|
Dr Bui Binh Tho
Pathologie radiologique de la rate ( à suivre )
Tumeurs malignes
:
Les
lymphomes malignes :
La maladie de Hodgkin existe une atteinte de lesion lymphome
splénique de 25 - 30 % de cas et  le non Hodgkinien peut attenir
de plus de 30% -40% des cas. Les lymphomes malignes primaires sont
rare et elle se presente à moindre de 2% des lymphomes
malignes de la rate Echographie est la technique de
premier de l'intention pour explorer les lymphomes malignes de
la rate . Aspect echographique est une splenomegalie isolé ,
hypoéchogène , heterogène ou micronodulaire de taille variable
avec adenopathie autour de la hile . Image échographie ou en TDM, en dehors
de signe de splénomégalie; trois anomalies peuvent
être presenter : un aspect milliaire avec des nodules
de 1 à 5 mm , des nodules multiples (hypoéchogènes ou
hypodenses) de 2 à 10 mm, enfin une masse isolée de taille
variable de 2 à 12 cm .Adenopathie peri-splenique ou
coeliacque peut en s'observe . Pour les lymphomes malignes non
Hodgkiniens ( LNH ) la rate peu normale ou peu modifie
une splenomegalie homogene ou heterogene dans 30% des cas . Image IRM de séquences pondérées en
T2, les lésions lymphomateuses apparaissent avec un signal
plus élevé que le tissu splénique normal
| |
 |
|
 |
|
| |
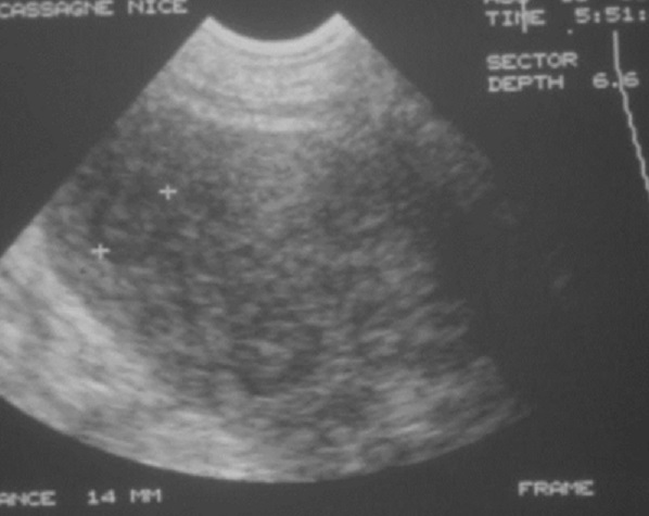
Aspect echographique d'une
lymphome maligne de la rate . La rate est
volumineuse ( slenomegalie ), , composant des
nodules hypoechogene , heterogene de taille variable . On peut en
s'observe image adenopathie hypoechogene
perihilaire , |
|
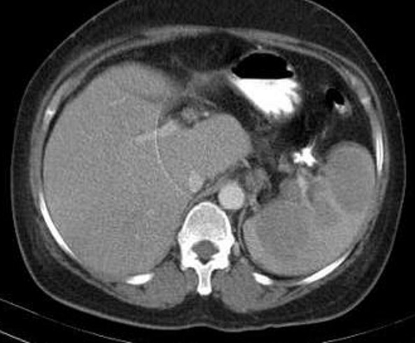
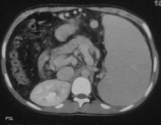
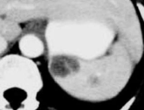
Image radiologique TDM d'une
non Hogdkiniens lytmphoma de la rate . Aspect
lesionel est une masse unique isolée ovalaire
hypodensite , homogene à biên
limite de la rate |
|
| |
 |
|
 |
|
| |
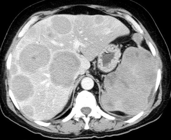
Aspect lesionelle
de micronodulaire diffuse de taille variable de 2-4mm à
hypodense d'une lymphome maligne de la rate . Image
radiologique TDM plus C+ de contrast
phase veineuse , coupe axial |
|
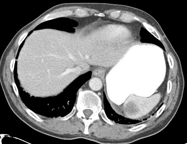
Image radiologique TDM en coupe axial
d'une autre lymphome Hodgkinien maligne de la rate
avec aspect lesionel des nodules ovalaires
hypodensite en rapport de parenchyme de la rate .
