|
Dr Bui Binh Tho
Pathologie radiologique de la rate ( à suivre )
Traumatisme de la
rate
: Par
sa fragilite et par son exposition la
rate est l'organe le plus frequemment atteint lors d'une
traumatisme abdominal , Causes souvent traumatisme de la
rate est fermee comme :
une trauma direct a la region hypochondre droit ou une
contre coup , une deceleration force ou une traumatisme
penetrant direct ou iatrogenique sont les cause tres
frequemment ; Clinique de traumatisme de la rate est
souvent douleur abdominal recent apres une contusion a la
region flanche gauche ou hypochondre gauche ; la douleur
surtout localise sur le cote gauche de l'abdomen pres de
l'epigastre peut irradie vers l'epaule gauche ou le cou . Le
ventre a aspect gonfle et etendue , chute de la pression
arterielle et etat de choc hemorragique sera se presenter
dans cas hemorragie interne par rupture grave de la rate .
La lesion pathologique de la rate peut de laceration avec
dechirure capsulaire , hematome sous capsulaire ou
intra-parenchymateuse , laceration avec dechirure capsulaire
et devascularisation important de la rate et hemorragie
active , pseudoanevrysme ou fistule arterio-veineuse ( 15%
des cas de trauma ) et infartus splenique . Au point de vue
chirugicale on peut en gradation de la gravite des traumas
de la rate suivant:
|
Grade |
Description |
|
I |
Hématome sous capsulaire :
< 10% de la surface de la rate, non expansif.
Hématome intraparenchymateux :
aucun.
Déchirure capsulaire : profondeur <
1 cm, non hémorragique.
Dévascularisation : aucune.
|
|
II |
Hématome sous capsulaire :
entre 10% et 50% de la surface de la rate, non
expansif.
Hématome intraparenchymateux :
diamètre < à 5 cm, non évolutif.
Déchirure capsulaire : profondeur
de 1 à 3 cm, saignement n'impliquant pas les
vaisseaux trabéculaires.
Dévascularisation : aucune.
|
|
III |
Hématome sous capsulaire :
> 50% de la surface de la rate, ou rupture, ou
expansif, ou saignement.
Hématome intraparenchymateux :
évolutif ou diamètre > 5 cm.
Déchirure capsulaire : profondeur >
3 cm, saignement n'impliquant pas les vaisseaux
trabéculaires.
Dévascularisation : < 25%.
|
|
IV |
Hématome
intraparenchymateux : rompu.
Déchirure capsulaire : Saignement
impliquant les vaisseaux segmentaires ou hilaires.
Dévascularisation : > 25% et <
100%.
|
|
V |
Hématome
intraparenchymateux : rate avulsée.
Déchirure capsulaire : lésion(s)
hilaire(s) entraînant une dévascularisation complète
de la rate.
Dévascularisation : 100%.
|
Tableau de classification traumatisme de la
rate de Moore ( AAST **American
Association for the Surgery of Trauma splenic injury scale
)
Les lesions des autres organes peuvent en association
avec traumatisme de la rate sont : foie gauche ,
surrenal et rein gauche , qeueu de pancreas et coupole
diapragmatique gauche .
Les
techniques radiologique et echographique
d'utilisee dans traumatisme de la rate sont : Cliche de face
de l'abdomen ASP , echographie per cutanee et focalisee de
l'abdomen ( FAST ) , la TDM , et arteriographie si
l'option de traitement etre a non chirugicale et dominant a
embolisation seule . L'IRM est moindre de utilise dans
traumatisme de la rate .
Cliche de face ASP :
Technique de la premiere de
l'intention d'utilisee dans les cas de traumatisme et de
contusion de la rate grave ou en association avec les autres
traumatismes . Le signe direct de la rate traumatise souvent
se presence sur cette cliche est la rate est volumineuse ;
fracture des côtes gauches , la pneumothorax , hemothorax
sont des signes indirects peuvent en s'observer
Echographie :
Echographie percutanee de l'abdomen
ou echographie focalisee de l'abdomen ( FAST ) est la
technique de la premiere de l'intention et de choix dans la
traumatisme de la rate . Sur les
traumatisme de la rate de grade agravee souvent en
s'observent de hemoperitoine localisee ou globale , l'absence de fluid intra peritoneale non pas concerne la
rate est normale . Aspect echographique des traumatisme de
la rate est : une augementation de la volume de la rate en
association de la presente de liquide libre et une zone de
mal delimitee sans contour mal de nette . Dans phase aigue le sang
est hypoechogene et puis devient hyperechogene et heterogenes temoinage
de caillaux de la coagulation . A distance on peut
en s'observe des calcification intra et peri-lesionnels .
