|
Pathologie radiologique de voie biliaire principale
( VBP ) et de voie biliaire intrahepatique (VBIH ) : canal hepatique , canal choledoque ...
Calculs des
voies biliaires :
Calculs choledociens :
La lithiase choledocien correspond a la
presence de calcul dans voie biliaire principale , canal
hepatique et canal choledoque . Il se presence
comme
- Une lithiase primitive qui se forme dans les voies
biliaires , habituellement de calcul pigmente
- Une lithiase secondaire souvent cholesterolique qui se forme dans la
vesicule biliaire et migration dans la voie biliaire
principale
- Une lithiase residuelle ignoree au moment de
la cholecystectomie
- Des calculs recidivants qui se developpent dans les
voies biliaires apres l'intervention chirugicale ( plus
de 3 ans )
Signe
clinique dominant est une colique hepatique , fievre , syndrome de
l'obtruction biliaire . une pancreatite biliaire aigue ou
une angiocholite ascendant de voie biliaire . La
frequence des manifestations cliniques initiales de la
lithiase des voies biliaires principales peut en resume
suivant :
| |
 |
Frequence des manifestations cliniques initiales de
la lithiase de voie biliaire principale |
Technique de diagnostic radiologique
de lithiase de voie biliaire principale est : Echographie
percutanee , Cholangiographie transhepatique
percutanee , TDM - cholangiographie , IRM et cholangio-
IRM et ERCP . Et selon de la condition situant , bilan de
... etat de la maladie ... les techniques necessitees de
choix seront indiquees
Echographie
percutanee : C'est ;la
technique de choix pour
exploree des calculs choledociennes ( tres peu visible )
et d' etat de dilatation de voie biliaire principale . Par la composition de
lithiase choledocienne est isodense
avec la bile et par la dependance a
la fenetre echographique , sa sensivite d'explorer est un
peut de faible et se determine entre
de 13% - 55% de cas . Image echographique receuillir est image de
hyperechoriche arrondie de 2mm - 20mm avec de faible
zone acoustique posterieure ; 20% de calcul choledocienne n'a pas de zone acoustique posterieure
. Signe de " aliasing " , ou signe du comet (
twinkling artefact ) peu se envoyait et ce qui utilise
pour detecte des calculs obscurcir. Signe d'echographique
indirect de calcul choledocienne \c,est la dilatation de
voie biliaire principale sa diametre est depasse > 6mm + 1mm
par dix ans apres 60 ans , et en plus > 10mm en cas de
cholecystectomie . Dilatation de voie biliaire principale et intra
hepatique se presente frequemment
| |
 |
|
 |
|
| |
La calcul peut blocquant seul
le canal hepatique ou portion superieure du canal
choledoque , ce qui provoque une stase
biliaire avec de signe de dilatation de voie
biliaire en amont et de branche biliaire
intrahepatique . Si la lithiase est bloquant le
canal pancreatique et canal choledoque les signes
de pancreatite aigue se entrainer |
|
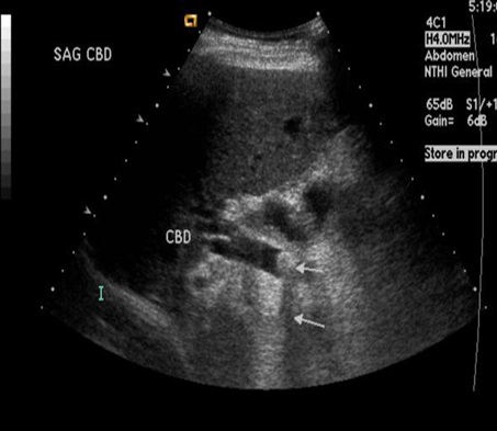
Aspect hyperechoriche
avec de zone de faible acoustique posterieure d'une calcul du
canal hepatique ( fleche blanche ) . Voie
biliaire en amont est tres dilate . Image
echographique per cutanee en coupe a longitudinal de
voie biliare principale |
|
| |
 |
|
 |
|
| |
Image echographique d'une
calcul de voie biliaire principale avec image du
calcule et de canal choledocque en dilate ;
20% de calcul choledociennes est hyperdensite (
hyperechogene ) .
