|
-
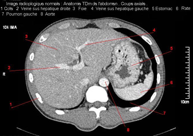
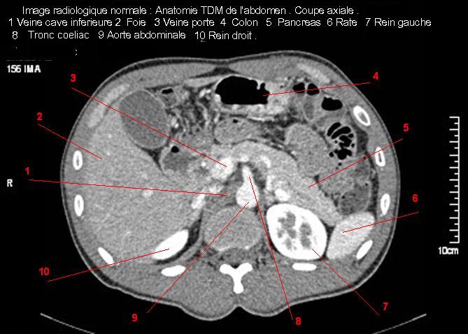
Image radiologique normale du foie :
Images radiologique
normale du cliche ASP de face :
| |
-En haut ce sont les deux coupoles
diapragmatique limitant la cavite abdominale
|
| |
- En bas c'est le pelvis |
| |
- En haut et laterale ce sont des
dernieres cotes |
| |
- Au centre : La region dorsolombaire , le rachis lombaire
et puis l'ombre des organe pleins : L'opacite du foie au
niveau de la region sous diphragmatique droite par
lobe droit et sous diapragmatique gauche par lobe
gauche , la bord inferieure du foie droit est
souvent a superieure de la crete iliacque droit . L'opacite de la rate est a gauche ,
sous diapragmatique gauche et externe . A inferieure
et pres de la colon vertebrale c'est l'ombre des
deux reins( l'ombre renale ) . L'opacite de deux
muscle de psoas peut en voyait de chaque cote de la
colonne lombaire au debut de D12 , L1 incline a deux
fosses iliaques . L'opacite de la vessie en se
voyait lorsqu'elle est en repletition ou en
semi-repletition |
| |
- Le tube digestif : Il est visible
lorsqu'il contient de l'air , |
| |
-L'estomac est toujour
visible et la presence d'air gastrique est normale .
Il situe sur le quadrant superieure gauche de
l'abdomen , la poche gastrique est directement sous
diapragmatique gauche et oblique a inferieure et
attache au transverse colon par ligament gastro-colique
. Image le plus souvent en voyait est image hydro-aerique
de la poche gastrique et sa diametre est variable |
| |
- Le grele du jeune enfant contient toujour d'air mais
le grele de aldulte ne contient pas ou tres peu . .Situe
au centre de l'abdomen et en circle par des plies
muqueuses et il peut efface en distendue . Sa
diametre peut atteint 30mm |
| |
- Colon contient toujour d'air et le plus
souvent est le ceacum , angle colique droit , angle
colique gauche . Et dans image de gaz du colon on
peut voyait encore image des selles de sa
contenant . |
| |
- Lateralement a gauche et a droite est
image claire de la petite lame de graisse de la
paroi de l'abdomen , . en dedans est le peritoine .
Entre le peritoine et le colon descenant , ascendant
est gouttiere parieto-colique |
| |
|
| |
 |
|
| 1 Coupole diaphragmatique Dt |
| 2 Colonne vertebrale |
| 3 Gas dans gros tuberosite de
estomac |
| 4 Gaz situe dans l'angle colique
gauche |
| 5 Gaz du colon transverse |
| 6 Gaz du colon Sigmoide |
| 7 Saccrum |
| 8 Crete iliaque |
| 9 Tete femorale |
| 10 Gaz situe dans angle colique
droit |
| 11 Bord de silhouette de psoas |
| 12 Sombre du foie et rein droit |
| 13 onzieme cote |
| 14 Ligne graisseuse de la paroi de
abdomen |
|
| |
Cliche ASP en face debout : Le
cliche reussite doit etre ananlyse complete
les deux coupoles diapragmatiques en haut et la
sympyse pubienne a inferieure . La penetration ( Kv,
mAs ) soit suffisament pour le plus possible des
differences organes ( reins , foie , deux psoas et
images gazeuse de estom et colon ) |
|
|
. Sur le cliche de face
ASP , on peut en vue seul l'ombre du foie droit a superieure
est la coupole diafragmatique droit et a inferieure est le
bord inferieur- anterieure du foie Normalement
la vesicule biliaire et des voie biliaire ne vont pas en
voyant ,parfois on
peut en s'observe de la vesicule
biliaire en comble a la region hypochondre droit , empreinte
sur image de l'air du colon transverse . les affections
de la vesicule biliaire et des voie biliare comme la
lithiase du canal choledoque , calcul de voie biliaire
intrahepatique , calcul de la vesicule biliaire ou image de
la vesicule en porcelaine . Images des affections aerobilie
peut en voyait sur le cliche de face ASP ...
