|
Tumeur maligne
:
-Adenocarcinoma : Occupation de 25%-40% de tumeur
maligne primitive de l'intestin et se presente le plus
souvent de duodenum et jejunum . Les facteur de risque est
en association avec des polyp adenomateux familiale ,
maladie de Peutz - Jeghers-Touraine ,maladie coeliaque ,
maladie de Crohn ...En imagerie , il se present sous forme
d'un nodule ou un epaissisement parietale
circonferentiel, infiltrant , irreguliere et
asymetrique . Au stade tardive il y avait la stenose et
image de dilatation pre stenosis du duodenum . Extention
locoregionnale ou a distance ( fie, peritoine ) .
 |
 |
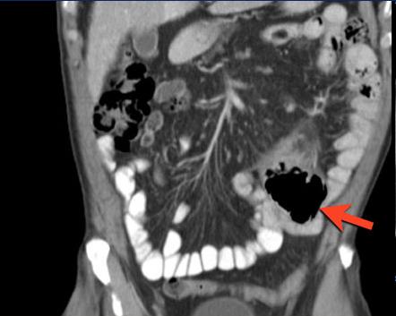
| Image d'epaissisement
irregulierement de la paroi duodenum ( fleche rouge
) .Image TDM en coupe coronal |
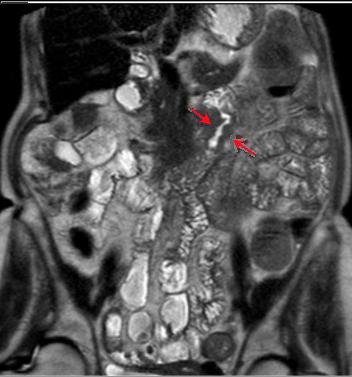
Tumeur adenocarcinoma
duodenum : Image epaissisement circonferentielle de
la paroi avec stenose de la lumiere du duodenum .
Dilatation lergere du duodenum en amont . Image IRM
T1 (fat stranding ) |
 |
 |
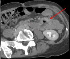
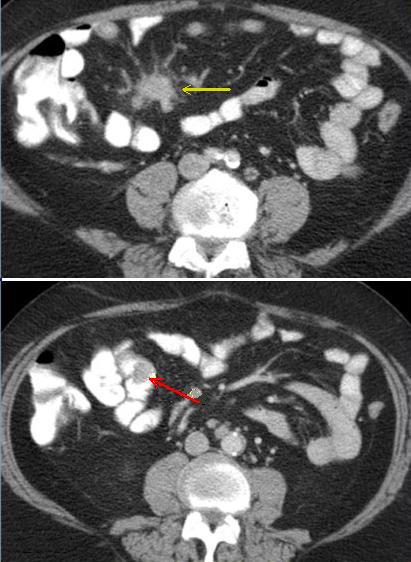
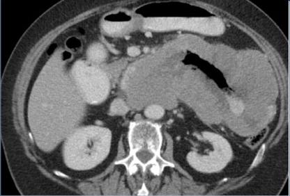
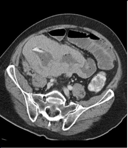
| Adeno carcinoma duodenum :
Epaissisement de la paroie duodenum en
circonferentielle , infiltrant et irreguliairement .
Image de stenose de la lumiere du portion lesionaire
. Image TDM en coupe axilae . |
Mema cas ( fleche
rouge ) en coupe cornale ( frontal )
|
 |
|
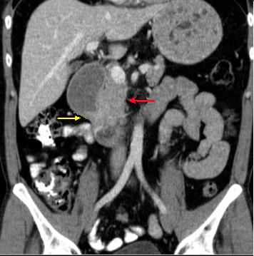
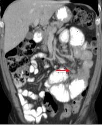
| Adenocarcinoma du duodenum a
extension locale vers le pancreas ( fleche rouge ) .