Coupe longitudinal du canal |
|
Meme cas en coupe
transversal a travers le calcul Image du calcul
hyperechogene se voyait tres nette avec cone
de l'ombre de acoustique posterieure . |
|
| |
 |
|
 |
|
| |
80% de calcul du canal
choledoque est faible de detecte par sa petite
taille et par le moindre de
zone hypoacoustique posterieure . Echo en Doppler
peut donner aspect de artefact scintillement a
posterieure du calcul " aliasing artefact " (
twinkle artefact ) et cette technique peut en
comsomation de augmenter de chance de detecte des
petits calculs obcurcir |
|
Aspect de dilatation
des voies biliaires intrahepatique peut se envoye
sur calcul obturant du canal choledocque . Image
echographique suggestion de la lithiase cholodocien en coupe a travers
du foie droit |
|
| |
|
|
|
|
La TDM :
La tomodensitometrie plus de contrast intraveineuse se donne une
resultat de exploration des calculs du canal choledoque
reste entre 65% - 88% et resemble
comme une technique bien de choix pour
diagnostique . Aspect radiologique TDM de la lithiase choledocienne est :
| |
- Image de cible avec central
arrondie hyperdensite et a contour de faible de
densite du bile et de la muqueuse |
|
| |
- Rim sign : Image du calcul a
interieure avec contour tres hyperdensite |
|
| |
- Signe de croissant : |
|
| |
- Opacite du calcul : 20% des
calculs avait de haute densite |
|
| |
|
|
La TDM cholangiopraphie : Technique TDM avec
contrast agent de voie biliauire ( Biligrafine *.. )
se donne une sensibilite d'explorer de 85-98% sur les
choledocholithiasis , le reste est : allergie avec
contrast radiologique , mauvaise de resulta radiologique
par moindre de l' excretion de contrast en cas presence de
cholestase .
| |
 |
|
 |
|
| |
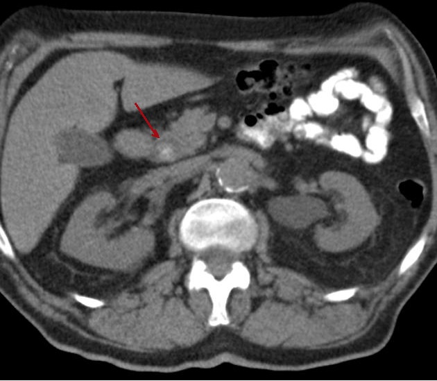
Aspect radiologique d'une
calcul choledocienne .Image de cible du calcul avec
central hyperdensite et a contour de faible de
densite . Image TDM en coupe axiale |
|
Aspect de cible d'une calcul
choledocienne ( fleche rouge ) . Portion dilate en
amont du canal choledoque peut envoyant bien sur ce
coupe . |
|
| |
 |
|
 |
|
| |
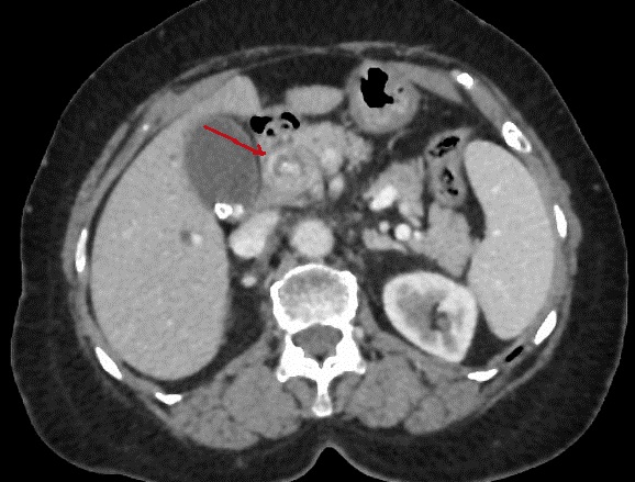
Image radiologique TDM +
contrast intra-veineuse en coupe axiale . Aspect de
cible en vue tres nette sur ce coupe ( fleche
rouge ) . Une contour de faible densite englobe une
noyaux hyperdensite . . |
|
Meme cas en coupe coronal (
frontal ) . Calcul choledocienne ( fleche rouge ) .
Voies biliaires intra hepatiques sont en legerement
dilate .. |
|
| |
 |
|
 |
|
| |
Calcul a la portion de bas du
canal choledoque ( fleche rouge ) . Meme cas en
coupe sagital , (image radiologique TDM + contrast
). |
|
Image radiologique en TDM
d'une autre grand calcul choledocien .
Aspect arrondie iso-attenuance d'une calcul
choledoccienne avec contour tres hyperdensite
( Rim sign ), fleche rouge . Image TDM en
coupe sagital |
|
| |
|
|
|
|
La IRM et
cholangio - IRM : Technique radiologique
non invasive tres sensible pour explorer de calcul
choledocien ce qui peu attenir de 90-95% de cas des
calculs du canal choledoque , meme sur petit calcul ,
image de receuillir est aspect lacunaire de la lithiase
situe a l'interieure de voie biliaire .Cette technique est
aussi bien pour diagnostic etiologique les autres
obtruction de voie biliaire .