| |
 |
|
 |
|
| |
Sur la cliche ASP de
face en position debout , on peut en voyait l'ombre
du foie droit , a superieure est la coupole
diapragmatique droit et a inferieure c'est la
bord inferieur du foie , cela nomalement souvent a
superieur de la crete iliacque droite . L'ombre de la vesicule biliaire a la region hypochon
droit , empreine sur des air du colon transverse (
11) parfois se retrouve |
|
Affection lithiasique des
voies biliaires peut voyait sur cliche de face ASP (
les calculs intra hepatique et de la vesicule
biliasire ) :
Image calcul de la vesicule biliaire en
vue nette . |
|
| |
 |
|
 |
|
| |
Image de calcule multiple de
la vesicule biliaire . Cliche de face ASP |
|
Vesicule biliaire en porcelaine en vue a
la region hypochondre droit a inferieure du bord
anterieure du foie droit . Cliche de face ASP . |
|
Image echographique du foie et des vaisseaux
normales ( echo-anatomie ) :
Ils y avaient plusieures plans
de coupe pour exploration echographique des voies biliaire . Entre eux
ils y avaient quelcoupe de base pour etudie la
vesicule biliaire et voie biliaire :
| |
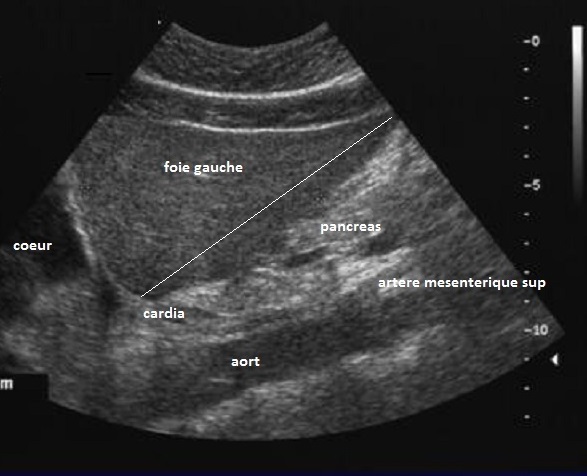
- Coupe long sagitale de l;a ligne median
atravers foie gauche et aorte abdominal |
| |
- Coupe sagitale de la ligne medio-claviculaire
droite a travers le foie lobe droit au
debut de bord anterieure du foie , la vesicule
biliaire a travers le foie droit vers le sinus costo
diafragmatique droit en arriere et le bord
superieure du rein droit
|
| |
- Coupe hypochondre droit incline oblique
superieure droit( transverse recurrent BVP ) |
| |
- Coupe hypochondre droit incline oblique
superieure droit( transverse recurrent "Tete de
Mickey ") a travers le foie droit et le tronc
de la vein porte . Artere hepatique , le canal choledoque et la
vesicule biliaire peut en vue totalement sủr cette
coupe |
| |
- Coupe intercostale de la ligne axillaire
anterieure droit ( coupe long sagitale - vesiculaire
) a travers foie droit et branche
droit de veine porte et l;a vesicule
biliaire |
Le volume hepatique est verifie sur les coupes sagittales
passant la ligne mediane a travers l'aorte pour le foie
gauche et par la ligne medio-claviculaire droite pour le
foie droit. La mesure de distance entre le point le plus
haut du bord anterieure du foie avec la cardia de l'estoma
est la mesure echographique du foie gauche , normalemat
100mm . La distance de bord anterieuse du foie a la ligne
medioclaviculaire droit au point inférieur du foie, comme la
mesure echographique du foie droit , nosmalement 150mm . Les
contours hepatiques sont normalement parfaitement lisses, sa
capsules est fin liséré échogène . Le foie
est mobile à la respiration et a changements de posture. Il
y avait un interface entre le rein droit et le foie c'est
l'espace de MORISSON. Le parenchyme hépatique est
parfaitement homogène et finement granuleux. Sa tonalité
etre a peu près équivalentes à celle du cortex du rein droit
Les veines sus-hépatiques sont bien visualisées par coupe
hypochondre droit axial oblique. Leurs parois sont fines et
régulières et en pratiquement a trois branche . Le flux
sanguin est triphasique reflet du cycle cardiaque et tres
sensible a inpiration force .
