|
-
Pathologie radiologique de voie biliaire accessoire ( canal cystique et vesicule biliaire ) :
( a suivre )
Tumeurs
vesiculaires : Il y avait deux type de
tumeur vesiculaire : tumeur
begnin vesiculaire et tumeur maligne vesiculaire
Tumeurs begnins vesiculaires
: Ce sont des polyps cholesterolique ou
inflamatoires , des adenome vesiculaire , cholesterolose
vesiculaire et adenomyomatose vesiculaire .
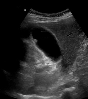
Polyp vesiculaire : C'est la lesion
saillie de la muquese vesiculaire unique ou multiple de taille variable , souvent a inferieure ou egale
de 10mm . C'est une
tumeur begnin a d'origine le plus souvant cholesterolique (
polyp cholesterolique ) se presence sur
les sujets de ages entre 40 - 50 de sex feminin , les autres
a incidence 10% est la polyp inflamatoire .
Les polyps a taillee > 10mm avaient plusieure de risque de
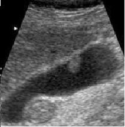
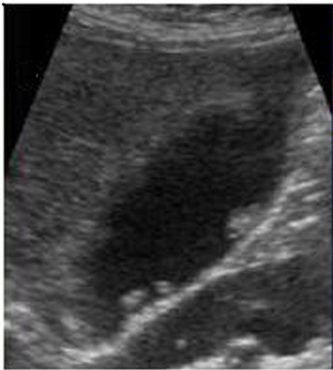
cancerisation . Echographie per cutanee est la premiere de
l'intention pour diagnostique des polyps de vesicule
biliaire .La petit polyp avait une aspect polypoide isoechogenique souvant
ratache au paroi de la vesicule
biliaire par un pedicule et n' a pas l'ombre de acoustique
posterieure . Sur les grands polyps on peu en voyait une zone
hypoechoriche posterieure .
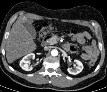
Imge TDM de polyp vesiculaire
est : image de l' aspect bourgeonaise ou polypoide a isodense
situe au fond ou au ventre de la vesicule biliaire . Sur la
technique TDM + de contrast intra veineuse la rehaussement peripherique
du polyp peut se en voyait
| |
 |
|
 |
|
| |
Image d'une polyp vesiculaire
a isodene situe au fond de la vesicule biliaire .
Image radiologique TDM + contrast en phase
arterielle et coupe axiale |
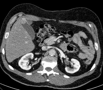
|
Meme cas en phase veineuse .
Image de rehaussement de contrast en peripherique du
polyp |
|
Image IRM de polyp
de la versicule biliaire est : Sur les coupe IRM ponderee
sur T2 aspect radiologique en nodulaire ou en bourgeonaise
a hypointense au milieu de la vesicule biliaire avec sa
contenue tres hyperintense ( l'eau est hypersignal )
| |
 |
|
 |
|
| |
Image de deux polyp
vesiculaire en aspect polypoide a hypointense situe
a infundibulum et au fond de la vesicule biliaire .
La vesicule biliare et sa contenue est tres intense
, voie biliaire intrahepatique et une partie de VBP
est en se voyant . Image radiologique IRM en coupe
coronal ponderee sur T2 |
|
Une autre cas de polyp vesiculaire :
image polypoide a hypointense situe au fond de la
vesicule biliaire . La vesicule biliaire et sa
contenue est tres hypersignal : Image
radiologique IRM ponderee sur T2 et en coupe
sagitale |
|
Prognostique et traitement
: La guideline 2017 de ESGAR* , EAES *, EFISDS*et
ESGE* avait une guidance sur la polyp de la vesicule
biliaire peut en resume suivant :
| |
Polyp > 10mm : Plusieure de risque de
cancerisation . Indication de cholecystectomie |
|
| |
Polyp < 10mm : |
|
| |
Si la maladie avait des
facteurs de risque de cancerisation ( > 50 ages ,
avait cholangite des voies biliaire , race de India ., polyp a
sessile avec paroi epais > 4mm ) :
- Polyp < 6mm : Surveillance sur echographie
au sixieme mois et puis par annee dans cinq
annee . S'il y avait augmentation de taille de plus
2mm : Cholecystectomie:
- Polyp > 6mm : Cholecystectomie
|
|
| |
S'il y avait pas de risque de cancerisation :
- Polyp < 6mm : Surveillance sur echographie
par 1,3 et puis 5 annee
- Polyp > 6mm : Surveillance sur
echographie au sixieme mois et puis par annee
dans cinq annee . S'il y avait augmentation
taille de plus 2mm : Cholecystectomie:
|
|
Diagnostic
differentiel : Calcul de la vesicule biliaire ,
boue de la vesicule biliaire ,adenomyomatose vesiculaire et carcinome de la vesicule biliaire
.
