|
Dr Bui Binh Tho
Pathologie radiologique de la rate :
Anomalies et malformations spléniques
:
- Variants anatomiques ( variants
topographique , variants en nombres ) :
Les variants anatomiques de la rate comporte : la rate
surnumeraire , les ectopies spleniques , les asplenies , les
polysplenies , atrophie splenique
-
La rate surnumeraire :
Presente
peut frequemment a incidence de 10% , situe pres de hile
splenique ( retro-splenique ou pre-slenique ) parfois de
la queue du pancreas . Localiser seul ou de nombreux peut
être confondue avec une masse abdominale .
-
Les ectopies spleniques : Presence dans des cas de
déficience des ligaments spléno-rénal et
spléno-gastrique, la rate peut se mobiliser dans
l’abdomen et elle existe un risque élevé de torsion . Ou peut être
situee dans le thorax dans les cas hernies diapragmatique
- Les asplenies :
Souvent associer avec situs inversus cardio-intestinale ,
syndrome de Katagener ... . Il y n'a pas la rate ou la
rate se presente a droit
- Les polysplenies :
La rate est fragmente , multiple , souvant en
association avec des malformation congenitale de situs
cardio-intestinale .
- Les atrophies spleniques :
C'est une evolution normale de la rate avec l'âge, la
rate devient atrophique , reduction de sa taille senile
.
| |
 |
|
 |
|
| |
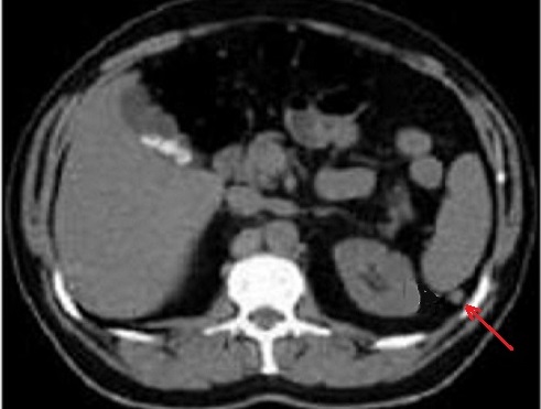
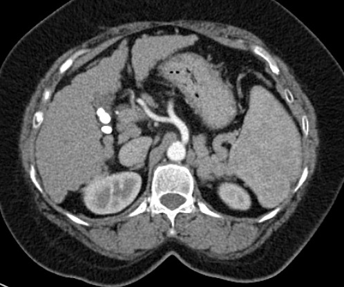
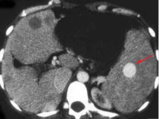
Image
radiologique TDM une rate surnuméraire à petite
taille situe au bord posterieure de la rate ( fléche
raouge ) . Aspect radiologique est une rate petite
homogène a bord nette , lisse , isodensité
retrosplenique |
|
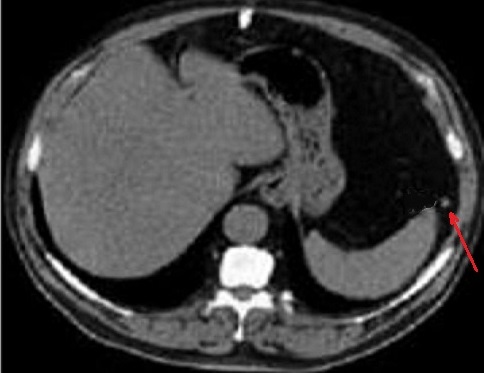
Une autre cas de rate
surnumeraire avec la rate secondaire a petite taille
pre-splenique ( fléche rouge ) |
|
| |
 |
|
 |
|
| |
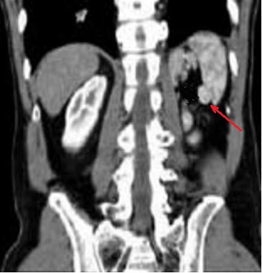
Aspect
radiologique une rate sur numeraire a inferieure de
la la rate principale ( fleche rouge ) .Ce coupe
