| Pathologie
inflamatoire :
Cholangite
infectueuse aigue : Cholangite infectueuse
aigue (
angiocholite aigue bacterienne ) est une infection
systemique grave definie par une inflamation aigue
des caneaux biliaires consecutive a la obtruction
partielle ou totalement du canal choledoque par des
calculs,une sternose ou par compression externe
(syndrome de Mirinzi , neoplasique ... ). Le tableau
suivent presente des differences etiologies de la
cholangite aigue :
| |
Etiologies de la
cholangite aigue : |
|
| |
 |
|
| |
. . |
|
| |
Une puspulation bacterienne (
souvent Esceria coli ) associee a une
augementation de la pression intracanalicule
, favorise d' une translocation de bacteries
vers la circulation systemique , ce qui
donne une tableau clinique respectivement
: Fievre > 38 degree / frission , douleur
hypochondre droit, ictere avec de pertube
des test hepatiques .( Triad de Charcot ) ,
leucocytose > 10 , CRP ( + ) .. |
|
| |
Diagnostique imagerie dominante sur ;
Echographie per cutanee , TDM et ERCP et
aspect imagerie de cholangites sont : Voie
biliaire intra et extrahepatique dilate ,
epaissisement de la paroi des voies bilaires
,et image de calcul biliaire ... |
|
Echographie percutane
: Images echographiques du cholangite
infectueuse
aigue : Dilatation des voie biliaire intra et
extrahepatique , depasse 8mm avec voie
extrahepatique et 4mm des voies intrahepatique ,
Epaissisement de hypoattenuant de sa paroi . Image
de calcul canalicules et parfois de la
presence de pus intracanalaire .
| |
 |
|
 |
|
| |
Image
dilatation de voie biliaire intrahepatique.
Sa diametre de passe 6mm et image de calcul
vesiculaire se envoayait tres nette sur ce
coupe . Cholangite infectueuse |
|
Dilatation de voie
biliaire intrahepatique avec sa diametre de
depasse 8mm . Image echographie percutane en
Doppler de voie biliaire dilate , il y n'a
pas de flux Doppler en couleur
de voie biliaire , cela peut
permet de diffencie avec image de flux en
color des vaisseaux hepatiques
. Cholangite aigue des voies biliaires |
|
| |
 |
|
 |
|
| |
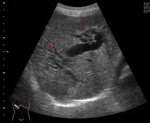
Angiocholite aigue
bacterienne . Image de dilatation
hypoechoriche des voies biliaires
intrahepatiques avec epaissisement legere de
sa paroi ( fleche rouge ) . Image
echographique per cutanee , coupe
hypochondre droit a travers foie droit |
|
Cholangite infectueuise aigue de
voie biliaire intrahepatique . Image de
dilate tres marque des voie biliaire du foie
droit avec distendue du canal hepatique
commun . Epaississement legere de la
paroi intrahepatique |
|
| |
 |
|
 |
|
| |
Aspect echographique
d'une cholangite infectueuse aigue de voie
biliaire intrahepatique . Image de
dilatation du canal avec epaissisement a
hypoechogene tres marquee de sa paroi (
fleche jaune ) . Image du calcul du canal
biliaire est en vue a moin nette ( fleche
rouge ) sur ce coupe |
|
Image
echographique d'une cholangite
infectueuse aigue d'une voie biliaire en
coupe a transverse du canal . Le canal est
dilate avec image de epaissisemenmt tres
marque de la paroi( fleche b;lanche ) . Les
autres voies biliaires intrahepatiques
dilatees peut en voyaient sur meme coupe . |
