|
-
La vesicule biliaire et des voies biliaires
sont ensemble des cannaux collectant la bile synthetisee
dans le foies et ecoulement jusqu'au dans le duodenum .Affections de
cettes voies sont frequentes et, sa pathologie est multiple et
variee : inflamatoire , infectieuse , tumorale et ...Imagerie
de cette voie est incontournable en faire de l'exploration
Pathologie radiologique de voie biliaire accessoire ( Canal
cystique et vesicule biliaire ) :
-Syndrome de Mirizzi :
Syndrome de Mirizzi se definit comme une
compression extrinseque de la voie biliaire principale par
un calcul encave dans la poche de Harmann ou dans le
canal cystique . Se presente rare et avec un incidence
de 0.7 -1.4% chez les malade cholecystectomies .Il se
caracterise par un fievre , douleur a la region hypochondre
droit , hepatomegalie .et un ictere cholestatique .
Physiopathologie de syndrome Mirizzi est la compression
extrinseque d'une calcul coince dans la poche de Harmann ou dans le
canal cystique . L'erosion du canal avec lesion inflamation chronique de la vesicule biliaire se formait une
fistule dans le canal choledoque . La present du calcule
dans le canal choledoque se entrainement une obtruction de
voie biliaire en amont
| |
 |
|
| |
Il y avait quatre type de syndrome
Mirizzi ; Type I , II , II et IV |
|
| |
- Type I : Calcul de
poche de Harmann ou du canal cystique provoquant une
obtructive extrinseque du canal choledoque . |
|
| |
- Type II :
Erosion du calcul sur la paroi du canal cystique se
formant une fistule avec une compression a moindre 1/3 diametre du canal choledoque |
|
| |
- Type III : La
fistule depasse 1/3 - 2/3 diametre du canal
choledoque |
|
| |
- Type IV : Le calcul
est encave totalement dans la VBP |
|
| |
 |
|
Image echographique : Image
echographique a susgestion de syndrome Mirizzi est image d'une
calcule en coince a infundibulum de la vesicule biliaire ou
intraluminal du canal hepatique commun . Une dilatation de
voie biliaire principale et et des voies biliaires
intrahepatiques en amont est souvant se presente .Et image d' une inflammation chronique de
vesicule biliaire etre en voyait
| |
 |
|
|
|
| |
Dilatation des voies biliaires
intrahepatique et du canal hepatique commun par obtruction
mecanique calculaire : Image echographique
percutane du foie |
|
Image echographique
d'une calcul du collet vesiculaire compressee sur
le canal hepatique commune . Les voies biliaires en
amont sont dilatees . Vesicule biliaire est en
inflamee a paroi tres epais ( cholecystite chronique
) :: Syndrome de Mirizzi |
|
| |
 |
|
| |
Image echographique du foie : Image
echographique d'une calcul biliaire en C inverse (
fleche rouge) avec zone d'ombre de acoustique
posterieure . Canal hepatique commun et des voies
biliaire intrahepatique sont tres dilatees (
syndrome de Mirizzi ) |
|
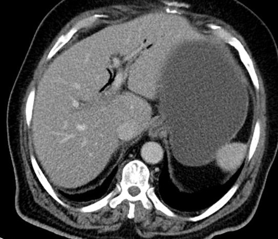
Image TDM :
Image radiologiquer TDM de syndrome de Mirizzi est la
presence de calcul et une epaisissement de la paroi vesicule
biliaire rehaussement hyperdense par le contrast . La dilatation de voie
biliaire pricipale ( canal hepatique commune ) peut se
en voyait . .