Dilatation du duodenum en amont |
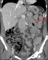
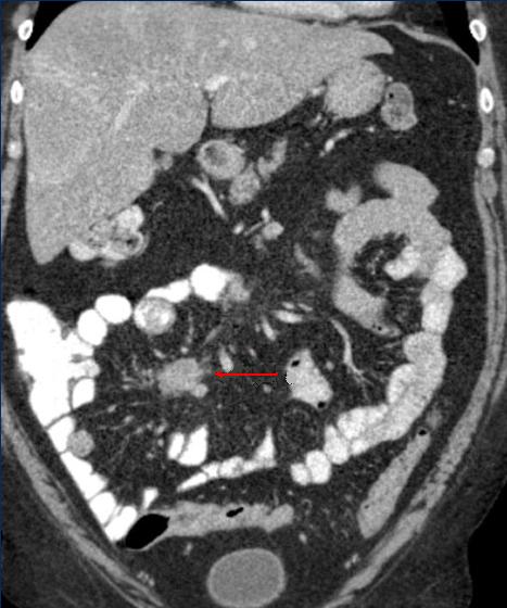
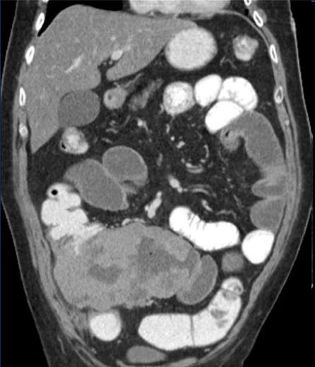
Image TDM en coupe
coronale : Tumeur addeno carcinoma du jejunum
proximale a extension ganglionaire ( fleche rouge )
. Dilatation du jejunum en amont et aval . |
| |
|
-Tumeur carcinoide ( neuroendocrine
carcinoma ) : C'est une tumeur neuro-endocrine
maligne de l'intestin , developpe initiale sousmuqueuse et
se presente dans 2 % tumeur maligne de l'intestin .
Localisation le plus souvent appendiculaire ou ileale . Sur
imagerie 'c'est une tumeur de petit taille multicendrique ,
hypervascularise et sa propagation du tumeur a interieure du
mesentere se forme en particuliairement une masse fibrose
retractile en spicule . La calcification de la masse
mesenterique est plus de 70% des cas . Extension
ganglionaire et metastatique hepatique est frequemment
 |
 |
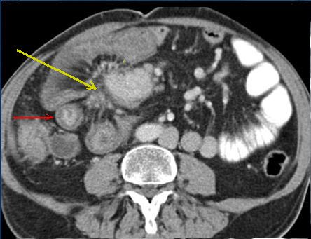
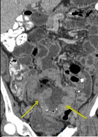
| Tumeur a petite taille
hypo-dense intraluminale de l'intestin ( fleche
rouge ) avec image
d'une masse spicule ( fleche jaune ) mesenterique ( reaction
desmoplastique adjacent ) |
Masse fibrose par
desmoplastique meseterique en forme de
image spiculaire ( fleche rouge ) d'une tumeur
carcinoide de l'intestin . Image TDM en coupe
coronal |
 |
Image d'une masse
fibreuse desmoplastique retractile mesenterique (
fleche jaune ) avec des nodules de calcifies.
Diagnostic de tumeur
carcinoide : Masse tumoral particuliairement de
l'intestin , image de metastase , et syndrome de
secretion serotonine :
Diarrhee , HTA ou hypoTA
de persitante , tachycardie et bronchospasme |
| |
|

Image TDM axiale : Tumeur multicendrique ( fleche
rouge ) et masse a hyper-dense retractile de
mesentere . Tumeur carcinoide . |
 |
| Extension ganglionaire et
extension metastasique est frequemment |
Image de tumeur
multicentrique avec masse a hyper -dense nonhomogene
spidiculee mesenterique et calcifiee . Tumeur
carcinoide .( Image TDM en coupe coronal ) |
- Lymphoma , lymphome B , lymphome T :
-
Tumeur lymphome : Tumeur
maligne primitive ou secondaire d'origine de cellules
lymphoide de ileon , situe le plus souvent de la
region ilieon a distance et sa incidence est 15-20% tumeur
maligne de l'intestin . Imagerie est une masse tumoral non
stenosanteen forme multinodulaire , ou infiltrant de
epaissisement marque de la paroi de ileon mais non
obtructive . Adenopathie multiple est en se voyait ..
- Tumeur lymphome B : se
presente des jeunes , a d'origine mixte de tissue lymphoide
et de cellule de lamuqueuse de l'intestin . Image
radiologique est image de epaissisement peu marquee de la
paroi de l'intestin et non obtructive ( Lymphome de MALT )
- Tumeur lymphome T :
Tumeur en relie avec maladie coeliaque en forme de
micronodulaire disseminee ou pseudo anevrismale ,associee avec
des adenopathies . Le prognostic est mauvais et complication
hemorragique intestinale peut en voyait . Image radiologique est une masse irreguliaire
au jejunum avec dilatation de la lumiere de l'intestin , en
association avec image de perdre de tout etendue de villosite
de l'intestin ( voie maladie coeliaque ) C'est EALT (
enteropathy associated T-cell lymphoma ) .
 |
 |
| Extension loco regionale
d'une lymphome T dans une maladie coeliaque de
l'intestin . ( la paroi de l'intestin dans ce cas
est perdre de villocite etendue ) . Image TDM ,
coupe frontale ( coronale ) |
Meme cas en PET /CT . Coupe
axiale . |
| |
|
| |
|
Page :
1
/
2
/
3
/
4
/
5
/
6
/
7/
8/9/
<<
PREVIOUS
<<
>> NEXT >>
Gs Bui Binh Tho
|
|