|
-
La vesicule biliaire et des voies biliaires
sont ensemble des cannaux collectant la bile synthetisee
dans le foies et ecoulement jusqu'au dans le duodenum .Affections de
cettes voies sont frequentes , sa pathologie est multiple et
variee : inflamatoire , infectieuse , tumorale et ...Imagerie
de cette voie est incontournable en faire de l'exploration
Pathologie radiologique de voie biliaire accessoire ( Canal
cystique et vesicule biliaire ) :
Cholecystite aigue :
Correspond a l'inflamation aigue de la vesicule biliaire ,
avec signe de douleur a la region hypochontre droit et
fievre a superieure 38,5 . La cause
le plus souvent ( 90-95% ) est l'obtruction calculaire du canal cystique (cholecystite aigue lithiasique ).Et les autres causes c'est etat de infectee du contenue de la
vesicule biliaire (cholecystite aigue alithiasique )
Cholecystite aigue lithiasique :
C'est etat inflamation aigue de la paroi vesiculaire
secondaire a obtruction lithiasique du canal cystique .La
vesicule devient distendue et la contenue sẻ surinfectee .
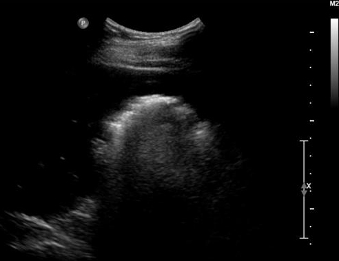
Image echographique
:
Echographie abdominale est la technique de premiere de l'intention pour
explore de cholecystite aigue : Les signes echographiques de
cholecystite aigue sont :
| |
Point echographique de Murphy est (+++) ce point est tres
douloureux |
| |
Epaissisement de la paroi de vesicule biliaire
de depasse 3mm |
| |
La contenue vesiculaire est anormale (par la
presence de boue et de calcul
) |
| |
Distendue de diametres de la vesicule biliaire a
superierure 4cm de diametre transvesale . |
| |
|
|
|
|
| |
 |
|
 |
|
| |
Cholecystite aigue
lithiasique : Images echographique de calcul
vesiculaire avec cone de hypoascoustique posterieure
. Distendue de la vesicule biliaire et epaissisement
de sa paroi . La contenue de la vesicule est
irreguliee . |
|
Epaissisement de la
paroi vesiculaire > 3mm , la contenue est irregulie
et image de calcul de infundibulum vesiculaire
. Cholecystite aigue lithiasique |
|
| |
 |
|
 |
|
| |
Image echographique de
multiple calcul vesiculaire avec epaissisement de la
paroi vesiculaire tres marquee . Cholecystite aigue
lithiasique |
|
Image echographique de
cholecystite aigue lithiasique : Vesicule est
distendue , paroi epais , image de calcul
multiple au ventre de la vesicule biliaire |
|
Images TDM :
Technique peu sensitive que echographie dans
d'expolation des calculs :
| |
- Les calculs ont peut isodense avec la bile est
difficile de exploree (+/-) |
| |
- La vesicule biliaire est distendue |
| |
- Epaissisement de la paroi vesiculaire
avec oedeme de la muquese et la sereuse . |
| |
- La presence de epanchement peri
vesiculaire |
| |
- Echogene du foie est un peu diminue (
etre hyperemie du foie ) .. |
| |
- Signe de bombee de la paroie anterieur
de la vessicule biliaire |