| |
 |
|
 |
|
| |
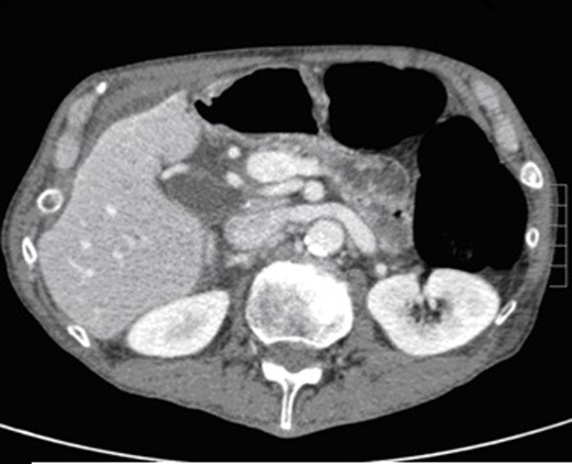
Image une calcul a
infundubulum du vesicule biliaire ( fleche
rouge ) avec epaississement de la paroi
vesiculaire : Image TDM en coupe axiale
avec contrast intraveineuse |
|
Meme cas en coupe coronal ( frontal ) :
Image de calcul hyperdense se en voyait tres net (
fleche rouge ) avec image de vesicule biliaire
inflamee et la dilatation de canal hepatique commun |
|
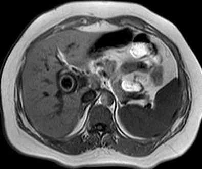
Image IRM : C'est image hypersignal de
vesicule biliaire dilate sur T2 avec grand calcul
hypointense a infundibulum . Image de compress du calcul sur
canal hepatique commune . Image de dilatation de voie
biliaitre hyperintense intrahepatique peut se en voyait sur
T2
| |
 |
|
 |
|
| |
Syndrome de Mirizzi : Image
distendue vesicule biliaire a isointense avec
epaississement de sa paroi : Image radiologique IRM
en coupe axiale pondere sur T1 |
|
Meme cas en coupe a
travers l'infundibulum de la vesicule biliaire : Une
grand calcul a hyposignal arrondie en coincee
a infudibulum de la vesicuile biliaire ( Image
radiologique IRM en coupe axiale sur T1 ) |
|
| |
 |
|
 |
|
| |
En coupe pondere sur T2 (
l'eau est hypersignal ) on peu en vue la vesicule
biliaire est distendue ,hyperintense tres net
et image de dilatation legere de voie biliaire
intra- hepatique |
|
Le calcul est en hyposignal
tres grand et arrondie en compressant le canal
hepatique commun . Image radiologique IRM pondere
sur T2 . |
|
| |
 |
|
Meme cas en coupe IRM a T2 coronal . La
vesicule biliaire est distendue et hyperintense . Le
calcul est en compessse sur la voie biliaire
principale . Le canal hepatique commun et voie
biliaire en amont est en leregement dilate . |
|
| |
|
|
|
|
Image Cholagio-IRM et ERCP : C'est
image de calcul du vesicule biliaire en compressant au VBP
et image de dilatation du canal hepatique commun et des voies
biliaires intrahepatiques . La vesicule biliaire est enflame ,
frequemment distendu.avec imgage de calcul a infundibulum
.
| |
 |
|
 |
|
| |
Syndrome de Mirizzi type II , III :
Image d'une grand calcul a collet vesiculaire (
fleche rouge ) compressant au canal hepatique
commun . Sa portion superieur et voie biliaire intra
hepatique sont tres dilatees . Canal choledoque est
vue de moindre et non dilate ( Cholangio-IRM
recontruction en 3D ) |
|
Cholagio - IRM : Grand calcul a infundibulum
empreinte compressive au canal hepatique commun
. Vesicule biliaire est tres distendue . Voie
biliaire principale et voie biliaire intrahepatique
en amont leregement dilate ( syndrome de Mirizzi )
|
|
| |
 |
|
 |
|
| |
Une autre cas de syndrome de
Mirizzi type III . Cholagio - IRM du foie et
voie biliaire a recontruction en 3D . |
|
Image ERCP
du syndome de Mirizzi de type IV : Image d'une grand
calcul ( opacite arrondie clair ) encave totalement
dans le canal choledoque ( fleche noir ) . Image du
sonde radio-opaque de ERCP est en vue sur ce cliche
|
|
| |
|
|
|
|
Fistule cholecysto-digestive : Ou
