|
Tumeurs du
foie :
Tumeurs benignes du
foie :
- Kyste
simple du foie :
Les kyste simple du foie se presence de 0,2-0.7
de population ,contenue liquidienne , unique ou multiple ,
se develope de tissue hamartomateuse , predominence
feminine , croissance lente avec age et asymtomatique dans
la majorite des cas . Sa taille est variee de quelque
millimetre a plusieure centimetre, se localise le plus
souvent au lobe droit du foie
- Image echographique
de kyste simple du foie est :
Aspect lesionel anechogene , homogene ,arrondie ou ovalaire a
renforcement echoriche posterieur . Sa contour est. net , lisse
, peut etre en cloisone et avascularisation
| |
 |
|
 |
|
| |
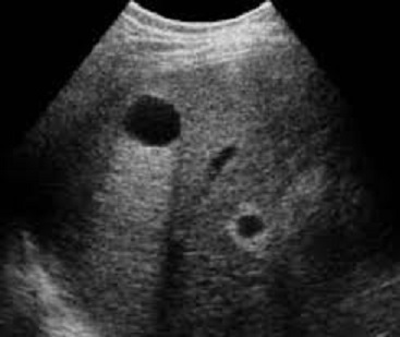
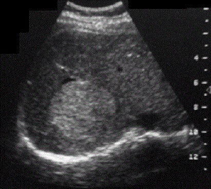
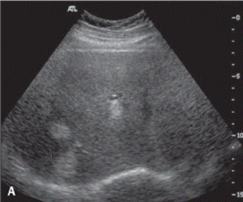
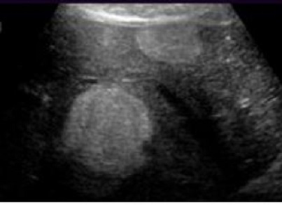
Aspect lesionnel du kyste est arrondie aechogene a
bord tres nette et lisse , situe
a lobe droit du foie . Ombre de hyperascoustique porterieure
du kyste en visualise tres net . Image echographie
percutanee du kyste simple du foie |
|
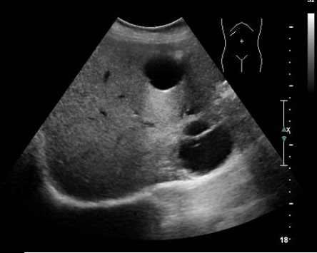
Kyste multiple simple du foie
droit . Le kyste inferieure est en vue tres nette
avec encloisonne
, |
|
| |
|
|
|
|
Image TDM de kyste du
foie : Image lesionaire arrondie , de taille variable souvent de
quelque centimetrique . Densite liquidienne de 0
a 15UH
| |
 |
|
 |
|
| |
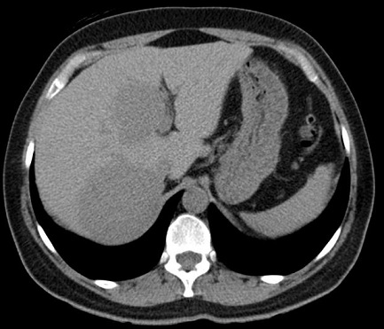
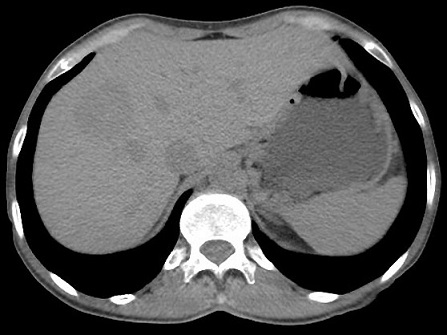
Image radiologique TDM d'une kyste simple
du foie droit en coupe axiale : Aspect
lesionnel a densite variee de 7-15 UH ( hypodense )
avec bord lisse , bien definie et regulier |
|
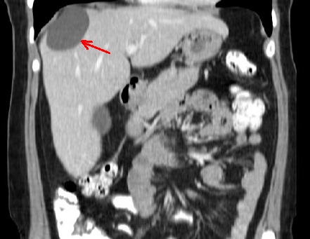
Même cas en coupe coronal (