Lesions sont en s'observer facile au phase de veine
porte |
|
| |
 |
|
 |
|
| |
Image radiologique TDM phase
veineuse d'une lymphone primaire( large B cell )
maligne de la rate avec aspect des masses nodulaires
hypodensites heterogene de la rate et du foie . La
rate est volumineuse a bord encapsule lobulaire , la
lesion sera en vue facile au phase veineuse (
portal veinous phase ) |
|
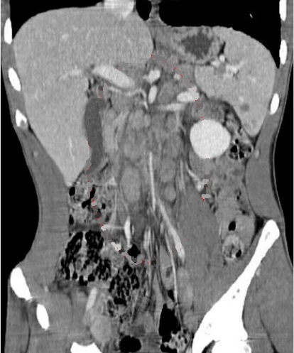
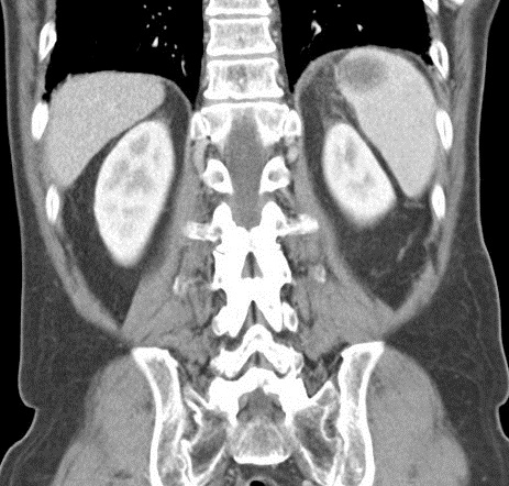
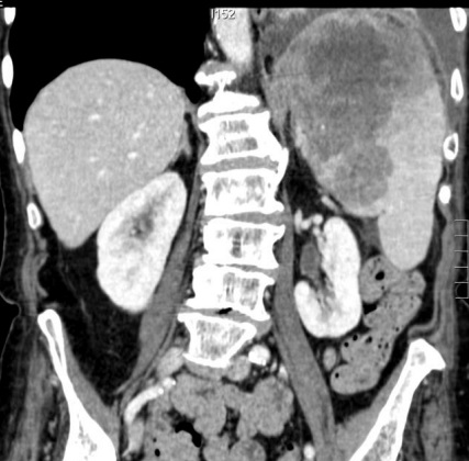
Image radiologique TDM en coupe coronal de
adenopathie peripherique , peri-splenique ,
peri-coeliacque ou mesenterique d'une lymphome maligne de la rate peu être s'observer |
|
| |
 |
|
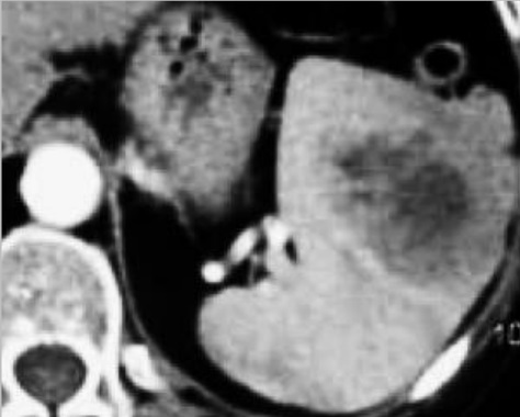
Image radiologique TDM
d'une lymphome maligne non Hodskinien de la rate
avec aspect de splenomegalie , la rate est
volumineuse hyperdensite , homogene |
|
| |
|
|
|
|
Les
metastases : Les lesions
metastatiques de la rate se presente de moindre 1-10% des
lesions cancereuse . Tous les metastases de la rate
sont des lesions solides ou cystiques ce que venant des lesions
cancereux des organes : melanome ,
mammaire sont tres frequence ( 50%), cancer de l'ovaire , cancer
colorectale , endometriose carcinoma , cancer de l'estoma et
de l'oesophage , cancer du poumom , thyroide carcioma
, prostat adenocarcinoma . Aspect echographique des
metastase de la rate est de masse unique ou multiple de bien
limité iso ou hypoechogene en forme de cible ,
hypervacularisation . Image TDM est des masses hypodensite
de centre necrotique , peu rehaussee . Hypervasculaire si
origine renal , chorioepithelioma ou kystique si origine
melanone ou ovaire .... Aspect IRM est hyposignale sur T1 , hypersignal T2
tissulaire .