La
cholangio-pancreatographie retrograde (
ERCP ) : Methode reference pour localise et
caracteriser des calculs et des lesions obtructive du
choledoque . C'est une technique invasive qui se donne une
image tres nette de haute resolution . Cette technique se
permetre une geste therapeutique comme extraction des
calculs ou en place une Stein a la portion serre du canal
. Complication est perforation ,
hemorragie ou une pancreatite aigue
| |
 |
|
 |
|
| |
La IRM peut en detecte
si bien sur les calculs du canal choledoque avec
aspect radiologique IRM est un image arrondie
ou ovalaire a hyposignal ( fleche rouge ) . Image
radiologique IRM en coupe axiale ponderee sur T2 |
|
Une autre calcul choledocien
( fleche rouge ) en aspect radiologioque ovalaire hypointense |
|
| |
 |
|
 |
|
| |
Image radiologique cholangio
- IRM de calcul choledocien et de voie biliaire en
coupe frontal , pondere sur T2 . La bile , le
contenue dans voie biliaire , d'origine de l'eau
sont tres intense ( hypersignal ) et les calcules du
canal choledocque se presence en forme
lacunaire intraluminal sont tres hypointense |
|
Image radiologique cholangio
-IRM de voie biliaire et de calcul choledocien
recontructive en 3D . Voie biliaire pricipale et des
branches intrahepatiques est tres nette . Le
calcul du canal choledoque est en aspect lacunaire
arrondie a hypointense situe a la portion inferieure
du canal choledoque ( fleche rouge ) . |
|
| |
 |
|
 |
|
| |
Calcul multiple
situe a la portion inferieure du canal
choledoque . Image radiologique cholangio - IRM des
voies biliaires recontruction en 3D |
|
La ERCP
technique invasive pour explorer voie biliaire et
par cette voie on peut extraction de calcul ou en
place un stein pour s'etendre la portion serre |
|
| |
|
|
| |
La sensibilite de diverses methodes
diagnostiques de choix peut varie et en resume : |
|
| |
 |
|
| |
|
|
Diagnostic differentiel :
- Cholangiocarcinoma
- Ampule de Water\ carcinoma
- Adenocarcinoma du pancreas
- Bull d'air
- Parasite
Calculs de voie biliaire intrahepatique :
Se definie par la presence des calcul dans les voies
biliaire intra hepatique , rare avec incidence de 1%
ensemble des cas de lithiase . Il y avait deux type de
calcul de voie biliaire intra hepatique
- Calcul primitive :
Ce sont des calcules formes dans les voies
biliaire intra hepatiques le plus souvent de
nature cholesterolique secondaires a des anormalies
metaboliques , se retrouves dans les deux lobe du foie
et en present de 30 -40ans
- Calcul secondaire ( calcul
de migration ) : en formation par
inbiltion de hydrolyse de la bilirubine pour forme de
bilirubinate en contexte de stase biliaire par stenose
ou d'infection a E.Coli . Ce sont des calculs pigmentes
, bruns , contenant de bilirubinate de calcium , situe
souvent en amont de stenoses au foie gauche
Image echographique de la lithiase
intrahepatique est foyers hyperehogene intrahepatique et
s'il y en a grande , image de l'ombre de acoustique
posterieure est se retrouve ; dilatation de voie biliaire
intrahepatique en amont peut en voyant . Aspect TDM de
calcul biliaire intrahepatique est foyer hyperdense
intrahepatique avec ou non dilatation de voie biliaire en
amont . Image cholangio-IRM est image hyposignal en
forme laccunaire de voie biliaire intra hepatique .
| |
 |
|
 |
|
| |
Image echographique d'un
calcul en forme de branche de arbre du canal
biliaire intrahepatique du foie droit en coupe
transverse et en longitudinale ( fleche blanche ) .
Zone de l'ombre hypoacoustique posterieure est
en vue nette |
|
Image hyperechogene d'une lithiase de voie
biliaire intrahepatique du foie gauche. L'ombre
d'ascoustique posterieure du calcul se retrouve tres
nette . Voie biliaire en amont est un peut de dilate
. Image echographique percutanee . |
|
| |
 |
|
 |
|
| |
Aspect
hyperdensite d'une calcul de voie biliaire
intrahepatique du foie gauche . Image radiologique
TDM de l'abdomen ( pas de contrast ) en coupe axiale
. |
|
Image radiologique
cholangie-IRM recontruit en 3D de voie
biliaire extra et vintrahepatique . Image de calcul
primitive hypointense de voie biliaire gauche
( fleche rouge ) . Voie biliaire en amont est tres
dilate . Image cholangio-IRM en recontruit en 3D de
voie biliaire . |
|
| |
 |
|
Image des lithiases secondaire du
VGP et du canal hepatique gauche d'une cholangite
sclerosant primitive des voie biliaire . Dilataion
legere de voie biliaire en amont est en voyait ..
Image cholangio - IRM coupe 2D frontal |
|
Gs Bui Binh Tho
Page :
1
/
2
/
3
/
4
/
5
/
6
/7/
8/
9
/
10
/11/
12 A
suivre
<<
PREVIOUS
<<
>> NEXT >>
,
|