fleche rouge ) . La kyste est situe du foie droit
juste a inferieuse du coupole diapragmatique droit |
|
| |
 |
|
 |
|
| |
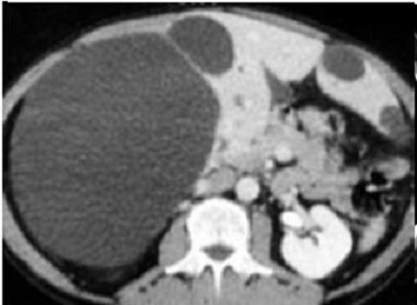
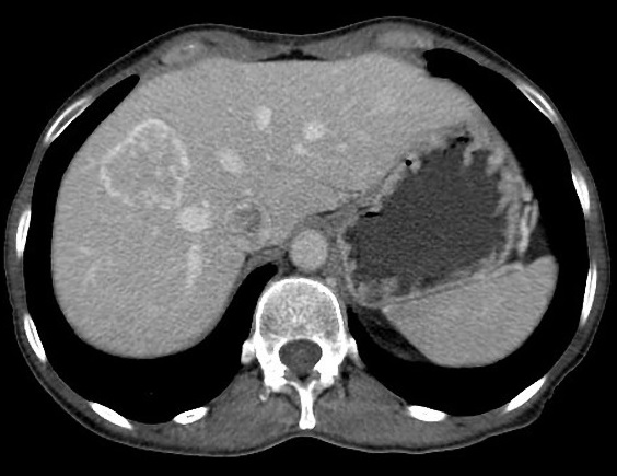
Image de kytes
multiple tres volumineuse du foie droit et a lobe gauche du
foie. Ce sont des image ovalaire hypodensite a
bord tres nette , bien limite situe au foie droit |
|
Aspect TDM une
kyste du foie droit avec image de calcifie
de sa paroi . En cas hemorragie
intrakystique on peut en voyait image de cailleaux
hyperdense du sang |
|
Image
radiologique IRM de kyste du foie : Image lesionel arrondie
ou ovalaire hyposignal en T1 et hypersignal en T2 et nette sủr
T1 + gadolinium FS
| |
 |
 |
 |
|
| |
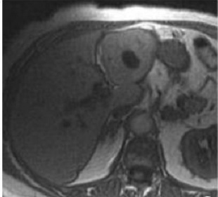
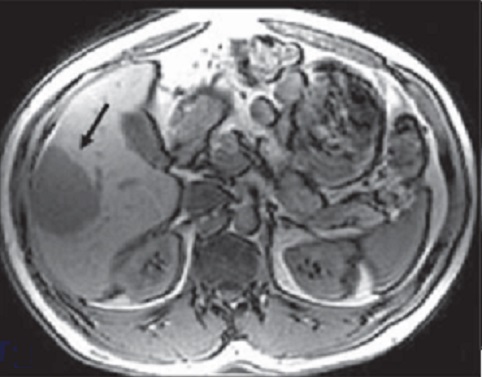
Image ỈRM ponderation T1
en coupe axiale d'une kyste simple du foie gauche ,avec
aspect lesionaire ovalaire a hyposignal situe au foie gauche
|
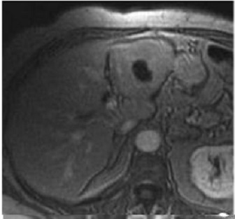
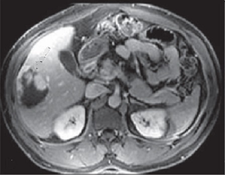
Meme cas
en ponderation T2 : Image lesionnel est tres hypersignal
situe au foie gauche |
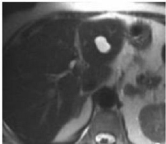
Aspect de ce cas ponderee en
T1 + gadolium FS : Image ovalaire a hypodense du foie
gauche |
|
| |
|
|
|
|
|
Diagnostic diferentiele avec : |
- Kyste hydatique |
| |
- Abces du foie |
| |
- Kyste choledoque |
| |
- Cystadenome biliaire |
- Hemangiome
: Tumeur hepatique tissulaire , predominance
feminine , le plus souvent unique et de taille a moins < 4cm
peu acceleration de la croissance posible lord de la puberte
, durant la grossesse .Tumeur benigne , asymtomatique ,
complication est thrombose , hemorragie post traumatique et
post biopsie .