La veine porte présente un diamètre antéropostérieur
normalement inférieure à 12 mm en respiration spontanée. Son
diamètre varie moins au cours de la respiration que celui
des veines sus-hépatiques. Ses parois sont bien visibles.et
sa flux sanguine est mono-phasique a nombreuse de frequence
representees . Normalement sa vitesse moyene > 10mm/s et
vitesse max est de > 18mm/s
L'artere hepatique n'est toujours visible en échographie,
elle est souvent repérée à son origine, mais plus rarement
dans le pédicule hépatique. Son diamètre est inférieur à 5mm
, sa flux est
alternative systole -diastole
| |
 |
|
 |
|
| |
Sur la coupe long
sagital de la ligne median , on peut verifier volume
du foie , la distance du foie gauche normalement
100mm . |
|
Coupe long sagitale mrdio-claviculaire a travers bord anterieure du foie , la
vescule biliaire au sinus costo diapragmatique droit
en arriere , la bifurcation de la veine porte .Le
point anterieuse du bord anterieuse du foie et au
point posterieuse est la mesure echographique du
foie droit , nosmalement 150mm |
|
| |
 |
|
 |
|
| |
Coupe transverse recurrent
VHS a travers le foie et les trois branches du veine
sus hepatique |
|
Le flux sanguin de veine sus hepatique
est triphasique , reflet du cycle cardiaque et tres
sensible a inpiration force . |
|
| |
 |
|
 |
|
| |
Coupe intercostale de
la ligne axilaire anterieuse droit . On en
voyait foie droit , branche droit de la veine porte
, vesicule biliaire et parfois artere hepatique |
|
La flux sanguine de veine porte est mono-phasique
avec de nombreuse de frequence representees .
Normalement sa vitesse moyene > 10mm/s et vitesse
max est de > 18mm/s |
|
| |
 |
|
 |
|
| |
Coupe intercostale de
la ligne axilaire anterieuse droit ( long sagitale -
vesiculaire ) avec technique de encoder de la
difference vitesse du flux sanguine , artere
hepatique est en vue tres nette paralellique au
dessus de la branche droit de la veine porte .