frontale ( coronal) se prise au temps de precoce
apres injection de contrast intra veineuse . Sa
parenchyme est rehaussement hyperdensité heterogène
au temps de precoce . Image radiologique TDM plus C+
coupe coronal . |
|
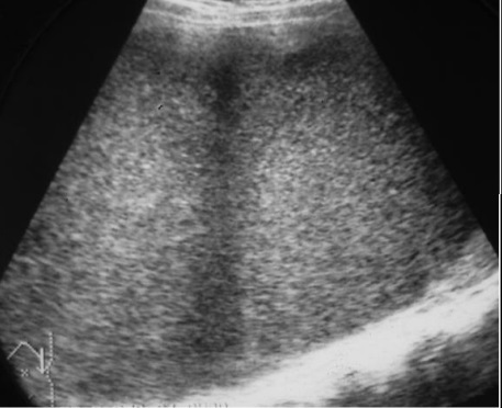
Image
echographique une rate poly-splénique siue au hile
de la rate avec aspect des nodules fragmentees
hilaire hypoechogene . En differentié avec
image arrondie aechogène des vaisseaux hilaires
de la rate . |
|
| |
 |
|
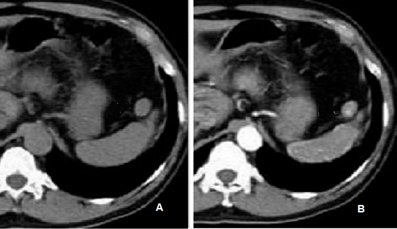
Image radiologique TDM en
coupe axial d'une rate surnumeraire multiple au bord
anterieure de la rate . Aspect lesionaire est
deux nodules isodensite nette et lisse situe a
bord anterieure de la rate principale ( A ) . Sur
les exposes avec contrast intraveineuse ( B ) elles
se rehaussent heterogene a precoce et puis homogene
au temps d'evacuation |
|
- Les splenomegalies :
. La rate est grand quand la diametres longitudinale
atteint et depasse > 13cm , l'echographie per cutanee de
l'abdomen est en suffisant de diagnostic . Aspect
echographique et radiologique parenchymateusedes
splenomegalie sont souvent homogene , dans quelque
rares cas elle peut heterogene ou nodulaire , ce qui
permettre de orienter le diagnostic . La cause de
splenogalie est :.
- Les
maladies hématologiques : anémie hémolytique,
polyglobulies et myélosclérose ;– les maladies de
surcharge : maladie de Gaucher, maladie de Niemann-Pick,
hémochromatose, hémosidérose, maladie deWilson,
histiocytose, mastocytose, amylose
-
Les maladies de système : lupus (syndrome de Felty),
thyroïdite auto-immune ;
-
Les
maladies infectieuses et parasitaires : mononucléose
infectieuse, mycobactérie, paludisme, trypanosomiase,
kala-azar, splénomégalie méditerranéenne, etc
-
Les
tumeurs et les kystes : lymphomes, leucémie,
métastases, etc.
Maladie
infectueuse , maladie hematologique et hypertention
portale .. sont les causes plus frequemment .