fistule bilio-digestive est une communication interne entre
la vesicule biliaire et le duodenum ou dans la colon . Sa
incidence est 70% fistule dans duodenale et 30% avait
fistule dans la colon . La presence une gros calcul dans
dulodenum ou dans le colon se entraine une occlusion
intestinal aigue ( ileus biliaire ) ou oclusion colique (
ilieus biliaire colique )
| |
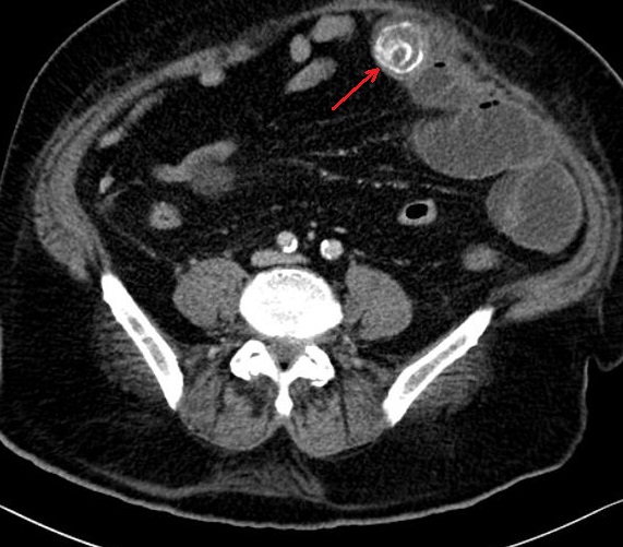
Ileus biliaire duodenale :
Une gros
calcule dans duodenum permetrait une occlusion aigue
de l'intestin ,le plus souvent est a la region
ileum au valve ileocoecale . La deuxieme portion
de occlusive possible est ileum proxymale et
puis jejunum
.. .Le calcule peut etre engage dans le pylore et
obstruction de la portion pyloro-duodenale (
syndrone de Bouveret ) .
Diagnostic radiologique ASP de ileus biliaire duodenale
est image de pneumobilie ou aerobilie de
voie biliare , image de hydroaerique du grele et
image de gros calcule de l'abdomen ( triade de Riegler ) tous se
presenter sur le cliche abdominal de face ASP . |
|
| |
|
|
|
|
| |
 |
|
 |
|
| |
Cliche de face ASP de
ileus biliaire duodenale avec triade de Riegler :
Image aerobilie intrahepatique ( fleche rouge N1) ,
Image de occusion aigue de l'intestin ( fleche rouge
N2) . Image de gros calcul region pelvienne ( fleche
rouge N3) |
|
Une autre cas de Ileus
biliaire avec image aerobilie , occlusion
intestinale aigue , et calcule de l'abdomen .
Cliche de face ASP . |
|
| |
|
|
|
|
| |
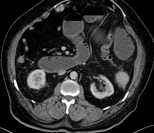
Image TDM de ileus biliaire : Image TDM
de ileus biliaire intestinale est : |
|
| |
- Image de pneumobilie de voie
biliaire principale et intrahepatique . Il est
frequemment se presente mais peut etre nule
|
|
| |
- Image de occlusion intestinale
aigue avec image de distendue et hydro-aerique de
l'intestin . |
|
| |
- Image du gros calcule a la region
ileo-cecale ou a la portion ileum proximale |
|
| |
- La cite de fistule peut etre en
voyait |
|
Ileus biliaire colique :
Par la presence une fistule cholecysto-colique . Tres rare
- Volvulus biliaire
: Se rencontre le plus souvant sur les femme
ages avec incidence de sex ratio est 3F/1H et sur les femme
amaigrissement , maigre , et cyphose mais il peut
aussi egalement rencontre sur les sujets jeunes . La
volvulus biliaire etre se presence sur les sujets , ce
qui avaient la mesocyte long . La vesicule biliaire
peut torsion sur l'axe longitudinale ou sur axe verticale
| |
 |
|
 |
|
| |
La vovulus biliaire est
rencontre sur les sujets qui avaient de long
mesocyte |
|
La vovulus peut etre en tortion verticale
( type 1) ou en axe longitudinale ( type 2 ) |
|
Il est parfois difficile de diagnostique . Douleur
region hypochondre droit , une defense abdominale
douloureuse et parfois une gros vesicule biliaire
palpable . Echographie est la premniere de l'intention pour
exploree et diagnostique : Image echographique de distendue
de la vesicule biliaire a position abnormale , eloingnee de
bord inferieure du foie et a
paroi epaissisement hypoechogene en feuillete .
