est dilate |
|
| |
 |
|
 |
|
| |
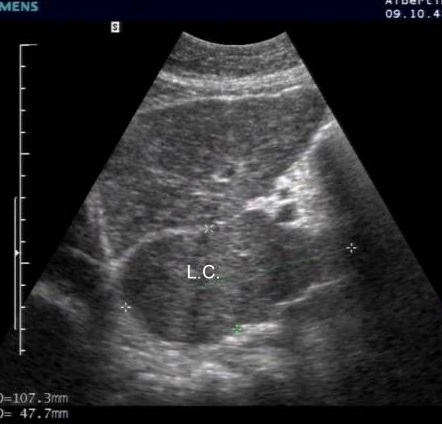
Images echographiques cirrhose du foie a la periode
d'etat : Foie a petit
volume , bord irregulie , angle anterieure a obtu - Ascite au espace
Morrisson et region sous hepatique droit . |
|
Images echographiques de cirrhose du foie au stade
avance avec ascite de large volume : La volume du foie est diminue ,
hyperechorich echogene avec sa bordure tres irregulie . Une
ascite a grand
volume et pleuresie pleurale gauche . Veine porte dilate important avec diametre
surpasse 12,5 mm ( normalement < 11mm ) . |
|
| |
 |
|
 |
|
| |
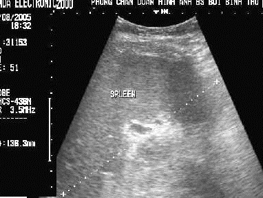
La rate augemente de la volume
, sa longeur surpasse 136mm ( normale : 9,5 - 120mm ) . Dilate legerement des veines hilaires . |
|
Images echographiques une ascite a petit
volume se presente a la region sous splenique . |
|
| |
 |
|
 |
|
| |
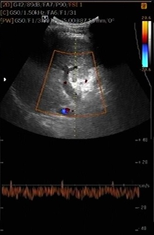
Cirrhose du foie : le flux de la veine
porte est biphasique (normalement ce
flux est monophasique ) . |
|
Et ce flux se diminue a
inferieure de 15cm/sec et reverse ( flux
inverse ) |
|
| |
 |
|
 |
|
| |
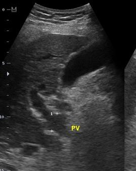
Image radiologique
d'une cirhose du foie : Aspect du veine porte au
arcade portal a diametre de 12mm |
|
Même cas de cirrhose du foie
: Ce flux dans cette cas est moins de
15cm/s et reverse ( flux inverse ). |
|
| |
 |
|
 |
|
| |
Image d'une
thrombus de la veine porte . Cirrhose du foie |
|
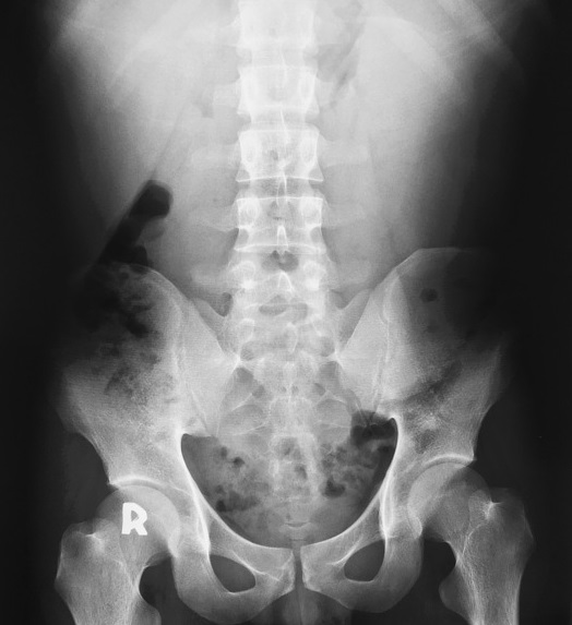
Aspect radiologique de la
cirrhose du foie sur cliche ASP de face est
image de hypertrophie du foie ( hepatomegalie ) et
de splenomegalie . |
|
| |
|
|
|
|
| |
|
|
|
|
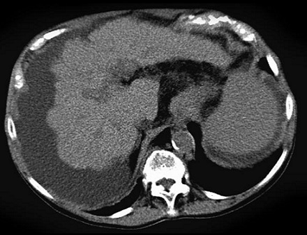
Image TDM de la
cirrhose du foie : Technique radiologique moins
sensible de dignostic cirrhose du foie au debut . Au
stade avance image radiologique TDM de la cirhose du foie
est : Parenchyme du foie est heterogene , hypertrophie
du lobe caude , index C/RL > 0.65 et signe de hypertension
portale : dilatation de la veine porte , veine
splenique , splenomegalie et image de thrombus veineuse .