Echographie percutanee de l'abdomen est la technique de
la premier de l'intention pour evaluer la volume
de la rate , la rate est volumineuse si la diametre
longitudinal egale ou depasse 13cm . Sur la TDM la rate
est volumineuse si la diametre anterieure posterieure de
passe 10,5cm
| |
 |
|
 |
|
| |
Image
radiologique ASP de face d'une splenomegalie . La
bord inferieure de l'ombre de la rate est presque
touchant la crête iliaque gauche . |
|
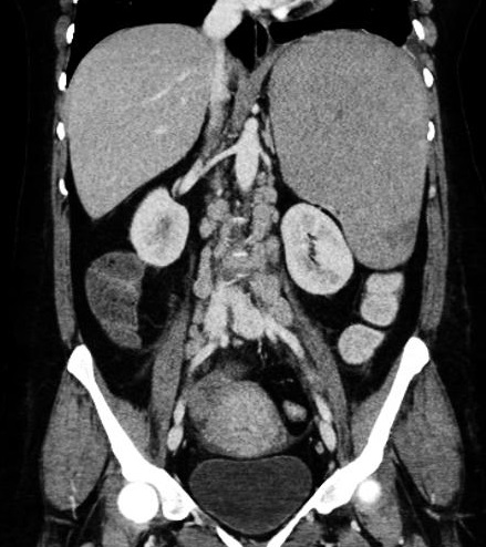
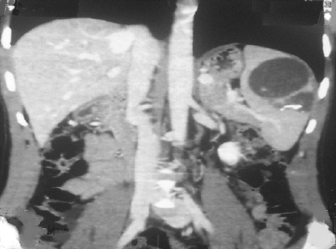
Image radiologique TDM en coupe coronal
d'une splenomegalie . La rate est tres volumineuse
compress angle colique gauche et le rein gauche à
inferieuse , La coupole diapragmatique est
legerement pousse en haute . On peut en s'observe
image de plaque de infartus parenchymateuse
hypodense à bord inferieuse de la rate |
|
| |
 |
|
 |
|
| |
Echographie est la technique
de premiere de l'intention et de choix pour explorer
la splenomegalie . Par cela on peut en verifie la
diametre longitudinal de la rate , elle est grand et
voluminant quand la diametre lonitudinale depasse de
plus > 13cm . On peut en s'observe etat de la
parenchyme et des vaisseaux du hile de la rate |
|
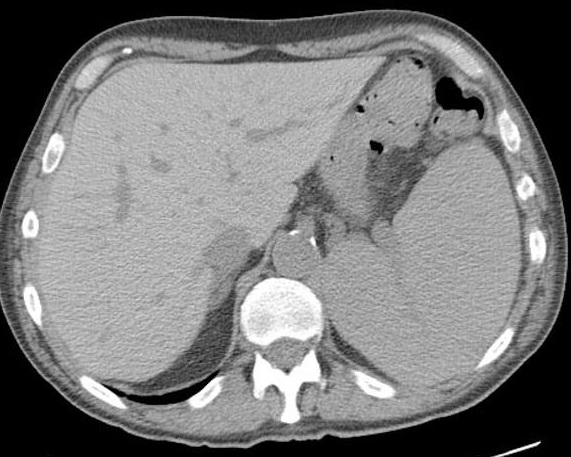
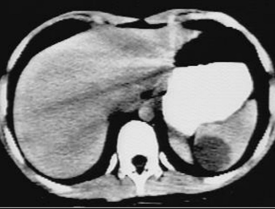
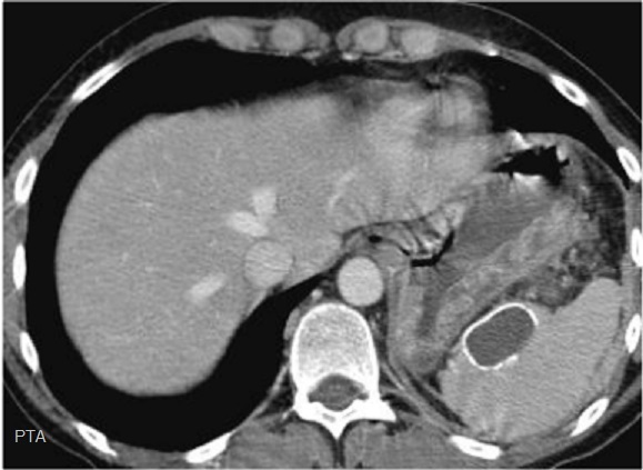
Image radiologique TDM une
splenomegalie par infection mononucleose . La rate
est volumineuse , tres epais , sa diamètre
antero-posterieure depasse plus de 10,5cm |
|
| |
 |
|
 |
|
| |
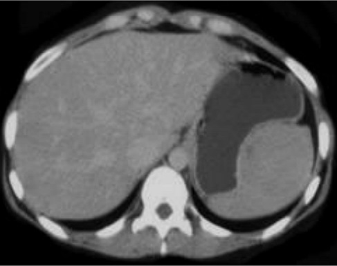
Splenomegalie dans un cas de
leucemie myeloide . Rate volumineuse homogène a bord
lisse |
|
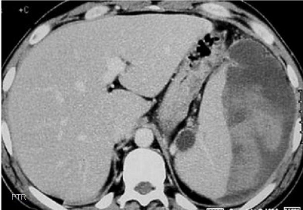
Image radiologique TDM en coupe