Sur TDM Image de tres distendue de la vesicule biliaire avec
image epanchement perivesiculaire a hypodense et
la vesicule biliaire situe en dehord de la fosse vesiculaire
. TDM avec contrast intraveineuse se donne de image moins et
irreguliaire de rehaussement de la vesicule biliaire .
Signe de " Whirl sign " parfois se en voyant .
| |
 |
|
 |
|
| |
Image echographique d'une
sesicule biliaire en volvulus : Abnormal de position
et epaissisement en feuillet de paroi vesiculaire .
Image de\ epanchement perivesiculaire est encore en
voyant |
|
Vovul;us vesiculaire
avec image de epaissisement de paroi en feuillet
donne de image " vesicule dans vesicule " .
Echo graphie percutane foie droit |
|
| |
 |
|
 |
|
| |
Image echographique une
volvulus de la vesicule biliaire : La vesicule
biliaire est souvant eloignee de la face inferieure
du foie et aspect de '" vesicule
biliaire dans la vesicule biliaire :"est tres
specifique pour diagnostique . |
|
Une autre cas de volvulus
biliaire en coupe axiale : La paroi est tres epais
en deux feuilllet et la vesicule biliaire est
eloingnee de la face inferieure du foie . |
|
Image TDM
| |
 |
|
 |
|
| |
Image radiologique d'une
volvulus de la vesicule biliaire : Image de vesicule
biliaire distendue et moins de rehaussement de
contrast intravieneuse . Image TDM avec contrast
intraveineuse en coupe axiale . |
|
Image TDM de contrast intraveineuse en
coupe frontale : Vesicule biliaire est tres
distendue et eloigne de bord inferieure du foie . La
paroi de la vesicule biliaire est epais et en
minimum , irregulier de rehaussement de contrast (
Volvulus biliaire ) |
|
| |
 |
|
 |
|
| |
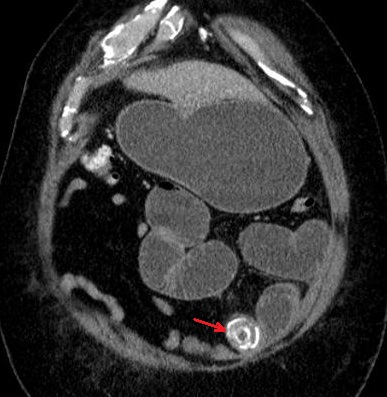
Volvulus biliaire avec image
de vesicule biliaire tres distendue eloingnee
au bas de l'abdomen . Image de moindre de
rehaussemant et image de epanchement
perivesiculaire est encore se presenter ( fleche
rouge ) : Image TDM + contrast en coupe axiale
tres bas a travers deux cretes iliacques |
|
Une autre cas de volvulus de
la vesicule biliaire avec " Whirl sign " ( fleche
rouge ) |
|
| |
 |
|
 |
|
| |
Volvulus biliaire avec image
de la vesiculaire distendue , paroi epais et signe
de " Whirl sign " se en voyait tres nette sur
ce coupe ( fleche rouge ) |
|
Image TDM + contrast d''une
volvulus biliaire en coupe coronal : Image de tres
distendue de la vesicule biliaire avec paroi tres
epais en deux feuillets avec minimum de rehaussement
de contrast intravieneuse .( fleche rouge ) . |
|
:
Page :
1
/
2
/
3
/
4
/
5
/
6
/
7/
8/
9
/
10
/11/
12
A suivre
<<
PREVIOUS
<<
>> NEXT >>
Gs Bui Binh Tho
|