| |
 |
|
 |
|
| |
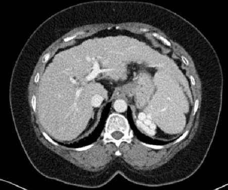
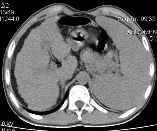
Image
radiologique TDM d'une cirrhose du foie en coupe
axiale . Le parenchyme et surface du foie est en
nodulaire , heterogene . La lobe caude est
hypertrophie , splenomegalie legere . Index C/RL est
> 0.66 ( cirrhose du foie ) |
|
Index C/RL : Coupe axiale TDM
a inferieure de bifurcation de la veine porte
.
| C : distance entre line1et
line2 |
| RL:distance entre line1 et bord
externe du foie |
| C/RL < 0.6
= foie normale |
| C/RL = 0.6 - 0.65 =
bordeline de cirrhose |
| C/RL >
0.65 = 96% est cirhose du foie |
| C/RL >
0.73 = 99% est cirhose du foie |
|
|
| |
|
|
|
|
| |
 |
|
 |
|
| |
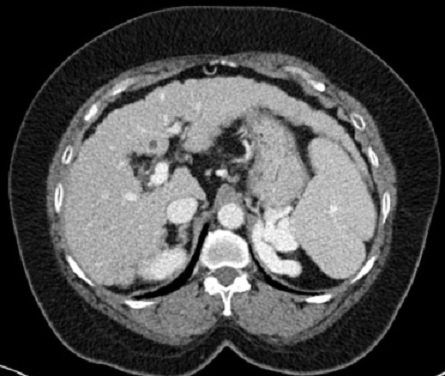
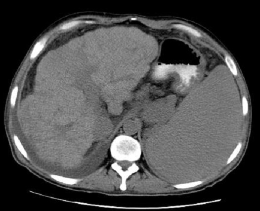
Aspect radiologique TDM de la
cirrhose du foie phase veineuse : Le bord du foie
est irregulier , atrophique , veine porte est dilate
et splenomegalie |
|
Même cas en coupe a
inferieure de la bifurcation portale : Dilatation de
la veine porte et veine splenique . |
|
| |
 |
|
 |
|
| |
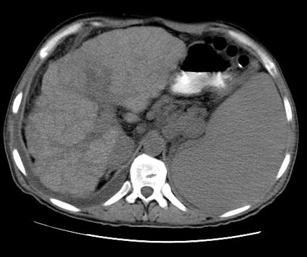
Cirrhose du foie : Aspect de
la surface et parenchyme heterogene nodulaire
, splenomegalie et dilatation de veine splenique
|
|
Même cas en difference coupe
a travers le tronc portale |
|
| |
|
|
|
|
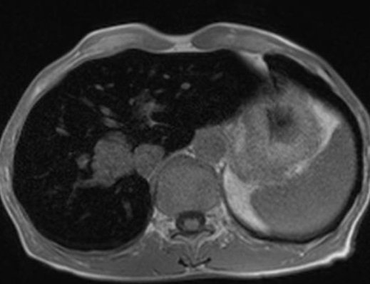
Image IRM de la cirrhose du foie : Cette
technique est moins sensible de diagnostic de la cirrhose du
foie au debut mais bien dans la recherche de petite HCC
. Morphologie de la cirhose du foie sur IRM est
resemble que dans le CT et echographie . Aspect
radiologique IRM en T1 de cirrhose du foie est image
isosignal a bord et parenchyme irregulie
nodulaire et a hyposignal en T2 .