Images de hematome sous capsulaire est tres frequence que
les autre
et aisee de identifiee :c'est une zone de hypoechogene a mal
limite
| |
 |
|
 |
|
| |
Dans les traumatismes de la
rate de grade grave de II - V , la signe indirecte
de traumatisme le plus souvent s'observe est image
de hemoperitoine peri-splenique ou globale
intra-peritoneale . Au dessus c'est image de
hemoperitoineale locale peripherique externe de la
rate , c'est une zone de hypoechogene a bien limite
peri-splenique . |
|
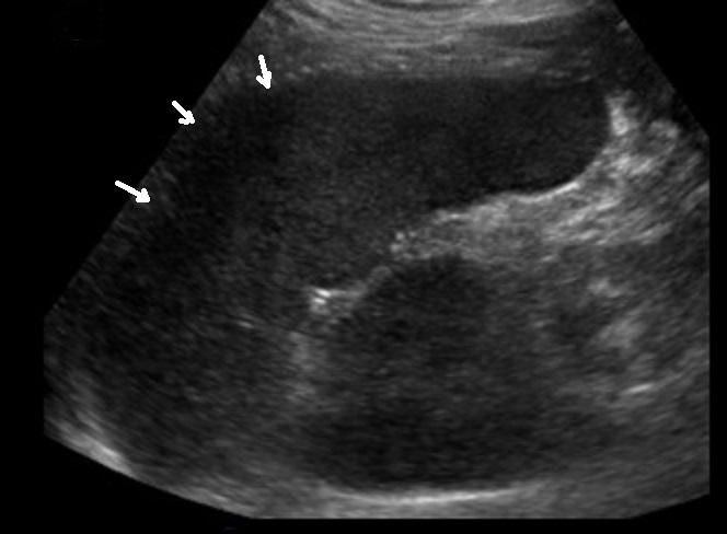
Image
echographique d'une traumatisme de la rate
compliquee avec une hemoperitoine localise
peripherique de la rate . On peut en s'observe de
zone hypoechogenecite a bien limite a inferieure et
a peri-splenique |
ue |
| |
 |
|
 |
|
| |
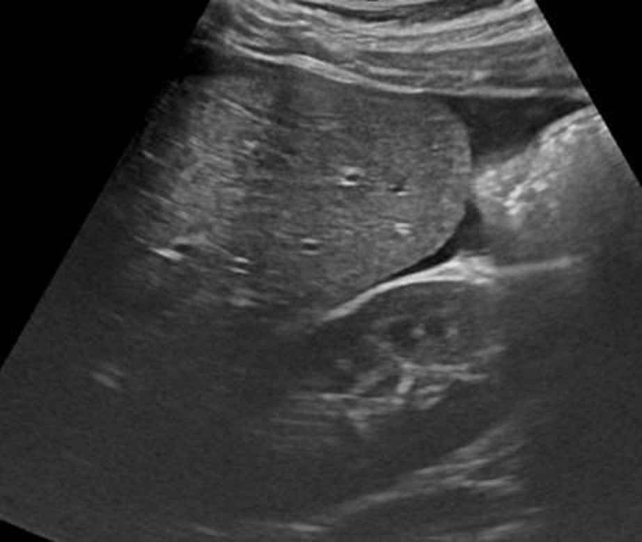
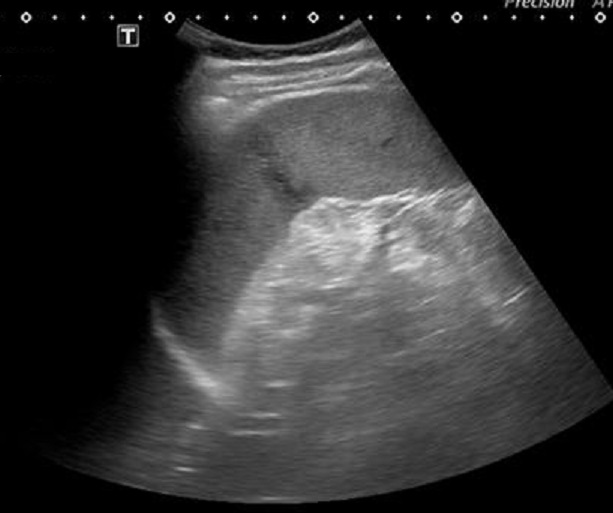
Image
echographique d'une traumatisme de la rate avec
aspect hemoperitoine localiuse peri-hilaire
splenique . |
|
Image echographique d'une autre
traumatisme de la rate de grade II avec aspect
de laceration casulaire profonde et des hematomes
hypoechogene intra-patenchymateuse .