Sa diametre est moins de 5mm |
|
Flux de artere hepatique est
alternative systole - diastole |
|
| |
 |
|
Avec coupe transverse a travers le
tronc coeliaque , arterte hepatique peut en
s'observe a droit du tronc coeliaque " signe de
mouette " |
|
| |
|
|
|
|
Les voies biliaires intrahepatiques ne sont habituellement
pas visibles sauf sur certains appareils performants ou chez
des sujets ages. Leur calibre normal est inférieur à 3mm. La
voie biliaire principale est inférieure a 6 mm. La vesicule biliaire est en forme ovoide a
echostructure transonique , a renforcement echogene
posterieure, sa taille variee , normalement 6-8cm de longeur
, a moins de 3cm de diametre a jeune , sa paroi est tres
fine normalement a moins < 3mm . Sa taille
diminue et collabe apres le repas et en vue facilement sur
les coupe hypochondre droit et coupe intercostale . Le canal choledoque normalement a diametre <
6mm et + de 1mm de > 60 age. et en vue sur coupe
hypochondre droit incline oblique superieure droit (
en forme de " Tete de Mickey " ) et coupe intercostale sur
la ligne axilaire anterieur droit . Canal cystique est
tres difficile de voyait
| |
 |
|
 |
|
| |
Image echographique normale
du foie droit en coupe intercostale de
la ligne axilaire anterieuse droit ( long sagitale -
vesiculaire ) . On en
voyait foie droit , branche droit de la veine porte
, vesicule biliaire et artere hepatique |
|
Coupe
transverse recurrent bifurcation portal et vesicule
biliaire . Le foie droit ,la vesicule biliaire , la
bifurcation de la veine porte et canal choledoque ,
artere hepatique peut en voyait sur cette coupe |
|
| |
 |
|
 |
|
| |
Coupe transverse
recurrent VHS a travers le foie et les trois
branches du veine sus hepatique |
|
Coupe
intercostale de la ligne axilaire anterieuse droit ( long sagitale
- vesiculaire ) . Foie droit , branche droit de la
veine porte , la vesicule biliaire et artere
hepatique |
|
| |
 |
|
 |
|
| |
Coupe transverse
recurrent -Bifurcation portale : A travers du
foie , la bifurcation de la veine porte |
|
Coupe transverse
recurrent "Tete de Mickey " a travers du foie , le
tronc
de la vein porte . Artere hepatique , le canal choledoque et la
vesicule biliaire peut en vue totalement sủr cette
coupe |
|
Image TDM
normale du foie :
| |
 |
|
 |
|
| |
Image TDM du foie avec
contrast intraveineuse . Coupe axiale a travers dome
du foie . Double de click pour agrandir . |
|
Image TDM du foie avec
contrast intraveineuse . Coupe axiale a travers
bỉfurcation portale . Double de click pour agrandir . |
|
| |
 |
|
 |
|
| |
Image TDM du foie avec
contrast intraveineuse . Coupe axiale a travers
tronc portale et vesicule biliaire . Double de click pour agrandir . |
|
Image TDM du foie avec
contrast intraveineuse . Coupe axiale a travers
tronc portale et vesicule biliaire et tronc
coeliaque . Double de click pour agrandir . |
|
| |
 |
|
 |
|
| |
Image TDM du foie
en coupe coronale ( axiale ) a travers tronc
portale bifurcation portale et vesicule biliaire . Double de click pour agrandir . |
|
Image TDM du foie en coupe sagitale a travers
branche droit de la veine portale , la
vesicule biliaire et le rein droit . Double de click pour agrandir . |
|
| |
|
|
|
|
Image IRM
normale du foie :
Technique ce qui donne de resultat
de bon des images en plan axiale , sagital et coronal .
L"IRM permet de distinction de difference type de
tissus mous et augemente a plusieur foie de la resolution
de contrast du tissu observe . Par le changement le temps de repetition ( TR )
intervalle du temps entre deux exitations on peut change et
ajustement de contrast donnee ( T1 et T2 ) . Par
exemple : dans une image ponderee en T1 , la graisse du foie
apparait hyperintense ( image claire ) et l'eau hypointense
. Dans une image ponderee en T2 l'eau apparaitre
hyperintense ( couleur claire ) et la graisse du foie un peu plus
sombre que l'eau .Ce qui permet d'elimination de
detail antomique et topographique des lesions du foie .
| |
|
|
|
|
| |
 |
|
 |
|
| |
Dans une image IRM ponderee
en T1 , la graisse du foie apparait
hyperintense ( image claire ) et l'eau hypointense
( Liquide cephalo-racidienne et le contenue de
estomac ...)et la parenchyme du foie est plus dense
que la rate . Normalement plus de 6-12 UH
. |
|
Dans une image IRM ponderee en T2 l'eau apparaitre
hyperintense ( couleur claire ) et la graisse du foie un peu plus
sombre que l'eau . La liquide cephalo rachidienne et le
contenue de estomac est hyperdense |
|
| |
|
|
|
|
Page :
1
/
2
/
3
/
4
/
5
/
6
/
7/
8/
9/
A suivre
<<
PREVIOUS
<<
>> NEXT >>
Gs Bui Binh Tho
|
|