Image echographique de hemangiome : Aspect
echographique typique de hemangiome est lesion hyperechogene
homogene a contour net a renforcement d' echogen posterieure .
Absense de vascularisation au Doppler . Diminue de
l'echoriche a ísoechogenne en compresion ( manoeuvere de
compression )
| |
 |
|
 |
|
| |
Aspect echographique
typique d'une hemangiome : Image arrondie
hyperechogene , homogene a bord lisse uniquement au
lobe droit du foie |
|
Image echographique de
hemangiome du foie , sa bord est net , lisse et
hyperechoriche situe du foie droit |
|
| |
 |
|
Hemangiome du foie : Image de l'absence de vascularisation
de ce tumeur sur Doppler |
|
| |
- Image
radiologique TDM de hemangiome : Image radiologique
TDM de hemagiome du foie est variee selon les phases
de expose de coupe : |
| |
Au coupe sans de contrast : lesion
arrondie ou ovalaire a bord lisse , hypodense que le
foie |
| |
En phase d'arteriel : image de
discontinue hyperdense peripherique de la tumeur
|
| |
En phase de veine porte : Image de
rehaussement peripherique ,progessive de la
peripherique vers le centre |
| |
En phase terminale : la
lesion se remplisage complete de contrast dans
de 3 a 60 minutes |
| |
|
|
|
|
| |
 |
|
 |
|
| |
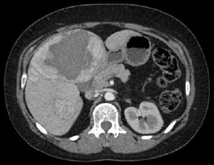
Aspect de multiple hemangiome
arrondie a hypodense ,avec bord lisse , net situe du
foie droit ,. Image radiologique TDM en coupe axiale
. |
|
Image de discontinue
hyperdense peripherique de la hemangiome . Phase
arteriel en coupe TDM axiale du foie |
|
| |
 |
|
 |
|
| |
Image
de rehaussement peripherique discontinuie et ,progessive de la
peripherique vers le centre du tumeur (: hemangiome
du foie ) .Coupe axiale TDM plus C+ phase de veineuse |
|
Image de rehaussement peripherique ,progessive de la
peripherique vers le centre . |
|
Image IRM
typique de hemangiome : Methode IRM est tres
performance de diagnostique hemagiome du foie : aspect
hyposignale en T1 et hypersignal en T2 . Cinetique de
rehaussement avec de contrast intraveineuse est resemble a
celle du TDM
| |
 |
|
 |
|
| |
Image hyposignal d'une
hemangiome du foie en coupe axiale de IRM a
travers du foie ponderee en T1 |
|
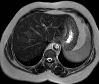
Image hypersignal
du mêm cas en coupe axiale de IRM a travers du
foie ponderee en T2 fat-sat |
|
| |
 |
|
 |
|
| |
Meme cas en IRM
ponderee en T2 non perfusion intraveineuse : Aspect du
tumeur est hypersignal ( fleche blanche ) |
|
Image IRM ponderation T1 plus contrast
intraveineuse . En phase de veine porte c'est image
de rehaussement progessive de peripherique vers le
central |
|
| |
|
|
|
|
- Adenome du
foie : Tumeur begnine du foie bien limite origine de cellule
resemble aux hepatocyte . Sa taille est variee de quelque
centimetre a trente centimetre , situe le plus souvent du
foie droit et a incidence est 3/100.000 souvent cher les jeunes femmes de
20-40ans relie a la contraceptile orale .ou a des
hommes en sous traitement de steroide anbolisants . Sa
nombre varie de quelque adenome a multiple adenome (
adenomatose hepatique ) forme pedicule est 10% des cas
. Asymtomatique et douleur abdominale aigue en cas de
rupture ( 15%-20%) de cette tumeur , degenerescence
cancereuse est tres rare .
Image radiologique pour diagnostic de adenome du
foie se base sur echographie , la TDM , la IRM et medecine
nucleaire ( PET/SCAN) .