axial du splenomegalie d'une cirrhose du foie . La
rate est volumineuse ,a isodense , sa diametre
anterieuse - posterieuse depasse 11cm ,systeme veine
splenique est distendue . Le foie droit est a bord
crenele , reduction de volume , systeme veine porte
est distendue et en presence de l'ascite peritoneale |
|
Tumeurs spléniques :
- Tumeurs bénignes
:
Comporte des tumeurs
kystiques , des hemagiomes , les hamartomes et les
pseudotumeurs inflamatoires . Les autres tumeurs begnins
de la rate sont beaucoup mais rare et exceptionelles :
les fibromes , les myxomes , les lipomes , les teratomes
et angomyolipomes
-
Les tumeurs kystiques
:
Comporte kyste vrais parasitaire ( kyste hydatide )
, kyste vrais non parasitaire (Kyste endotheliale ,
kyste epitheliale ) :
| |
Les kystes
vrais parasitaire : Sont tres rare ,
souvent kyste hydatique , aspect echographique
êt radiographique TDM est des kystes unique ou
multiple arrondie ou ovalaire , achogene ou
hypodensite a bord nette , lisse , peut
encloisone :
https://www.angelfire.com/electronic/buibinhtho/foie09.htm
|
|
| |
Les kystes vrais non parasitaire
: Ce sont des kyste a origine mal
connue : kyste endothelial et kyste
epithelial |
|
| |
-
Kyste endotheliale
: Comporte kyste endotheliale simple ,
lymphangiome kystique et angiome kystique . |
|
| |
-
Les kystes endotheliales simple ou
kyste mesotheliale simple ( kyste sereuse
) , former par epithelium cubique ou
endotheliforme .Aspect echographique est
aechogene , liquidienne avec cône de
renforcement acoustique posterieure .sa poaroi
est fin , nette , lisse Aspect
radiographique TDM est hypodensite varie entre 0
- 40UH , paroi peut etre calcifie , pas de
rehaussement apres injection de contrast
intraveineuse |
|
| |
.