Complication hemoperitoine peri-capsulaire localise
peut en s,observer ( fleche blanche ) |
|
| |
 |
|
 |
|
| |
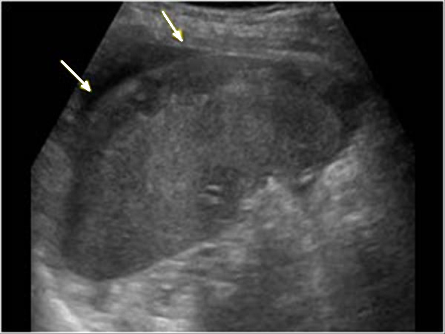
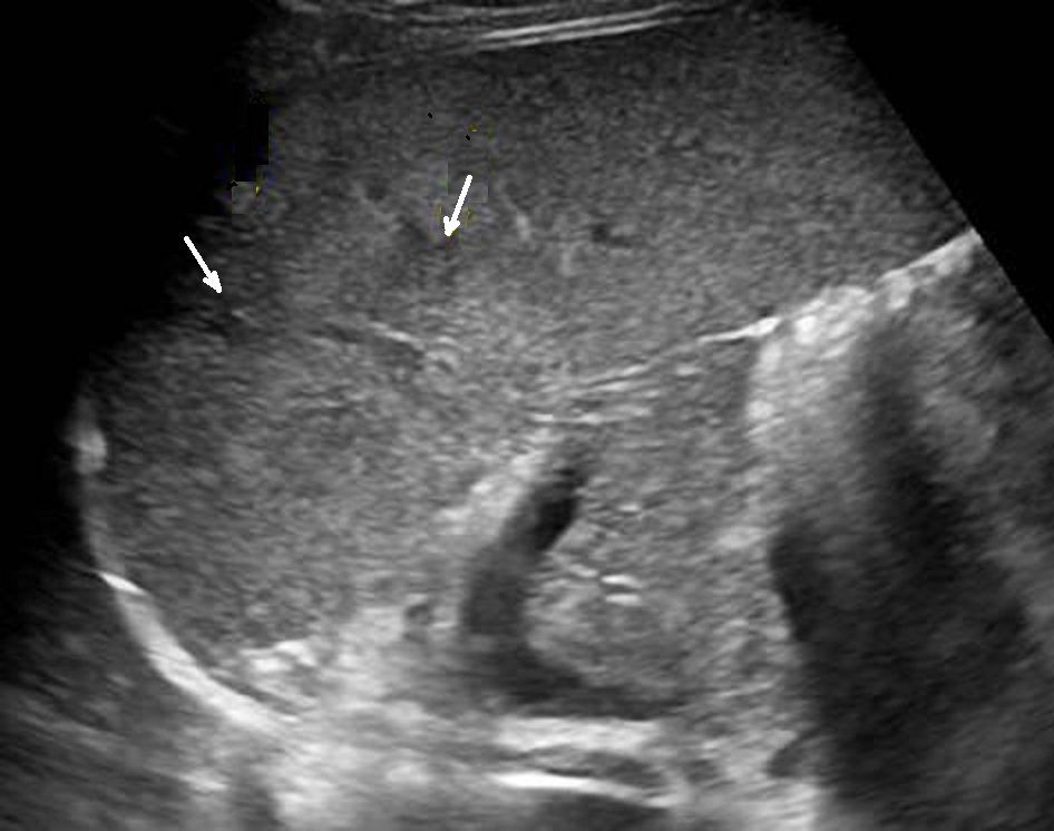
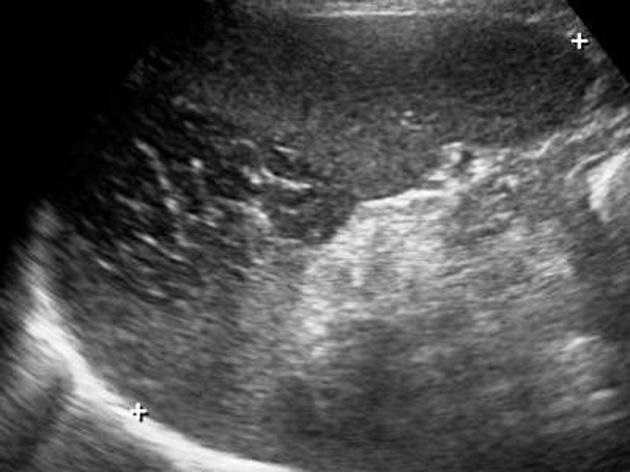
Image
echographique d'une traumatisme de la rate agrave a
grade II avec hematome sous capsulaire ( fleche
blanche ) et quelque zone de hypoechogene mal limite
intra parenchymateuse de la rate . |
|
Traumatisme de la rate grave ( grade IV ) avec
hematome intra parenchymateux marque ( fleche
blanche ) et dechirure capsulaire avec saignement
hilaire . Image de hemoperitoine localise a
inferieure de la rate peut en s'observer . Image
echographique en coupe longitudinale |
|
| |
 |
|
 |
|
| |
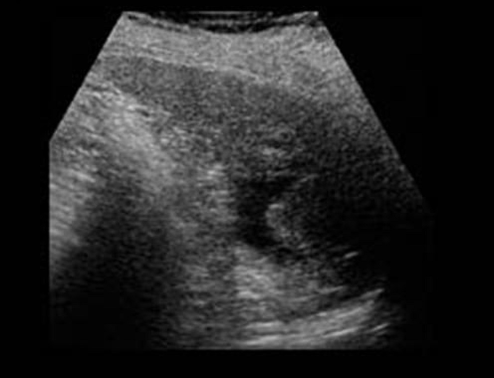
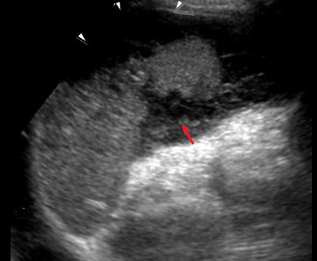
Image echographique des hematome intra-splenique
avec aspect lesionnel de zone hypoechogene mal limite ,
intra- parenchymateuse splenique ( fleche rouge ) |
|
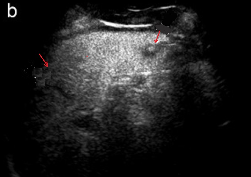
Traumatisme de la rate avec
image echographique de multiple hematome a
