|
Tumeur maligne
: ( a suivre )
-
Tumeur conjonctive gastro intestinale a cellule fusiforme
(GIST ) :Tumeur maligne se presente
de 9% des tumeur de l'intestin et situe de l'estoma ,
jejunum et ileon . De 20-30% de ses tumeurs sont maligne et
les tumeur de l'intesttin est tres maligne que tumeur de
estomac . Les tumeurs de plus de 5cm est tres maligne que
les tumeur de 2cm de diametre . Image radiologique du tumeur
de GIST est une masse extra - luminale , homogene et
na pas de occlusion . Extension metastase
hepatique est de masse hypervascularise et complication de
necrose , hemorrage , calcification .. peut voyait sur les
degeneressence malignes .
 |
 |
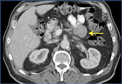
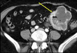
| Tumeur de GIST : Masse
arrondie a iso-dense extraluminale du du jejunum (
fleche jaune ) . Image TDM + enteroclyse baryte en
coupe axiale . |
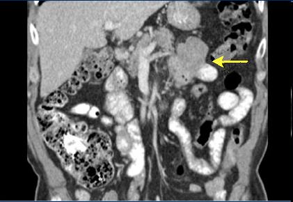
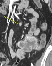
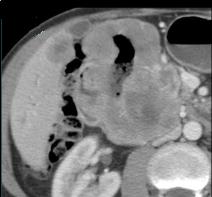
Grand tumeur de GIST a
distal de jejunum . Tumeur en multilobaire extra-luminale
de intestin et calcification . ( fleche jaune ) |
 |
 |
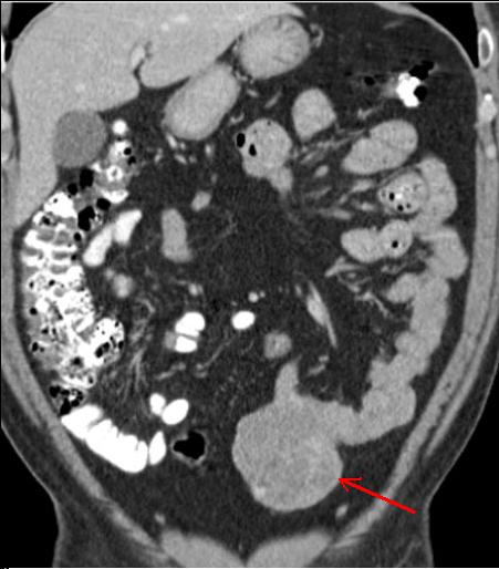
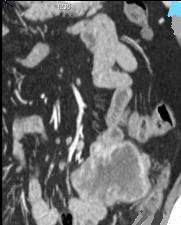
| Tumeur de GIST a distal de
ileon , image homogene a hypo-dense , poly lobulaire
et extraluminale . Image TDM en coupe coronal . |
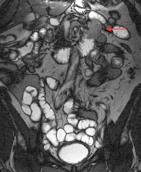
Image IRM de GIST ( fleche
rouge ) |
 |
|
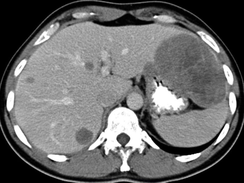
| Extension metastasique
hepatique et peritoneale d'une tumeur de GIST . Des
masse a hypo-dense intra hepatique . TDM en coupe
axiale |
Tumeur de GIST
polylobulaire de jejunum avec nodule metastasique du
foie droit ( extension metastasique hepatique ) |
| |
|
-
Leiomyosarcoma : Tumeur conjontives
maligne diagnostic par un prise de contrast precoce .
Complication necrotico hemorragique si sa taille est grand .
calcification central et extension ganglionaire et extension
metastasique parfois se voyait .
 |
Leiomyomesarcoma de l'intestin
: Tumeur a polylobulaire homogene a hypo-dense de la
paroi de l'intestin . La lumiere de l'intestin est
peu serre . Nodule de calcifie en se voyait ( fleche
jaune ) . Image radiologique TDM en coupe axiale a
travers region pelvienne |
| |
|
 |
 |
| Leiomyome sarcoma de ileon
avec extention ganglionaire mesenterique |
Leiomyosarcoma de grand
taille de ileon et nodule metastatique ganglionaire
a distance ( fleche jaune ) . |
| |
|
-
Les metastases : Lesion metastasique a l'intestin peut
etre par voie hematogenous , lymphatique , intraperitoneale ou
par extention locale directement . D'origine de ses tumeur
sont de l'ovaire , l'apendice et colon . Hematogenous
metastasique au intestin sont des melanoma , cancer du sein
et carcinoma renale ...
Page : 1
/
2
/
3
/
4
/
5
/
6
/
7/
8/9/
<<
PREVIOUS
<<
>> NEXT >>
Gs Bui Binh Tho
|