Criteria diagnostique majeur de cholecitites
aigue lithiasique est : Lithiase
vesiculaire , epaissisement de paroi vesiculaire ,
epanchement perivesiculaire et oedeme de la sousereuse
Criteria diagnostique mineur de cholecystite
aigue lithiasique est : la distendue de la vesicule biliaire
et la presence de boue vesiculaire
Diagnostic posssible domminant quand on avait deux
mineur et un majeur
| |
 |
|
 |
|
| |
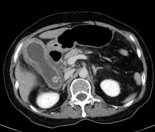
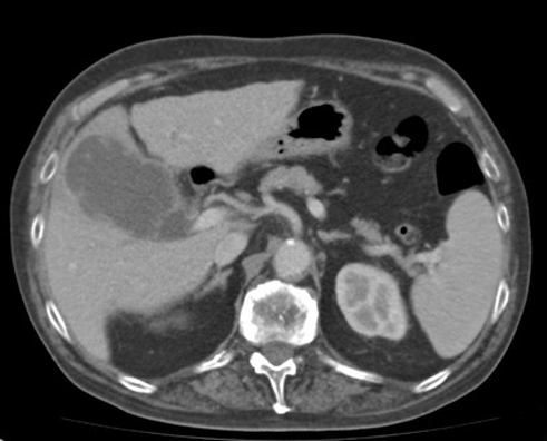
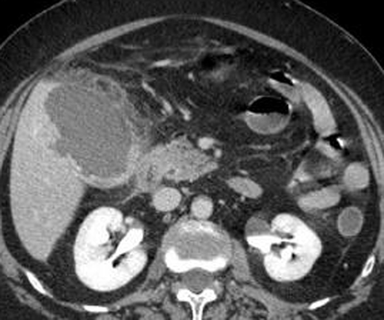
Cholecystite
lithiasique aigue : Vesicule biliaire est distendue
, image epaissisement et rehaussement hyperdense de la paroi
avec epanchement perivesiculaire . La lithiase
hyperdense situe a infundibulum . Image
radiologique TDM + contrast en coupe axiale |
|
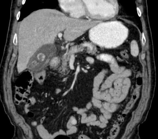
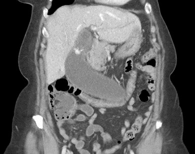
Image radiologique TDM
, contrast intraveineuse en coupe coronal : Se
presente une cholecystite aigue avec deux
calculs de la vesicule biliaire . Sa paroi est
epais , oedeme |
|
| |
 |
|
 |
|
| |
Image une cholecystite
aigue avec vesicule distendue , paroi vesiculaire
est tres epais et images de oedemes de la sous
sereuse . Coupe TDM axiale a contrast
intraveineuse |
|
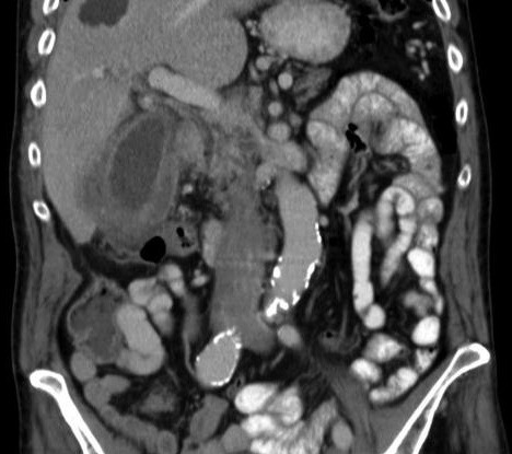
Meme cas en coupe frontale (
coronal ) . Images de oedeme sous sereuse et
epanchement perivesiculaire et canal cystique est en
vue nette |
|
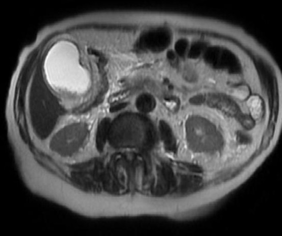
Image IRM
: IRM c'est la technique radiologique tres sensible dans la detection des
cholecystite lithiasique aigues . Technique cholagio IRM
peut etre exploree des calculs de l'infundibulum et du canal
cystique . Dans images IRM ponderee sur T2 la bile et voie biliaire
est hypersignal , le calcul peut en hypointense .
| |
 |
|
 |
|
| |
Image
radiologque IRM en coupe axiale : La vesicule
biliaire est distendue , sa paroi est tres epais |
|
Image radiologique IRM ponderee en T2 :
Cholecystite lithiasique aigue avec vesicule
biliaire
distendue , epaissisement de la paroi vesiculaire ,
oedeme de la sous sereuse et images des calculs a la
fondus de la vesicule biliaire |
|
| |
 |
|
 |
|
| |
Vesicule biliaire
hyperintense distendue, paroi epais et oedeme
: Image radiologique IRM ponderee en T2 , Coupe
axiale |
|
Meme cas en coupe IRM
coronal T2 |
|
. Cholecystite
aigue alithiasique : Sa fequence est de 5 a 10%
des cas de cholecystite aigue et se presente sur les sujet
agee , imunodeprime , en etat septique , brule de large
surface , a etat de choc , en periode posoperatoire ou de l'
infection : fievre typoide , cholera , VIH , tuberculose ,
leptospirose et brucellose ... et il y avait trois type de
cholecystite aigue alithiasique .: cholecystite
emphysemateuse , cholecystite gangreneuse et cholecystite
gangreneuse perforee.