Les lymphangiomes kystiques
est une malformation congénitale de voie
lymphatique splénique , unique ou multiple
, Aspect échographique lesionelle est un nodule
hypoéchogène, heterogene ou un kyste
aechogene encloisoné . Aspect radiologique TDM
est une nodule hypodense ne rehausse apres
injection de contrast intraveineuse . Dans la
forme caverneuse la rate se rehausse et se donne
de image en " fromage de gruyere " |
|
| |
-
Les angiomes kystique sont rare et
exeptionelles |
|
| |
-Kyste epitheliale :
Comporte kyste dermoide , kyste
epidermoide et kyste enteroide . |
|
| |
-
Les kystes epidermoides se presente a
incidence 10% des kystes non parasitaire ,
souvent a des jeunes femmes ,situe unique
, au pole superieure de la rate . Complication
est hemorrhagie intrakystique , surinfection et
rupture intraperitoneale . Aspect echographique
de la lesion est kyste bien limite aechogene ou
hypoechogene , bord en feston , aspect TDM
est une kyste a densite variable selon sa
composant , bord festoné et calcifie possible
|
|
| |
-
Les kystes dermoides : Kyste mixte
, composant lipidique , annex de paux , cristo
de cholesterol .Ils sont rare et ẽxceptionnel ,
|
|
| |
-
Kyste enteroide : tres rare |
|
| |
|
|
| |
|
|
|
|
| |
 |
|
 |
|
| |
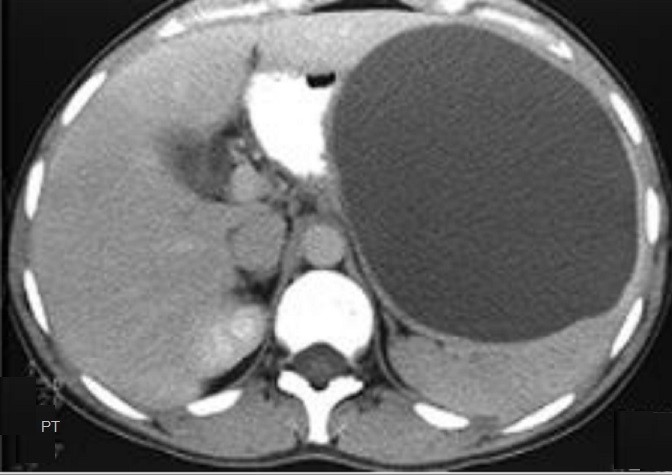
Image radiologique TDM + contrast
intraveineuyse d'un kyste hydatique multiple de la
rate . Aspect radiologique TDM est des kystes
ovalaire hy podensite a bord fine et nette , lisse
situe dans la parenchyme de la rate en forme de
rosette avec de vesicule de fille endocavitaire .
C'est la kyste hydatide de type 2 actif ( CE2) selon
la classification 2001 de OMS |
|
Même cas en coupe coronale .
Les kyste sur cette coupe etre en vue très nette et
n,a pas de rehausse apres injection de contrast
intraveineuse . Image radiologique TDM plus + C+ en
coupe coronal . L'exament serologique specifique d'
echynoccocus se verifier la diagnoctic |
|
| |
 |
|
 |
|
| |
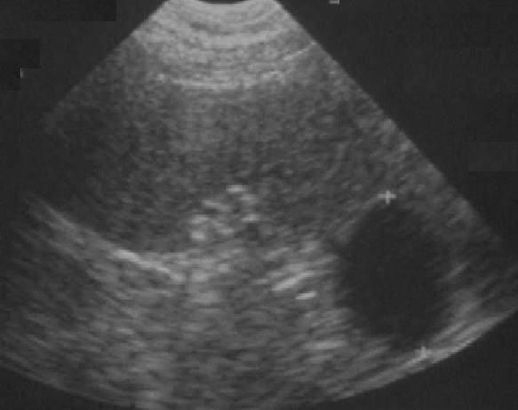
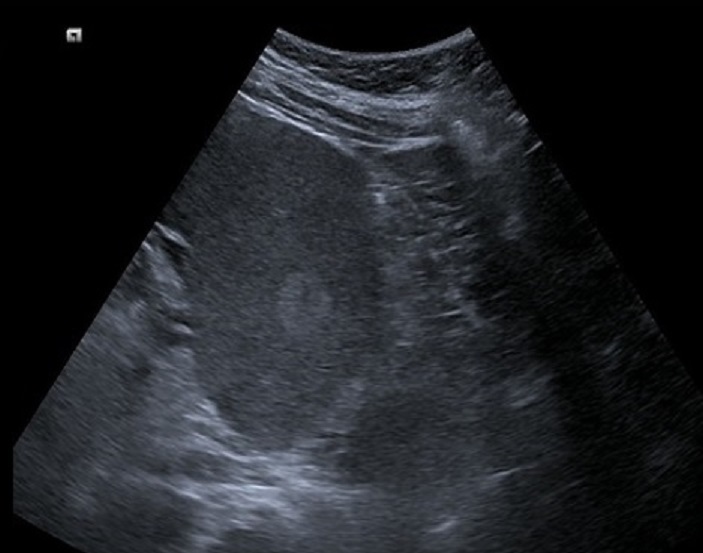
Image echographique
percutanée d'un kyste non parasitaire simple
endotheliale de la rate avec aspect echographique
lesionnel de kyste arrondie aechogen , a bord fine ,
nette avec cône de renforcement de l' acoustique
posterieure |
|
Un autre cas de kyste endothelial simple
de la rate à aspect kystique aechogène ovalaire à
bord fine , nette avec image de cône de renforcement
hyper echogene posterieure |
|
| |
 |
|
 |
|
| |
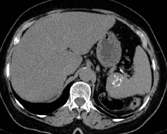
Image radiologique d'un kyste simple liquidienne (kyste