Image echographique adenome du foie : Aspect le
plus souvent en voyait etre hyperechoriche a sans
renforcement de acoustique posterieur ou parfoie lesion en
halo-hyperechoriche a aechogene central . Echographie en
Doppler peut voyait de image des sinus peri-lesionales ..
| |
 |
|
 |
|
| |
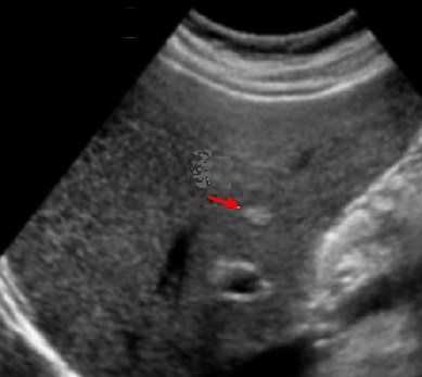
Aspect
echographique d'une adenome du foie gauche . Image
ovalaire hyperechogene a bord regulier et sans
renforcement de ascoustique a inferieure (
fleche rouge ) |
|
Image echographique de
adenome du foie . Lesion est bien limite a d'allure
encapsule et le plus souvent hyperechogene .
Sans renforcement ou diminue d'ascoustique a
inferieure |
|
| |
 |
|
 |
|
| |
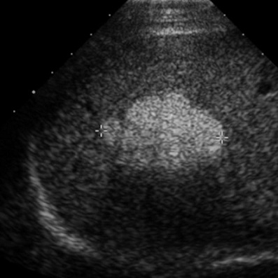
Image echographique
arrondie bien definie , bord lisse a
hyperechogene et relative homogene situe du foie
droit . Adenome du foie |
|
Aspect ovalaire
hyperechogene une adenome du foie . Sans
renforcement de ascoustique posterieure |
|
. Image de TDM adenome du foie :Lesion le plus
souvent a hypodense ou isodense avec une pseudo-capsule.
Aspect de hyperdense peut en presence dans complication
hemorrhagique de adenome . Rehaussement important et
en
precoce avec contrast intraveineuse ( IPDC )
| |
 |
|
 |
|
| |
Multiple adenome du foie
: Images arrondies ou ovalaire , bord regulier a
hypodense situe au foie droit . Image radiologique
TDM du foie (n'a pas de contrast ) en coupe axiale |
|
Meme cas en coupe TDM axiale
du foie , phase arteriel : Image de
rehaussement important et precoce sur zone non
necrotique apres une injection de contrast
intraveineuse |
|
| |
 |
|
 |
|
| |
Meme cas en
phase portale . Aspect lesionaire |
|
Adenome du foie : Image de lesion
hypodensse avec rehaussement des zones anecrotique
du foie droit . Coupe axiale TDM du foie avec IPDC |
|
| |
 |
|
 |
|
| |
Aspect radiologique d'une
adenome pediculaire du foie droit . Image TDM du foie
en coupe coronale arteriel phase . |
|
Aspect radiologique d'une
adenome du foie avec complication hemorragie intra
lesionaire. Image TDM en coupe axiale phase arteriel |
|
Image IRM de adenome du foie : Lesion est
hypersignal T1 et T2 par le caracteristique de la presence
de graisseux intracellulaire pres de 75% des cas .
Rehaussement important sur des zones non necrotique et non
hemorrhagique .
| |
 |
|
 |
|
| |
Áspect radiologique IRM
en T1 de adenome du foie droit : Image hypersignal
de multiple de adenome du foie gauche |
|
Même cas en T2 fat sat :
Image IRM T2 du foie en coupe axiale |
|
| |
 |
|
 |
|
| |
Image du foie en T2 . : Image
hypersignal des adenome du foie droit |
|
Image radiologique
hypersignal d'une
adenome du foie . Image IRM ponderee en T2 |
|
| |
|
|
|
|
Radio diagnostic differentiel avec :
Hyperplasia nodulaire focale .
A
suivre
Page :
1
/
2
/
3
/
4
/
5
/
6
/
7/
8/9/
<<
PREVIOUS
<<
>> NEXT >>
Gs Bui Binh Tho
|
|