Cholecystite
emphysemateuse : En presentee le plus
souvant sur les diabetes . Germes infectees est produit de
gaz collectant dans la lumiere et la paroi de sesicule
biliaire ( clostridium perfringens ..) , liee a l'etat
ischemique diabetique des petits vaisseaux et puis ils se
gangrene et perforee
| |
Sur le cliche de face ASP on peut en
voyait image de hydro-aerique et image de
l'air dans paroi de la vesicule biliaire . |
| |
Image echographique se donne de image de
echographique reflector par la presence de bulbe
d'air dans le paroi et a l'interieure de la vesicule
biliaire . Espace hypoascoutique posterieure
est en vue |
| |
Image CT le plus souvant en voyait est
image de distendue de la vesicule biliaire , image
de epaissisement de la paroi avec la presence de
bulbe d'air intramural et de l'air intra vesiculaire
. |
| |
|
| |
 |
|
 |
|
| |
Image une cholecystite
emphysemateuse sur le cliche de face ASP . La
vesicule est distendue , paroi epais et image
hydroaerique de la region hypochondre droit . Cliche
ASP de face |
|
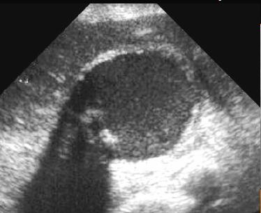
Image echographique
une calcul du fond vesiculaire . Epaissisement
parietal irregulie et la presene de petit bulbe
d'air intra mural . Le foie est hypo echogene par
hyperemie |
|
| |
 |
|
 |
|
| |
Cholecystite emphysemateuse
en coupe axiale a epaissisement irreguliee de la
paroi vesiculaire La presence de bulbe d'air intra
mural est en vue tres nette . Image echographique |
|
La presence d'air dans la
vesicule biliaire avec epaissisement vesiculaire .
Cholecystite emphysemateuse |
|
| |
 |
|
 |
|
| |
Vesicule biliaire distendue ,
Epaissisement irreguliairement de la paroi
vesiculaire et image hypodense de l'air intramural
et intra vesiculaire : Cholecystite emphysemateuse .
Image TDM en coupe axiale |
|
Image radiologique TDM
en coupe coronal a travers vesicule biliaire : La
vesicule est distendue , paroi epais et en presence
d'air intramural . Cholecystite emphysemateuse |
|
Complication de cholecystite aigue
emphysemateuse est la perforation intra peritoneale .
Cholecystite
gangreneuse : Complication peu
frequence de cholecystite aigue a incidense de 2-30%
de maladie choloecystite aigue . C'est etat inflamation
severe de cholecystite avec ischemie et pui necrose de la
mural vesicule biliaire , complication est abces
perivesiculaire , fistule et perforation ( fundique ++ )peritonite
, signe general est tres grave ( ++ ) . Image echographique
se donne de image de detachement de la muquese vesiculaire ,
epaissisement locale et irregulier de la paroi vesiculaire
et region de avascularisation de la vesicule biliaire sur
echo Doppler
| |
 |
|
 |
|
| |
Epaissisement locale et
irregulier de la paroi vesiculaire . Image de
detachement de la muquese vesiculaire . Image
echographique de cholecystite aigue
gangreneuse . |
|
La presence de region
avascularisation de la paroi vesiculaire est en vue net :
Cholecystite grangreneuse . |
|
Images radiologiques TDM de cholecystite
gangreneuse sont : Image de distendue vesicule biliaire ;
bulbe d'air intra mural ou air intra vesicule biliaire ;
epaissisement local et irreguliee vesiculaire ,
presence de intraluminal menbrane et image de abces
perivesiculaire .
| |
 |
|
 |
|
| |
Image radiologique TDM
de cholecystite gangreneuse : Epaissisement locale
et irregulie de la paroie vesiculaire , presence de
menbrane muquese intra vesiculaire . Image de abces
perivesiculaire est en vue |
|
Cholecystie
gangreneuse de la vesicule biliaire . Abces
perivesiculaire est en voyant |
|
| |
 |
|
 |
|
| |
Epaissisement locale et
irregulier pseudotumorale de la paroi vesiculaire .