hypoechogene dissemine intra-parenchymateuse (
fleche blanche ) |
|
La TDM :
C'est la technique dominant dans
traumatisme splenique . la technique TDM avec
injection de contrast intraveineuse peut en utilise pour
explorer des extravasions de contrast lors de rupture des
vaissaux . Une extravasion de contrast par la dechirure des
vaissaux se donne de image de tres hyperdensite de 80 - 95
UH et aspect radiologique des traumatismes de la rate
peuvent variee selon au temps d'exposer ( arteriel ,
parenchymateux ou veineux ) . Les lacerations de la rate donne de image de ligne
hypodensite en forme geographique dans la rate . Aspect TDM
d'une hematome sous capsulaire est une zone de hypodensite
avec deformation d'allure et volumiseuse la rate .Hematome
intraparenchymateuse se donne de image de zone hypodense
dans la rate . Signe indirect de hemoperitoine peut en
s'observe sur la TDM
| |
 |
|
 |
|
| |
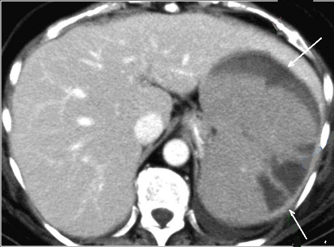
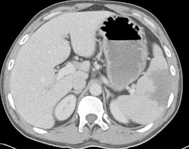
Aspect radiologique TDM d'une
traumatisme et contusion de la rate est image
hypodense lineaire ou en plage de mal limitees .