|
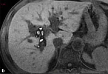
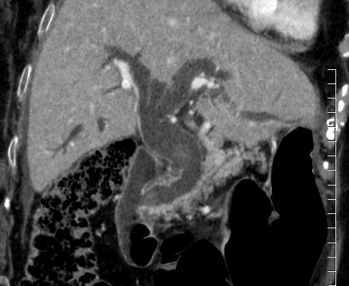
Image TDM
et IRM : Image radiologique
TDM et IRM de cholangite infectueuse c'est :
- La rehaussement nonhomogen de densite du
foie en phase arterielle du CT ,
- Image de dilatation des voies biliaire intra
hepatique ( peut etre central 38% , diffuse
16%,et segmentaire 46% ),
- Une dilatation de la voie biliaire
principale
- Une epaissisement parietal regulier et
systemique des voies biliaires ( superieure a
1.5mm d'epaisseur pour la voie biliaire
principale )
- Une prise de contrast homogene et precoce
des voies biliaires inflammatoires
: Complication de angiocholite bacterienne
aigue est :
- Abces angiocholite
- Pyleplebite
- Thombose de la veine porte
| |
 |
|
 |
|
| |
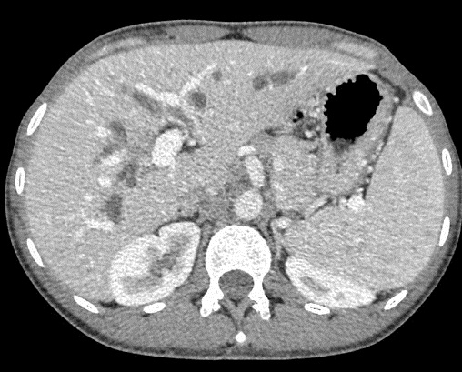
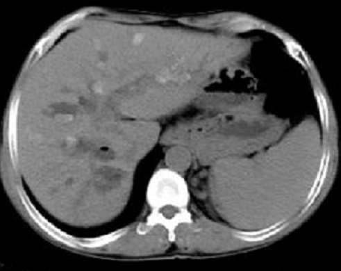
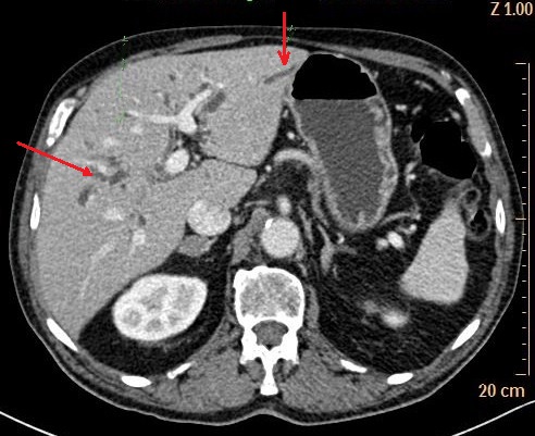
Aspects arrondies
hypodensite a bord irregulier de deux abces
angiocholite situe du foie droit (
fleche rouge ) . Image radiologique TDM avec
de contrast intraveineuse ( C+ ) en coupe
axiale . |
|
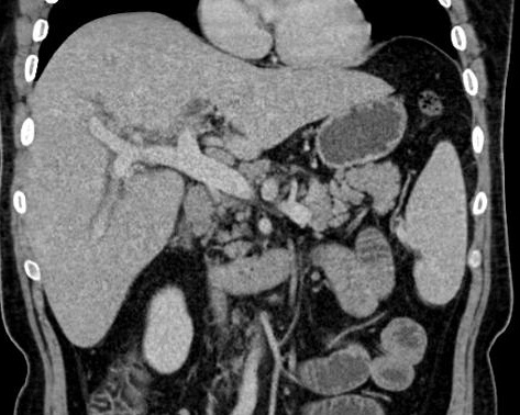
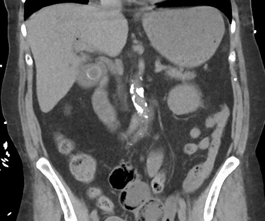
Image d'une pyleplebite de veine
mesenterique supperieure ( fleche jaune ) .
Sa paroi est epais et hyperdensite
etre en vue tres nette ( fleche jaune ) sur ce coupe . Image radiologique TDM en coupe
coronal ( frontal ) |
|
Cholangite sclerosant primitive
:
| |
La cholangite sclerosante
primitive ( CSP ) est une maladie
cholestatique chronique caracterisee par une
inflamation et une fibrose stenosante des
voies biliaires , extra et intrahepatiques
donc sa cause reste inconnue, souvent
auto-immune et souvent liée à une maladie
inflammatoire de l'intestin MICI (rectocolite
hémorragique, maladie de Crohn).Évolution
lente mais progressive et peut mener à la
cirrhose.
Incidence
annuelle de la CSP est de 0.9-1,3/
100.000 ( en Europe ) avec age moyen est
entre 30 -50 ans et les hommes sont deux
fois plus frequemment que les femmes .
Presentation clinical au debut est
asymtomatique , fatigue legere , genant
epigastrique , purite et perdre de poids ;
aux stade avance , splenomegalie , ictere et
puis cirrhose et insuffisance hepatique
| |
 |
|
 |
|
| |
- (A) Irregularites des
contours , retressissements
locaux et dilatation
poststenotiques
- ( B)Retresisement en
filiforme alternant avec des
zones de calibre normal ou
legere dilate
- ( C) Multiple de
retresissements avec dilatation
sacculaires
- ( D) Retresissement
importante des voies biliaires
avec disparition des voies
biliaires peripheriques, asp[ect
en "arbre mort "
|
|
- Image histologique
de voie biliaire normale
- Image d'inflamation du tissu
hepatique avec des segments scerosants et retressisemts
|
|
|
|
| |
L'etiologie de la CSP est
inconnue mais probablement d'origine
immunitaire . Il en presence frequemment en
association a une maladie inflamatoire
chronique de l'intestin ( MICI) , notament
la colite ulcerative , maladie de Crohn ....L'evolution
de CSP est estimee entre 9-12 ans a partir
du diagnostic chez les patients symtomatique
et de 16 ans sur les patients asymtomatiques .