Adenome vesiculaire : Tumeur rare ,
asymtomatique , predominace sur feminine . Il peut etre
associe a une maladie generale familiale de type polypose
adenomateuse familiale ou syndrome
de Peutz-Jeghers . Sa taille est variable de 5 - 20mm en
forme polypoide a base sessile ou pedicule avec aspect multilobe pour la forme tubulaire et a contour irregulier
pour la forme papillaire a isoechogene sans cone de l'ombre
posterieure et ratachee a la paroi vesiculaire . C'est
une lesion a potentiel maligne
| |
 |
|
 |
|
| |
Adenome pedicule
de forme tubulaire . Aspect de adenomeme est
isoechogenique colletant au paroi par une pedicule .
Image echographique en coupe longitudinale de la
vesicule biliaire |
|
Image de
adenomateuse polyppoide isoechogenes de type sessile
: Image echographique en coupe longitudinale de la
vesicule biliaire |
|
| |
 |
|
 |
|
| |
Image echographique en coupe
longitudinale de la vesicule biliaire : Aspect de
multiple formation polypoide adenomateuse
isoechogene de type pedicule ( fleche rouge ) . |
|
Image echographique d'une polyp
adenomateuse de type sessile supracentimetrique (
fleche rouge ) |
|
Cholesterolose vesiculaire : Lesion
diffuse de la paroi vesiculaire par le depot
triglyceride ou ester de cholesterol dans les macrophage
saint ; elle se forme des petites excroissants de la sous muqueuse
et prostruction la muqueuse . Ceci est se presente en deux forme : forme diffuse et forme focale et s'il y
avait geant , diagnostic differencie avec adenome
vesiculaire . Image echographique de cholesterolose vesiculaire est la formation isoechogene de taille a inferieur de10mm ,
sans cone de l'ombre posterieure et ratache fixe a la paroi
,si le depot de cholesterol est focale il y en forme
de petit polyp et se donne de image " comet sign ".
| |
 |
|
 |
|
| |
Image multiple de formation
isoechogene au ventre de la vesicule biliaire , n'a
pas de cone de l'ombre posterieure . Image
echographique de cholesterolose vesiculaire |
|
Image echographique
d'une cholesterolose vesiculaire en forme des petits
polyps ratache au ventre de la vesicule
biliaire |
|
| |
 |
|
 |
|
| |
Aspect
echographique d'une cholesterolose : S'il y avait de
depot cholesterol focal se forme de petit polyp
creant de image de artefact hyperechogene queue de
comete (Comet sign ) |
|
Image en " queue de
comete " ( comet sign ) se en voyait tres net au
fond de la vesicule biliaire . Cholesterolose
vesiculaire . |
|
Diagnostic differentiel
| |
Adenome vesiculaire |
|
| |
Adenomyomatose vesiculaire |
|
Adenomyoatose vesiculaire : C'est
hyperplastique cholesterolique de la vesicule biliaire avec
la formation de sinus Rokitansky-Aschoff , ce qui s'invagine dans le
paroi de la vesicule biliaire ,au couche musculeuse . Epaissisement de la paroi
vesiculaire est frequemment . Elle se presence
le plus souvant sur les femmes , incidence ratio de sex est M/F = 1/3 ,et augemente
par l'age . Elle est asymtomatique ou en association avec l'infection
chronique et de calcule de la vesicule biliaire (a
l'incidence 25-75% ) . Morphologie , il y avait trois forme
de adenomyomatose vesiculaire : diffuse , segmentaire (
annulaire ) et localise ( fundique )
| |
 |
|
 Hyperplasia de la paroi
de vesicule biliaire se forme
des sinus Rokitansky-Aschoft intramurales |
|
| |
Morphologie : Forme
segmentaire ( annulaire ) , forme localise (
fundique ) et forme diffuse . |
|
|
|
Image echographique
de adenomyomatose vesiculaire est image de epaissisement locale
ou difuse de la paroi vesiculaire . Le depot des chrytal de
cholesterol dans sinus Rokitansky-Aschoft se donne de aspect
" queue de comete " tres specifique .