Image radiologique TDM d'une traumatisme de la rate
en coupe axiale et ẻn coup frontal |
|
Une autre traumatisme /
contusion de la rate est image hypodense en plage un
partie anterieure - interieure de la rate . Image radiologique
TDM en coupe axiale |
|
| |
 |
|
 |
|
| |
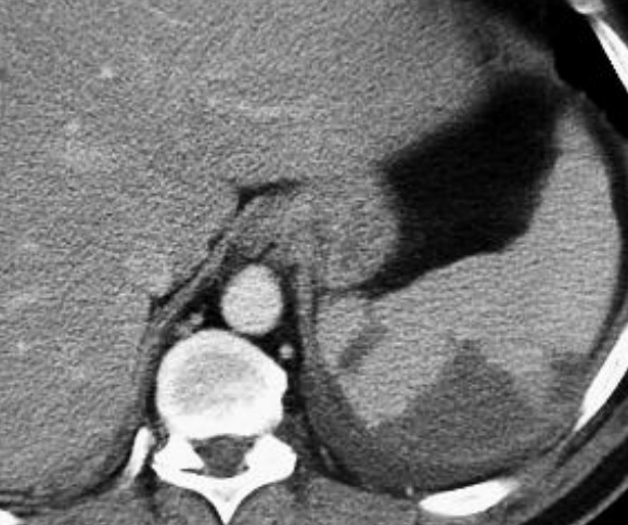
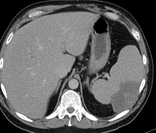
Image radiologique TDM
de hematome intra-parenchymateux de la rate est
aspect arrondie ou ovalaire hypodensite a contours
nette , moin regulier . Image radiologique d'une
traumatisme /contusion de la rate en coupe axiale |
|
Image radiologique TDM en
coupe axiale d'une traumatisme de la rate avec
aspect lesionnel de hematome intra-parenchymateuse
hypodense en forme ronde , lobulaire a bord nette et
irreguliers |
|
| |
 |
|
 |
|
| |
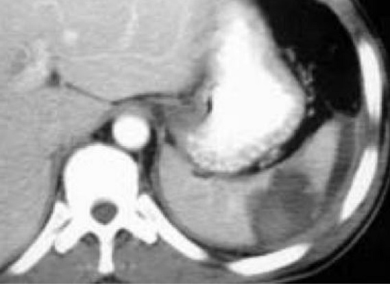
Image
radiologique TDM d'une hematome sous capsuilaire de
la rate avec aspect de croissant hypodensite
soucapsulaire de la rate ( fleche blanche superieure
) . Coupe TDM axiale avec contrast intraveineuse
temps veineuse . |
|
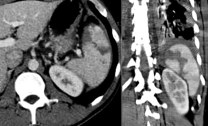
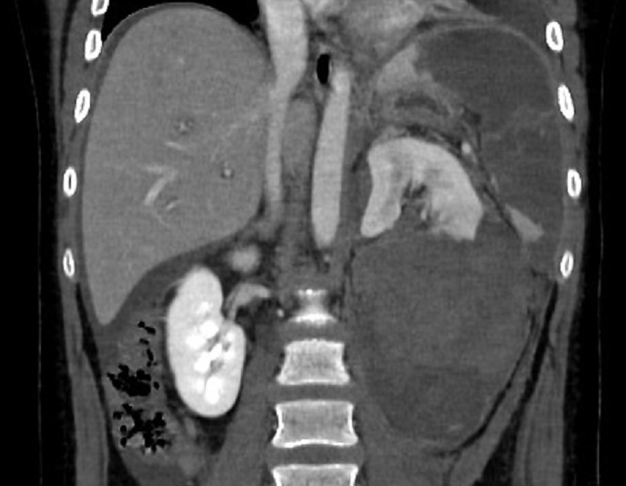
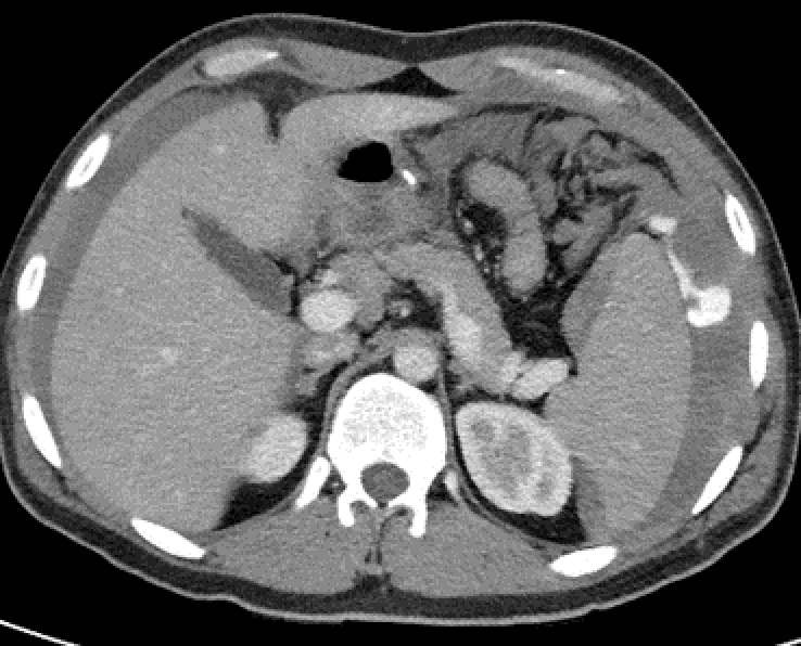
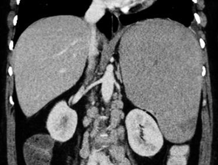
