|
Pathologie
radiologique de l'intestin ( A suivre ) :
Tumeur de
l'intestin grele :
Tumeur
benigne :
-
Lipome : Ce sont des tumeurs begnines se forment
par des adipocystes ( cellule stockant de graisse ) . Des
lipomes peuvent se developper de tout le long du tube
difgestif de l'oesophage jusqu'au colon . Sa incidence
est 20-30% a intestin grele et 60-75% au colon et la taille
est tres variable de quelque cm a 15 cm . Image radiologique
TOGD d'une lipome est image laculaie intraluminale
arrondie ou ovalaire , a bord lisse , parfois pediculee . ..
Aspect radiologique TDM du lipome intestinale est une
masse a hypodence ovoide ou pediculee siegent le plus
souvent sur ileon . Complication d'invagination parfois se
present .
| |
 |
|
 |
|
 |
|
| |
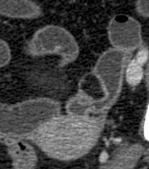
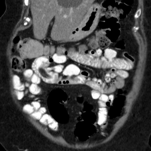
Lipome de
intestin grele : :Masse ovoide a bord lisse et
a hypodense de intestin . Image TDM en coupe coronal |
|
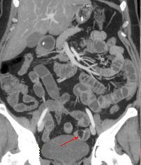
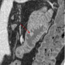
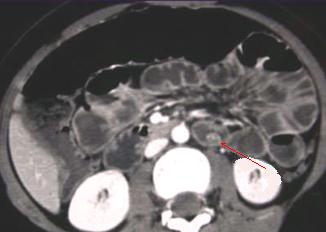
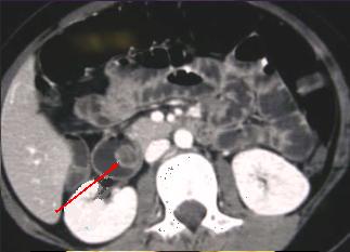
Petit lipome de
l'intestin ( fleche rouge ) . Aspect TDM
arrondie pedicule a hypo-dense endoluminale de
intestin a la region fosse iliaque gauche |
|
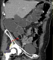
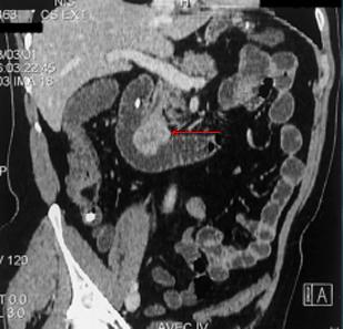
Lipome siegent portion ileo-
coecale . Image TDM en coupe sagitale ( fleche rouge
) |
|
| |
|
|
|
|
|
|
| |
 |
|
 |
|
| |
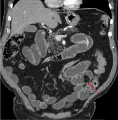
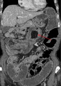
Lipome de
intestin a distance . Image ovoide hypo-dense a bord
lisse et net au region fosse iliaque gauche . Image
TDM en coupe coronal ( frontale ) |
|
Lipome de intestin . Image TDM +
enteroclyse baryte une lipome de l'intestin (
en coupe frontale ) . Image ovalaire a hypodense a
bord lisse a distance de jejunum |
|
| |
 |
|
|
|
| |
.Complication d'
invagination d'une lipome a grande taille ( fleche
rouge ) . |
|
Aspect TDM invagination par une
lipome de l'intestin ( coupe frontale ) |
|
| |
|
|
|
|
-
Polyp adenomateux : D'origine par une dysplasia
sur l'architecture sur des cellules tubulleuse ,
tubulovilleux ou villeux de l'intestin . Le plus souvent
begnin , parfois degenerescence en maligne . Sa taille
est petite , peut sessile , semie sessile ou bien
pedicule , individue apres un transit baryte de
l'intestin ou par les complications de saignement ou
invagination . Aspect radiologique du transit en baryte est
une tumeur endoluminale arrondie a sessile ou pedicule , sa
bord est lisse et image radiologique TDM en
coupe est image une tumeur arrondie a hyper-dense .