Transplatation du foie est le seul
traitement efficace au stade terminal |
|
Technique imagerie pour diagnosic
cholangite infectueuse aigue est : Echographie
percutanee , la TDM , Cholangio -IRM et ERCP
: Image radiologique dominante de cholangite
sclerosant primitive ( CSP) est images de
stricture sclerosant multifocale avec dilatation
segmentaire , diffuse et systematise des voies biliaires intra et
extrahepatique . Au stade avance , quand la cirrhose
biliaire du foie en se presence , hypertrophy
du lobe caudal est en vue ( 68-95 % des cas )
, image de hypertention portal , splenomegalie
. Atrophie du lobe gauche du foie est le plus
souvent se trouve dans CSP .
Image
echographique : Au stade precoce
image echographique est image de artefact en queue
de comet par epaissisement de la paroi et aspect irregulier du calibre de voie biliaire
. au stade cirrhosant du foie ,
image hypoechogene et hypertrophie du lobe caudal ,
image hypertention portal avec dilatation de veine
porte , image de splenomegalie avec de distendue
des veines hilaires .
| |
 |
|
 |
|
| |
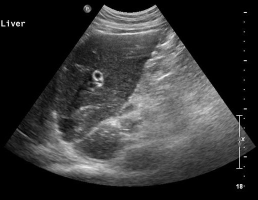
A precoce image
echographique d'une cholangite sclerosant
primitive est image de epaissisement de la
paroi de voie biliaire , en vue de image en
queue de comet . Coupe echographique a
hypochondre droit a travers foie droit . |
|
Au stade
avance , on peut envoyait image
de epaissisement de paroi des voie biliaire avec de couche
oedemateuse hypoechogene . ( fleche jaune )
.Voie biliaire en dilatee . Image echographique per cutanee du foie
droit . |
|
| |
 |
|
 |
|
| |
Cholangite
slerosant primitive avec image de dilatation
et epaissisement fibrosant tres
marquee de voie biliaire . |
|
Au stade evolutive
image irregulier des voies biliaires se
voyait tres net ( fleche rouge ) . Portion
sclero-fibrosant intercale de voie normale
dilatee |
|
| |
 |
|
 |
|
| |
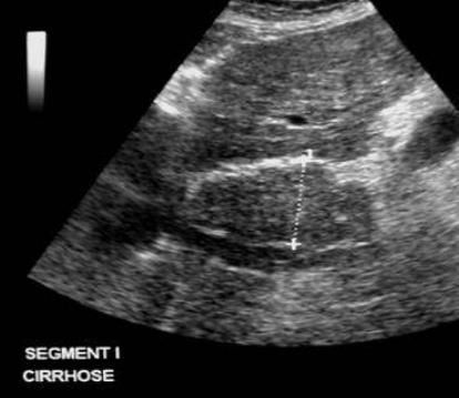
Au stade precoce de
cirrhose biliaire du foie image
echographique est hypertrophie a
hypoechogene du lobe caudal du foie . Image
echographique en coupe sagital de la ligne
mediane . |
|
Stade de hypertension portale
d'une cirrhose biliaire du foie ,
complication d'une cholangite slerosant
primitive de voie biliaire . Dans ce coupe
la veine port est tres distendue 13,5mm ( <
11mm en normalement ) foie est
hypoechogene et rude |
|
| |
 |
|
 |
|
| |
Image de
dilatation de veine du foie et diminue de
flux veineuse . Image echographique
percutane du systeme vaisseaux du foie (
Doppler en couleur ) |
|
Image echographique
de cirrhose du foie au stade hypertention
portal est diminue de volume du foie , bord
du foie irregulier , angle du foie est
obtue,hypertrophie de la lobe caudal
,dilatation de la veine porte , systeme
splenique et splenomegalie puis ascite ..Dans
ce cas image de splenomegalie avec
hypertension des veines hilaires en
presence tres nette |
|
Image TDM :
Image TDM de la cholangite sclerosant
primitive est : Dilatation en discontinue a hypodensite des voies biliaires .