| |
 |
|
 |
|
| |
Image echographique d'une
metastase de la rate avec aspect de nodule multiple
, hypoechogen , heterogen à bien limite ,
hypervascularisation avec hyperechogen central en
forme de cible |
|
Aspect radiologique de masse multiple de
taille variable hypodensite , bien limite situe
disseminer dans la rate . Image radiologique TDM en
coupe axial d'une metastase de rate par melanome de
la peaux |
|
| |
 |
|
 |
|
| |
Image radiologique TDM en
coupe axial d'une tumeur metastatique de la
rate par un cancer surrenal . Aspect de lesion
est un masse a hypodensite a bien limite situe au
face posterieure superieure de la rate . |
|
Meme cas
en coupe coronal |
|
| |
 |
|
Image radiologique IRM sur T1 du
metastase cancereuse de la rate a aspect lesionelle
de tumeur hypointense , avec bord nette à bien
limite . Ses lesions metastatiques peuvent en s'observer encore en
disseminer au foie |
|
| |
|
|
|
|
| |
 |
|
 |
|
| |
Image radiologique d'une
metastase melanome kystique de aspect de kystes
hypodensites , mal limite , peu rehaussement , situe
a bord posterieuse de la rate . Image radiologique
TDM plus contrast intraveineuse |
|
Mestastase d'un carcinome
bronchique a aspect lesionelle de masse hypodense
peu rehaussé et mal limité |
|
| |
|
|
|
|
| |
|
|
|
|
Les sarcomes :
Ces tumeurs d’origine vasculaire. sont exceptionnelles et
peuvent toucher dans des divers composants de la rate
. L’hémangiosarcome survient après 50 ans ; sa
étiologie
est inconnue mais certains facteurs favorisants sont notés :
radiations ionisantes, Thorotrast (dioxyde de thorium),
arsenic, traumatismes, etc. .
Clinique
: Amaigrissement, douleur de l’hypocondre gauche,
splénomégalie, anémie hémolytique, coagulation
intravasculaire disséminée, et complication de rupture
tumorale intrapéritonéale ( 30% ). À l’échographie, c’est une masse
solide, mal limitée, avec des zones hyper- et
hypoéchogènes..Au scanner TDM , la tumeur est hypodense ou
hyperdense, avec un net rehaussement vasculaire en
périphérie. Le pronostic est mauvaise , les métastases
foie, poumon, os et péritoine.sont fréquemment . Les
autres sarcomes : fibrosarcomes, léiomyosarcomes,
rhabdomyosarcomes, ... .sont rare et exceptionnels et
le diagnostic est verifie par l’examen histologique :
La splénectomie associée à une radiochimiothérapie permet
une survie moyenne de 14 mois, la survie à 6 mois est de 20
%
| |
 |
|
 |
|
| |
Aspect lesionelle des
masses mal limite à hypodense avec image de necroe
central de masse superieure , rehaussement
peripherique est tres marque . La rate est
volumineuse ( splenomegalie) . Image
radiologique TDM avec contrast intraveineuse , temps
arterielles ,en coupe coronal . |
|
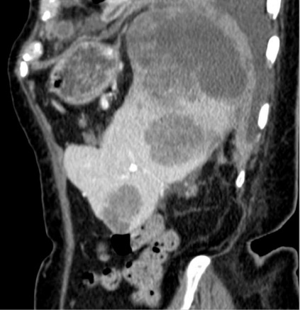
Même cas en coupe sagital a
travers la rate . Dans ce coupe , la rate est tres
volumineuse et sa contenue être en vue très net |
|
| |
|
|
|
|
| |
|
|
|
|
| |
|
|
|
|
| |
|
|
|
|
Dr Bui Binh Tho
Page :
1
/
2
/
3
/
4
/
5
/
6
/
A
suivre
<<
PREVIOUS
<<
>> NEXT >>
,
|
|