| |
 |
|
 |
|
| |
Adenomyomatose
vesiculaire : Image de epaissisement localise au
fond de la vesicule biliaire avec de depot
cholesterol hyperechogene intramural et se
donne aspect specifique "queue de comete " . Image
echographique en coupe axiale a travers de la
vesicule biliaire |
|
Image echographique d'une adenomyomatose
vesiculaire de forme localise ( coupe longitudinale):
Sur ce coupe on peut en voyait image de
epaissisement localise de la paroi anterieure de
vesicule biliaire . Image de depot de crystal
cholesterolique hyperechogene intramural avec signe
de " queue de comete " est en vue |
|
| |
 |
|
 |
|
| |
Aspect echographique d'une
adenomyomatose forme diffuse avec image
d'epaissisement globale de paroi de la vesicule
biliaire . Des nodules cholesterolique hyperechogene
intramural avec " comet sign " peut en se voyait
|
|
Epaissisement tres marquee
de paroi vesiculaire avec des nodules hyperechogenes
intramural . Adenomyomatose vesiculaire forme
diffuse . |
|
| |
|
|
|
|
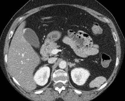
Image TDM : C'est
image de epaissisement parietale segmentaire ou diffuse de
l;a vesicule biliaire . Rehaussement de contrast
intraveineuse du lesion peut etre en voyait . " Rosary sign
" est une signe specifique , se presente dans la TDM +
contrast intra veineuse
| |
 |
|
 |
|
| |
Image de adenomyomatose
vesiculaire de forme localise ( fundique ) .
On peut en voyait image de epaissisement parietale
hyperdense au fond de la vesicule biliaire :
Image radiologique TDM + contrast ,en coupe axiale
|
|
Adenomyomatose vesiculaire forme
diffuse : La rehaussement du couche epithelium entre
des sinus Akitansky-Ashoft par contrast
intraveineuse se donne de image de rose " Rosary
sign ". La paroi est tres epais : Image TDM +
contrast intraveineuese en coupe axiale . |
|
| |
) |
|
|
|
Image IRM et cholagio-IRM
: Technique interessente pour distingue une
adenomyomateuse et d'une neoplasie de la vesicule biliaire .
Les sinus de Rokitansky -Aschoft sont hypointense sur T1 et
hyperintense sur T2 . La cholangio -IRM se
donne de image de la vesicuule biliaire a paroi epais
diffusee ou localisee et image de " collier de perles
"
| |
 |
|
 |
|
| |
Adenomyomatose
vesiculaire de forme localise fundique : Les sinus
de Rokitansky-Ashoft au fond de la vesicule biliaire
sont hypointense .,la vesicule biliaire est en meme
intense . Image IRM en coupe axiale pondere sur T1
|
|
Image IRM de meme cas en pondere sur T2 :
Les sinus de Rokitansky-Aschoft sont hypersignal en
forme de collier au fond de la vesicule .. La
vesicule biliaire et sa contenue est tres
hyperintense |
|
| |
 |
|
 |
|
| |
Image de " collier de perles
"
d'une adenomyomatose vesiculaire forme diffuse :
Image IRM ponderee surT2 en coupe coronal |
|
Image cholangio- IRM d'une
adenomyomatose vesiculaire : Les sinus de
Rokitansky-Aschoff sont hyperintense en forme de "
collier de perles" a infundibulum vesiculaire . |
|
| |
|
|
|
|
:Diagnostic differentiel
: Carcinoma de la vesicule biliaire , polyp
cholesterolique .
Page :
1
/
2
/
3
/
4
/
5
/
6
/7/
8/ 9
/
10
/11/
12
A suivre
<<
PREVIOUS
<<
>> NEXT >>
Gs Bui Binh Tho
| |
*ESGAR :European Society of Gastrointestinale
and Abdominal Radiology |
|
| |
*EAES : Europaen Associationfor Endoscopic
Surgery and other Interventional technic |
|
| |
*EFISDS: International Society of Digestive
Surgery- European Federation |
|
| |
*ESGE: European Societyof Gastrointestinal
Endoscopy |
|
,
|