endothelial) de la rate avec aspect radiologique TDM
de aspect du kyste hypodensite varie de 0 - 30UI, a
bord nette, fine et n'a pas de rehaussement de
contrast intraveineuse |
|
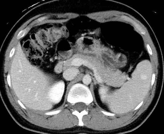
Image radiologique TDM d'un kyste
lymphangiome kystique multiple ( kyste epithelial )
de la rate . Sa nombre peut être unique ou multiple
de hypodensité , ne rehaussement apres injection de
contrast intraveineuse dans la forme multiple . Dans
la forme multiple , la rate se rehausse et donne
aspect de " fromage de grugère " |
|
| |
 |
|
 |
|
| |
Aspect
echographique d'un kyste epidermoide pseudosolide
hypoechogene , a trabeculation peripherique avec
zone hypo acoustique posterieure . |
|
Image radiologique TDM d'un grand kyste
épithélial épidermoide de la rate . La rate est très
volumineuse et le kyste tres grand a aspect
hypodensite , bord en trabeculaire en aspect festone
. On peur en voyait des calcification de la paroi du
kyste |
|
| |
|
|
|
|
Les
pseudokystes : Est souvent et
se presente dans 70 - 80% des lesions
kystique de la rate . Etiologie discutee post
traumatisme , post pancreatite ou inflamatoire , post
infartus ou post splenectomie partielle et ce sont des
masses non epitheliaux , encapsules comporte seul de lymphocytes,
d’histiocytes et stroma de conjonctif. .
Sur l’ASP, la lésion peut être calcifiée .
Aspect echographique est une tumeur transonore avec de cône
de renforcement acoustique posterieure . La TDM se donne de
image de masse a hypodesite á paroi non rehaussé et parfois
calcifie . En IRM la lesion apparait hypointense en T1 et
hyperintense en T2
| |
 |
|
 |
|
| |
Image radiologique TDM d'un
pseudokyste post taumatique ancien avec aspect
radiologique de masse en ovale hypodensité a
paroi calcifié et après injection de contrast
intraveineuse il ne se rehausse pas . Examen
serologique de kyste hydatide est negative |
|
Aspect radiologique de masse
hypodense , heterogène bien limité d'un pseudo kyste
post taumatique recent de la rate |
|
| |
 |
|
Image radiologique d'un pseudokyste
très volumineuse de la rate a aspect de masse
hypodensite , bien limite |
|
| |
|
|
|
|
Les
hemangiomes :
Les hémangiomes spléniques sont les tumeurs bénignes
les plus fréquentes.se représente 70 % des kystes primitifs
de la rate , origine congenitale ,elles sont asymptomatiques
. Complication le plus frequemment est rupture spontanée ou
post traumatique de la rate , cette rupture peut
favorise par la grossese et la prise d’oestroprogestatifs .
