|
Dr Bui Binh Tho
Pathologie radiologique de la rate ( à suivre )
Rate
infectieuse
: Pathologies sont tres rare mais a potentiel
lethalgique . La cause peut en resume :
Abces pyogenique :
Pathologie rare mais tres grave . Ethiologie :
Infection bacteriemie ( endocardite , toxicomanie IV ..) ,Traumatisme
( hematome surinfecte ) , Immunodepression . Aspect
echographique est lesion arrondie aechogene liquidienne a
parois epaisses et irregulieres presence de echo fin
, cloisonees avec echo de reflechissement de bulbe de gaz ++
. Aspect radiologique TDM est une collection hypodense peut
en cloisonne , sa paroie se rehaussement apres injection de
contrast intra veineux .et souvent se presenter des bulbe
gaz
| |
 |
|
 |
|
| |
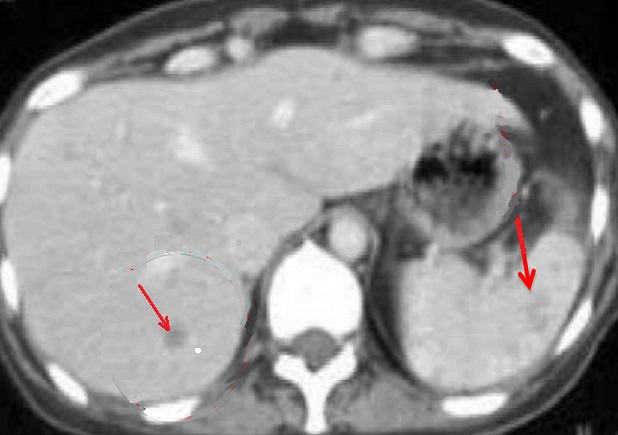
Aspect radiologique TDM d/une abces
a pyogene de la rate est une lesion arrondie a
hypodensite , sa parois etre epaisse et cloisonee et
se rehaussement apres injection de contrast
intraveineux |
|
Image radiologique IRM
ponderee sur T2 d' une autre abces a pyogenes de la
rate . Aspect lesionnel est une collection a tres
hypersignal a paroi epaisse hypointense . |
|
Abces fungique :
Se presente souvent sur les immunodeprimees ages causer par les candidas albicans ,
aspergillus fumigatus ou cryptococcus ... Ce sont des micro nodulaires
abces fungique a diametre de moindre < 5mm presenter diffuse
dans la rate et les autres organe . Le foie etre bien
regarder . Il y avait quatre type de image radiologique :
| |
- Type I : Aspect de " roue en roue "
|
|
| |
- Type II : Aspect en " oeil de boeuf "
|
|
| |
- Type III : Necrose central complet (
hypoechogene sur echgographie )
|
|
| |
- Type IV : Cicatrice fibrosant et peut
calcifiee ( L' ombre acoustique
posterieure sur echographie )
|
|
| |
 |
|
| |
|
|
|
|
| |
 |
|
 |
|
| |
Aspect echographique de abces
fungique est multiple lesions hypoechogene arrodie
ou ovalaire a moindre 5mm diffuse dans le parenchyme
de la rate |
|
La lesion de abces fungique se presence
au rate sous forme des micro-abces arrondie ou
ovalaire hypodensite diffusant . Ces lesions peuvent
en s.observent encore dans le foie . Image
radiologique TDM plus C+ intraveineuse , coupe
axiale |
|
| |
 |
|
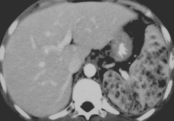
Aspect radiologique en oeil
de boeuf de type II de abces fungique de la
rate ( fleche rouge ) . La lesion peut en
s.observe dans le foie droit . Coupe TDM axiale avec
injection de contrast intraveineuse . |
|
| |
|
|
|
|
Tuberculose :
Pathologie c'est la lesion granulomateuse multiple
comporte par des cellules geantes et epitheloide avec de
formation necrose caseeuse central . Souvent se
presenter cher les VIH et tuberculose extra pulmonaire
. Lesion focale macro-nodulaire est possible mais plus rare.
evolution fribrotique et calcifie peuy en s'observe .
Aspect echographique est multiple lesion micro-nodulaire
ovalaire ou arrondie hypoechogenes diffuse dans la rate .
Aspect radiologique TDM est lesions multiples hypodensitees
, rehaussement central au stade initial et puis necrose
caseuse central tardive .
| |
 |
|
 |
|
| |
Image
radiologique TDM d'une tuberculose de la rate et du
foie . Aspect lesionnel de la rate est macro-nodulaire
a legerement hypodensite que parenchyme saint ,
diffusant dans la rate . Coupe TDM axiale a non
contrast intraveineux |
|
Meme cas avec contraste
intraveineux au temps veineuse . Le parenchyme de
la rate se rehausse hyperdense , la lesion peut en
vue tres nette . |
|
| |
 |
|
 |
|
| |
Une autre cas de
tuberculose de la rate et du foie avec aspect
radiologique de macro- nodule hypodensite a bord
nette dissemine dans la rate . Image radiologique
TDM en coupe axial, phase veineuse de contrast injecte |
|
Aspect radiologique de
macro-nodulaire hypodense diffusant dans la
parenchyme de la rate d'une tuberculose splenique .
Adenopathie hilare et retroperitoine peut en
s'observe sur cette coupe . Coupe TDM axiale avec de
contrast intraveineuse phase tardive |
|
| |
 |
|
Au stade avance les lesions tuberculoses
evoluent fibrotique et calcifie . Image radiologique
calcifie d,une tuberculose millier de la rate .
Coupe TDM axiale phase veineuse de contrast injecter |
|
| |
|
|
|
|
Les autres infections de
la rate :
- Hydartidose splenique :
Ethiologie par echococcus granulosis ou
multilocularis , dissemination hematogene ou par rupture
d'un kyste hepatique . Carateristique radiologique
splenique identique hepatique ( vue echinococcus
hepatique ) . Lesion est rare .
- Pneumocystose :
Disemination lymphatiqwue et hematopoetique . Antecedent
de pneumocystose pulmonaire . Aspect echographique de
spot hyperechogene parenchymateuse . Aspect TDM de plage
hypodense et de calcification
- Bruscellose :
Splenomegalie homogene .
FIN
Dr Bui Binh Tho
Page :
1
/
2
/
3
/
4
/
5
/
6
/
<<
PREVIOUS
<<
>> EN RESUME >>
,
|
|