Image radiologique de laceration de la rate, le rein et du
foie . Aspect radiologique de laceration est ligne hypodense
peut en s'observe sur la rate , le rein et fu foie ..
Rein gauche est tres voluneuse Coupe TDM
coronal de l'abdomen au temps veineuse |
|
| |
 |
|
 |
|
| |
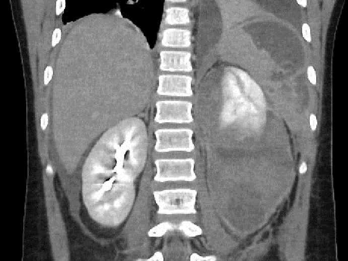
Meme cas
au temps de secretion renale |
|
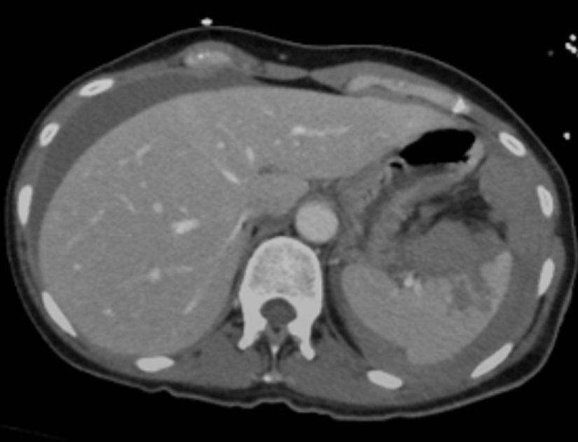
Image radiologique traumatisme de ;la
rate grade V avec lesion de laceration corticale ,
hematome intraparenchymateuse et image de
devascularisation . Image de laceration est image de
hypodensite de dechirure la capsule ( fleche rouge )
. Image radiologique TDM Plus C+ phase veineuse . |
|
| |
 |
|
 |
|
| |
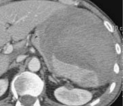
Image radiologique TDM d'un
traumatisme de la rate a grade IV avec aspect
radiologique de hematome itraparenchymeteuse marque
, dechirude capsulaire et de devascularisation de
bord anterieur . Coupe axiale TDM avec contrast
intraveineuse phase veineuse . |
|
Image rasdiologique d'une traumatisme de
la rate avec lesions hematome intraparenchymeteux
diffuse et dechirure de bord anterieure avec
devascularisation de artere splenique ( grade V ) .