Infartus splenique et thrombocytopenie ou degenerescence
maligne sarcomateuse sont tres rare . .. Il y avaient
trois forme de hemagiome splenique : la forme
capillaire dense, la forme caverneuse et enfin la forme
kystique . Aspect échographique de lymphangiome sont :
nodule échogène, arrondie homogène hyperéchogène avec
structure vasculaire central ou peripherique , en formation
kystique avec parfois encloisoné. Image radiologique TDM est
une tumeur hypodense , se rehaussement progressive
centripète avec homogénation tardive apres injection de
contras intraveineuse . IRM être iso ou hyposignal en
T1 et hypersignal en T2 en rapport avec la parenchyme de la
rate
| |
 |
|
 |
|
| |
Image echographique d'une
hemagiome de la rate avec aspect de masse forme
nodulaire hyperechogene , heterogene ( fleche rouge
) |
|
Aspect echographique de masse
hyperéchogène heterogène bien limité avec
formation kystique central d'une hemagiome de la
rate . |
|
| |
 |
|
 |
|
| |
Image
radiologique TDM d,une hemagiome de la rate à aspect
de masse nodulaire hyperdensite , heterogene
situe au bord posterieure de la rate . Image TDM
sans contrast en coupe axial |
|
Aspect radiologiqie TDM
d'une hemagiome de forme de nodule hyperdensite
arrondie , homogene et se rehausse progressive
centripète apres injection de contrast intraveineuse
. Image radiologique TDM plus C+ de contrast
intraveineuse phase veineuse |
|
| |
 |
|
 |
|
| |
Image radiologique
TDM d'une hemangiome à aspect de masse arrondie (
fleche rouge ) hyperdense , homogène rehausse apres
injection de contrast intraveineuse , phase
arterielle . Image TDM plus C+ en coupe axial . |
|
. Image
radiologique IRM d'une hemangiome da la rate
ponderee sur T2 FatSat . Aspect de masse hypersignal
, hetérogène de bien limité situé au milieu de la
rate . |
|
| |
|
|
|
|
| |
 |
|
Une autre de hemagiome de la rate
avec aspect radiologique IRM de masse arrondie ,
légèrement hyperintense , hétérogène a bord
inferieure de la rate . Image radiologique IRM
pondérée en T2 FatSat |
|
.
Les hamartomes spleniques :
L’hamartome splénique ou dysplasie nodulaire est
souvent découverte fortuite et rare . Aspect échographique est une
masse arrondie, hétérogène, hyperéchogène avec lacule
kystique . À TDM la lésion est isodense parfois hypodense et
foyer peut etre cacique ; elle se rehausse après injection
de contraste intraveineuse ..En IRM, la lésion est peu
spécifique, hypo-intense en T1 et hyperintense en T2.
| |
 |
|
 |
|
| |
Aspect radiologique TDM de
masse arrondie isodense situe à bord anterieure de
la rate . Coupe TDM axial , non contrast
intraveineuse |
|
Même cas après injection de contrast
intraveineuse . La tumeur se rehausse hyperdense de
moindre UI que rate . La lesion à ce temps
s'observe facilemernt et très nette |
|
| |
 |
|
 |
|
| |
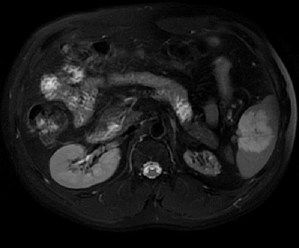
Image radiologique IRM en T1
d'une hamartome avec aspect lesionelle
arrondie isosignal , homogène en rapport de la
rate . Sur cette coupe elle se situe à la face interieure , posterieure de la rate |
|
Même cas en coupe IRM axial ponderée en
T2 . La tumeur est très hypersignal , hétérogène et
treès bien limite en s'obsserve |
|
Dr Bui Binh Tho
Page :
1
/
2
/
3
/
4
/
5
/
6
/
A
suivre
<<
PREVIOUS
<<
>> NEXT >>
,
|
|