Image de hypertrophy a hypodense tres marquee du
lobe caudal du foie au stade cirrhosant , volume du foie peut etre grand
ou petit , sa bord est irregulier et en presence des
nodule calcifie ( hepatolithiasis ) .
| |
 |
|
 |
|
| |
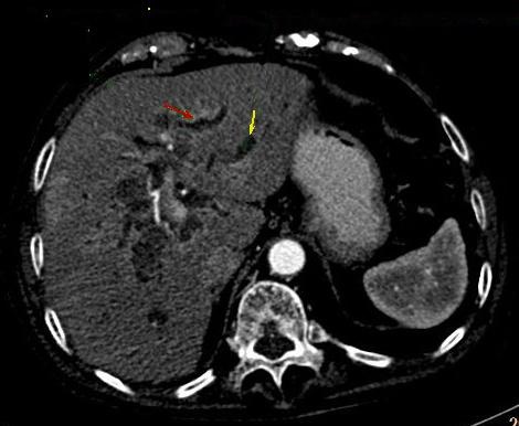
Image de
dilatation systematise de voie biliaire
intrahepatique avec n'a pas de calcul
biliaire peut en susgestion de diagnostique
une CSP du foie |
|
Image radiologique d'une CSP en
coupe TDM axiale avec de conrtrast
intraveineuse . Aspect de dilatation et
stricture stenosant systematise des voies
biliaires intrahepatique . Foie
elargir et splenomegalie |
|
| |
 |
|
 |
|
| |
Dilatation systematise des voies biliaires
intrahepatique et de voie biliaire
commune avec des nodules calcifies (
hepatolithiasis ) . Aspect radiologique
a susgestion d'une cholangite sclerosant
primitive . Image TDM en coupe axiale
( non contrast ) |
|
Image de dialtation des voies
biliaires intrahepatique . Foie est elargir
et rude , veine porte dilate ,
splenomegalie , n' a pas de calcul biliaire
. Cholangite sclerosant primitive du foie en
coupe frontale ( TDM plus C+ ) |
|
| |
 |
|
Image radiologique de
cholangio TDM intraveineuse : Voie
biliare et vesicule biliaire retrouve tres nette , voie biliaire gauche est
dilate en segment multiple et
l'abcense de calcule de
voie biliaire . Cholangite sclerosant
primitive (CSP ) |
|
| |
|
|
|
|
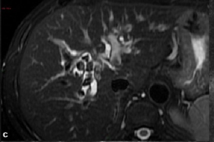
Image IRM , cholangio IRM et
ERCP : Stenose multifocales avec
dilatations segmentaire des voies biliaires
intra et extrahepatique , image de pseudo-diverticule
biliaire , bord du voie biliaire est
irregulier ou bien image de distortion des voies
biliaire en cas de cirrhose du foie .
| |
 |
|
 |
|
| |
Aspect de fibrose
stenosant multifocale avec dilatation
segmentaire systematise de voie biliaire
intrahepatique du foie droit ( cholangite
sclerosant primitive ) . Image radiologique
IRM en coupe coronal , pondere sur T2 |
|
Image
cholangio IRM des voies biliaires du foie
droit d'une cholangite sclerosant primitive
. Aspect de dilatation discontinue par des
segment stenose fibrosant de voie biliaire
intra et extrahepatique ( fleche rouge ) |
|
| |
 |
|
 |
|
| |
Cholangite sclerosant
primitive du foie avec image de fibrose
stenosant systematise des voie biliaire
intrahepatique . Le canal biliaire est tres
petit , bord irregulie , discontinue par
quelque portion dilate en vue tres nette sur
ce coupe , les voie biliaire peripherique
sont dilatees ( image typique de CSP )
. Le bas du canal choledoque et une partie
du canal hepatique sont en stenose . Image
radiologique cholangio IRM de voie biliaire |
|
Image de
deorganisation et irregularite des voies
biliaires intrahepatique ( VBIH ) en vue
tres nette (CSP) . Dilatation moniliforme (
fleche blanche ) et dilatation de voie
biliaire peripherique . Image de CSP en
cholangio-IRM coupe frontale . |
|
Complication :
- Cholangiocarcinoma en presence sur 15% des
cas de CSP
- Cancer colorectale
- HCC
Diagnostic differentiel
:
- Cirrhose du foie par les autres causes :
Lobe gauche du foie est hypertrophie et
- Cholangiocarcinoma :
- Cirrhose biliaire primitive : presence le
plus souvant sur les jeunne et difficile de
diagnostic differentiel avec CSP
- Syndrome Alagille : ( arteriohepatic
dysplasia )
- Cholangite sclerosant secondaire : le plus
souvent en association avec une AIDS ou
stricture de voie biliaire
Cholangite sclerosant secondaire :
La
cholangite sclérosante secondaire, en revanche, avait
une cause connue comme des infections chronique
repetee de voies biliaires intra hepatique , une ischémie (manque d'oxygène), des
toxines, des greffes hépatiques, ou certaine maladie
comme HIV ..
Pronostic : Peut être plus favorable si la cause est traitée, avec
parfois une régression des lésions
|