Coupe TDM axiale phase veineuse |
|
Complication :
Complication de traumatisme de la rate souvent
sont:
- Rupture secondaire c'est une complication
frequemment presenter swouvent sur des maladies a
traiter non chirugicale ( presence de moindre 5%
des cas )
- Pseudocyst splenique ( a moindre 1% )
- Abces splenique ( rare )
- Aneurysme de artere splenique
Traitement :
Traitement chirugicale dans cas
agrave a hemodynamique instable et complex.des
fractures oseuse Dans les cas a
hemodynamique stable , embolisation de artere splenique est
la technique dominant de choix pour arrete de hemorragie ,
pour
arrete possible des infartus en aval et de embolisation des
aneuvrysme arterielle . Sa surveillance etre simple .
Infartus
de la rate :
C'est l' arrêt de la circulation au niveau de la rate n'est
pas souvent et etre par
causes : Chez le sujet jeune cette pathologie est le plus
souvent sur les maladies hématologiques ( syndrome
myéloprolifératif , ,
polyglobulie ,
leucémies, lymphomes, hémoglobinopathie, hémoglobinurie
paroxysique nocturne , ou syndrome infectieux : Epstein-Barr
, cytomégalovirus )
Chez les sujets agés ( plus de 40 ans) la cause est le plus
souvent emboligène (caillot). Mais également la cause peut
être une fibrillation auriculaire, une endocardite, une
atteinte de l'artère aorte.(athérome), dissection aortique
ou splenique. D'autres causes plus rares : connectivites,
maladie de Wegener, périartérite noueuse, pancréatite,
hypertension portale, troubles de la coagulation sanguine,
( syndrome des antiphospholipides )
déficit en protéine C et protéine S . Cliniquement est la douleur
violence a la region hypochondre gauche , irradie vers
l'epaule gauche Diagnostic radiologique est cliche de face
ASP , l'echographie et la TDM .
Cliche ASP de face : Est
moins d'utilise dans infartus de la rate .
Echographie :
Echographie per cutanee ou echographie focalisee (
FAST ) de l'abdomen sont frequemment d'utilise dans
tous les cas infartus de la rate . Aspect echograhique est
image geographique ou triangulaire iso ou hypoechogene
a bord irregulier , mal limitee et a interieuse avait des
bands claire hyperechorich . Et sous echographie Doppler en
couleur . c'est une zone avascularisation .
| |
 |
|
 |
|
| |
Aspect
lesionnel d'une infartus de la rate est image en
plage ou en coin hypoechogene a bord irregulier avec
la base
oriente vers la capsule .Image echographique de la
rate en coupe longitudinal . |
|
Image ecdhographique d'une autre infartus
a pole inferieure de la rate avec aspect lesionnel
en plage hypoechogene a bord irregulier de mal
limite avec des band claire hyperechogene a
interieuse . Image echographique per cutanee en
coupe longitudinale |
|
| |
 |
|
 |
|
| |
Aspect lesionnel en
forme de coin hypoechogene avec sa base peripherique orrienter
vers le versant capsulaire . Sa bord est nette ,
irregulier avec des bands claires hyperechogene .
