|
Maladie
de Crohn : C'est etat inflamation chronique
du tube digestif de duodenum , jejunum a ileon , mais le plus souvent a la region ileon ,
ileo-coecale du colon ,ce qui se presente a tout age et
evalue par la pousse . Sa cause reste mysterieuse , douleur
abdominale , iarrhes sont des signes de debut .
Complication scerosant , fistule et abces sont le plus souvent au stade tardive .
Aspect imagerie du maladie de Crohn :
Aspect radiologique TOGD duodenum et du transit baryte
de l'intestin est : Au stade precoce : C'est aspect flou de bord
de l'intestin par hypersecretion ( dilution de la baryte ) avec image
micro-ulceration stellaires et aspect reticule de la
muqueuse . Au stade tardif image de stenose serre du duodenum
ou de l'intestin grele en segmentaire ,avec image de fistule ou image
de sacculaire peut se voyait et l'intestin en amont est
dilate
 |
 |
| Maladie de Crohn duodenale : Aspect flou de bord duodenum par
hypersecretion ( dilution de la baryte ) avec image
micro-ulceration stellaires et aspect reticule de la
muqueuse .( Stade precoce ): |
Au stade tardif :
Image stenosante tres serre du duodenum
D2 avec image sacculaire du bord interne .
Dialatation duodenum en amont se voyait tres net .
|
| |
|
Aspect echographie percutanee c'est
image de epaissisement hyper-echogene de la paroi de
l'intestin par la fibrose sous-muqueuse et image
de spiculation hypo-echogene des vaisseaux droit et
image de stratification a la region lesionnaire du tube
digestif . .A la portion sclerosant ,
epaissisement de la paroi et le retresissement de la lumen de
l'intestin se voyait tres nette . Ulceration transmural parfois se voyait .
Aspect TDM dans phase aigue est image
de epaissisement parietale avec oedeme sous muqueuse
discontinunite et signe de peigne " comb sign ". En phase
chronique cicatricielle ,aspect radiologique est image
epaissisement homogene de la paroi avec hyperplasia
graisseuse parietale ou mesenterique . Fistule , stenose et
abces sont des images de sa complication .
 |
 |
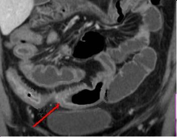
| Epaissisement parietale avec
oedeme de la sous muqueuse ( fleche rouge ) . Image
de fissuration legere peut se voyait un peut dans ce
cas . Maladie de Crohn de ileon en coupe TDM
coronale |
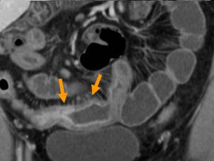
Signe de peigne " comb
sign " ( fleche jaune ) et epaissisement de la paroi
de ileon . Maladie de Crohn en phase aigue . Image
TDM . |
 |
 |
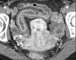
| Image fibrose sclerosant
lipomatose de ilein avec epaissisement marque de sa
paroi. Maladie de Crohn de ileon en coupe TDM axiale
|
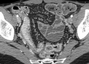
Signe de peigne le long du
ileon se voyait si net . C'est le signe de
hyper- vascularise mesenterique tres
particulairement dans maladie de Crohn . |
 |
|
|
" Comb sign " peut voyait en
particulairement tres net . Image TDM de maladie de
Crohn en coupe coronale . |
Maladie de Crohn de ileon en
coupe TDM transverse . Image epaissisement
parietale en stratification avec couche mediane
metaplasia graisseuse ( fleche rouge ) . |
Aspect IRM est l'epaissisement parietale
et c'est le bien pour localisatrice de
lesion . La T2 avec TE court peut
caracterise de l'epaissisement de paroi de l'intestin , de
la differenciation
complex muco-sous muqueux et recherche de oedeme sous muqueuse
. La T1 fatsat peut utilise pour recherche des fistules ,des lesions inflamatoires , lesions fibreuses et des pseudo-polyp
.
 |
 |
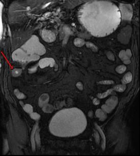
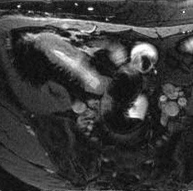
| Maladie de Crohn , Image
epaissisement de la paroi de ileon avec aspect stenosant de
la lumen ( fleche rouge ) . Image IRM en
coupe coronal |
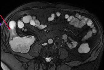
Portion stenosant de ileon avec
epaissisement de la paroi . Dilatation de l'intestin
en amont peut se voyait ( fleche rouge ) .
Image IRM en coupe axiale |
 |
|
| Maladie de Crohn :
Aspect epaissisement de la paroi de ileon avec image
en beigne " combs sign " c'est image de spiculation des vaisseaux
mesenterique droit . Image IRM T2 W en coupe coronal |
"Combs sign " de ileon :
Maladie de Crohn . Image IRM en coupe axiale . |
Maladie
coeliaque : Maladie chronique et auto-imune de
l'intestin par ingestion de gluteine le plus souvent en
Europe et Amerique . Lesion atrophie villositaire
se presente souvent sur duodenum -jejunum et a ileon dans
les forme plus grave . .Aspect radiologique est image de duodenite
et jejunite atrophique se voyait
bien sur TOGD ++ de double contrast , c'est image perdre de
villosite lisse de
duodenum et de jejunum . Sur entero TDM c'est image de
diparition totalement, etendue des
villosites de l'intestin avec sign de " grele inverse " et de adenopathie . "Grele inverse " c'est
la jejunisation de l'ileon avec apparition des plies ileon
tres nette
 |
 |
| Image TOGD en double de
contrast : Maladie de coeliaque du duodenum . Image de
perdre etendue de villosite de 'intestin , la paroi
de duodenum devient lisse . |
Maladie coeliaque :
Disparition totale des villocites de
l'intestin .Image TDM en coupe coronal |
 |
 |
| Image
radiologique TDM d'une maladie coeliaque en coupe
coronal avec aspect lesionaire de perdre totale de
villosite de duodenum D3 |
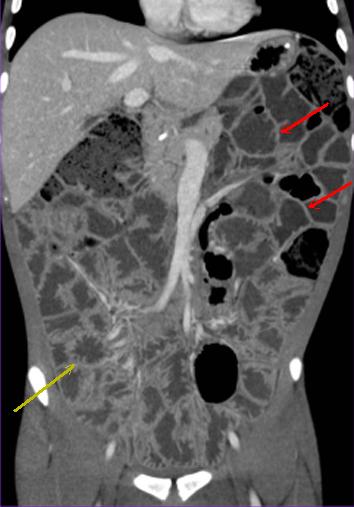
Aspect de grele inverse . :Perdre etendue
de villocite de tout jejunum ( fleche rouge )et la
jejunisation de ileon ( fleche jaune ) . Image
TDM en coupe coronal |
 |
 |
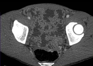
| Aspect a jejunisation de
ileon dans maladie coeliaque . Signe de " grele
inverse" Image TDM en coupe axiale a
travers de la region pelvienne |
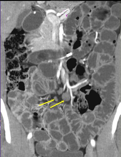
Adenopathie
mesentrique est peut presente avec image de
perdre etendue de villosite de l'intestin ( fleche jaune ) . |
| |
|
Page :
1
/
2
/
3
/
4
/
5
/
6
/
7/
8/
9/
<<
PREVIOUS
<<
>> NEXT >>
Gs Bui Binh Tho
|