| |
 |
|
 |
|
| |
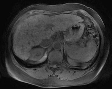
Aspect radiologique IRM en T1
d'une cirrhose du foie . Foie a petit taille
isointense a bord irregulier et splenomegalie
( coupe axiale ) . |
|
Cirrhose du foie en
coupe axiale IRM en T2 . Foie est
hyposignal |
|
| |
 |
|
 |
|
| |
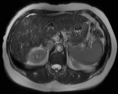
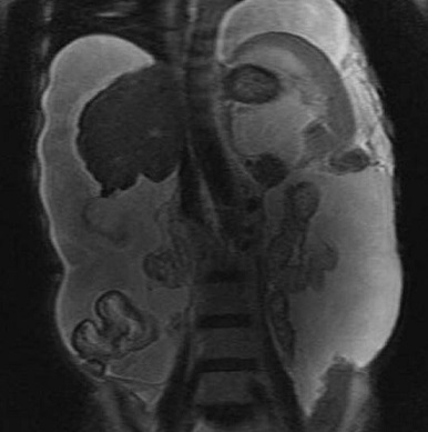
Image radiologique IRM du
foie en T2 coupe axiale : Foie a petite taille a
bord irregulier avec hypertension portal ,
splenomegalie et ascite important |
|
Image en coupe coronale |
|
| |
|
|
|
|
Hemochromatose du
foie : C'est une pathologie provoque par la
presence une quantite anormale de haurte de fer dans le
corps . Il se peut acumule dans le foie , coeur , les
articulations , la peau et a hypophyse , et ce qui en trainee
de multiples complications : chirrhose du foie ,
cardiomyopathie , arthropathie ... L'hemocromatose du foie
peut primaire par la dysregulation de l'absortion du fer
provoque par des anormalie genetique ou secondaire par une
surcharge de de fer . Cette article est focalise seul sur
les images radiologique et echographique du foie
dans l'hemochromatose . Image echographique de
hemochromatose du foie est hyperechogene avec echotexture
rude , le foie peut en hypertrophie ,cirrhose avec des
signes de hypertension portale . , ,. Image TDM de
hemochomatose du foie est image de hyperdensite de la
parenchyme du foie a superieure 70 UH ( normalement 40UH ) ,
les vaisseaux sont bien visible et hypodense a inferieure du
parenchyme hepatique . La IRM est moindre de sensibilite de
explore dans hemocromatodse du foie . Image de receillir sur
T1 est hyposignal par la presence de surcharge de fer du
foie .
| |
 |
|
 |
|
| |
Image echographique
d'une hemochromatose du foie avec aspect de
hyperechogenicite et rude de la parenchyme du foie . |
|
Image hyperdensite ( plus de 70UH ) de
parenchyme du foie avec image hypodense des
vaisseaux hepatique en vue relative nette sur ce
coupe . Image radiologique TDM d;une hemochromatose
du foie en coupe axiale |
|
| |
 |
|
 |
|
| |
Aspect hyposignal de
parenchyme du foie par la deposite de fer dans
l'hemochomatose du foie . Image radiologique IRM
ponderation T1 , en coupe axiale |
|
Dans la ponderation T2 IRM , la
parenchyme du foie est le plus hyposignal que les
muscles paraspinales . Coupe IRM axiale a travers du
foie a ponderer sur T2 d'une hemochromatose du foie |
|
Maladie de Wilson :
Est une pathologie rare d'origine genetique se traduisant
par dysfonctionement de l'elimination du cuivre hors des
differences organes ,.Le foie et le cerveau etant les plus
touches . Image echographique du foie dans maladie de Wilson
sont des signes indirects de la cirrhose du foie . La CT et
IRM ne donne de aspect caracteristique de la depot du cuivre
sur ce organe
| |
 |
|
Image radiologique TDM ce
maladie de Wilson est aspect du foie cirrhotique ,
parenchyme du foie peut hyperattenuance de
forme macronodulaire en association de splenomegalie
( voie image ) . Par le cuivre est
non-ferromagnetique , la deposite du cuivre dans le
foie ne peut pas detecte sur les coupe de 'IRM
. |
|
A suivre
Page :
1
/
2
/
3
/
4
/
5
/
6
/
7/
8
/ 9 /
<<
PREVIOUS
<<
>> NEXT >>
Gs Bui Binh Tho
|
|