|
|
Meme cas en echo Doppler en couleur
. On peut en voyant zone de infartion etre
avascularisation |
|
| |
|
|
|
|
LaTDM
: Technique
de choix ideale pour explorer et diagnostic des infartus de
la rate est bon sur la technique TDM plus contrast
intraveineuse , l'aspect radiologique varie selon phase de
contrast injecte . Image radiologique de infartus de la
rate est image hypodense enplage forme geographique ou en
coin (wegde-sharpe ) de contours nets, base peripherique
vers le versant capsulaire , signe de cortex corticis (
persistance une vascularisation peripherique ) . Au phase
chronique image infartus peut etre disparue et sa volume un
peut diminue par contraction fibrotique , la parenchyme
saint de la rate etre hypertrophie .. Image de degenerescence
cystique de la zone infarction peut en s'observer .
| |
 |
|
 |
|
| |
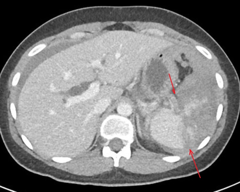
Image radiologique de
l'infartus de la rate avec aspect lesionnel de
hypodensite en forme geographique , net et moins
regulier de la partie posterieure de la rate . Image
radiuologique TDM coupe axiale plus C+ phase
veineuse . |
|
Aspect radiologique TDM
en forne geographique hypodensite d'une infartus de
la rate . Au temps veineuse lesion de infartion etre
en vue tres nette . |
|
| |
 |
|
 |
|
| |
Une autre cas de
infartion a la partie posterieure de la rate avec
image radiologique en forme geographique hypodensite
a bord moins regulier . Coupe axiale TDM avec
contrast intraveineuse , phase veineuse |
|
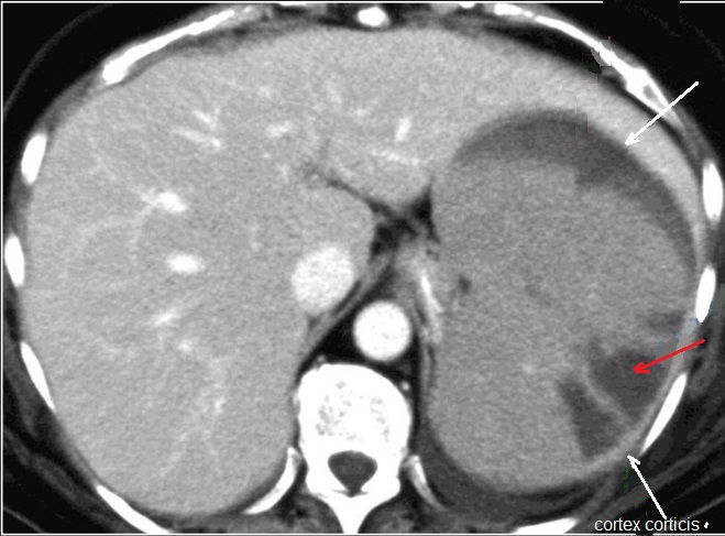
Aspect radiologique en forme de coin (
wegde sharpe ) tres hypodensite ( fleche rouge )de
contours nets, base peripherique vers le versant
capsulaire , signe de cortex corticis ( persistance
une vascularisation peripherique ) ( fleche blanche
a inferieuse ) |
|
| |
 |
|
 |
|
| |
Image radiologique en
forme de coin * wegde sharpe ) au pole inferieure de
la rate d'une leucemie myeloide . Aspect
lesionnel est hypodense en form de coin a
bord nette et moins regulier , la rate est
tres volumineuse . Coupe coronal TDM plus
contrast intraveineuse phase veineuse . |
|
Image radiologique TDM d'une thrombose de
la veine splenique La region de
infartion est tres large , tres hypodense et 'la
rate est volumineuse Image radiologique TDM en
coupe axale phase veineuse |
|
| |
|
|
|
|
Complication : Complication
le plus souvent est : Formation abces splenique ,
pseudokyste splenique , rupture splenique ou hemorragie
splenique sont rare .
Diagnostic differentiel : Laceration splenique
, abces splenique , Lymphoma , Aspect rehaussement TDM de "
Zebra " au stade precose temps arteriele de vla rate
Dr Bui Binh Tho
Page :
1
/
2
/
3
/
4
/
5
/
6
/ A
suivre
<<
PREVIOUS
<<
>> NEXT >>
,
|
|