Image TDM en coupe axiale |
|
Epaississement irreguliee de
la paroi vesiculaire et images de detachement
intraluminal de la muquese vesiculaire . Oedeme et
epanchement perivesiculaire est en vue |
|
Cholecystite gangreneuse
perforee : C'est complication peu frequence de
cholecystite gangreneneuse .Lors de images echographique et
radiologique ASP , TDM de cholecystite gangreneuse on peu en a vue de
signe radiologique direct ou
indirect de la perforation
| |
 |
|
 |
|
| |
Signe indirect d'une
cholecystite ganreneuse perforee : Images de
distendue vesicule biliaire , epaissisement localise
et irregulie de la paroi vesiculaire et image de
pneumoperitoine region sousdiafragmatique et
bord droit du foie . Image TDM en coupe frontal (
coronal ) |
|
Signe direct de
cholecystite gangreneuse perforee ( fleche rouge ) .
La rupture de paroi vesicule \est en vue tres nette
sur image TDM coupe coronal . La presence de
l'air para vesiculaire se verifie la perforation
|
|
Diagnostic differentielle de epaissisement de
la paroi de cholecystite aigue sont : hepatite viral ,
hypo albuminurie , ascite , cirrose du foie , insuffisance
cardiaque et pancreatite aigue ...
Cholecystite chronique: C'est etat d'
inflamation vesiculaire , secondaire a des pousses aigues de
la vesicule biliaire
d'origine lithiasique et est en se presenter plus de 95% des cas .
Epaississement parietale de toute les couches avec
hypertrophie musculeuse et fibrose de la sereuse vesiculaire
sont des lesions pathologique de cholrcystite chronique
. Calcification de la paroi peu en voyait . Image
echographie de cholecystite chronique est image de epaissisement marquee de paroi
vesicule et de calcification intramural
. Sur cliche de ASP image de vesicule en porcelaine peu en voyait . Image radiologique TDM de cholecystite
chronique est image epaississement a hyperdense de la paroi
vesiculaire , vesicule biliaire est distendue et image de calcul peu se
en voyaient
| |
 |
|
 |
|
| |
Image
radiologique de vesiculaire en porcelaine . Cliche
de face ASP |
|
Image echographique de cholecystite
chronique avec epaississement fibrosant
parietale et calcul multiple au infundibulum
vesiculaire |
|
| |
 |
|
 |
|
| |
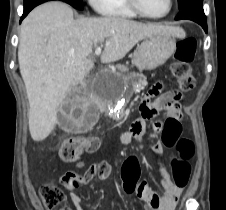
Image radiologique TDM (
contrast intraveineuse ) d'une cholecystite
chronique a vesicule biliaire distendue , bord
epais et fibrose hyperdense |
|
Cholercystite chronique
lithiasique avec vesicule biliaire tres distendue ,
paroi epais . Image de calcul peu en voyait a
infundibulum de la vesicule biliaire |
|
| |
|
|
|
|
Risque de carcinome vesiculaire est tres marquee
de 20 -22% peu en devenir de cancer
Choleystite chronique xanthogranulomateuse : Est
une forme grave de cholecystite chronique mais qui se donne de
imagege radiologique , macroscopique et evolution clinique
peu simuler un cancer de la vesicule biliaire . . Diagnostic
radiologique de cholecystite chronique xanthogranulomateuse se base sur image
echographique abdominale est de epaississement tres marquee
de la paroi vesiculaire qui peut depasse 12mm de
epais . Sa bord\ est irreguliere et siegant des lesions
nodulaires ou des bands hypoecogenes . Image TDM montrant
une vesicule biliaire a contenue multilithiasique heterogene
avec paroi tres epais, irregulier et en presence des nodules
hypodensites , contrast enhencement est tres basse
.
| |
 |
|
 |
|
| |
Image echographique d'une
choloecystite chronique xanthogranulomateuse . Sa
paroi est epais , et irreguliee , siegent de
bande hypoechogene |
|
Epaissisement locale
marquee et irregulierement de la paroi
vesiculaire : Cholecystite chronique
xanthogranulomateuse |
|
| |
 |
|
 |
|
| |
Cholecystite chronique
xanthogranulomateuse avec paroi tres epaississement
, irregulier et en presence des nodules a hypodense
: Image TDM en coupe axilaire |
|
Meme cas en coupe
frontale ( coronal) |
|
Diagnostique differentielle avec :
carcinoma de la vesicule biliaire et cholecystite aigue .
:
Page :
1
/
2
/
3
/
4
/
5
/
6
/
7/
8/
9
/
10
/11/
12
A suivre
<<
PREVIOUS
<<
>> NEXT >>
Gs Bui Binh Tho
|