|
Diverticule :
Les
diverticules de l'intestin sont des petite sacs
formes par des replies de la muqueuse de la paroi
intestinale . Sa localisation est intestin grele , de
l'oesophage et du colon , le duodenum est
la deuxieme location de diverticule apres la colon . Aspect radiologique du diverticule est image de poche
arrondie a paroi mince, limite nette a contemu hydrique ,
gazeuse ou mixte . La perforation est possible spontanee ou
post traumatique . Epanchement gazeuse extra-digestif ,
retroperitoine ou bien fuite extraduodenal de produit de
contrast se presente en cas de perforation de diverticule
. Scanner + ingestion de contrast hydrosoluble est
technique de choix pour diagnostique .
Diverticule de Meckel est une type de
diverticule de l'intestin grele , presente par la persistance
du canal omphalo-mesenterique et se voyait de 2% a 3%
dans la population . Image radiologique de transit baryte
du Meckel diverticule est
image tubulaire , borgne en connexion avec grele et
extention vers ombilique . Image TDM de diverticule de
Meckel est image tubulaire de
air -liquide ,de liquide a paroi epaissie et parfois
en association image d'inflamatoire peripherique
 |
 |
 |
| Schema de localisation de
diverticule sur la cadre duodenale |
Une diverticule de bord
interieure de D3 |
Imageradiologique du diverticule D4 et a
jejunum proximale . |
 |
|
 |
| Diverticules de l'intestin .
Image de trois diveticule le long de l'intestin se
voyait si net sur cliche de face du transit baryte
avec tech compression dose de l'abdomen . |
|
Aspect
radiologique de diverticule de Meckel .Image de
sacculaire en connexion avec la grele et extension
vers ombilique . . |
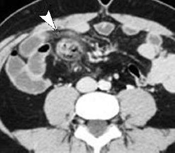
Aspect radiologique TDM de diverticule duodenale
et de l'intestin grele est image d'une contenue a iso-dense
a paroi mince , lisse a hyperdense . A l'intestin image de
air-liquid est frequemment se voyait .
 |
|
 |
| Aspect IRM d'une diverticule
de D2 ( coupe axiale ) . Image hydro-aerique a
droite sous hepatique |
|
Diverticule de D2 en coupe TDM axiale |
 |
|
 |
| Deux diverticule du bord
interne de D2 . Image IRM + enteroclyse en coupe
frontale ( coronal ) |
|
Le meme en TDM
coronale ( fleche rouge ) |
 |
|
 |
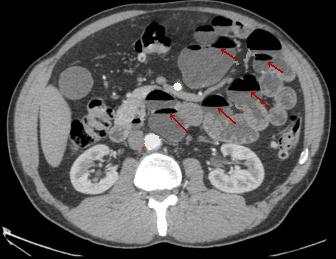
| Image TDM en coupe axiale du
diverticule multiple du grele . Image hydroaerique
des diverticule le long de l'intestin (fleche rouge
) . La paroi du diverticule est tres mince , en
differentiel avec la paroi de l'intestin ou du
colon, sa paroi est plus epaissisement que la
diverticule . |
|
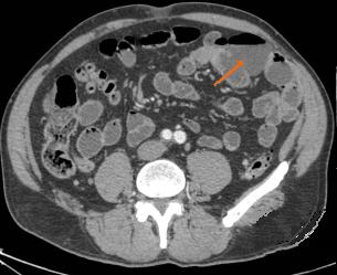
Diverticule de
l'intestin : Aspect radiologique TDM en coupe axiale
. Image hydroaerique avec sa paroi tres mince .. |
| |
|
|
| |
|
|
Diverticule de Meckel est une type de
diverticule de l'intestin grele , presente par la persistance
du canal omphalo-mesenterique et se voyait de 2% a 3%
dans population . Image radiologique de transit baryte
du Meckel diverticule est
image tubulaire , borgne en connexion avec grele et
extention vers ombilique . Image TDM de diverticule de
Meckel est image tubulaire de
air -liquide ,de liquide a paroi epaissie et parfois
en association image d'inflamatoire peripherique
 |
|
 |
| Aspect d'une diverticule de Meckel
avec image en tubulaire borgne sur le bord
antimesenterique de ileon , se voyait si net sur
technique enteroclyse baryte de
l'intestin |
|
Diverticule de Meckel : Image
en tubulaire , borgne en connexion du grele au bord
antimesenterique de ileon et extension vers
l'abdomen .( fleche rouge ) |
 |
|
 |
| Image en sacculaire d'une
diverticule de Meckel . La connexion est au au bord
anti-mesenterique de ileon et dirrige vers abdomen . |
|
Aspect echographique
d'une diverticule Meckel . Image hypo-echogene de la
paroi oedeme infecte et iso -echogene du contenue .
Echographie en coupe longitudinale . |
 |
|
|
| Image d'une masse liquidienne
delimitee par une paroi digestive . Imege
echoraphique de diverticule de Meckel . |
|
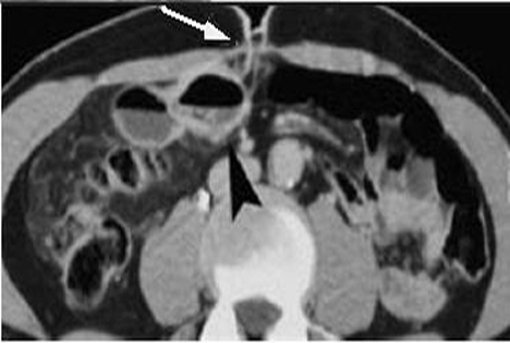
Diverticule de Meckel ( fleche noire ) :
Diagnostic est facile par sa relation de ligament
omphalo mesenterique avec la paroi de l'abdomen a
l'ombilique ( fleche blanche ) |
Complication des diverticules de
l'intestin sont :
| |
- Diverticulite |
|
| |
- Perforation |
|
| |
- Invagination . |
|
| |
- Occlusion . |
|
|
|
|
|
 |
|
 |
|
Aspect d'une diverticulite de Meckel .
Diagnostique differentiel facile avec appedicite
meso-coeliaque aigue par sa location a distance du
coecum . |
|
Divereticulite de
Meckel severe correspondant a une perforation
bouchee de la diverticule : Image infiltration de
graisse peri diverticulaire et la presence de gaze
extra digestif par la perforation bouche a temoin (
fleche blanche ) . |
 |
|
 |
| Image intussusception d'une
diverticule de Meckel . Image multi de couche de la
paroi de l'intestin autour une masse graisseuse
googlecu hanh ( image de oignon ) . Image IRM en
coupe axiale |
|
Aspect invagination d'une
diverticule de Meckel inverse . Image TDM en coupe
sagital |
| |
|
|
| |
|
|
Page :
1
/
2
/
3
/
4
/
5
/
6
/
7/
8
/
9
/
<<
PREVIOUS
<<
>> NEXT >>
Gs Bui Binh Tho
|