| |
 |
|
 |
|
| |
Image TDM en coupe
sagitale d'une polype adenomateux de
l'intestin : masse hyper dense endoluminale a bord
lisse ( fleche rouge ) |
|
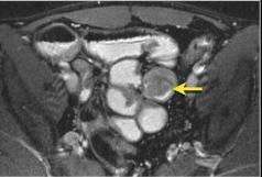
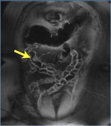
Polyp adenomateux : ( Image IRM T2 fat
sat ) Masse arrondie a iso-signal de l'intestin (
fleche jaune ) a limite net et a bord lisse . |
|
| |
|
|
|
|
-
Polype hamartomaateux : Est une tumeur n'a
pas de potentielle de malin et ce qui liee
avec syndrome de
Peutz-Jeghers cause par la mutation du gene SMAD4
avec signe de hyperpigmentaion au levre , poeri-orale en
association de multiple polype hamartomes au long du tube digestif
. Sa taille est de 0,5cm a 5cm de diametre et par cela complication de occlusion et invagination
est frequemment
dans la moitie de cas des maladies. Image radiologique
transit baryte de polyp hamartomateux est image laculaire
polypoide sessile ou pedicule endoluminale multiple , etendue
le long de l'intestin et du colon . Image TDM est une masse
a bord lisse , hyper-dense et multiple .
 |
Image TDM en coupe axilal des polyps
hamartomateux de intestin grele . Aspect arrondie ou
ovalaire a bord lisse homogene et hyper-dense se presente
multiple au long de l'intestin et colon ( fleche
rouge ) |
| |
|
 |
Une autre cas de maladie de Peutz -Jeghers
. Polype multiple de l'intestin avec image des
tumeurs arrondies pedicules a hyper - densite et endo-luminale le long
de l'intestin ( fleche rouge) . Image TDM en coupe
axiale . |
| |
 |
|
 |
|
| |
Maladie de
Peutz -Jeghers -Touraine par une manque familiale de
gene
SMAD4 avec signe de hyperpigmentaire de la
peau et muqueuse de la bouche ...et polypose
endoluminale du tube digestif |
|
Polyp hamartomateux de
l'intestin : Image IRM T2 en coronal . Aspect
des masse polypoide hypo-signal etendue le long de
l'intestin |
|
| |
|
|
|
|
-
Leiomyoma : C'est tumeur conjontive des
cellules fusiformes du muscle lisse d'origine musculaire
muqueuse intraluminale ou de couche longitudinale externe
extraluminale et le plus souvent est benigne . Potentielle de
maligne quand sa taille depasse 5cm de diametre . Image
radiologique du transit baryte est image laculaire
endoluminale a borde net , multilobaire , et image TDM est
une masse a hyper-dense non homogene par des plages
necrotico hemorragiques et de calcification centrale
| |
 |
|
 |
|
| |
Image TOGD
baryte du cadre duodenal : : Aspect laculaire
ovalaire multilobulaire d'une tumeur leiomyoma de D3
( fleche noire ) |
|
Tumeur duodenale en
masse ovalaire multi lobulaire a hyper-dense
non homogene , absence de adenopathie et pas
de CD 117 ( fleche rouge ). Image TDM en coupe
coronal ( frontal ) . |
|
- Angiomes : Tumeur begnin situee le plus souvent au jejunum
a sessile ou pediculaire et exceptionellement contenir des
phlebolithes . Ce qui peut lie avec maladie de Rendu Osler
.... Aspect radiologique TOGD baryte de angiome est
image polypoide a sessile endoluminale de jejunum . Image
TDM d'une angiome est image d'une masse ovalaire
endoluminale a paroi hyper-densite et la contenue est iso-dense
( hypervascularise ) parfois se presente image de
calcification ( plebolith ) .
| |
 |
|
Angiome de jejunum : masse ovalaire endo-
luminale hypervascularise et contenir de phlebolith
calcifie ( fleche rouge ) . Image TDM en coupe
axiale |
|
| |
|
|
|
|
|
Nodule arrondie pedicule a bord nette
situe endoluminale de jejunum + image calcifie (
fleche rouge ) .Angiome du jejunum . Image
radiologique TDM plus C+ |
. |
| |
|
|
|
|
 |
|
| Tumeur angiome de
jejunum . Image IRM coronal T1 |
Image IRM post contrast
coronale en T2 : Aspect d'une angiome jejunale |
| |
|
.
Page suivant
Page : 1
/
2
/
3
/
4
/
5
/
6
/
7/
8/
9/
<<
PREVIOUS
<<
>> NEXT >>
Gs Bui Binh Tho
|